
随着临床诊疗设备的发展,在临床上更多的根管细微结构得以呈现,对下颌第一前磨牙根管形态多样性的认识也更加深入,这有助于术前准确判断患牙的根管形态并评估可能存在的困难和风险,根据患牙的情况制订适合的治疗方案,有助于提高治疗的成功率。本文回顾国内外近年来对下颌第一前磨牙根管形态的相关研究,重点介绍下颌第一前磨牙根管形态的多样性及其与临床密切相关的解剖特点,并提出相关的临床诊疗策略,以期为临床医师提供参考。
版权归中华医学会所有。
未经授权,不得转载、摘编本刊文章,不得使用本刊的版式设计。
除非特别声明,本刊刊出的所有文章不代表中华医学会和本刊编委会的观点。
经全国继续医学教育委员会批准,本刊开设继教专栏,2023年从第1期至第8期共刊发11篇继教文章,文后附5道单选题,读者阅读后可扫描标签二维码答题,每篇可免费获得Ⅱ类继教学分0.5分,全年最多可获5分。
近几十年来,不同国家、地区的学者们通过透明牙染色法、离体牙切片、根尖片、显微CT(micro-CT)和锥形束CT等多种研究方法对下颌第一前磨牙的牙根及根管解剖结构进行了深入的研究,结果显示不同人群下颌第一前磨牙牙根和根管的形态结构复杂多变,同时也存在一些典型的解剖特点[1, 2, 3, 4, 5, 6]。近年来不断有关于下颌第一前磨牙根管解剖变异的临床病例报道[7, 8, 9, 10]。下颌第一前磨牙虽然在牙列中位置靠前,但与磨牙相比,其牙冠小,髓腔狭窄,在双根管或多根管病例中髓室底的位置更深,操作空间和视野均有限,这些因素增加了临床医师的诊疗难度。有学者曾指出,下颌前磨牙由于根管解剖复杂多变,其根管治疗极具挑战性[11]。正确认识下颌第一前磨牙的解剖特点,将有助于临床医师更好地预估治疗风险和困难,更有针对性地制订治疗策略。
为更好地描述牙齿根管系统的内部结构,Vertucci[6]在其研究中根据根管的数目和形态,首次将根管形态分为8种类型(图1),此后该分类法被广泛应用。Vertucci分类侧重于对根管构型的描述,适合按根管形态进行分组,方便临床医师描述和识别根管治疗的复杂性,可用于研究不同地区及人群的根管形态差异[12, 13]。然而,随着显微CT、锥形束CT等在研究中的应用,下颌前磨牙根管系统的一些复杂结构得以被发现,Vertucci分类将这些复杂的根管构型归为其他类型:如C形根管。有学者认为Vertucci分类在描述复杂根管系统时存在一定的局限性,甚至可能产生误导[14]。


注:Ⅰ型为从髓腔延伸至根尖孔的单一根管;Ⅱ型为2个分开的根管离开髓腔,在根尖上方融合,开口于1个根尖孔;Ⅲ型为1个根管离开髓腔,在根内分成2个根管后又融合,开口于1个根尖孔;Ⅳ型为2个独立的根管分别开口于2个独立的根尖孔;Ⅴ型为1个根管离开髓腔,在根内分成2个根管,开口于2个根尖孔;Ⅵ型为2个根管离开髓腔,在根内融合后再分成2个根管,开口于2个根尖孔;Ⅶ型为1个根管离开髓腔,在根管内分开后又融合,至根尖孔前又分为2个根管;Ⅷ型为3个独立的根管开口于3个独立的根尖孔
为更精确地对牙根及根管形态进行描述,不少学者开始探索新的分类方法。Ahmed等[14]采用一种新的牙根和根管形态分类系统,该分类同时给出牙根和根管结构的详细信息,对牙位、牙根数量、部位和根管形态3个部分进行独立编码。这是一种描述性编码系统,单独应用于描述特定牙齿的解剖形态,而不对根管内部形态进行分类,可以描述所有已知的和尚未发现的根管构型。一项针对口腔本科生的调查显示,Ahmed分类系统可以准确描述根管系统的复杂性和多样性,与Vertucci分类相比,该分类系统更准确、实用[15]。通过分别采用Vertucci分类和Ahmed分类系统对下颌第一前磨牙根管解剖形态进行分析,Sierra-Cristancho等[5]认为Ahmed编码系统提供了牙齿内部和外部构型的准确信息,具有更显著的辨别性,比Vertucci分类有更明显的优势。
临床上根管数目和形态,尤其是根管口和根尖孔的关系,牙根数目和形态等直接关系到根管治疗的难度,因此牙根和根管形态的分型既应简单明了,也要反映根管治疗的实际操作难度,以适应科研、临床和教学方面的实际应用。
1.牙根形态及根管类型:下颌第一前磨牙的牙根及根管形态多样且复杂。Kottoor等[12]在其研究中报道不同地区和不同人群的下颌第一前磨牙通常表现为单根;双根在不同人群和地区中的发生率存在差异,白种人群下颌第一前磨牙双根发生率较低,为2.52%,而非洲人群的发生率高达16.2%[16]。对我国人群的相关研究显示,下颌第一前磨牙双根的发生率为0.68%~17.00%[17, 18]。这些研究结果的差异可能与研究对象的种族和人群不同有关。Kottoor等[12]研究显示,单根的下颌第一前磨牙中仅73.55%包含1个根管,23.55%含有双根或多根管。Dou等[19]对我国西南地区人群的研究显示,下颌第一前磨牙非单根管的发生率高达35.96%,与Liu等[20]报道一致。
关于下颌第一前磨牙的根管类型,不同种族人群的研究显示最常见的为Vertucci Ⅰ型,其发生率为64.04%~87.66%[5,19,21, 22]。对我国人群的体外研究显示,最常见的多根管类型为Ⅴ型,有文献报道Ⅴ型根管的发生率可达21.91%[19],其次为Ⅲ型、Ⅳ型和Ⅱ型根管,发生率分别为10.67%、9.76%和6.1%[19,23]。此外,Huang等[18]、郭静和梁学萍[24]报道下颌第一前磨牙左右两侧根管对称性分别为81.3%和85%;在多根管类型中,有研究报道其左右对称性分别为51.9%和66.7%[25, 26]。上述研究结果提示,当一侧下颌前磨牙出现复杂的根管解剖结构,应警惕对侧存在相同的情况。
2.根面凹陷和根面沟:下颌第一前磨牙的另一常见解剖变化为根面凹陷和根面沟。多项研究结果证实下颌第一前磨牙牙根近中面好发根面沟[3, 4, 5],不同人群下颌第一前磨牙根面沟的发生率不同。通过文献回顾发现,早期研究较少使用相同的标准评价根面沟,这可能导致研究结果出现差异。近年部分学者采用Turner等[27]提出的亚利桑那州立大学齿科人类学系统将根面沟进行分类,该标准将轻微根面凹陷到典型根面沟精确地分为0~5级,0级为根面凹陷,1~5级为不同凹陷程度的根面沟,此分级这有利于提高研究的准确性和可比性。Dou等[19]和Gu等[28]采用该分类系统研究下颌第一前磨牙根面沟的发生率分别为43.26%和56.6%,远高于Kaya Büyükbayram等[4]报道的结果。同时研究亦表明根面凹陷和根面沟的存在与根管形态的多样性和复杂性有关。Dou等[19]研究表明,下颌第一前磨牙根面沟与C形根管的发生高度相关。Sierra-Cristancho等[5]和Gu等[28]研究发现,根管解剖结构的复杂程度与根面沟的严重程度呈正相关。
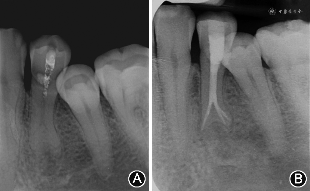
3.牛牙症和C形根管:牛牙症是一种髓腔内部形态变异,最早于1913年由Keith教授在描述史前人类尼安德特人牙齿化石时提出。牛牙症的牙齿在釉质牙骨质界处缺乏收缩,其特征是髓室垂直向延长、髓室底顶端向根方移位以及牙根分叉[29]。这种倾向与偶蹄目动物,特别是公牛的牙齿情况类似,因而命名为牛牙症[30]。Madeira等[31]研究认为,牛牙症的诊断应包括以下几点:①牙颈部无明显缩窄;②宽的棱柱形牙根,从牙颈部到根尖部牙根的直径大致相同;③根尖部膨大、分叉、顶端略凹;④髓腔宽大并于根尖处分叉。基于上述标准,Madeira等[31]认为下颌第一前磨牙这种根管宽大分叉的特点并不足以作为诊断牛牙症的指征,更倾向于这是下颌第一前磨牙根管变异的一种常态,其研究报道下颌第一前磨牙牛牙症的发生率为0.42%。值得注意的是,一些双根的下颌第一前磨牙,其粗大的管腔通常在釉质牙骨质界下6~7 mm甚至更低的位置分叉[32]。本课题组收治的1例左下颌第一前磨牙根管治疗患者,呈现典型的如Madeira等[31]描述的特征(图2),其牙冠牙颈部无明显缩窄,根管上段管腔粗大,于根尖1/3分成3个独立根管,属于典型的牛牙症患牙。此外,Aricioğlu等[33]研究显示,牛牙症与C形根管的发生高度相关,国内亦有相关病例报道[7],临床医师在治疗牛牙症患牙时需警惕患牙可能同时存在C形根管系统(图3)。




C形根管是存在于牙根横截面形态呈C形的牙根中的根管系统。C形根管在Vertucci分类中被归为“其他类型”,因其根管系统复杂,在下颌第一前磨牙研究中常被单独分类研究,有报道显示C形根管在不同种族中的发生率存在差异[12]。体外研究发现我国人群C形根管发生率高达24%[34];体内研究显示我国人群C形根管的发生率为0.5%~12.2%[22,35]。研究结果的差异可能与研究的样本量和评价方法不同有关。C形根管的结构可发生于根管的任何位置,Gu等[36]研究显示下颌第一前磨牙C形根管常发生于釉质牙骨质界下方6~11 mm,Ordinola-Zapata等[37]研究亦表明C形根管好发于根中和根尖1/3。在C形根管好发的下颌第二磨牙,临床上常可通过直视观察髓室底的形态呈C形进行识别,而下颌第一前磨牙C形根管因其冠部髓腔狭小,髓室底位置深,几乎不能通过直视识别,同时因操作空间有限,根管开口相对隐蔽,给根管的定位、清理、成形和充填带来挑战。
1.复杂根管的诊断:Nascimento等[38]对已充填的下颌第一前磨牙的回顾性研究发现,根管欠充的发生率为34.6%,这是大多数根管类型治疗失败的常见原因;遗漏根管的发生率为14.1%,是Ⅳ型、Ⅴ型和“其他”型根管治疗失败的主要原因。
临床医师在开始下颌第一前磨牙根管治疗前需进行详细的临床和影像学检查。牙冠的解剖形态,如额外的牙尖、深纵向发育沟和牙内陷等通常提示伴随有根管形态的异常[39]。当牙冠缺损较大,因存在充填物或冠修复治疗使牙冠失去原有解剖标志时,其对侧同名牙可提供参考。根尖片有助于发现牙根内外的解剖变异,当根尖片显示根管位置和走向不在牙根中心或较粗大的根管管腔突然变窄甚至消失,通常表明存在额外根管或根管分叉[40]。当根管走向或牙根形态难以分辨时,可将X射线束与中轴线向近中或远中倾斜20°~40°[41],从不同角度拍摄X线片辅助诊断。当下颌第一前磨牙牙根存在根面沟和复杂的根管形态时,仅依靠根尖片常难以准确判断。
分辨率高的显微CT常用于研究离体牙的根管结构,目前还不能用于临床。有研究表明,锥形束CT和显微CT在鉴别根管形态上具有高度的一致性[42]。近年锥形束CT因其分辨率高,能快速提供牙体及周围硬组织的三维影像结构,已被广泛应用于根管形态的临床诊断和研究。小视野高分辨率的锥形束CT能更精确地展示复杂根管的解剖细节[43],使临床医师能直观看到被治疗牙齿的变异情况,评估治疗难度,制订合理的治疗方案。锥形束CT的不足之处在于当根管内有充填物时,其产生的伪影可影响医师对根管实际情况的判断。因此,需结合临床和多个影像结果进行最终的评估诊断。
2.复杂根管的治疗:下颌第一前磨牙冠部直径和宽度远小于磨牙,对于双根管或多根管,需借助牙科显微镜提供光源和放大视野;对于牛牙症和(或)复杂的C形根管,以及髓室底位置较深或根管口钙化的情况,即使在显微镜下定位所有根管也是相当困难的,准确定位首先需要预展冠部髓腔入路,找到位于隐蔽处的根管口,但通过过多磨除牙体组织以获得良好视野可降低牙齿抗力,临床医师需在两者之间找到平衡[44]。使用超声预备系统可以更精确地去除牙本质领,减少对牙本质的切割。对复杂的根管形态,建议插诊断丝拍摄根尖片,若诊断丝偏离牙根中心,通常提示存在额外根管。
值得注意的是,双根管或多根管分叉通常位于根中或根尖1/3处[21],且根管在根分叉处走向突然改变,有时几乎呈直角,类似字母“h”[45],随着分叉角度的增加和根管直径的缩小,根管治疗的难度和风险也随之增加。对于弯曲严重的根管,建议可先采用小号不锈钢K锉预弯探查通畅根管,通常将根管用不锈钢K锉预备至15号再用镍钛锉行机械预备比较安全[44];亦有学者主张不锈钢K锉疏通至10号即可[46]。
有研究显示下颌第一前磨牙根面沟的形成与根管解剖的复杂性如根管分叉有关[3],常见于Vertucci分类Ⅲ、Ⅴ型和C形根管等,好发于牙根的近中壁[4, 5,47]。Fan等[34]对我国人群下颌第一前磨牙的研究显示,根面沟起始位于釉质牙骨质界下3 mm,平均长度和深度分别为8.77和1.44 mm。而Kaya Büyükbayram等[4]研究显示,根面沟通常起始于釉质牙骨质界下约5.5 mm,平均长度和深度分别为6.4和1.5 mm,根面沟对应的根管壁牙本质厚度较薄,根面沟中部牙本质的平均厚度为1.0~1.3 mm,根管壁厚度随根面沟深度的增加而减小,最薄处仅为0.12 mm。因此,临床医师对有根面沟结构的根管进行预备时,建议结合锥形束CT评估沿根面沟牙本质厚度的变化,选择合适的预备器械,以减少对这些关键区域根管牙本质的切割,防止出现带状或侧向穿孔。
除了遗漏根管,下颌第一前磨牙根管治疗失败的另一常见原因为根管欠充[38]。当存在3个及以上根管且分叉发生于根尖1/3,根分叉以下根管的充填尤其困难,对于此种类型病例建议分段行根管充填,即分为分叉以下根尖段充填和上段回填两部分进行。若上段部分的空间无法同时容纳多个主尖时,根管充填的顺序可以先难后易,可在口外于根管分叉水平将选好的主牙胶尖截断,然后用一些特殊器械分别将牙胶尖放入根管内完成根尖段充填。生物陶瓷封闭剂较好地解决了此类困难病例的充填问题,使用时可蘸适量生物陶瓷封闭剂于主牙胶尖上,避免封闭剂过多溢出影响视野。分别充填时,可在另一待充填根管内放置1根纸尖或1根锉,防止封闭剂或残余的牙胶堵塞未填充的根管。X线检查显示充填完好后,对根管上段进行回填。上段的充填可使用热牙胶垂直加压充填技术,充填时应掌握适当的操作时间和温度,避免因薄的牙本质壁将热量传递到牙根外表面对牙周组织造成热损伤。
随着锥形束CT、牙科显微镜等设备的应用,下颌第一前磨牙更多的根管细微结构得以呈现,临床医师应熟悉并掌握下颌第一前磨牙的根管解剖,以准确判断这些患牙在治疗上存在的困难和风险,根据患牙的实际情况制订合适的治疗方案,提高治疗的成功率。
广西医科大学口腔医学院·附属口腔医院牙体牙髓科谢方方、喻登医师分别提供图2和图3的病例照片
梁春云, 陈文霞. 下颌第一前磨牙根管形态的多样性与临床诊疗策略[J]. 中华口腔医学杂志, 2023, 58(1): 92-97. DOI: 10.3760/cma.j.cn112144-20221017-00534.
所有作者声明不存在利益冲突
患者男性,36岁。主诉:左下后牙隐痛1周。现病史:1周前左下后牙出现自发性阵发性隐痛,持续几分钟后缓解,有冷热刺激痛,无明显夜间痛及咬合痛。既往史:否认系统性疾病史。口腔检查:34远中邻面牙色充填体,边缘不密合呈浸墨状改变,无探痛,冷测试敏感,热测试反应迟钝,叩诊(+),无松动,近中龈乳头稍红肿。根尖片示:34充填体下方密度减低区近髓,根管中上2/3可见粗大单根管影像,根尖1/3根管影像模糊,根尖部未见透射影。
1.该患牙可能的诊断是()
A.深龋 B.急性牙髓炎
C.慢性牙髓炎 D. 龈乳头炎
2.若怀疑患牙含有多根管时,最佳的辅助检查是()
A.透照法 B. X线平行投照法
C.锥形束CT D.牙周探诊法
3.若影像学检查发现患牙为1个根管离开髓腔,在根尖1/3分成3个根管,根据Vertucci分类,其属于哪种根管构型()
A.Ⅱ型 B.Ⅴ型
C.Ⅷ型 D.其他类型
4.若影像学检查发现患牙为1个根管离开髓腔,在根尖1/3分成3个根管,其首选的治疗方案为()
A.直接盖髓 B.显微根管治疗术
C.根尖手术 D.根管治疗+根尖手术
5.若影像学检查发现牙根近中面存在较深的根面沟,在治疗过程中以下哪种情况可以减少根管侧穿的风险()
A.预备时选择大锥度的镍钛器械
B.尽可能扩大根管上段以获得良好视野
C.用超声工作尖扩大根管峡部以便于冲洗消毒
D.机械预备与化学预备相结合,减少对根管的过度预备





















