
借助数字化微笑设计、电子面弓、数字化
力分析仪、肌肉电刺激仪等数字化工具,为1例牙列重度磨耗患者完成与口颌系统形态和功能协调的全口咬合重建。术后6个月复查,患者咬合、发音、关节等相关的口颌系统功能稳定,对治疗效果满意。
咬合重建是通过修复方法恢复适当的垂直距离,重建颌位关系和全牙列咬合接触,消除口颌系统功能紊乱并恢复其正常生理功能的治疗方法[1]。口颌系统是一个有机的功能整体,咬合重建的目标是恢复患者神经-肌肉-颞下颌关节-咬合之间的动态平衡,故每个治疗环节均需对口颌系统的生理功能进行全面、细致的评估,做出准确的临床决策[2]。传统咬合重建中颌位关系的获取较大程度上依赖于医师的经验和患者的主观反馈,缺少客观评价。本文介绍1例借助多种数字化工具辅助治疗牙列重度磨耗患者的美学与咬合重建过程,以期对全口咬合重建的设计、修复体制作及术后评估等方面提供参考。
1.一般情况:患者男性,50岁,2018年6月就诊于第四军医大学口腔医学院口腔修复科,自述进食时频繁咬颊,影响生活10余年,近年多颗牙齿出现冷热刺激敏感症状,并伴颞下颌关节弹响。20余年前曾于外院接受牙体及修复治疗,有夜磨牙症病史。有喜食瓜子、吸烟的不良习惯,现已戒除。既往体健,其他系统未见明显异常。
2.临床检查:
(1)面部检查:患者颌面部左右对称,颜面比例正常,面下1/3距离无明显降低。中位笑线。开口度、开口型无异常,开闭口运动时颞下颌关节有弹响和杂音,咀嚼肌群触诊无不适(图1)。


(2)口内检查:全口牙齿不同程度磨损,21呈“V”形缺损,17、15—25、27、36—44、46、47切端或
面及舌侧牙釉质磨损,继发性牙本质暴露,
面存在杯状磨耗小面。16、26全冠修复,37种植固定义齿修复,47
面树脂充填。45缺失,无缺牙间隙。全口多数牙齿探(+/-),冷刺激(-),叩诊(-)。软垢(+),牙石(+),色素(++),局部牙龈充血红肿。全口牙齿无松动,牙周探诊深度2~4 mm。上中切牙中线正,下中切牙中线左偏1 mm,下前牙区散在间隙(图2)。

像;B:正面
像;C:左侧
像;D:上颌
面像;E:前伸位
像;F:下颌
面像
像;B:正面
像;C:左侧
像;D:上颌
面像;E:前伸位
像;F:下颌
面像(3)影像学检查:根尖片示16、26、47已行根管治疗,根尖周未见明显异常。37种植体骨结合良好。28高位埋伏阻生(图3)。关节CT示右侧颞下颌关节前间隙增宽,髁突后移位,双侧髁突骨皮质完整,未见关节器质性病变(图4)。




3.诊断:重度磨耗,牙列不齐(下前牙间隙),慢性牙龈炎,颞下颌关节紊乱病,28埋伏阻生。
4.治疗计划:多学科联合全口咬合重建。包括:①牙周科会诊行全口龈上下洁治术。②牙体牙髓科会诊检查余留牙牙髓和根尖周状态,16根尖片显示近中根根管充填不完善,根管钙化、牙骨质增生,叩诊无异常,无其他根尖周症状,建议暂不处理,直接行冠修复。③颞下颌关节科会诊评估关节状态,建议增高垂直距离改善颞下颌关节症状。④修复科完成固定义齿的咬合重建修复治疗。
5.治疗设计及过程:
(1)磨耗病因分析:患者有长期夜磨牙症病史和进食瓜子的不良习惯,口内多数牙齿切端或
面、舌侧牙釉质磨损,继发性牙本质暴露超过牙面1/3,诊断为物理因素导致的3级重度磨耗[3, 4]。治疗前T-scan数字化
力分析仪(TekScan,美国)和肌肉电刺激仪测试结果示咬合不均匀,咀嚼肌肌力不对称(表1,2)。

牙列重度磨耗患者治疗前后各时间点最大牙尖交错位时咀嚼肌肌电的比较(μV)
牙列重度磨耗患者治疗前后各时间点最大牙尖交错位时咀嚼肌肌电的比较(μV)
| 肌肉位置 | 治疗前 | 过渡修复阶段 | 治疗后6个月 |
|---|---|---|---|
| 右侧颞肌前束 | 30 | 40 | 84 |
| 左侧颞肌前束 | 25 | 32 | 85 |
| 右侧咬肌 | 73 | 94 | 144 |
| 左侧咬肌 | 53 | 94 | 140 |
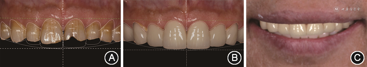
(2)美学重建设计:借助数字化微笑设计(digital smile design,DSD),综合分析患者微笑时上中切牙暴露量及牙冠美学比例,确定上前牙切缘位置,改善前牙宽长比例及微笑曲线(图5)。


(3)过渡性
垫治疗:参考DSD,借助正中关系咬合片(Leaf Gauge)确定正中关系,面弓转移上
架,制作过渡性
垫,后牙区垂直距离增加约3 mm(图6)。患者戴用过渡性
垫3个月后,口颌肌群无不适症状,咬颊及关节症状明显改善。复查关节CT示,右侧颞下颌关节前间隙缩小,左侧颞下颌关节前间隙稍增宽(图7)。

垫口内戴用情况 A:右侧
像;B:正面
像;C:左侧
像
垫口内戴用情况 A:右侧
像;B:正面
像;C:左侧
像
垫后关节CT A:右侧髁突冠状位;B:右侧髁突矢状位,红色线条间空隙示右侧颞下颌关节前间隙较治疗前缩小;C:左侧髁突矢状位,红色线条间空隙示左侧颞下颌关节前间隙较治疗前增大;D:左侧髁突冠状位
垫后关节CT A:右侧髁突冠状位;B:右侧髁突矢状位,红色线条间空隙示右侧颞下颌关节前间隙较治疗前缩小;C:左侧髁突矢状位,红色线条间空隙示左侧颞下颌关节前间隙较治疗前增大;D:左侧髁突冠状位(4)诊断性临时修复:借助电子面弓记录患者关节及下颌运动轨迹,获取个性化动态数据(左侧方8.1 mm,右侧方9.9 mm;前伸4.6 mm;侧方髁道右侧14.1 mm,左侧14.2 mm;侧方髁道斜度右侧44°,左侧29°),通过多次开闭口运动,寻找患者的正中关系并记录颌位关系。最后根据这些参数调整虚拟
架(Amann Girrbach,德国)参数,髁导斜度右侧31.8°,左侧16.6°;Bennett角右侧-0.8°,左侧16.8°;瞬即侧移左右均为0.0 mm,在软件中结合DSD制作三维打印诊断蜡型。翻制硅橡胶导板,口内制作诊断饰面,由患者确定美学与功能效果后,进行初步预备,选择性酸蚀技术口内直接法利用高强度流动树脂制作诊断性临时修复体(图8)。借助T-scan数字化
力分析仪和肌肉电刺激仪检查进行咬合调改,使患者牙尖交错
、前伸
以及侧方
过程中修复体动态
力均匀、双侧咀嚼肌肌力均衡,无明显
干扰和肌张力过高。

像;B:正面
像;C:左侧
像;D:上颌
面像;E:前伸位
像;F:下颌
面像
像;B:正面
像;C:左侧
像;D:上颌
面像;E:前伸位
像;F:下颌
面像(5)最终修复:临时修复体戴用6个月后,复查美学与功能状态无异常,进行最终修复体的制作与粘接。综合微创、美观及不同部位强度的需求,修复体设计为17、16、13—23、26、27、37、36、46、47高透氧化锆单层瓷全冠修复;15、14、24、25、35、34、44二硅酸锂增强型玻璃陶瓷
贴面修复;33—43 二硅酸锂增强型玻璃陶瓷贴面修复。使用数字化口腔扫描设备复制经患者口内适应后的临时修复体形态,分阶段完成最终修复。修复即刻美学效果满意,21、22间龈乳头轻微退缩,患者唇齿关系协调,覆
覆盖正常,咬合稳定,前伸时后牙分离,侧方运动为尖牙保护
。考虑到患者有长期夜磨牙症病史,
力大,存在副功能运动,易发生修复体折裂和脱落,故修复完成即刻为患者制作厚度2.0 mm配戴于上颌的夜磨牙症软
垫,以期提高远期修复成功率[5](图9)。

像;B:上颌
面像;C:下颌
面像
像;B:上颌
面像;C:下颌
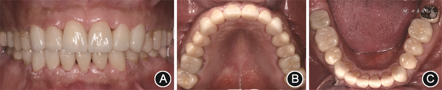
面像(6)随访:治疗后1周复查,借助数字化工具进行咬合精细调整。治疗后1、3个月复查,口颌功能稳定,患者无明显不适,关节弹响改善,咬颊症状完全消失。治疗后6个月复查美学效果稳定,21、22间龈乳头充盈;动态发音(拼音“f”“s”“e”)检查修复体形态、位置及垂直距离与患者口唇功能协调(图10,11);数字化
力分析仪和肌电仪检查结果示
力均匀,其中37种植体为轻咬合,轻咬不接触,重咬轻接触。患者治疗后
力和平衡性较治疗前增加,最大紧咬时咀嚼肌肌力和肌电对称率较治疗前增加(表1,2);关节CT示双侧颞下颌关节间隙恢复正常,髁突位置居中(图12)。



像;B:正面
像;C:左侧
像;D:上颌
面像;E:前伸位
像;F:下颌
面像
像;B:正面
像;C:左侧
像;D:上颌
面像;E:前伸位
像;F:下颌
面像

口颌系统是由牙、神经、肌肉、关节等组成的动态系统,传统影像学信息仅能提供颞下颌关节静态的解剖形态信息,不能反映其功能运动状态,难以为临床诊断和决策提供充足的参考。咬合重建中常用的颌位关系确定方法,一类由医师采取一定手法辅助患者获得,如手法诱导(单手后退法、双手后退法、肌动力正中关系咬合法)、肌监测仪法、Leaf Gauge(正中关系咬合片)法;另一类是患者在医师的引导下自行寻找获得,如吞咽法、卷舌后舔法、肌肉疲劳法等[6, 7, 8],这些方法多由医师根据经验和患者的主观反馈确定。本文在传统方法的基础上,借助数字化工具为治疗效果提供客观评价,从而辅助验证重建的咬合与口颌系统的功能状态是否协调。治疗前DSD分析患者美学缺陷,帮助制订符合患者功能、美学及主观需求的治疗计划,增强美学修复预见性的同时提高沟通效率[9]。过渡性
垫戴用阶段,使用数字化工具结合影像学检查评估口颌系统的结构变化、咀嚼肌群的电生理功能,辅助判断治疗是否恰当[2]。在诊断性临时修复阶段,通过电子面弓记录下颌及髁突运动轨迹,辅助诊断口颌系统的功能状态。借助下颌运动轨迹描记,通过多次开闭口运动,寻找重复性高的正中关系[8]。T-scan数字化
力分析仪和肌肉电刺激仪在整个治疗阶段,均可对咀嚼肌群的功能状态、
力大小及咬合接触点的分布状态进行监测,并辅助修复体的制作和调改。最后,借助数字化口腔扫描设备,记录经过功能适应性磨耗的临时修复体形态,咬合接触关系以及精修后的基牙预备体,建立数字化模型并匹配拟合。结合电子面弓收集的关节运动信息,利用虚拟
架功能模拟咬合,辅助制作最终修复体[10]。最终修复完成后,患者咬颊及关节弹响症状消失,咬合稳定。
本文借助数字化工具辅助完成牙列重度磨耗咬合重建1例,在传统咬合重建修复理论的基础上,增加了可视化、客观的诊断依据及疗效评价手段,辅助医师完成高效精准治疗的同时,提高患者就诊舒适度。数字化是近年口腔医学发展的重要方向,希望能通过借助数字化工具建立患者的关节、肌肉、咬合以及牙列形态的数据库,为不同类型的全口咬合重建修复病例提供参考,提升诊疗满意度。
所有作者均声明不存在利益冲突
本文通过1个病例的诊断、修复设计、修复体制作、修复后随访的完整过程,说明如何用数字化设备从不同角度采集数据、进行修复体个性化设计和精确制作,以及对患者进行功能评价。咬合重建是对患者原有口颌系统功能改变较大的一种修复方式,其不仅要求修复体制作精度高,更要求医师对患者进行科学的诊断以及修复体设计,否则不仅不能改善患者原有不适,反而会造成进一步的损伤。以往的治疗多依据医师经验进行,相应的客观评价指标较少,这是造成治疗效果不佳的重要原因之一。相信此文可对读者正确使用数字化设备以及科学地进行咬合重建修复治疗提供帮助。





















