
牙列重度磨耗表现为全牙列或牙列中多颗牙冠表面硬组织出现明显缺损,严重影响患者口腔美观和功能。牙列重度磨耗病因复杂,类型多样,鉴别诊断困难,治疗涉及多个学科,不仅需要美学重建,还需要功能重建。本文重点讨论牙列重度磨耗的病因和鉴别诊断。
版权归中华医学会所有。
未经授权,不得转载、摘编本刊文章,不得使用本刊的版式设计。
除非特别声明,本刊刊出的所有文章不代表中华医学会和本刊编委会的观点。
经全国继续医学教育委员会批准,本刊开设继教专栏,每年从第1期至第12期共刊发12篇继教文章,文后附5道单选题,读者阅读后可扫描标签二维码答题,每篇可免费获得Ⅱ类继教学分0.5分,全年最多可获5分。
牙齿磨耗(tooth wear),又称牙齿磨损,是一种临床常见牙齿硬组织非龋性疾病,指牙齿受到机械性磨擦或化学性酸的侵蚀,导致牙齿硬组织进行性丧失[1]。牙齿磨耗可发生于牙列中个别牙,也可发生于多颗牙,甚至全牙列。牙列重度磨耗表现为全牙列或牙列中多颗牙牙冠表面硬组织出现明显缺损,严重影响口腔美观和功能[2]。牙列重度磨耗是一种常见的口腔美学缺陷疾病,主要为牙齿硬组织美学缺陷,涉及牙齿形态和颜色美学缺陷,也可同时伴牙周软组织美学缺陷和牙列空间美学缺陷[3]。近年,随着患者对口腔美观要求的提高,牙列重度磨耗的修复治疗需求明显增加。
牙列重度磨耗病因复杂、类型多样,鉴别诊断困难;治疗常涉及多个学科,不仅需美学重建,还需功能重建,是口腔临床疑难病和多发病。修复治疗首先需明确病因,针对病因制定多学科联合治疗方案,才能获得满意的美学和功能重建效果。现重点讨论牙列重度磨耗的病因和鉴别诊断。
牙齿在行使功能时均可出现自然的生理性磨耗,磨耗程度随年龄增长而增加。牙齿病理性磨耗是指患者出现与年龄不相符的进展性牙齿磨耗,引起疼痛不适、功能障碍或美学缺陷,而牙列重度磨耗常由牙齿病理性磨耗导致[4]。牙列重度磨耗病因复杂,主要分为机械性因素和化学性因素两大类。机械性因素指物体对牙齿的机械性摩擦导致牙齿硬组织丧失。化学性因素指酸对牙齿的侵蚀脱矿导致牙齿硬组织丧失[4, 5]。临床上牙列重度磨耗的病例,部分由单一病因引起,部分则由多种病因混合或交替导致[6]。
1.机械性因素:机械性因素导致的牙列重度磨耗可按摩擦牙齿表面的物体的不同主要分为以下两类。
(1)磨耗(attrition):是指口腔功能运动(咀嚼运动等)或副功能运动(夜磨牙症、紧咬牙等)时,上下颌相对牙齿进行咬合接触,牙齿
面之间发生机械性摩擦,导致牙齿硬组织进行性丧失;其含义不同于作为此类疾病统称的牙齿磨耗。
磨耗患者常有夜磨牙症、紧咬牙等口腔副功能运动病史[7],是上下颌相对牙齿之间高频度、长时间、
力大的咬合接触导致的牙齿重度病理性磨耗[8]。磨耗患者还可能有一些特定的咬合类型或
干扰,如前牙内倾性深覆
导致的下颌功能运动范围受限、后退接触位的后牙
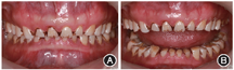
干扰等[9],这两种情况均易导致前牙的重度磨耗(图1)。

患者前牙重度磨耗口内像 A:全牙列正面咬合像;B:全牙列正面非咬合像
患者前牙重度磨耗口内像 A:全牙列正面咬合像;B:全牙列正面非咬合像(2)磨损(abrasion):是指牙齿受到除牙齿外的其他物体的机械性摩擦,导致牙齿硬组织进行性丧失。常见磨损原因包括咀嚼硬食习惯、不良刷牙习惯以及咬硬物习惯等;其含义不同于作为此类疾病统称的牙齿磨损。
磨损患者一般有特定的咀嚼习惯,如喜吃硬食、咀嚼槟榔等[10],这些饮食习惯可导致咀嚼时
力过大,同时粗糙的食物导致牙面承受过度的机械性摩擦。部分患者有某种特殊的生活或工作习惯,如不正确的刷牙方式、长时间叼烟斗、咬指甲、咬铅笔等,烟斗、铅笔、指甲等异物可对牙齿表面产生过度的机械性摩擦,导致牙齿表面硬组织缺损(图2)[6]。

面像;B:下颌
面像
面像;B:下颌
面像2.化学性因素:是指牙齿受到非细菌性酸的侵蚀,酸性物质对牙齿硬组织(牙釉质和牙本质)中的羟基磷灰石进行酸蚀脱矿,导致牙齿表面硬组织缺损,又称为酸蚀症(erosion)、牙侵蚀症或牙酸蚀症(dental erosion)[11, 12]。根据酸的来源,酸蚀症可分为外源性酸蚀症和内源性酸蚀症。
(1)外源性酸蚀症:外源性酸蚀症中导致牙齿酸蚀脱矿的酸来源于患者身体以外,包括饮料、食物、水果、酒类、药物、环境等。碳酸类饮料如可乐等,pH值约为2.7,运动饮料等也多为酸性。较多水果和日常饮用的果汁也是酸性的,柠檬的pH值为1.8~2.4。酸性的饮料、水果、食物等物质长时间、高频率地接触牙齿表面,导致牙齿表面硬组织酸蚀脱矿,造成牙齿表面硬组织重度缺损(图3)[13, 14]。

面像
面像(2)内源性酸蚀症:内源性酸蚀症导致牙齿酸蚀脱矿的酸来源于患者胃液。胃液pH值为1.6~1.9,酸性较强,对牙齿硬组织有较强的酸蚀脱矿能力。胃液进入口腔导致内源性酸蚀症的疾病主要有两种:①神经性贪食症,是患者由于心理原因在饮食后自我催吐,混有胃液的呕吐物进入口腔,接触牙齿表面,造成牙齿硬组织严重酸蚀脱矿。由于患者呕吐时的特定体位,神经性贪食症导致的牙列重度磨耗主要发生于上前牙舌侧或累及上颌前磨牙舌面,而上颌磨牙和下颌牙齿的酸蚀磨耗并不明显(图4)[15]。②胃食管反流,是由于消化系统疾病导致胃液反流至口腔内,胃液接触牙齿表面,胃酸对牙齿硬组织造成严重酸蚀脱矿。胃食管反流导致的牙列重度磨耗多发生于上颌后牙舌面及下颌后牙
面。胃食管反流患者在夜间睡眠时胃液反流导致的牙齿酸蚀脱矿最严重,睡眠时口腔唾液分泌较少,对酸的缓冲能力下降,且平躺时反流物易突破食道上括约肌进入口腔[16]。由于患者习惯的睡姿体位不同,造成牙齿酸蚀脱矿的部位和程度在牙弓左右侧并不对称(图5)[17]。

面像
面像
面像;B:下颌
面像
面像;B:下颌
面像除以上的磨耗、磨损、酸蚀症3种主要的类型外,非龋性颈部缺损(non-carious cervical lesions,又称楔状缺损),也可看作是一类特殊的牙齿磨耗类型。前文所述的磨损、酸蚀症可导致楔状缺损,应力也是形成楔状缺损的重要病因[18]。当牙齿承受
力时,牙颈部是应力集中区,牙颈部由牙釉质、牙本质和牙骨质3种不同力学性能的组织组成,应力集中导致的形变,可造成局部牙体硬组织崩裂[6]。
临床上,牙齿磨耗的病因常是多因素的,部分病例以一种因素为主、另一种因素为辅。部分病例两种因素交替出现、协同作用,如牙齿表面硬组织先受酸的侵蚀发生脱矿变软,再受机械性摩擦即可显著加速牙齿硬组织丧失。部分学者提出的酸蚀性牙齿磨耗即指此类牙齿磨耗现象[19]。
牙列重度磨耗病因复杂、类型多样,造成病因的鉴别和诊断较困难。临床上可结合病史和口腔检查两方面进行病因的鉴别和诊断[20]。
病史是牙列重度磨耗病因诊断的重要环节。若通过病史采集确定患者有夜磨牙病史,则提示机械性因素可能是牙列重度磨耗的主要病因。若通过病史采集确定患者有胃食管反流病史,则提示化学性因素(酸蚀症)可能是牙列重度磨耗的主要病因。因此,病史可为牙列重度磨耗病因诊断提供非常重要的信息和依据[21]。
除病史采集外,对牙列重度磨耗病因的鉴别和诊断还需结合口腔检查,即对牙齿表面磨耗特征的检查。区分牙列重度磨耗是机械性磨耗还是化学性酸蚀,临床上可主要根据牙齿磨耗发生的部位(location)、牙齿磨耗面外观特征(appearance)、上下颌相对牙齿的磨耗量(amount)、上下颌相对牙齿的磨耗面是否有咬合接触(contact)这4个主要因素进行鉴别和诊断[20, 22],可简称为LAAC原则。
1.磨耗发生的部位:机械性磨耗由上下颌牙列相对牙齿的机械性摩擦导致,因此机械性磨耗主要发生于牙齿
面。而酸蚀症导致的牙列重度磨耗不一定出现于牙齿
面,可发生于没有咬合接触的牙齿唇颊面或舌腭面。
2.牙齿磨耗面外观特征:机械性磨耗形成的磨耗面边缘尖锐、表面光滑闪亮。而酸蚀症导致的磨耗面常表现为边缘圆钝,多呈杯状凹陷。酸蚀症患者前牙切嵴呈槽状缺损且切缘变薄,呈半透明状,变薄的切端可暴露淡黄色牙本质。后牙
面出现典型的边缘圆钝的杯状凹陷。有时可见充填物高于周围牙表面,形成银汞岛或树脂岛。牙齿唇颊面靠颈缘处常存留一小圈牙釉质,呈领圈状[23]。
3.上下颌相对牙齿的磨耗量:机械性磨耗导致的牙列重度磨耗,上下颌相对牙
面的磨耗量基本一致。而酸蚀症导致的牙列重度磨耗,上下颌相对牙
面的磨耗量可完全不同,甚至单颌磨耗严重而对颌完全没有磨耗。如神经性贪食症导致的酸蚀症,牙齿磨耗主要发生于上前牙舌侧和上颌前磨牙舌面,而下颌牙几乎完全没有磨耗[15]。
4.上下颌相对牙磨耗面有无咬合接触:机械性磨耗导致的牙列重度磨耗,其上下颌相对牙磨耗面之间有一定的咬合接触。而化学性酸蚀症导致的牙列重度磨耗,上下颌相对牙磨耗面之间可能完全没有咬合接触。如过度饮用酸性饮料习惯导致的酸蚀症,部分患者的牙齿磨耗主要发生于唇颊面。
根据以上4个主要因素对牙齿磨耗面特征进行检查,同时结合病史采集,即可明确辨析牙列重度磨耗的病因。在对牙列重度磨耗的修复治疗中,病因的诊断和鉴别诊断非常重要。明确牙列重度磨耗的病因后,需首先消除或减轻致病因素,再针对不同病因进行相应的有针对性的美学和咬合设计。针对机械性磨耗,主要注意患牙的
力控制;针对化学性磨耗,需要注意患牙修复粘接处理、边缘设计等方面。牙列重度磨耗在明确病因的基础上即可进行多学科综合治疗方案设计,一步一步完成牙列重度磨耗的美学重建和功能重建。
牙列重度磨耗患者的修复治疗过程涉及多个学科,不仅需要美学重建,还需要进行功能重建,是口腔临床的复杂和疑难病例。综合国内外相关研究,结合临床实践,笔者提出牙列重度磨耗功能和美学重建的八步法序列治疗,在患者心理、颞下颌关节检查和评估的基础上,按照以下程序完成牙列重度磨耗的修复重建:①牙齿磨耗病因的诊断;②多学科治疗设计;③美学重建设计;④咬合重建设计;⑤诊断性临时修复;⑥美学和咬合的复制转移;⑦修复体类型和材料的选择;⑧最终修复完成[24, 25]。牙列重度磨耗的病因诊断是整个治疗的开始,只有明确病因,才可以尽可能消除致病因素,针对病因制定个性化治疗方案,一步一步完成牙列重度磨耗的功能和美学重建。
北京大学口腔医学院·口腔医院第一门诊部杜阳医师整理归纳牙齿磨耗病因鉴别和诊断的LAAC原则;北京大学口腔医学院·口腔医院口腔修复学专业2014级八年制博士研究生马欣蓉协助编辑整理文献资料;中南大学湘雅二医院冯云枝教授提供咀嚼槟榔习惯导致的牙列重度磨耗病例资料
所有作者均声明不存在利益冲突
1.以下哪项不属于牙齿磨耗( )
A.磨耗
B.磨损
C.酸蚀症
D.龋病
2.以下哪项不导致牙齿的机械性磨耗( )
A.夜磨牙症
B.咀嚼槟榔
C.呕吐
D.不良刷牙习惯
3.以下哪项不是导致酸蚀症的因素( )
A.碳酸饮料
B.胃食管反流
C.
干扰
D.神经性贪食症
4. 神经性贪食症造成的牙齿磨耗主要位于( )
A.上前牙舌面
B.上后牙
面
C.下前牙唇面
D.下后牙
面
5.以下哪项关于胃食管反流造成的酸蚀症的描述不正确( )
A.磨耗面主要位于上颌后牙舌面
B.磨耗面主要位于下颌后牙
面
C.磨耗面表面光滑、边缘尖锐
D.后牙
面杯状凹陷、边缘圆钝





















