
微血管化游离组织移植是肿瘤切除术后下颌骨重建的一个重要里程碑。腓骨游离皮瓣移植虽然即刻重建了下颌骨,但牙列修复通常需要6到18个月后才能完成,牙列缺失期间对患者的生理和心理均造成严重影响。该病例报道了重庆医科大学附属口腔医院多学科组建的修复重建团队进行的颌骨与牙列同日重建术,即在计算机辅助设计和辅助制作的支持下同期完成颌骨肿瘤切除、血管化腓骨肌皮瓣游离移植、牙种植体植入及临时义齿修复。颌骨与牙列同日重建术充分贯彻了“以咬合为导向的修复重建”的理念,通过恢复患者的颌骨和牙列,重拾患者自信,提高患者生命质量,帮助患者术后更好地融入社会,具有一定的临床推广应用价值。
版权归中华医学会所有。
未经授权,不得转载、摘编本刊文章,不得使用本刊的版式设计。
除非特别声明,本刊刊出的所有文章不代表中华医学会和本刊编委会的观点。
腓骨游离皮瓣已成为重建下颌骨复合或节段性缺损的主要血管化移植物之一[1, 2, 3],其整合牙种植体后有助于义齿修复[4, 5, 6, 7]。但由于腓骨高度和轮廓的限制,以及传统义齿设计和制作复杂且交付时限较长,功能性牙列的及时修复仍是临床一大挑战。下颌骨重建及完整牙列的恢复可能需要多次分期手术,治疗周期长达6~18个月。最近,计算机辅助手术模拟、设计和制作手术导板及快速成型技术的进步克服了复合组织移植固有的许多挑战,促进了下颌重建精度的提高[8]。2013年,Levine等[9]首次描述了使用数字技术模拟手术过程、设计和制作手术导板,同期完成了下颌骨肿瘤切除、血管化腓骨肌皮瓣游离移植、牙种植体植入及临时固定义齿修复。这项技术被称为“jaw in a day”,本团队将其翻译为“颌骨与牙列同日重建术”,并对1例采用该技术治疗的下颌骨肿瘤患者病例进行阐述和讨论。
1. 一般资料:患者男性,58岁,因“右下前牙区膨隆不适3个月”就诊于重庆医科大学附属口腔医院颌面外科门诊,门诊切取活检示:右下颌成釉细胞瘤。门诊遂以“右下颌成釉细胞瘤”于2021年1月将患者收治入院。患者有20年的慢性咽炎病史。
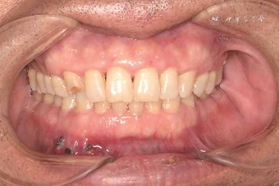
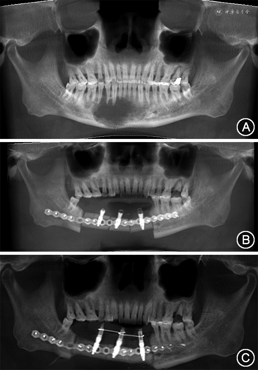
2. 检查:见图1,2。患者右侧面下份和右下颌前庭沟较左侧稍膨隆,表面皮肤无异常;下颌牙列无明显松动;41—43唇侧前庭沟见未愈合切口,缝线在位无松脱,唇侧轻微触压痛,舌侧无明显异常。锥形束CT显示,下颌骨46—32区域大范围不规则骨质破坏区,边界不清,其内密度均匀,牙根无吸收(图2A)。

像
像

3. 初步诊断:患者术前病理诊断为成釉细胞瘤。
4. 治疗及修正诊断:本例颌骨与牙列同日重建术获得重庆医科大学附属口腔医院伦理委员会批准(批准号:2021年伦审019号),患者签署了知情同意书。
(1)虚拟手术、计算机辅助设计与辅助制作(computer aided design/computer aided manufacturing,CAD/CAM):获取患者外形和上下颌骨锥形束CT与双侧下肢CT血管造影数据。采用口腔数字印模仪(i500,美迪特,韩国)口内扫描牙列并与颌骨锥形束CT融合(图3)。根据病变范围采用MIMICS 21.0软件(Materialise,比利时)设计颌骨截骨导板。根据原有牙列和剩余颌骨位置确定种植体和腓骨位置,设计并三维打印下颌骨-腓骨模型。预成型重建板,预成型的重建板就位于颌骨-腓骨模型并扫描。设计并打印带种植体套筒、腓骨截骨及重建板固位螺钉位置的腓骨截骨塑形导板系统(重建板螺钉位置避开种植体)。设计并打印下颌骨截骨导板(导板螺孔与重建板螺孔重合)。采用ImplantStudio(3Shape,丹麦)设计并制作树脂临时义齿。打印咬合夹板,利用余留牙和咬合夹板验证义齿的就位。


(2)外科手术:医师团队分为2组,第1组人员利用颌骨截骨导板切除颌骨病变。暴露下颌骨病变(图4)。就位颌骨截骨导板,其外侧螺孔可协助颌骨截骨导板与截骨后重建板的准确就位。切除下颌骨病变。解剖面动脉和颈内静脉的两分支以供微血管吻合。


第2组人员完成皮瓣的制备、塑形及修复。切取带血管蒂的游离腓骨肌皮瓣。解剖腓骨肌皮瓣的肌肉和穿支血管,使其远离种植和截骨部位。带种植体套筒的种植体植入导板就位于暴露的腓骨,单皮质螺钉固定后植入牙种植体;利用单皮质螺钉固定腓骨截骨导板进行截骨;单皮质螺钉位置亦是之后重建板螺孔对应的位置。与传统方式不同的是先预备种植体窝和置入3枚4.1 mm×10.0 mm种植体(BLT,ITI,瑞士),术中为保护远段腓骨血供遂舍弃了最后端1枚植体的植入);再置入复合基台和临时修复基底;最后完成腓骨截骨。去除单皮质螺钉和腓骨截骨导板,利用重建板螺孔对应位置塑形腓骨于重建板上。在打印的颌骨截断模型上就位腓骨-重建板-复合基台-临时义齿复合体,有精度误差无法匹配的可能,并结合咬合夹板与剩余牙列调整至合适咬合。腓骨肌皮瓣断蒂。放置引流管,缝合小腿伤口。
第1组人员就位腓骨-重建板-复合基台-临时义齿复合体。将该复合体就位于下颌骨切除后缺损与咬合夹板中,利用颌骨截骨导板外侧螺孔固定重建板,取下临时固定义齿。微血管吻合(吻合1条动脉和2条静脉),缝合口内创口,暴露复合基台和临时修复基底。口外放置引流管,关闭口外创口。口内安装临时固定义齿,调整咬合关系,流体树脂固定。
(3)最终诊断:术后病理诊断为成釉细胞癌,考虑成釉细胞瘤恶变。
5. 护理和随访:术后鼻饲2周,流质饮食3个月,软食3个月。术后6个月复查无复发倾向,将临时固定修复更换为永久修复。采用EORTC QLQ-C30(V3)与EORTC QLQ-H&N35(V1.0)生命质量测定量表评估患者生命质量结果显示良好,总体健康状况良好,义齿可正常发挥功能。
本病例由修复重建团队(口腔颌面外科联合修复科与修复工艺科)实施的下颌骨恶性肿瘤切除后颌骨与牙列同日重建术,即同日完成颌骨肿瘤切除、血管化腓骨肌皮瓣游离移植、牙种植体植入及临时固定义齿修复。通过同期恢复患者的颌骨和牙列,重拾患者自信,提高患者生命质量,帮助患者术后更好地融入社会。
下颌骨良恶性肿瘤切除后颌骨与牙列同日重建术成功的关键在于术前精确设计[10, 11, 12, 13, 14]。首先,最好采用预成型重建板或三维打印的重建板,术前需设计好固位螺钉所在位置,并避开种植体。若采用预成型重建板,需先打印数字化模型,在模型上预成型重建板,扫描重建板并融入CAD数据中,最后避开种植体位置设计固位螺钉的空间位置。需要避免反复弯制已经预成型的重建板,否则不仅会削弱重建板的强度,而且会降低手术的精度,影响腓骨和牙列的就位。其次,为提高CAD/CAM的精度,团队设计了腓骨截骨导板、牙种植体植入导板及重建板固位螺钉位置三合一截骨塑形导板系统(经科学技术部西南信息中心查新中心验证该导板为首次临床应用)。若计算机或软件无法实现如此复杂的运算,可以将两者分开打印;固位螺钉的位置必须保持一致,才能保障手术的精度不受损失。最后,牙列就位时有适当的调整空间。若颌骨截骨、腓骨截骨及腓骨塑形三者的精度无法得到完全保障,将会降低手术精度;当复合基台与临时修复基底就位后,可通过调整临时义齿紧邻临时修复基底之间的部位,帮助临时义齿就位,弥补精度的损失。
颌骨与牙列同日重建术让患者在手术当天即可戴入义齿,充分体现了“以咬合为导向的修复重建”理念。虽然该理念的实施有助于恢复口颌系统的外形与功能,但为了保障牙种植体的长期存活,以下几点亦需要注意,①为了减少牙种植体的早期负重,临时义齿应该设计成低于咬合平面1~2 mm或轻咬合类型。②为保持口腔清洁,避免术后感染,患者需鼻饲流质2周。③为避免过大
力的干扰,患者需进食流质饮食3个月,再改为软食至6个月;半年后更换永久义齿,方可恢复正常饮食[12, 13, 14]。
随着功能性外科理念的深入,颌骨恶性肿瘤术后修复重建日益普及,但恶性肿瘤切除当日即植入牙种植体尚未见报道。本例患者术后病理切片显示各切缘均为阴性,未补充其他治疗。本例随访6个月后复查增强CT无复发倾向。因此,在手术根治肿瘤的前提下,同期修复口颌系统形态与功能,帮助患者重拾自信的颌骨与牙列同日重建术将成为颌骨肿瘤患者的新选择。
所有作者均声明不存在利益冲突
对于颌骨缺损患者的治疗应该最终实现形态和功能的重建,其中咬合功能的恢复显得尤为重要。如何让颌骨缺损患者接受更少的手术次数并能尽早实现种植义齿修复成为一个重要的研究方向,而数字化技术的发展大力推动了这方面的研究。本文介绍了1例使用数字化技术,通过截骨导板、腓骨塑形导板、种植导板、预弯钛板等技术精确转化术前设计,使患者在接受颌骨肿瘤切除的同期实现了下颌骨缺损的重建、种植体植入和义齿修复。作者介绍的治疗流程实现了让颌骨缺损患者接受最少手术次数和最快实现种植义齿修复的目的。
本病例以下两点有待改进:①种植体周围缺乏角化龈,32处种植体周围已出现黏膜炎症表现;②颌骨缺损重建时将腓骨抬高以满足同期种植要求,未修复下颌骨下缘,影响了颏部的突度和面下三分之一高度的恢复。





















