
颞下颌关节紊乱病的常见表现包括关节盘移位及退变、关节腔积液、髁突及翼外肌异常改变。MRI软组织分辨率较高,成为目前颞下颌关节紊乱病诊断的金标准。了解颞下颌关节紊乱病的常见MRI表现对于口腔医师选择正确的临床治疗决策具有重要意义。
版权归中华医学会所有。
未经授权,不得转载、摘编本刊文章,不得使用本刊的版式设计。
除非特别声明,本刊刊出的所有文章不代表中华医学会和本刊编委会的观点。
颞下颌关节紊乱病(temporomandibular disorders,TMD)好发于中青年,发病高峰为20~40岁,女性多见,可累及10%~15%的成年人,但仅5%的患者进行诊疗[1,2]。TMD常表现为关节盘移位、关节腔积液、髁突退变、翼外肌异常改变等,MRI的软组织分辨率高,且具有多参数、多序列及任意角度成像等特点,是目前临床常用的颞下颌关节影像检查方法之一[3],并且MRI被认为是评估颞下颌关节盘-髁突关系及软组织改变的金标准[4,5,6,7]。
①简单评估,闭口位为倒置"S"型,张口位"领结"型[8,9,10];②关节盘厚度评估(各带最大厚度),前带2 mm,中间带1.1 mm,后带2.8 mm;③常见关节盘形态学包括双凹型、后带增厚型、前带增厚型、拉伸型、折叠型及类圆形(图1)[10,11]。


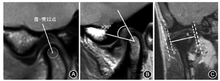
①按移位层面分为正常上位(关节盘后带后缘位于髁突上方12点的位置,即"盘-突12点")(图2A)、部分移位(部分层面移位)、完全移位(所有层面均移位)[3,9];②按移位方向分为前移位、后移位、内侧移位及外侧移位,关节盘后带后缘的切线与经过髁突12点方向的垂线前后夹角超过10°为前移位(图2B),关节盘内缘或外缘超过经髁突内外极连线长轴的垂线为侧方移位(图2C);③按前移位程度分为正常上位(0~10°)、轻微前移位(11~30°)、轻度前移位(31~50°)、中度前移位(51~80°)、重度移位(>80°)[10,11];④按张口位关节盘是否恢复正常位置分为可复性移位或不可复性移位。


由于关节盘为软骨,含水量(即质子含量)较少,因此在所有序列上均为低信号,以质子密度加权成像(proton density weighted imaging,PDWI)最为显著。PDWI图像上关节盘高信号提示退变可能,其中后带表现最为显著(图3)。


关节盘严重磨损或损伤可致关节盘穿孔。既往采用磁共振关节腔造影技术进行评估,但该技术为有创检查,目前临床主要采用斜矢状位脂肪抑制T2WI序列进行评估。当所示关节盘内见线样高信号影,并与关节上下腔相通时提示关节盘穿孔。
关节盘粘连是指张口时关节盘不能从关节窝向前移动到关节结节,而是仍保持在关节窝内(图4),典型关节盘粘连与关节运动受限相关[12]。


①正常双板区软组织张口位时为呈负压结构,此时软组织膨胀(上板与关节窝相接触,保持一致)改变[13],但发生损伤时负压消失,膨胀改变消失(图5);②斜矢状位PDWI可清晰显示上板区,为关节盘后上方一线样低信号结构,通常连续走行,信号连续性中断提示上板撕裂改变(图5C)。


通常基于斜矢状位PDWI及横轴位脂肪抑制T2WI进行形态学评估,主要评估内容包括髁突位置、髁突形态、髁突长轴和短轴长度以及髁间角大小[3]。
(1)髁突位置分类:根据髁突前、后斜面与关节窝前、后斜面切线间的距离大小可分为前位、后位及中立位(图6)。


(2)髁突形态分类:TMD患者的髁突形态分为卵圆形、扁平形、鸟嘴形(图7)[3];健康人群髁突形态存在个体差异,但髁突形态的变化,尤其是鸟嘴形髁突与关节盘前移有一定关系[1]。
(3)髁突长轴及短轴:在闭口位横断面T2WI图像髁突最大长轴层面测量髁突内外极最大径(平行于髁突走形方向)长度即为髁突长轴,垂直于长轴的最大径(垂直于髁突走形方向)长度即为髁突短轴(图8A)。


(4)髁间角:在横轴位T2WI图像上,通过双侧髁突长轴延长线的夹角即为髁间角,髁间角的测量涉及双侧颞下颌关节(图8B)。
髁突骨质评估常依靠于锥形束CT进行评估,但也可基于MRI斜矢状位PDWI及斜矢状位脂肪抑制T2WI进行评估,评估指标主要包括骨皮质信号是否均匀连续(通常为线样低信号影)、有无骨赘、是否有水肿及囊性变(基于斜矢状位脂肪抑制T2WI序列)以及关节间隙是否变窄(图9)。


颞下颌关节符合髁突扁平、骨赘形成、磨损和硬化中的1条即可诊断为骨关节病(图10)[14,15]。


见图11,在张口斜矢状位PDWI图像上,经过关节窝顶部的水平切线a与经过关节结节顶部的垂直线b相交与O点,从O点顺时针开始按0~90°、90~120°、>120°分为3个区,其中关节窝顶部切线位于0°,关节结节垂直线位于90°。髁突头部位于0~90°区间内为运动受限;髁突头部位于90~120°区间内为正常;髁突头部位于>120°区间内为运动过度[16]。


颞下颌关节关节腔主要分为关节上腔及关节下腔,关节上腔为1.0~1.2 ml,关节下腔为0.5~0.6 ml[17]。关节腔积液评估主要基于斜矢状位脂肪抑制T2WI序列进行评估。关节腔积液按积液量依次分为4级:即无或少量积液(关节腔内无T2高信号影或沿关节面可见点状或线样T2高信号影)、中度积液、明显积液及大量积液[18]。
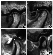
翼外肌通常分为上腹及下腹,正常翼外肌通常头部边界清楚,至少斜矢状位两个层面都可以观察到。异常形态改变主要包括:①萎缩,肌肉大小无明显变化而大部分肌肉出现高信号的脂肪替代(斜矢状位PDWI);②肥大,在斜矢状位PDWI图像上肌腹中部体积增大但信号均匀,肌腹中部呈凸形改变;③挛缩,肌肉增大,同时可见纤维化改变,在斜矢状位PDWI上肌腹内可见低信号影(图12)[19]。


包括脂肪变性及纤维化,脂肪变性在斜矢状位PDWI表现为高信号影,常合并翼外肌萎缩改变;而纤维化表现为低信号影,常合并挛缩改变(图12)。
翼外肌上腹附着于关节盘的形式主要分为3种类型,第1种类型上腹纤维附着于关节盘,下腹附着于髁突(29.6%);第2种类型上腹纤维附着于关节盘和髁突,下腹附着于髁突(40.8%);第3种类型上腹纤维附着于关节盘(29.6%),翼外肌的中间部分纤维(翼外肌上腹与下腹汇合处发出的纤维)及下腹纤维附着于髁突[20,21,22]。对于功能评估可以采用T2成像序列测量翼外肌的T2值进行评估,而对于翼外肌结构评估可以采用扩散张量成像及体积测量[23,24]。在临床上也可采用三维T2WI序列行闭口位及张口位成像,并采用多平面重建技术重建翼外肌上腹,沿翼外肌上腹最大走形方向测量翼外肌上腹长度,评估翼外肌收缩程度。
随着MRI技术的进步及对翼外肌在TMD发病中作用研究的深入,临床医师应重视对翼外肌结构、功能及病变的评估及治疗,综合分析翼外肌肌肉收缩程度和症状及体征有助于了解病情、肌肉收缩状况和肌肉性状。
总之,TMD的MRI评估序列主要包括PDWI及脂肪抑制T2WI,一般需行闭口位及张口位磁共振检查。MRI评估内容主要包括关节盘、髁突、关节腔积液及翼外肌等。部分颞下颌关节健康者也可见一定程度的关节盘移位,但无临床症状、因此对于关节盘移位与TMD的诊断应谨慎,需结合临床进行综合诊断[9,25]。
目前临床上对于TMD的MRI诊断报告尚无统一的规范,推荐使用颞下颌关节的结构化图文报告系统,主要包括数据输入模块和图文报告。数据输入模块主要对关节盘、髁突、关节腔积液及翼外肌的相关评估参数进行量化,具体数据输入可结合影像报告系统进行;各项评估参数输入后自动生成图文报告,并由诊断报告医师采集典型图片,附于报告后。一般选取双侧斜矢状位PDWI闭口及张口位图片各1张。
所有作者均声明不存在利益冲突
1.颞下颌关节关节盘的常见形态包括( )
A.双凹型 B.后带或前带增厚型 C.拉伸型 D.折叠型 E.类圆形
2.关于关节盘移位说法正确的是( )
A.关节盘正常上位为"盘-突12点"关系,即关节盘后带后缘位于髁突上方12点位置
B.按移位层面可分为部分移位及完全移位
C.按移位方向可分为前移位、后移位及侧方移位
D.按移位程度轻微、轻度、中度及中度前移位
E.按张口位关节盘位置是否正常可分为可复性及不可复性移位
3.关于髁突说法正确的是( )
A.髁突位置可分为前位、中立位及后位
B.髁突形态可分为卵圆形、扁平型及鸟嘴形
C.颞下颌关节盘前移位患者髁突长短轴均变小
D.髁间角减小可影响双侧颞下颌关节的咬合功能,可能是颞下颌关节发生关节盘移位的原因之一
E.可采用脂肪抑制T2WI评估髁突水肿
4.关于颞下颌关节骨关节病的常见表现为( )
A.髁突扁平 B.髁突骨赘形成 C.髁突磨损 D.髁突硬化 E.髁突囊变
5.颞下颌关节紊乱病翼外肌MRI表现包括( )
A.萎缩 B.肥大 C.挛缩 D.脂肪变性 E.纤维化
(注:答题说明及二维码详见本刊彩色活插页)





















