
二次矫治一例
本文报道1例青少年骨性Ⅱ类错
患者的二次矫治过程,一期矫治阶段主要纠正口腔不良习惯,二期固定矫治阶段上下牙列排齐后,通过头帽-口外弓牵引,用矫形力抑制上颌生长,最终实现患者咬合及面型的良好改善。
二次矫治一例
[J]
. 中华口腔医学杂志, 2021, 56(1)
: 98-101.
DOI: 10.3760/cma.j.cn112144-20200318-00159.
版权归中华医学会所有。
未经授权,不得转载、摘编本刊文章,不得使用本刊的版式设计。
除非特别声明,本刊刊出的所有文章不代表中华医学会和本刊编委会的观点。
青少年生长发育高峰期是治疗各类错
畸形的最佳时期,对于处于生长发育高峰期的患者,可利用其生长潜力阻断错
畸形发展。现报道1例青少年骨性Ⅱ类错
患者的二次矫治过程,其下颌良好的生长趋势适用口外弓抑制上颌生长,以实现颌面部生长改良。
1.病例资料:患者男性,12岁。主诉:“矫牙过程中上前牙前突,无咬合接触,要求矫治”。患者于2017年9月因上牙前突于外院矫治,矫治过程中自觉上牙前突加重,前牙逐渐开
,遂来第四军医大学口腔医学院口腔正畸科就诊。患者有口呼吸、吐舌和异常吞咽习惯。否认全身疾病史。否认家族遗传史。
(1)面部检查:面部双侧基本对称,面下1/3较长,闭唇困难,颏肌紧张,下颌后缩(图1)。口内检查:恒牙列;双侧尖牙、磨牙均为远中关系;前牙覆盖8 mm;前牙开
1 mm;双侧第一磨牙有咬合接触,余牙均无接触;上牙列前段散在间隙;牙体及牙周未见明显异常(图1)。就诊时配戴外院制作的斜面导板(图2)。双侧颞下颌关节无压痛,未闻及弹响和杂音,开口度、开口型未见异常。

患者(12岁男性)矫治前临床照片及影像资料,除双侧第一磨牙外,余牙均无咬合接触 A:正面像;B:正面微笑像;C:侧面像;D:头颅侧位X线片;E:曲面体层X线片;F:右侧
像;G:正面
像;H:左侧
像;I:上颌
面像;J:下颌
面像
患者(12岁男性)矫治前临床照片及影像资料,除双侧第一磨牙外,余牙均无咬合接触 A:正面像;B:正面微笑像;C:侧面像;D:头颅侧位X线片;E:曲面体层X线片;F:右侧
像;G:正面
像;H:左侧
像;I:上颌
面像;J:下颌
面像
患者就诊时上颌配戴斜面导板
患者就诊时上颌配戴斜面导板(2)曲面体层X线片:恒牙列,18—28,38—48;双侧髁突形态基本对称,骨皮质连续;牙槽骨未见明显异常(图1)。头颅侧位X线片:患者处于颈椎骨龄一期,有80%以上的生长潜力[1, 2](图1)。头影测量示,上牙槽座角87.7°,下牙槽座角80.8°,ANB角(上牙槽座点、鼻根点与下牙槽座点构成的角)6.9°,下颌骨体长与前颅底长之比为104.7%,Wits值(上、下牙槽座点在功能
平面上的垂足间距)2.7 mm,前后发育异常指数78.4,提示患者为骨性Ⅱ类错
,上颌前突,下颌后缩;眶耳平面-下颌平面角30°,后面高与前面高之比62.2%,提示患者为下颌角均角,下颌骨生长倾向于正常生长趋势。
(3)模型分析:上颌散在间隙1 mm,下颌拥挤度1.5 mm,下颌
曲线曲度2 mm,前牙Bolton指数79.2%,全牙Bolton指数90.1%。矫治前上颌和下颌的骨性宽度分别为49.0和44.0 mm,牙性宽度分别为43.5和45.5 mm。分析得到上下颌骨性宽度匹配,上颌第一磨牙需扩弓2 mm。
(4)诊断:安氏Ⅱ类1分类错
;骨性Ⅱ类错
;上颌前突;下颌后缩;下颌角均角;开
;牙列不齐。
(5)矫治计划:转耳鼻咽喉科会诊,明确呼吸道是否存在异常。耳鼻咽喉科会诊示无明显鼻腔病变,可行正畸治疗。制定以下双期矫治方案。第一期矫治:①粘接上颌固定舌刺,配合舌肌训练,纠正吐舌和异常吞咽习惯[3]。②贴口呼吸贴闭唇睡眠,辅以唇肌功能训练[3, 4],纠正口呼吸习惯。不良口腔习惯纠正后开始二期矫治:①口外弓抑制上颌生长。②上颌横腭杆扩弓2 mm。③口外弓支抗远移13、23,建立尖牙中性关系,上颌间隙用于内收上前牙。④二期矫治及保持阶段嘱患者继续进行口腔肌功能训练,闭唇睡眠,避免不良口腔习惯导致牙齿错位复发。
(1)一期矫治:在11、21舌侧窝粘接上颌固定舌刺,纠正不良舌习惯,嘱患者进行舌肌功能训练[3],辅助建立舌体正常功能位置。嘱患者贴口呼吸贴闭唇睡眠,辅以唇肌功能训练[4],纠正口呼吸习惯。矫治1个月的口内像示开
及深覆盖情况有明显改善(图3)。一期矫治用时5个月。

患者矫治1个月时(一期矫治)口内像,示开
及深覆盖改善 A:右侧
像;B:正面
像;C:左侧
像;D:上颌
面像;E:下颌
面像
患者矫治1个月时(一期矫治)口内像,示开
及深覆盖改善 A:右侧
像;B:正面
像;C:左侧
像;D:上颌
面像;E:下颌
面像(2)二期矫治:粘接直丝弓固定矫治器,依次使用0.305 mm(0.012英寸)、0.406 mm(0.016英寸)、0.457 mm(0.018英寸)镍钛丝及0.457 mm(0.018英寸)澳丝排齐上下牙列。上颌横腭杆扩弓2 mm协调牙弓宽度。口外弓支抗条件下,利用前牙散在间隙和上颌扩弓间隙,远移13、23,建立尖牙中性关系(图4,5)。

患者矫治9个月时(二期矫治)配戴头帽-口外弓的面像 A:正面像;B:正面微笑像;C:侧面像
患者矫治9个月时(二期矫治)配戴头帽-口外弓的面像 A:正面像;B:正面微笑像;C:侧面像
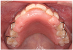
患者矫治9个月时(二期矫治)口内像,示上下牙弓宽度匹配,尖牙关系改善 A:右侧
像;B:正面
像;C:左侧
像;D:上颌
面像;E:下颌
面像
患者矫治9个月时(二期矫治)口内像,示上下牙弓宽度匹配,尖牙关系改善 A:右侧
像;B:正面
像;C:左侧
像;D:上颌
面像;E:下颌
面像上、下颌弓丝换至0.483 mm×0.635 mm(0.019英寸×0.025英寸)不锈钢方丝,将矫治弓丝末端回弯。皮链连扎上、下牙列,防止上下颌前牙出现间隙,并使上、下牙列各自成为一个整体。上颌采用口外弓支抗配合水平牵引,减小垂直向分力,维持现有下颌生长方向。口外弓与头帽弹性牵引,每侧牵引力约2.94 N,每日配戴时间≥12 h。
17、27萌出高度已够纳入治疗,排齐17、27,精细调整咬合关系。拆除固定矫治器,上、下颌压膜保持器保持。嘱患者坚持唇舌肌功能训练和闭唇睡眠。矫治时间共计22个月(图6,7)。

患者矫治后即刻临床照片及影像资料 A:正面像;B:正面微笑像;C:侧面像;D:头颅侧位X线片;E:曲面体层X线片;F:右侧
像;G:正面
像;H:左侧
像;I:上颌
面像;J:下颌
面像
患者矫治后即刻临床照片及影像资料 A:正面像;B:正面微笑像;C:侧面像;D:头颅侧位X线片;E:曲面体层X线片;F:右侧
像;G:正面
像;H:左侧
像;I:上颌
面像;J:下颌
面像
患者矫治前后头影描记重叠图 A:S(蝶鞍点)-N(鼻根点)重叠图;B:矫治前后Ricketts五项重叠图
患者矫治前后头影描记重叠图 A:S(蝶鞍点)-N(鼻根点)重叠图;B:矫治前后Ricketts五项重叠图3.矫治效果:患者前牙开
得到纠正,全口牙齿排列整齐,上、下颌宽度匹配,磨牙中性关系,咬合关系良好,前伸及侧方咬合无干扰。口腔不良习惯纠正。闭唇自如,颏肌放松,颏唇沟加深,颏颈角变锐,侧貌改善明显(图6)。双侧颞下颌关节区未触及压痛,未闻及关节弹响及杂音。矫治后全口曲面体层X线片及头颅侧位X线片显示,全口牙槽骨水平与术前一致,牙根平行度较好,牙根及牙槽骨未见明显吸收。双侧颞下颌关节形态和骨质未见明显改变(图6)。矫治后头颅侧位X线片示患者处于生长发育颈椎骨龄四期,此时患者颅颌面部生长基本趋于稳定。矫治后头影测量结果示:上牙槽座角87.0°,下牙槽座角83.3°,ANB角3.7°,下颌骨体与前颅底长之比107.4%,Wits值-2.7 mm,前后发育异常指数84.2,眶耳平面-下颌平面角24.6°,后面高与前面高之比66.6%。矫治前后头影描记重叠图显示患者颅颌面生长明显,主要表现为向前、向下的生长;术后下颌相对于上颌向前的生长量更大,上颌前突相对改善;上切牙唇倾度无明显变化,下切牙唇倾(图7)。保持10个月时患者咬合关系稳定,面型基本维持。
患者自诉上一次正畸治疗前无前牙开
,于外院矫治1年半后上颌前突加重,并逐渐开
。出现这种情况的可能原因是首诊医师希望通过配戴上颌斜导促进下颌向前生长,但忽略了斜面导板的不良反应:配戴斜导后咬合产生的
力经斜导传递至上前牙,使上前牙唇展并产生间隙。该斜导唇侧未设计双曲唇弓,不能抵消上前牙唇展效应。另外,斜导还能使上下颌后牙伸长,长期配戴导致上颌前突及前牙开
。此外,临床检查示患者有吐舌、异常吞咽及张口呼吸等不良口腔习惯,这些均可加重前牙唇倾和开
趋势。针对上述分析,二次矫正时转变治疗思路,从病因入手,制定矫治方案。首先,转耳鼻咽喉科会诊,明确患者为非阻塞性口呼吸后,行正畸治疗。舌刺破除吐舌和异常吞咽习惯,并配合唇、舌肌功能训练,夜间贴口呼吸贴进行闭唇睡眠,患者的开
及深覆盖明显好转。
颅颌面部的生长发育呈现出差异化的特点,具体表现为:上颌骨的生长发育高峰早于下颌骨,下颌骨的生长方向相对于颅骨向下、向前[1]。根据患者头影测量进行Jarabak生长预测:患者后面高与前面高之比为62.2%,提示其生长趋势为正常生长型[5]。患者就诊时,处于生长发育颈椎骨龄一期,下颌骨生长的峰值应在该阶段后1年内开始[1]。结合颅颌面差异化的生长特点,可预测该患者在开始矫治的1~2年内,下颌骨有较大的生长量,且生长趋势为正常生长型,这种生长趋势对该患者骨性Ⅱ类骨面型的改善有利,因此选择生长改良的治疗方案。矫治后头颅侧位X线片示患者生长已处于生长发育的颈椎骨龄四期,下颌生长发育高峰已基本完成[2]。头影重叠显示:与矫治前相比,矫治后颅颌面生长明显,主要表现为向前向下的生长,下颌相对于上颌向前的生长量更大,术后的生长改变与术前预测基本一致。因此,患者术后面型改善明显,其良好的生长趋势是面型改善的决定因素,准确的生长预测是该患者治疗成功的关键。
生长发育期的生长改良对于骨性Ⅱ类错
患者矢状关系的改善尤为重要。头帽-口外弓已被证实能有效抑制上颌发育。该患者的错
畸形类型和矫治时机,适合用口外弓抑制上颌生长,等待下颌生长以实现颌面部的生长改良。术前头影测量眶耳平面-下颌平面角为30°,可用口外弓行水平牵引,使用矫形力抑制上颌生长时,上颌牙列“一”字连扎,矫治弓丝向后可靠末端回弯,上牙弓作为一个整体发挥作用。这样,口外弓远移的力可作用于整个上牙弓乃至上颌骨,进而抑制上颌的向前生长,而允许下颌发挥向前生长的潜力[6]。上颌横腭杆一方面可以扩弓,匹配上下颌宽度,另一方面也可抵消口外弓在水平向和垂直向的不良分力,避免矫治过程中上颌磨牙伸长导致下颌顺时针旋转。该患者能成功矫治,重点在于准确的诊断,找出导致错
畸形的原因,在此基础上制定合理的矫治方案,再依靠患者良好的配合,完成对患者错
畸形的治疗,最终Ⅱ类骨面型得以改善,获得比较满意的效果。
所有作者均声明不存在利益冲突
处于青春迸发期的患者有更多的正畸潜力,治疗方式也有较多的选择。利用发育潜力和选择适当的矫治器,可帮助患者获得更好的矫治疗效;反之,则可产生不利后果。本文具有一定的典型性:1例12岁男性患者使用斜面导板治疗后前牙产生开和前突,Ⅱ类错依然存在。而正确使用舌刺和肌功能训练半年后,患者咬合得到改善。在二期固定矫治中,本病例矫治成功的原因主要是下颌的持续向前下方生长,同时头帽‑口外弓产生的矫形力抑制上颌发育,最终实现患者咬合关系及面型的改善。目前,关于下颌骨生长预测准确性的观点并不一致,不同患者不一定产生相同的下颌生长量。本病例下颌获得足够量的生长,体现了颈椎分期对生长预测存在一定意义。
本病例报告有需要改进之处:①骨性Ⅱ类错青少年患者的生长型可影响矫治的长期疗效,该患者尚未完成远期追踪观察,作者应予以关注。②患者有第三磨牙,口外弓控制上颌及其牙齿位置的稳定性有待观察。③患者下颌向前生长,文中没有讨论具体的原因。
畸形预防矫治[J]. 国际口腔医学杂志, 2015, 42(3): 249-254.
畸形儿童的口腔综合治疗[J].贵州医科大学学报, 2019, 44(6): 708-711. DOI: 10.19367/j.cnki.1000-2707.2019.06.018.
Jarabak头影测量分析[J]. 中华口腔正畸学杂志, 2009, 16(4): 199-202. DOI: 10.3760/cma.j.issn.1674-5760.2009.04.005.

二次矫治一例[J]. 中华口腔医学杂志, 2021, 56(1): 98-101. DOI: 10.3760/cma.j.cn112144-20200318-00159.



















