
随访十年一例
严重骨性Ⅲ类错
对患者面部美观和咬合功能影响较大。正畸-正颌联合治疗是解决骨性Ⅲ类错
的有效方法。本文报道1例采用正畸-正颌联合治疗骨性Ⅲ类错
后钛板未取出的病例,经10年随访患者咬合关系和面型保持稳定,牙齿排列基本整齐;提示严重骨性Ⅲ类错
经过合理设计的正畸-正颌联合治疗后可获得良好的远期稳定性。
随访十年一例
[J]
. 中华口腔医学杂志, 2021, 56(11)
: 1130-1135.
DOI: 10.3760/cma.j.cn112144-20210416-00183.
对于上颌发育不足,下颌发育过度的骨性Ⅲ类错
患者,正畸-正颌联合治疗是获得良好咬合关系及面型的有效方式。正颌外科手术目前已较成熟,通过上下颌的移动可高效改善患者颌面部骨性畸形,提高口腔颌面部的功能和美观[1]。正颌外科手术后患者满意率高[2];咬合关系和面型的改善可增强口腔功能与面部美观,有助于增强患者在人际交往中的信心,提高生活质量[3, 4]。近期系统评价显示,相较于大量的正颌术后短期疗效评估,正颌术后疗效长期稳定性的相关报道较少[5]。现报道1例正畸-正颌联合治疗骨性Ⅲ类错
成年病例的10年随访结果,为临床提供参考。
1.一般情况:患者女性,29岁,汉族,主诉:下颌前突,要求矫治。患者因下颌前突畸形于2006年10月于中国医科大学口腔医学院·附属口腔医院口腔颌面外科就诊,诊断为骨性Ⅲ类错
畸形后于中国医科大学口腔医学院·附属口腔医院正畸科拟行术前正畸治疗。患者全身状况良好,否认正畸治疗史,否认家族遗传史,否认口腔不良习惯。
2.临床检查:
(1)颜面检查:正面观左右基本对称;侧面观为凹面型,鼻旁区凹陷,颏部前突。
(2)口内检查:恒牙列,12缺失,上下牙弓尖圆形,下前牙拥挤;上中线较面中线右偏3 mm,下中线与面中线基本对齐;双侧磨牙为近中关系;前牙覆
0 mm,反覆盖2 mm;全口牙颈部颜色发黄,口腔卫生良好。
(3)颞下颌关节检查:开口度正常,开口型正常,双侧颞下颌关节无张口弹响与杂音,无明显压痛。
(4)X线检查:头颅侧位X片及头影测量分析显示,患者为骨性Ⅲ类[ANB角(上牙槽座点、鼻根点与下牙槽座点构成的角)为-5.2°],高角型[FMA角(眼耳平面与下颌平面的交角)为40.6°],上颌骨发育不足,下颌骨发育过度,上切牙代偿性唇倾,下切牙代偿性舌倾。曲面体层X线片显示14、17、24、47冠内高密度影,15、16、22、25、26、36、46冠及根管内高密度影,余牙牙根未见明显异常;全口牙牙槽骨水平吸收;关节区未见明显异常(图1)。

成年患者治疗前面像、口内像和影像学资料 A:正面像;B:正面微笑像;C:侧面像;D:头颅侧位X线片;E:曲面体层X线片;F:右侧
像;G:正面
像;H:右侧
像;I:上颌
面像;J:下颌
面像
成年患者治疗前面像、口内像和影像学资料 A:正面像;B:正面微笑像;C:侧面像;D:头颅侧位X线片;E:曲面体层X线片;F:右侧
像;G:正面
像;H:右侧
像;I:上颌
面像;J:下颌
面像3.诊断:安氏Ⅲ类错
畸形,骨性Ⅲ类、高角型。
4.矫治计划:正畸-正颌联合治疗,改善面型凹、下颌前突、侧貌不美观等问题。具体:①术前正畸治疗,减数22、18、28、38、48,内收前牙关闭间隙,改善上颌中线右偏问题,增加前牙反覆盖以去代偿,同时配合邻面去釉排齐下牙列;②双颌手术,上颌Lefort Ⅰ型截骨前移术+下颌双侧矢状劈开截骨后退术;③术后正畸,精细调整咬合关系。
5.矫治过程
(1)术前正畸治疗:拔除22、18、28、38、48,粘接全口直丝弓矫治器,采用直丝弓矫治技术。上颌初始弓丝为0.356 mm(0.014英寸)镍钛圆丝,下颌初始弓丝为0.305 mm(0.012英寸)镍钛圆丝,依次更换0.356 mm(0.014英寸)、0.406 mm(0.016英寸)镍钛圆丝,0.406 mm×0.559 mm(0.016英寸×0.022英寸)镍钛方丝,0.406 mm×0.559 mm(0.016英寸×0.022英寸)不锈钢方丝。矫治4个月后初步排齐上下牙列。矫治5个月后阶段模型示上下牙弓基本匹配;利用减数间隙调整上牙列中线,内收上前牙,33—43邻面去釉为下前牙排齐提供间隙。矫治8个月时取阶段模型:上下牙弓匹配,前牙反覆盖增大,继续关闭拔牙间隙,解除下前牙拥挤(图2,3)。矫治15个月时上下颌以0.406 mm×0.559 mm(0.016英寸×0.022英寸)不锈钢弓丝作为稳定弓丝,于相邻牙托槽间焊接牵引钩为正颌手术做准备,取模型制作终末
板(图4)。

成年患者正畸治疗8个月时面像和影像学资料 A:正面像;B:正面微笑像;C:侧面像;D:头颅侧位X线片;E:曲面体层X线片
成年患者正畸治疗8个月时面像和影像学资料 A:正面像;B:正面微笑像;C:侧面像;D:头颅侧位X线片;E:曲面体层X线片
成年患者正畸治疗8个月时口内像 A:右侧
像;B:正面
像;C:左侧
像
成年患者正畸治疗8个月时口内像 A:右侧
像;B:正面
像;C:左侧
像
成年患者正颌术前面像、口内像和影像学资料 A:正面像;B:正面微笑像;C:侧面像;D:头颅侧位X线片;E:曲面体层X线片;F:右侧
像;G:正面
像;H:左侧
像;I:上颌
面像;J:下颌
面像
成年患者正颌术前面像、口内像和影像学资料 A:正面像;B:正面微笑像;C:侧面像;D:头颅侧位X线片;E:曲面体层X线片;F:右侧
像;G:正面
像;H:左侧
像;I:上颌
面像;J:下颌
面像(2)正颌手术:正颌手术采用双颌手术。上颌行Le Fort Ⅰ型截骨术,前徙上颌骨,于双侧梨状孔边缘和双侧颧牙槽嵴处分别以2块“L”型微型钛板、8枚微型螺钉固定。下颌行双侧矢状劈开截骨后退术,于双侧外斜线处以2块小型钛板、8枚微型螺钉固定。
(3)术后正畸治疗:正颌术后2个月,尖牙、磨牙基本为远中关系,前牙覆
覆盖较浅,行双侧Ⅲ类颌间牵引,维持上下牙咬合关系;术后5~6个月,双侧前牙区及磨牙区行颌间“8”字牵引,调整咬合关系(图5);术后7~12个月,33—43邻面去釉3次,斜行牵引调整中线,颌间弹力牵引调整咬合关系,使用摇椅弓改善覆
覆盖关系;术后13个月(矫治28个月),牙齿排列整齐,咬合关系正常,拆除固定矫治器,上下颌戴压膜保持器(图6)。

成年患者正颌术后5个月时面像、口内像和影像学资料 A:正面像;B:正面微笑像;C:侧面像;D:头颅侧位X线片;E:曲面体层X线片;F:右侧
像;G:正面
像;H:左侧
像;I:上颌
面像;J:下颌
面像
成年患者正颌术后5个月时面像、口内像和影像学资料 A:正面像;B:正面微笑像;C:侧面像;D:头颅侧位X线片;E:曲面体层X线片;F:右侧
像;G:正面
像;H:左侧
像;I:上颌
面像;J:下颌
面像
成年患者治疗结束时面像、口内像和影像学资料 A:正面像;B:正面微笑像;C:侧面像;D:头颅侧位X线片;E:曲面体层X线片;F:右侧
像;G:正面
像;H:左侧
像;I:上颌
面像;J:下颌
面像
成年患者治疗结束时面像、口内像和影像学资料 A:正面像;B:正面微笑像;C:侧面像;D:头颅侧位X线片;E:曲面体层X线片;F:右侧
像;G:正面
像;H:左侧
像;I:上颌
面像;J:下颌
面像(4)随访:治疗结束8个月时复查,咬合关系良好(图7)。治疗结束10年时复查,咬合关系与治疗结束时基本一致,牙排列基本整齐,仅下前牙有轻度拥挤,钛板未取出,颌骨无炎症(图8,9)。

成年患者治疗结束8个月时面像、口内像和影像学资料 A:正面像;B:正面微笑像;C:侧面像;D:头颅侧位X线片;E:曲面体层X线片;F:右侧
像;G:正面
像;H:左侧
像;I:上颌
面像;J:下颌
面像
成年患者治疗结束8个月时面像、口内像和影像学资料 A:正面像;B:正面微笑像;C:侧面像;D:头颅侧位X线片;E:曲面体层X线片;F:右侧
像;G:正面
像;H:左侧
像;I:上颌
面像;J:下颌
面像
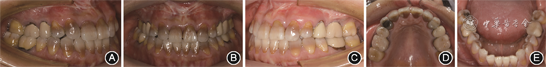
成年患者治疗结束10年时口内像 A:右侧
像;B:正面
像;C:左侧
像;D:上颌
面像;E:下颌
面像
成年患者治疗结束10年时口内像 A:右侧
像;B:正面
像;C:左侧
像;D:上颌
面像;E:下颌
面像
成年患者治疗结束10年时面像 A:正面像;B:正面微笑像;C:侧面像
成年患者治疗结束10年时面像 A:正面像;B:正面微笑像;C:侧面像6.治疗结果:正畸-正颌联合治疗结束后,患者双侧磨牙基本为远中关系,前牙覆
覆盖正常,上下颌中线居中,前伸及侧方咬合无干扰,软组织侧貌较理想。
正畸-正颌联合治疗可有效改善骨性错
畸形患者的咬合关系,改善面部美观,但现阶段关于正畸-正颌联合治疗疗效长期稳定性的相关报道较少[5]。
国内外的相关研究显示,除下颌可能存在一定复发可能外,正畸-正颌联合治疗骨性Ⅲ类错
的硬组织长期稳定性总体疗效较好[6],此外,双颌手术上下颌骨移动距离相对单颌手术少,可减少术后复发,即上下颌骨矢状向稳定性优于单颌手术[7]。关于钛板是否取出对长期稳定性的影响,国内外相关高质量研究较少。坚强内固定是正颌手术对上下颌骨进行稳定固定的常用方式。但术后是否取出固定材料,国内外尚无定论[8]。主流观点认为是否取出应取决于固定部位有无炎症或感染等症状[9, 10]。本病例在矫治后处于“无症状”状态,因此未将钛板取出。治疗结束10年时疗效稳定,证实该处理方式的合理性。
对于骨性畸形患者,一般通过矫形治疗、掩饰性治疗或正畸-正颌外科联合治疗,对轻度骨性畸形成年患者可采用掩饰性治疗,掩饰患者存在的骨性畸形;对颌骨关系严重不调的成年患者,需通过外科手术重新定位上下颌骨。骨性Ⅲ类错
的正颌手术根据手术部位通常分为单纯下颌手术和双颌手术,其中上颌Le Fort Ⅰ型截骨术和下颌双侧升支矢状劈开截骨术是目前治疗骨性Ⅲ类错
的最佳方法[6,11]。
本病例未按常规减数前磨牙,而是根据患者12缺失以及22死髓情况,选择拔除22,从而在实现去除代偿和调整中线目标的同时,保留更多健康牙,利于笑容美观。同时,对下颌前牙段进行邻面去釉,为下颌排齐整平提供间隙。用上颌尖牙代替侧切牙,上颌第一前磨牙代替上颌尖牙,需分次调磨上颌尖牙牙尖以及上颌第一前磨牙舌尖及中央窝,必要时还应调磨下颌尖牙牙尖。本病例采用非常规减数,并获得了良好的尖窝交错咬合关系及疗效的长期稳定。
本病例正畸开始时年龄为30岁,骨骼生长发育已经停止,这是正畸-正颌联合治疗获得稳定效果的必要条件。矫治结束后患者在人际交往中更自信,生活质量得到明显提高。10年的长期随访体现了远期效果的稳定。该病例提示,对于成人的严重骨性Ⅲ类错
,采用双颌手术纠正骨性不调并通过正畸建立尖窝交错咬合关系后疗效可长期稳定。
所有作者均声明不存在利益冲突
本文介绍了1例正畸-正颌联合治疗骨性Ⅲ类错
随访10年的成年患者,矫治后侧貌及咬合关系改善明显,正颌手术效果良好,10年后随访显示咬合关系稳定,是比较成功的矫治病例。
对于骨性Ⅲ类错
畸形,诊断及治疗设计至关重要。掩饰性正畸治疗和正畸-正颌联合治疗的适应证及其各自的优缺点是正畸医师临床上需要关注并掌握的内容。掩饰性正畸治疗牙齿代偿性移动的界限需牢记,以免出现前牙过度倾斜、咬合创伤、骨开窗、骨开裂等问题,不利于牙齿和口颌功能的健康。本文作者通过详细的口内外照片及头影测量分析,诊断出患者存在上颌骨发育不足、下颌骨发育过度,为双颌手术方案的制订提供了依据。根据牙齿缺失情况,术前正畸选择采用非常规的减数治疗方案。作者遵循正畸-正颌联合治疗的标准程序,进行上下牙列排齐、调整中线、关闭间隙,并在术前做到了充分的前牙去代偿,终末导板的设计准确定位术后上下颌的位置,是术后疗效长期稳定的先决条件。
本文收集到术后10年的资料很难得,但正颌手术使用钛板一直未取出,存在钛板外露,导致炎症以及增加感染的风险。钛板是植入异物,存在异物感和冷热刺激不适;钛板留置体内,对MRI等医学检查亦存在一定干扰,建议术后择期取出。
畸形硬组织长期稳定性的系统评价[J]. 医学研究生学报, 2015, 28(5): 510-516. DOI: 10.3969/j.issn.1008-8199.2015.05.014.
伴骨性偏颌的正畸-正颌联合治疗[J]. 中华口腔医学杂志, 2019, 54(6): 391-395. DOI: 10.3760/cma.j.issn.1002-0098.2019.06.008.

随访十年一例[J]. 中华口腔医学杂志, 2021, 56(11): 1130-1135. DOI: 10.3760/cma.j.cn112144-20210416-00183.



















