
口-面-指综合征是指一组涉及口腔、颌面、肢端发育异常的罕见疾病;常伴大脑、肾脏及其他器官症状,分类繁多复杂。本文报道1例Ⅰ型口-面-指综合征病例,系母亲遗传,为临床提供参考。
版权归中华医学会所有。
未经授权,不得转载、摘编本刊文章,不得使用本刊的版式设计。
除非特别声明,本刊刊出的所有文章不代表中华医学会和本刊编委会的观点。
口-面-指综合征(oral-facial-digital syndrome,OFD)是主要表现为口腔颌面和手足骨骼畸形,多伴肾脏、神经系统等畸形的基因遗传疾病,临床罕见。现报道1例女性Ⅰ型OFD。
1.病例资料:患者,女性,年龄3个月23 d,汉族,2018年12月以“出生时发现口内畸形”为主诉至浙江大学医学院附属儿童医院口腔科就诊。
(1)临床检查:患者表现为多发性先天畸形,以口内系带异常增生为典型特征。面部可见额前突、眶距过宽、眼睛不对称、鼻基底过宽、头发稀疏。口内检查见上唇系带附丽于上前牙牙槽嵴顶,双侧上后牙区颊黏膜与牙槽嵴顶粘连严重,前庭沟不可见,下牙槽嵴呈锯齿凹槽状,下前牙区可见3根系带附丽于下前牙牙槽嵴顶处,舌尖左侧见一粉红色质软突起,0.3 cm×0.3 cm,活动度良好,右侧舌缘中部、根部分别见0.8 cm×0.8 cm、0.4 cm×0.4 cm大小膨隆,浅黄色,质韧,活动性欠佳(图1)。听力及视力检查、心脏超声、血液检测、放射及其他超声检查未见异常。MRI示双侧额颞部脑外间隙偏宽。


(2)家族史:患者母亲33岁,孕39周时顺产,6次孕史:头3胎意外流产,第4胎孕13周时无心跳脉搏引产,第5胎女性,孕38周时因脑积水引产。患者父亲为35岁健康男性,否认相关家族史;患者母亲为孤儿,否认孕期用药史、手术史及接触致畸物或行为,患者父母非近亲结婚。
(3)基因检查:患者曾于2018年9月于浙江大学医学院附属儿童医院行基因检测,结果为OFD1基因c.412+2delTAGG杂合变异,家系验证显示患者杂合变异遗传自母亲,提示为OFD(图2)。


(4)患者母亲症状:轻度面部畸形、头发稀疏、口内颊系带增生、双手小指弯曲、双侧多囊肾(图3)。


(5)诊断:Ⅰ型OFD。
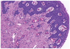
(6)治疗:因家长担心患者口内畸形影响美观及牙齿萌出,患者于2019年9月全身麻醉下经鼻插管行唇系带整复术、颊系带整复术、舌部肿物切除术,术后恢复良好(图4)。舌部肿物常规病理提示为小片纤维组织增生外覆鳞状上皮(图5)。




2.讨论:OFD是一组由口腔颌面部及肢端畸形为主要临床表现的疾病。根据临床表现和遗传模式有14种临床分型和2种未分类亚型,19个基因位点与OFD相关[1, 2, 3];其中Ⅰ型最常见,因X染色体显性遗传较易确诊[1, 2]。Ⅰ型OFD基因突变男胎致死,且多发生于妊娠早期和中期[4],也有极少数Ⅰ型OFD男性患者存活[5]。Ⅰ型OFD在新生儿中发病率为1/50 000,其口腔颌面部畸形的临床表现包括面部不对称、眶距过宽、上唇正中裂或隐裂、鼻基底发育不全、腭裂和系带异常等[6]。大部分患者伴多囊肾,部分患者伴结构性中央神经系统畸形,如胼胝体发育不全、小脑发育不全、丹迪-沃克综合征,约50%Ⅰ型OFD女性患者有智力障碍[1, 2]。
本例患者为典型Ⅰ型OFD。以患者及其父母提供的检测样本中提取的基因组DNA作为检测材料,利用序列捕获技术将全基因组外显子及相邻的内含子区域DNA捕获并富集后进行高通量测序(Illumina、PE150),并对检出的可疑变异验证(Sanger测序)及遗传学解读。遗传学测试报告显示为X染色体OFD1基因内含子5的c.412+2delTAGG杂合变异且遗传自母亲。本病例OFD1基因c.412+2delTAGG突变经Human Splicing Finder(HSF3.1)软件检索,未检索到相关文献,是一个新的变异,预测其较大可能影响mRNA的正常剪切,从而影响基因翻译,最终引起OFD临床表现。
面部形态畸形可影响儿童心理和生理健康,整复性手术是恢复正常面型和生理功能的有效措施。本例患者1岁时行口腔内软组织修复术,改善唇部、前庭沟及舌头形态,解除异常系带对颌面部发育及牙齿萌出的影响,降低口内畸形对患者心理健康的影响。患者母亲口腔颌面畸形较患者轻,患多囊肾。Ⅰ型OFD患者中多囊肾多发,且多囊肾症状在中老年可进展,本例患者及母亲应定期复查肾脏功能[6]。
所有作者均声明不存在利益冲突





















