
版权归中华医学会所有。
未经授权,不得转载、摘编本刊文章,不得使用本刊的版式设计。
除非特别声明,本刊刊出的所有文章不代表中华医学会和本刊编委会的观点。
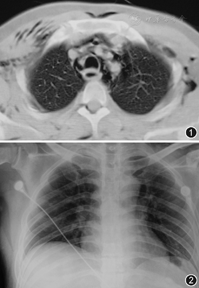
患者男,25岁,因"口干、多饮1个月余,食欲不振、乏力3 d,呼吸困难1 d"于2009年3月5日入院。患者1个月前出现口干、多饮症状,近3 d出现食欲不振、乏力、恶心、呕吐咖啡渣样物。患者近1个月来体重下降约10 kg。既往无高血压、糖尿病、慢性肺部疾病等病史。入院体检:体温36.4 ℃,脉搏120次/min,呼吸频率40次/min,血压115/72 mm Hg(1 mm Hg=0.133 kPa),呼吸深大急促,颈部、前胸壁及腹壁皮肤可触及握雪感,双肺呼吸音低,未闻及干湿性啰音,心率120次/min,律齐,无病理性杂音。血常规示:白细胞30.0×109/L,中性粒细胞0.89,红细胞为7.04×1012/L,血红蛋白196 g/L,血小板270×109/L。尿常规示pH值5.00,尿糖55 mmol/L,酮体14.4 mmol/L。随机血糖26.3 mmol/L,肾功能检查示尿素氮21.1 mmol/L,肌酐217 μmol/L,血电解质钠112 mmol/L,钾3.8 mmol/L,氯84 mmol/L。动脉血气(吸氧5 L/min)示pH值7.10,PaCO2为10 mm Hg,PaO2为139 mm Hg,HCO3–为3.1 mmol/L,BE–为23.8 mmol/L,SaO2为98%。胸部CT示食管扩张明显,食管壁部分增厚,胃内积气明显,纵隔积气,双侧前胸壁、腹壁可见皮下积气,未见食管及气管撕裂(图1)。初步诊断为糖尿病酮症酸中毒(DKA)、纵隔气肿、皮下气肿。立即给予补液、纠正酸中毒、普通胰岛素静滴降糖等对症处理,并行胃肠减压,引流出气体约600 ml,咖啡色液体约370 ml,行颈部上纵隔切开放置引流管引流纵隔积气。行胃镜检查示:食管及胃底见咖啡渣样物,十二指肠球部充血水肿,未发现明显食管及胃壁穿孔。经血清C肽释放试验及糖尿病自身抗体印迹杂交检查最后诊断为2型糖尿病,DKA,自发性纵隔气肿,皮下气肿。给予精蛋白生物合成人胰岛素注射液、重组人胰岛素常规笔芯及二甲双胍肠溶片控制血糖,经上述处理后患者病情明显好转,呼吸困难症状消失,2009年3月11日胸部X线检查示皮下气肿、纵隔积气基本吸收(图2)。2009年3月17日复查血常规、尿常规、肾功能、动脉血气、血电解质均恢复正常,血糖控制良好,尿糖、酮体均转为阴性,2009年3月19日出院。随访2年患者病情无复发,血糖控制良好。


DKA的肺部并发症少见[1],并发纵隔气肿极为罕见,并且酮症酸中毒本身即可引起深大呼吸,如果不行胸部X线或CT检查容易忽略纵隔气肿的发生。
DKA并发纵隔气肿的具体机制尚不明确。呕吐引起肺内压力梯度的改变导致胸腔内压力增加可能是其原因之一。酮症酸中毒患者的Kussmaul呼吸可致肺泡压力升高20~30 mm Hg,进而引起肺泡破裂。此类患者发病的年龄为20岁左右,糖尿病平均病程为7.2年,平均血糖水平为36 mmol/L,所有的患者均需要胰岛素治疗,部分患者发病前未确诊糖尿病,所有的患者均无慢性肺部疾病[2,3]。男性好发,男女比例为2∶1。男性好发的原因可能为男性的肌肉收缩力强,其胸腔内压力比女性高[2,3]。
其临床上主要表现为多饮、多尿、消瘦伴恶心、呕吐、呼吸困难及胸部疼痛或不适感,大部分患者有低热及心动过速。常见的体征为Hamman征,约50%的患者有颈部和锁骨上捻发感。患者常有轻中度的血白细胞升高,平均血白细胞水平为25.4×109/L,白细胞升高可能为纵隔组织气肿引起的炎症反应,仅有少数患者有明确的感染部位且均为肺炎[2,3]。动脉血气pH值平均为7.06,均有严重的代谢性酸中毒。无症状的糖尿病纵隔气肿患者如果不行胸部X线或CT检查可能会漏诊,左心缘出现条状气体影可诊断纵隔气肿,此外常可见到颈部及胸部皮下积气。但如果仅行胸部后前位X线检查,大约有50%的纵隔气肿会被漏诊,因此如果怀疑有纵隔气肿应加摄侧位片或行胸部CT。
心包积气是DKA并发纵隔气肿最常见的并发症。虽DKA合并纵隔气肿及心包积气的患者并没有出现心脏填塞症状,但当纵隔气肿合并心包积气时仍需注意观察患者有无心包填塞症状。少数患者可并发气胸,但所有并发气胸的患者并没有出现张力性气胸,也没有经过胸腔穿刺或胸腔闭式引流,气胸均自行吸收。DKA并发纵隔气肿还应注意观察有无食管及气管撕裂[4,5],当患者出现神志改变时需行CT或胃镜检查以明确有无气管或食管撕裂。
文献报道DKA并发纵隔气肿预后良好,一般经补液、降糖、纠正酮症酸中毒等对症治疗后纵隔积气可自行吸收,仅有1例患者因呼吸道感染死亡,但有2例患者出现复发[2,3],因此对于曾患过纵隔气肿的DKA患者应注意有无纵隔气肿的复发。本例患者经上述对症治疗及行颈部上纵隔切开放置引流管引流纵隔积气后症状很快好转,随访2年无复发。呼吸科、急诊科、内分泌科医师应熟悉本病的诊断及鉴别诊断,当接诊到突发呼吸困难的年轻患者时应考虑此病,避免误诊、误治。





















