
版权归中华医学会所有。
未经授权,不得转载、摘编本刊文章,不得使用本刊的版式设计。
除非特别声明,本刊刊出的所有文章不代表中华医学会和本刊编委会的观点。
患者女,27岁,主因"咳嗽、咳痰1个月"于2013年7月20日于我院就诊。患者1个月前无明显诱因下出现咳嗽咳痰,痰色白,质黏,咳出通畅,当时畏寒发热,无胸闷、心悸,无胸痛、咯血,当地医院CT示:右肺下叶后基底段团片状阴影。2013年7月1日在当地医院住院治疗18 d,给予哌拉西林他唑巴坦及头孢他定等抗感染,期间复查胸部CT显示病灶未见吸收。入院后体检:体温37.2 ℃,脉搏85次/min,呼吸频率20次/min,血压124/77 mmHg(1 mmHg=0.133 kPa),双侧呼吸运动尚一致,双肺呼吸音低,未闻及啰音,心律齐,各瓣膜听诊区未闻及明显病理性杂音。腹平软,肝脾肋下未触及。入院诊断:右下肺病灶性质待定,结核?真菌?机化性肺炎?
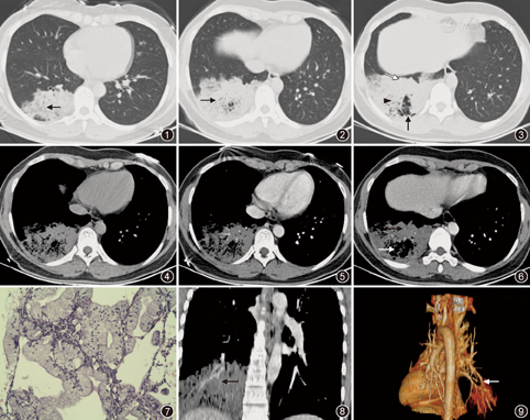
入院后血气分析示:血液pH值7.380,二氧化碳分压36.0 mmHg,氧分压89.0 mmHg,碳酸氢根浓度21.0 mmol/L,二氧化碳总量22.0 mmol/L,氧饱和度97.0%;血常规白细胞8.3×109/L,中性粒细胞0.64;癌胚抗原0.30 μg/L(正常参考值为0~5.00 μg/L);C反应蛋白为0.85 mg/L;血生化检查未见异常;真菌葡聚糖真菌(1,3)-β-D葡聚糖<5.0 ng/L;两便常规正常;多次痰涂片找抗酸杆菌及痰涂片找癌细胞均阴性;抗核抗体谱阴性;抗中性粒细胞胞质抗体系列阴性。2013年7月21日胸部增强CT显示:右下肺可见大片密度增高影,密度不均,增强扫描其内可见较多血管影,病灶强化不明显;余肺未见明显实质性病灶;各支气管腔通畅,肺门及纵隔未见明显增大淋巴结;胸膜未见明显增厚;胸腔无积液(图1,图2,图3,图4,图5,图6)。


入院后考虑患者外院已行抗感染治疗2周以上疗效不佳,2013年7月22日在CT引导下行右肺经皮肺穿刺病理示:肺泡内衬瘤细胞,乳头状,具有黏液细胞特征,胞质丰富透亮,核偏位,轻度异型;病理确诊右肺腺癌(图7)。确诊后于2013年8月1日在胸外科行手术治疗,术后病理诊断为右下肺浸润性黏液腺癌,淋巴结转移阴性,免疫组织化学:TTF1(+)、CK7(+)、CK20(+)、MUC-2(-)。
本例患者年仅27岁,最初确实未将肺癌作为首先考虑的诊断。其次,该患者因"咳嗽咳痰1个月"在外院诊断为右下肺炎,经过抗感染治疗后症状不明显转入我科,血肿瘤指标尽管均在正常范围,但因不能排除真菌感染、淋巴瘤、恶性肿瘤等疾病而行经皮肺穿刺活检后确诊为右肺腺癌,术后确诊为肺黏液腺癌。肺黏液腺癌是2011年肺腺癌国际多学科分类中一个新的术语,相当于原分类中的黏液性细支气管肺泡癌,可分泌大量黏液导致肺泡内黏液增多。我们认为,对于临床表现为肺部感染,治疗症状缓解不明显,病变吸收不明显,尽管年纪轻,肿瘤指标正常,仍不能完全排除肺癌,需要及时行气管镜检查或经皮肺穿刺活检,有助于及早明确诊断,以免延误治疗时机。
仔细阅读分析高分辨率胸部CT的影像学表现也有助于鉴别诊断。本例患者从影像学表现分析应当属于肺炎型肺腺癌。本例患者CT影像学整体表现为肺段实变伴空泡及蜂窝状影,周围为边缘不清的云絮状阴影,病灶的实质CT值偏低,强化不明显,平扫纵隔窗肺实质CT值25 Hu,增强扫描后CT值38 Hu,增强值13 Hu,强化不明显(图4,图5)。实变影由癌细胞及癌细胞分泌的黏液大部分或完全充填肺泡造成;癌细胞沿肺泡孔及细支气管播散蔓延及继发出血和炎性渗出形成周围的模糊的云絮状阴影。此外,还具有以下影像学特征:(1)癌性充气支气管征:是本病与细菌性炎症及肺栓塞鉴别的要点之一[1];癌细胞沿气道表面生长,造成支气管僵直、狭窄、壁锯齿状或伴支气管腔内毛刺;或由于癌细胞沿肺泡壁生长伴肺泡壁塌陷,导致远端支气管受压迫闭塞,形成充气支气管的截断。本例患者胸部高分辨率CT肺窗显示充气支气管僵直、狭窄,远端支气管截断不能显影(图1,图2)。(2)叶间胸膜膨隆:肿瘤细胞分泌的黏液使肺叶膨胀、叶间裂膨隆,叶间裂膨隆可呈锯齿状或弧形隆起;该征象在大叶性肺炎或肺不张很少见。本例患者胸部高分辨CT肺窗显示右下肺后短叶间裂呈锯齿状隆起(图3),体现肿瘤的浸润和膨胀性生长的特点。(3)空泡征或假性空洞征:未被肿瘤组织占据的含气组织;未闭合或扩张的小支气管;肿瘤细胞沿管壁生长使管腔形成活瓣样阻塞,气体进入肺泡腔但难以排出致肺泡腔过度充气表现为小空泡征或假空洞征。本例患者胸部高分辨CT肺窗显示较多气体密度或低密度空泡征,部分形成囊样空泡或假性空洞样表现(图3),极易和肺脓肿空洞混淆。(4)CT血管征:血管树未被肺癌所侵蚀扭曲及由于大量黏液的产生,实变的肺组织在增强时密度较血管低,从而导致增强扫描时血管纹理显影清晰[2]。本例患者胸部增强CT重建显示右下肺血管走行纹理清晰光滑,未见明显扭曲变形(图8),血管纹和低密度实变形成明显对比,为CT血管征;血管重建显示右下肺肿瘤组织包绕血管,但血管纹理清晰,走行流畅,无扭曲变形(图9)。虽然血管造影征对黏液腺癌诊断有提示作用但不具有特异性,但结合其他影像学特点综合分析对诊断有较大的提示作用。
综上所述,本例肺炎型肺腺癌的影像学表现丰富,值得我们仔细体会。对于临床表现为肺部感染,治疗后病变吸收不明显,或少量吸收,CT表现符合肺炎型肺癌影像学特征者,需要及时行气管镜或经皮肺穿刺活检明确诊断。





















