
版权归中华医学会所有。
未经授权,不得转载、摘编本刊文章,不得使用本刊的版式设计。
除非特别声明,本刊刊出的所有文章不代表中华医学会和本刊编委会的观点。
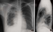
患者男,24岁,无业。3个月前因受凉后出现咳嗽,咳少量白色黏痰,伴发热,最高体温38.5 ℃,热型不详,无畏寒、盗汗、咯血和胸痛,右下胸壁出现一无痛柔软包块,在当地医院使用青霉素等抗感染治疗,1周后体温正常,仍有间断咳嗽,咳少量黄色黏稠痰,胸壁包块逐渐增大。在广州市某肿瘤医院就诊,胸部CT示胸膜多发囊性病变,右胸壁肿物穿刺涂片可见坏死及炎症细胞,未见癌细胞。患者于2007年10月11日在广州医学院第一附属医院呼吸疾病研究所就诊,以胸膜多发囊性病变待查入院。患者既往从事车床加工1年余,吸烟史4年,每日约5支,曾有生食芫荽菜史,无其他病史,发病以来体重减轻约2 kg。体检:体温36.7 ℃,呼吸22次/min,血压108/66 mm Hg(1 mm Hg=0.133 kPa),皮肤黏膜未见异常;双腋下可触及多个淋巴结,直径约为1.5 cm,光滑、无压痛、活动度好;右前下胸壁可见一直径约为3.5 cm的类椭圆形肿块,大小随呼吸运动无明显改变,无压痛,皮下无滑动感;剑突处右侧腹壁可见一直径约为1.5 cm肿块,性状与前述肿物相似;右肺呼吸音稍减弱,双肺未闻及干湿啰音。其他系统未见异常。血常规检查:白细胞数为14.4×109/L,中性粒细胞为0.85,淋巴细胞为0.08,嗜酸粒细胞为0.01,血红蛋白为116 g/L,血小板为5.3×109/L;尿、粪常规未见异常,ESR未查,血清MTB抗体阳性,裂头蚴抗体弱阳性,包虫、囊虫、肺吸虫、肝吸虫和血吸虫等寄生虫抗体均为阴性,乙型肝炎表面抗体阳性,丙型肝炎抗体、人免疫缺陷病毒抗体和梅毒血清学试验均为阴性,肿瘤标志物:神经元特异性烯醇化酶为18.9 mg/L,非小细胞肺癌相关抗原、癌胚抗原、CA125抗原和CA153抗原均未见异常,抗链球菌溶血素O试验为613 U,C反应蛋白为4.4 mg/L,类风湿因子为10 kU/L,IgA为19.8 g/L,IgG为7.4 g/L,IgM及补体C3、C4和CH50均在正常范围,抗中性白细胞胞质抗体(胞质型和核周型)和抗核抗体均为阴性,血管紧张素转化酶为17.3 μmol·min–1·L–1,嗜酸粒细胞阳离子蛋白为45.4 μg/L,D–二聚体为495 mg;X线胸片示右上肺后段有斑片状渗出,右侧胸膜呈弥漫性连贯波浪状增厚,边缘光滑,密度均匀,右侧膈面升高,右侧肋膈角变钝(图1,图2)。考虑为右上肺渗出性肺结核,左上肺增殖性肺结核,右侧广泛胸膜结核。


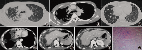
外院胸部CT会诊考虑为右上肺浸润型肺结核,右侧胸膜和胸壁及右锁骨上窝转移性多发坏死性结核病变(图3,图4,图5,图6,图7,图8)。B超检查示:右上腹低回声团块,与右膈上相连通,结合临床表现考虑为结核性病变,剑突下及右胸壁肋骨后方多发实性占位病变,血流不丰富;右膈下实性占位性病变;肝、胆、脾、胰等脏器未见异常;左肾下盏有3 mm×3 mm强光团,回声不明显,不除外结石;右肾和膀胱未见异常。肺功能检查提示中度限制性通气功能障碍,肺总量减少,残气容积增高,残气容积/肺总量升高,弥散功能中度下降。临床诊断为右上肺结核、右侧胸膜结核和右胸腹壁结核。右侧胸壁肿物采用潜行穿刺术抽取脓液涂片找抗酸杆菌阴性,PCR法检查MTB–DNA为阳性。经手术摘除右胸壁肿物,为3.5 cm×3 cm不规则组织,表面灰红和暗红色,质地粗糙,一侧为1个囊腔,囊内壁灰红色,质地粗糙。抽取其中脓液涂片查找抗酸杆菌(++),未发现真菌和阿米巴原虫等,PCR法检查MTB–DNA阳性,抗酸杆菌培养阳性,涂片未找到癌细胞;镜下可见胶原纤维增生、多个结核样结节及结核性肉芽肿,肉芽组织内血管丰富,部分区域可见干酪样坏死(图9),抗酸、阿辛蓝、六胺银染色和过碘酸希夫反应均为阴性。最终诊断为右上肺继发性肺结核,右侧广泛胸膜结核和右胸腹壁结核。遂转入广州市胸科医院治疗。经电话随访,患者采用正规抗结核治疗1年后痊愈停药,每年在当地医院复查X线胸片,肺结核无复发,未再复查CT。


本例患者的X线胸片和胸部CT扫描均显示右上肺后段有斑片状渗出,这是典型继发性肺结核的影像学表现。病变同侧胸膜多发弥漫性囊性病变,同一层面具有2层以上囊腔,增强CT扫描示所有囊壁均有完整强化,同侧胸腹壁可见多个囊性病变,经病理学和病原学检查证实为结核病。胸膜多发囊性病变可能为多发胸膜结核病灶,每个病灶均有结核性肉芽肿形成,中央干酪样坏死液化形成脓肿。增强CT扫描时,因肉芽组织内供血丰富而表现为环形强化。胸膜腔囊性病变还可见于胸膜异位胰腺组织伴假性囊肿形成、心包胸膜囊肿、肺吸虫病、囊性畸胎瘤等,上述疾病多为单发囊性病变。而皮样囊肿、良性多房囊性胸膜间皮瘤、包虫病等可出现胸膜腔多发囊性病变,但极为少见。上述各种胸腔囊性病变其影像学表现无明显特征性,应注意鉴别,一般需通过病理或病原学检查确诊。
对临床表现和影像学表现不典型的患者,应设法获取病原学或病理学依据,但对囊性病变进行有创操作前,应充分考虑到操作可能带来的并发症,并进行囊性肿物压缩试验,检查肿物的大小和张力是否随呼吸运动发生变化,评估其是否与胸腹腔相通,以确定肿物穿刺或切除活检的方法。





















