
区域性牙发育不良是一种牙釉质和牙本质均发生缺陷的罕见牙齿发育异常,因其典型的影像学表现被称为阴影牙或鬼影牙。常表现为一个象限内的数颗乳牙和恒牙严重发育异常,造成患者不同程度的口腔功能障碍。本文报告3例区域性牙发育不良病例,对其临床表现、影像学检查和临床治疗进行分析。通过回顾相关文献,对本病的发生特点、疾病表现、诊断要点及临床治疗等方面做一总结,结合病例进一步加深对该疾病的认识,以帮助临床口腔医师更好地诊治该疾病。
版权归中华医学会所有。
未经授权,不得转载、摘编本刊文章,不得使用本刊的版式设计。
除非特别声明,本刊刊出的所有文章不代表中华医学会和本刊编委会的观点。
区域性牙发育不良(regional odontodysplasia,ROD)是一类罕见的发生在口腔局部区域的牙齿发育异常。病因不明,非遗传性,可能由外胚层和中胚层来源的组织发育紊乱引起。ROD典型的影像学表现为病变牙硬组织层异常菲薄、似阴影,故又被称为阴影牙或鬼影牙。国内外对ROD均有报道[1,2,3,4,5,6],本文报告3例ROD病例,并回顾相关文献、总结疾病特征。
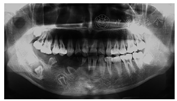
病例1:患者男性,2岁10个月,因"右侧面部反复肿胀,右侧上颌牙齿萌出延迟且形态异常"于2015年11月就诊于四川大学华西口腔医院预防科。既往史及家族史无特殊;口内检查见右侧牙龈红肿,51—55、85牙呈褐色,牙釉质发育异常,表面大量软垢。曲面体层X线片示51—55、16及85牙釉质和牙本质发育异常,牙体硬组织菲薄,密度较对侧同名牙低,髓腔宽大、牙根短、根尖孔敞开,呈"鬼影样"表现,右侧上颌恒前牙胚及前磨牙胚影像不清,病变累及整个右上象限区域牙及部分右下后牙区牙(图1A)。初诊医师建议转至儿童口腔科治疗,未见明确诊断及临床处置记录。


2年后,患者因"口内多颗虫牙"于四川大学华西口腔医院儿童口腔科就诊,口内检查见51、52缺失,53、54残根,55残冠,65、74、75、84、85龋坏,55、85表面形态不规则,釉质发育不完整。曲面体层X线片示右侧上颌恒牙胚影像较2年前清晰,与其他受累牙类似呈"鬼影样"改变(图1B)。诊断:65、74浅龋,75中龋,84深龋;55、85慢性根尖周炎;53、54残根。临床予65、74、75预防性树脂充填治疗,84预成冠修复、护髓充填治疗,85行冠髓切断并预成冠修复治疗,55根管治疗(试保留)。随访2个月,未诉不适。
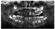
病例2:患者女性,7岁,因"右上颌恒牙未萌出"于2019年1月就诊于四川大学华西口腔医院口腔外科。患者4年多前曾出现过龋齿(具体牙位不详)、面部肿胀等情况,余无明显异常。口内检查见11、12、16、46未萌出,26出龈,36萌出;51、54缺失;52、53、55残冠,Ⅰ度松动,有叩痛,牙龈红肿;口腔卫生尚可。
曲面体层X线片显示,可见11—16恒牙胚,11—16、55密度较对侧牙低,髓腔宽大,硬组织发育不足,牙釉质与牙本质界限不清楚,牙根较短,根尖孔敞开,呈"鬼影样"表现(图2)。诊断:52、53、55残冠,11—16矿化不良。儿童口腔科会诊后制定临床治疗方案为拔除52、53、55残冠后行间隙维持。


病例3:患者男性,15岁,因"右下颌恒牙未萌出"于2016年7月就诊于四川大学华西口腔医院正畸科。既往史及家族史无特殊。口内检查显示,右侧下颌区域无牙齿萌出,81滞留。曲面体层X线片示右侧下颌骨内见4颗埋伏阻生的异形牙胚,其中2颗低位,密度较正常牙低,硬组织层薄,牙釉质和牙本质界限不可辨认,髓腔宽大,根管粗,根尖孔敞开,呈"鬼影样"表现,阻生牙牙冠周围被囊性低密度影包绕,囊腔边界清楚,可见骨白线;81滞留;余颌骨未见明显异常(图3)。病变累及右下象限牙齿。诊断:牙列缺损及埋伏多生牙。随后于种植科、牙槽外科就诊。拔除滞留81与右下颌骨内埋伏阻生牙,半年后活动义齿修复,待患者成年后行种植义齿修复。


ROD的病因尚未明确,目前的理论认为存在几种可能致病因素,包括局部创伤、局部血液循环障碍、感染、致畸药物、神经嵴细胞缺陷等。相关病例报告均未发现明显遗传倾向,目前认为ROD是一种非遗传性疾病[2,14-17]。
ROD是一种罕见的非遗传性牙齿发育异常,目前国内外报道病例尚不足200例[1,3,6,10]。Alotaibi等[10]对1953至2017年间报道的161例ROD病例分析显示,ROD稍多见于女性,男女比率约为1∶1.37,患者初次诊断年龄为1~25岁,其中3~5岁和8~10岁为两个高峰期。ROD多见于乳牙和恒牙同时发生,也可仅发生于乳牙列或恒牙列。在约75%的病例中,病变牙局限于一个象限,若累及两个象限则多见于同侧或单颌,泛发型较少见;上颌多于下颌(1.6∶1~2.5∶1),最常发生于中切牙,其次为侧切牙和尖牙。
病变牙萌出异常为ROD最典型的临床表现,患者常因此症状就诊[3]。病变牙若萌出,则可见牙体硬组织发育不足,牙冠颜色泛黄或呈斑驳的褐色,表面形态不规则,质地较软,脆弱易折,易磨耗,易患龋,常伴有未萌病变牙覆盖软组织或部分已萌出病变牙周围软组织的增生,或牙龈、牙周炎症,偶可见根尖周组织感染或瘘道形成,因此,患者常感觉有局部疼痛,严重情况下可伴有发热等全身症状。部分患者可同时伴有面部血管畸形、面型不对称或发育不足等情况[7]。
典型的"鬼影牙"表现,是ROD的重要诊断依据[1,2,3]。ROD病变牙的牙釉质和牙本质矿化不足,在影像上难以明确区分界限,髓腔和根管影像宽大,牙根较短且轮廓不清,根管壁及冠部硬组织均较正常牙齿薄,牙体呈空壳样,尤其在二维X线片上病变牙较正常牙密度低。病变牙可萌出、部分萌出或完全埋伏在颌骨内,乳恒牙均可发生,多累及一个象限,颌骨外形一般无异常。
ROD病变牙具有厚度不一的发育不全、矿化不足、富含基质的牙釉质,镜下可见球状钙化或针状磷灰石,棱状结构不典型。牙本质层变薄,球间牙本质范围扩大,常可见前期牙本质层扩大。少数情况下见牙本质小管数量减少、排列紊乱。球间牙本质或管间裂隙的存在常可成为细菌侵入的通道,导致牙髓炎;牙髓内偶见齿状或异形钙化物质[2,3,8,9,10,11]。
ROD病变牙的一些表现可与部分牙本质发育不全(dentinogenesis imperfecta,DGI)的病例相似,需加以鉴别。DGI一般有遗传倾向,是不同于ROD的重要特征;DGI病变牙的牙釉质矿化正常,而ROD的牙釉质和牙本质均发育不良;ROD常发生在单个象限的乳牙或恒牙,有类似表现的DGI病例则多累及所有乳牙。
早期诊断ROD极为重要,一旦确诊,是否保留病变牙则成为制定治疗计划的关键。目前尚未有公认的ROD的最佳治疗方案,需要综合考虑患者的年龄、发育情况、病变牙畸形程度、主观期待等相关因素,制定多学科联合治疗方案。保留病变牙可以在一定程度上保留部分咀嚼及美观功能、避免拔牙干扰颌骨发育。但病变牙形态及色泽异常、一般难以萌出,若保留则可能增加感染、长期缺牙的风险。拔除病变牙固然可以将问题简化为牙列缺损的治疗,但应注意时机的选择以及降低手术创伤。以往病例中,保守的处理方法包括随访观察、定期涂氟或预防性树脂充填,必要时进行牙髓治疗等对症处理,若选择拔除病变牙则根据患者情况选择间隙维持、活动修复、固定修复、种植修复、自体牙移植等方式处理缺牙问题[4,8,9,10]。
本文通过回顾文献,对ROD的典型特征及治疗情况进行总结,可为临床诊治提供参考。文中报告的3例ROD病例初次就诊年龄分别为2、7和15岁,皆因牙齿萌出问题就诊,曲面体层X线片上均可见典型"鬼影牙"表现,且病变牙具有区域性分布的特点,使得ROD的诊断并不困难。但ROD作为一种先天性疾病,早期表现并不明显,且儿童影像学检查较为审慎,常因发现患者牙齿萌出异常或出现牙髓、牙周症状就医时才发现此病。本文的3例患者初诊在3个不同的科室,然而仅通过临床检查医师较难精确诊断ROD,ROD的口腔内表现与其他牙发育异常如牙釉质发育不良等需进行鉴别;对于乳牙脱落而恒牙胚因发育异常而未萌的情况,需与其他原因导致的牙齿萌出异常进行鉴别。从临床表现看,受累牙的区域性局限分布或可提示本疾病,而影像学表现则对该疾病的确诊提供更加重要的信息,因此建议对疑似ROD的病例应及时补充影像学检查以帮助诊断。
目前对于ROD的治疗方式尚未形成共识,更多地需要结合患者不同年龄、不同患病程度等具体情况来进行处置。早期诊断对于治疗计划的制定至关重要,特别是早期发现乳牙病变者,需关注其恒牙是否也存在发育异常。病例1和病例2患者年龄小,乳牙和恒牙均存在病变,治疗方案着重于处理乳牙的问题、恢复乳牙列期及替牙列期的口腔功能,尽量减少对口颌系统发育的干扰。病例3患者口颌系统发育接近完成,则可选择短期活动修复方式过渡,成年以后再行永久修复的治疗方案。
ROD的发病机制未明,仍需进一步研究提供更多证据。ROD作为一种罕见病,可供研究的样本有限,这提示口腔医师在工作中应尽量完整收集ROD患者诊治过程中的各类资料,包括就诊病历、临床图片、影像学资料及病变牙样本等,加深口腔医师对该病的认识。
所有作者均声明不存在利益冲突





















