
MRI是评估颞下颌关节紊乱病的重要工具,尤其是对于关节盘的形态及移位评估具有重要价值。因此,了解颞下颌关节MRI的适应证、禁忌证、扫描方案及成像参数对于颞下颌关节磁共振在临床上的推广应用具有重要意义。
版权归中华医学会所有。
未经授权,不得转载、摘编本刊文章,不得使用本刊的版式设计。
除非特别声明,本刊刊出的所有文章不代表中华医学会和本刊编委会的观点。
颞下颌关节是人体唯一的双侧联动关节,也是颌面部唯一的关节,MRI具有非常高的软组织分辨率,尤其可以不用对比剂直接显示关节盘,且具有多参数、多序列及任意角度成像等特点,是目前临床常用的颞下颌关节影像学检查方法之一。
颞下颌关节MRI检查的适应证主要包括:①颞下颌关节紊乱病;②颞下颌关节肿瘤(评估关节盘);③颞下颌关节创伤。而颞下颌关节MRI检查的禁忌证主要包括:①体内有心脏起搏器、MRI不兼容的金属装置(如金属夹等)、铁磁性外科夹或钉子;②小于20周的女性[1];③幽闭恐惧症患者。
①颞下颌关节盘的形态、位置及性质;②髁突及颞骨骨质;③颞下颌关节相关肌肉病变;④颞下颌关节腔积液及盘后附着组织。
①填写磁共振扫描知情同意书;②要求患者去除身上金属物;③指导患者静躺,扫描过程中保持头不动,并告知其大概扫描时间。
①扫描设备通常采用1.5 T或3.0 T磁共振扫描仪;②采集线圈可选择76.2 mm(3.0英寸)表面线圈(适用于1.5 T磁共振)或头线圈(适用于1.5 T或3.0 T磁共振)均可(图1)。


①患者通常采用仰卧位,头部先进入;②定位中心位于两外耳道连线中点,需扫描患者闭口位及张口位2组图像;③闭口位时嘱患者咬紧后牙,张口位时患者需手持开口器,一般张口到3.5 cm以上位置,应有张口度记录,以患者舒适位置为主,不应嘱患者强忍疼痛用力张口(图2);④扫描时嘱患者配戴耳塞,保护听力。


①快速自旋回波脂肪抑制T2加权成像(fast spin echo T2 weighted imaging with fat saturation,FSE T2WI-FS),主要用于关节腔积液、髁突及颞骨骨髓水肿及肌肉病变的评估;②质子密度加权成像(proton density weighted imaging,PDWI),主要用于关节盘形态、位置、信号异常改变及双板区损伤评估,同时也可对骨质形态进行评估;③短时间反转恢复(short time inversion recovery,STIR)序列(可选择使用),主要用于评估髁突及颞骨骨髓水肿,成像时间较脂肪抑制T2WI长;④快速自旋回波T1加权成像(fast spin echo T1 weighted imaging with fat saturation,FSE T1WI)(可选择使用),主要用于评估髁突及颞骨形态变化。一般选用脂肪抑制T2WI及PDWI(基础评估序列)即可达到临床评估目的,如果同时选择STIR或T1WI并不能增加评估价值,相反却增加了时间成本。
颞下颌关节扫描时先行闭口位检查,再行张口位检查。张口位检查时退出检查床,嘱患者头部保持不动,双手持开口器,调至最大张口舒适位置。扫描序列顺序见表1,所示扫描图像见图3,可以清晰显示关节盘结构及关节腔积液(图4)。





颞下颌关节MRI扫描序列
颞下颌关节MRI扫描序列
| 序号 | 位置 | 扫描序列 |
|---|---|---|
| 1 | 闭口位 | 三平面定位像(3pl T2* Location) |
| 2 | 闭口位 | 横轴位脂肪抑制T2WI(oblique axial T2WIFS) |
| 3 | 闭口位 | 双侧斜矢状位PDWI(oblique sagittal PDWI bilateral) |
| 4 | 闭口位 | 双侧斜冠状位PDWI(oblique coronal PDWI bilateral) |
| 5 | 闭口位 | 双侧斜矢状位脂肪抑制T2WI(oblique sagittal T2WIFS bilateral) |
| 6 | 张口位 | 三平面定位像(3pl T2* Location) |
| 7 | 张口位 | 双侧斜矢状位PDWI(oblique sagittal PDWI bilateral) |
| 8 | 张口位 | 双侧斜冠状位PDWI(oblique coronal PDWI bilateral) |
注:T2WI为T2加权成像;PDWI为质子密度加权成像
定位点位于双侧外耳道连线中点,横轴位层数尽量以能清楚显示双侧髁突为准。参考定位层数分别为矢状位3层,冠状位7层,横轴位11层。
在三平面冠状面图像上以双侧髁突为中心定位横轴位,平行于双侧颞下颌关节髁突连线,扫描参数要点是要选择脂肪抑制。参考参数如下,视野(field of vision,FOV):24 cm×24 cm;矩阵:320×256;重复时间(repetition time,TR):2 000~3 000 ms;回波时间(echo time,TE):60~80 ms;扫描层数:15-20层;层厚:3 mm;层间距:0.3 mm;激励次数(number of excitations,NEX):2。
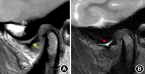
在横断位T2WI图像上显示双侧颞下颌关节髁突的最大径层面(内外极连线),垂直于髁突最大径层面定位(而非翼外肌走行方向)(图5A)[2],单侧定位层数为奇数,如9~13层,保证至少1层经过髁突中心。参考扫描参数如下,视野:12 cm×12 cm~18 cm×18 cm;矩阵:256×256~332×288;扫描层数:9~13层/侧;层厚:2~3 mm;层间距:0.2~0.3 mm;激励次数:2~3;重复时间:2 000~3 000 ms;回波时间:10~30 ms[3,4,5,6,7,8,9]。


注:黄线为扫描平面,数字为扫描层数
在横断位T2WI图像上显示双侧颞下颌关节髁突的最大径层面(内外极连线),平行于髁突最大径层面定位(图5B),单侧定位层数为奇数,7~11层,保证至少1层经过髁突中心,两侧定位线避免交叉。扫描参数如下,视野:12 cm×12 cm~18 cm×18 cm;矩阵:256×256~332×288;扫描层数:7~11层/侧;层厚:2~3 mm;层间距:0.2~0.3 mm;NEX:2~3;重复时间:2 000~3 000 ms;回波时间:10~30 ms[3,4,5,6,7,8,9]。
在横断位T2WI图像上显示双侧颞下颌关节髁突的最大径层面,垂直于髁突最大径层面定位(内外极连线),单侧定位层数为奇数,9~13层,保证至少1层经过髁突中心,扫描定位可完全拷贝斜矢状位PDWI序列的定位参数。扫描参数如下,视野:12 cm×12 cm至18 cm×18 cm;矩阵:256×256至332×288;扫描层数:(9~13)层/侧;层厚:2~3 mm;层间距:0.2~0.3 mm;NEX:2~3;重复时间:2 000~3 000 ms;回波时间:60~80 ms。扫描定位参数可完全拷贝斜矢状位PDWI序列。
同闭口位,不可完全拷贝闭口位的定位设置,需在新的定位图像上进行定位,方法同闭口位。张口位时患者需手持开口器,保持头部不动,开口到舒适位置至不能张开为止。
常见颞下颌关节病变不做MRI增强检查。行颞下颌关节MRI增强检查的适应证包括:①关节炎症性疾病,如原发性的滑膜炎、关节囊炎及类风湿性关节炎;②发生在颞下颌关节的肿瘤性病变[9]。
MR关节腔造影(MR arthrography,MRA)是关节盘穿孔及粘连的最准确的检查方法[10,11,12]。MRA为有创性检查,常规MRI检查(斜矢状位T2WI或STIR)不能准确诊断时,且临床怀疑关节盘穿孔时推荐进行MRA检查。
MRA检查扫描序列为斜矢状位及冠状位快速自旋回波T1WI序列,重复时间250~700 ms,回波时间10~25 ms[3],其余参数同常规斜矢状位及冠状位PDWI序列。
MRA对比剂为钆喷酸二甲葡胺(dimegulumine gadopentetate,Magnevist),用生理盐水1∶100稀释,局部麻醉后用细针抽取0.5~0.8 ml注入关节上腔,嘱患者运动下颌以加速对比剂进入整个关节腔,咬紧牙关以增加关节腔内压力,有助于对比剂通过穿孔进入下关节腔,尤其是直径较小的穿孔。当患者报告"不能用力使用后牙"时表明穿刺成功,再行MRA检查[10]。
①应提供不同序列、不同位置和不同层面图像;②应标注出左右,先闭口位后开口位或附加定位像;③胶片顺序为闭口位斜矢状位PDWI、斜冠状位PDWI、斜矢状位T2WI、开口位斜矢状位PDWI、斜冠状位PDWI,图片排列可根据医院规定的胶片数量而定。
①以关节盘为中心,放大图像,进行圆形裁剪;②选择关节盘移位最大层面或病变层面;③图像背景应为黑色,对比度清晰,保留序列名称、患者门诊号、姓名、年龄及性别。
所有作者均声明不存在利益冲突
1.颞下颌关节MRI扫描常用的线圈为( )
A. 3.5英寸表面线圈 B. 8通道头线圈 C. 32通道头线圈 D.头颈联合线圈
2.关于张口位扫描说法正确的是( )
A.张口度一般为3.5 cm B.张口度一般为2.5 cm
C.张口程度应以患者舒适位为主 D.应嘱患者强忍疼痛用力张口至最大程度为止
3.颞下颌关节MRI扫描序列说法正确的是( )
A.通常用来清晰显示关节盘的序列为质子密度加权成像(proton density weighted imaging,PDWI)
B.斜矢状位脂肪抑制T2加权成像主要用来评估关节腔积液,同时也可用来评估关节盘穿孔
C.通常不扫描斜矢状位T1WI,可以用斜矢状位PDWI来评估髁突骨质情况
D.张口位扫描时需要重新扫描定位像进行定位
4.关于颞下颌关节扫描参数说法正确的是( )
A.斜矢状位或斜冠状位视野通常为12~18 cm
B.斜矢状位及斜冠状位扫描层厚通常为2~3 mm,层间隔为0.2~0.3 mm
C. PDWI的回波时间通常为10~30 ms,重复时间通常为2 000~3 000 ms
D.斜矢状位或斜冠状位扫描层数为奇数层,以最大可能使中间扫描层面为正中矢状位或冠状位
5.颞下颌关节图像打印要求应包括( )
A.图像要以颞下颌关节为中心进行圆形裁剪 B.图像上应标明侧别
C.图像上应标明闭口或张口位 D.图像上应显示序列名称
(注:答题说明及二维码见本刊彩色活插页)





















