
版权归中华医学会所有。
未经授权,不得转载、摘编本刊文章,不得使用本刊的版式设计。
除非特别声明,本刊刊出的所有文章不代表中华医学会和本刊编委会的观点。
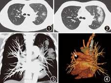
患者男,52岁。因"左侧胸痛1个月,咳嗽、间断咯血2周"于2014年8月21日入院。患者1个月前无明显诱因出现左侧胸部锐痛不适,胸痛在咳嗽或运动后明显,无胸闷、咳嗽、咳痰及发热等。X线胸片示双肺未见明显异常,心电图示"T波改变",心肌酶谱、D–二聚体均正常,给予"中药外敷"(具体不详)后胸痛有所缓解,但左侧胸痛始终存在,未进一步诊治。入院前2周患者出现小口咯血,伴轻咳,且左侧胸痛有所加重,2014年8月20日就诊呼吸科,胸部CT检查见左上肺散在斑片影及磨玻璃样改变,纵隔淋巴结无肿大(图1),拟以"左侧肺炎"收住院。患者自发病以来,无明显发热、盗汗,无明显胸闷、气喘,食欲睡眠可,大小便正常。既往有"高血压"病史7年,规则降压治疗,血压控制良好。有"阵发性房颤"病史10余年,近年来发作频繁,发作时头晕、胸闷不适,于2013年1月在我院心内科行导管射频消融(采用环肺静脉电隔离术),因房颤复发,于2014年1月再次行导管消融术(术式同前次),术后房颤消失,华法林钠常规抗凝治疗3个月后停药。否认急慢性传染病史及家族遗传病史。入院体检无阳性发现。入院后给予哌拉西林他唑巴坦、莫西沙星抗感染治疗,同时继续完善相关检查:血尿粪三大常规、ESR、C反应蛋白、D–二聚体、肿瘤标志物、肝肾功能、凝血功能及风湿免疫系统等检测均在正常范围。多次痰培养和痰抗酸杆菌检测阴性。心脏超声未见异常。经积极抗感染治疗患者左侧胸痛未见好转,仍小口咯血。2014年8月27日复查胸部CT可见左上肺病灶较1周前明显增多、增浓,部分病灶融合呈较大范围之团片状,左下肺亦出现少量斑片状影,左侧胸腔少量积液(图2)。复查血常规、C反应蛋白仍正常,遂停止抗感染治疗。为排除肺结核,继续查痰抗酸杆菌仍阴性;为排除真菌感染,查1,3–β–D葡聚糖(G试验)、乳胶凝集试验阴性;为排除血管炎,复查抗中性粒细胞胞质抗体(ANCA)、抗肾小球基底膜抗体阴性;为排除肺动脉栓塞,复查D–二聚体正常、下肢静脉多普勒超声检查未见血栓形成、心脏超声肺动脉压无增高。考虑患者先后有2次环肺静脉电隔离治疗房颤病史,最后一次导管消融在症状出现前6个月,此次发病是否与导管消融相关?是否存在术后肺静脉狭窄而致肺淤血?2014年9月1日行多层螺旋CT肺血管造影:肺动静脉双期相扫描,肺动脉相未见异常,肺静脉相示左肺上叶静脉闭塞(左上肺静脉造影剂不能充盈),左下肺静脉分支轻度狭窄,右侧上、下肺静脉充盈良好(图3,图4)。"医源性肺静脉狭窄"的诊断可以确立。因房颤导管消融术后"迟发性肺静脉狭窄"相对少见,多数学者认为其尚缺乏理想的治疗手段。现有的治疗方法包括介入治疗和外科手术均存在一定的缺陷和风险,且患者胸痛、咯血无明显加重,经慎重考虑后决定暂不行介入和手术治疗。考虑狭窄或闭塞的肺静脉内有血栓形成可能,给予华法林钠抗凝治疗。观察、治疗1个月,患者仍有左胸隐痛,时有痰血,复查胸部CT左上肺病灶较前部分吸收,左下肺斑片影及左侧少量胸腔积液消失。目前仍继续抗凝治疗,动态随访观察。


环肺静脉电隔离术已经成为当今治疗房颤的主要方法,肺静脉狭窄是该治疗最主要的并发症之一[1,2]。肺静脉狭窄在术后第1周进展最快;其次是术后3个月内;术后半年出现的迟发性肺静脉狭窄较少见[3,4,5,6]。临床极易漏诊、误诊。本例患者以胸痛、咯血为首发症状,胸部影像学表现左上肺大片斑片影及磨玻璃影,就诊于呼吸科,临床医生首先考虑:(1)感染性疾病;(2)常见疾病;(3)本科疾病。初诊"左上肺炎",抗感染治疗1周症状未见缓解,左上肺渗出性病灶反而增多、增浓。进一步详询病史,患者因房颤曾2次施行导管消融术,最后一次在症状出现前6个月,左肺病灶是否与此有关?入院第10天行多层螺旋CT肺血管造影检查明确诊断"左肺静脉狭窄"。该诊断足以解释患者的所有症状及影像学表现和治疗中的困惑:左上肺斑片影及磨玻璃影为左上肺静脉闭塞后肺淤血所致,抗感染治疗无效。本例患者的诊断经验和教训是:(1)完整的病史采集给正确诊断提供了重要线索;(2)正确的诊断应能解释患者的所有临床表现及治疗反应;(3)选择合适的检查方法是确立诊断的关键之一。
导管消融肺静脉狭窄的机制与诊断:因阵发性房颤的发生均为局灶性快速激动机制,绝大多数存在于肺静脉,故肺静脉消融成为当前治疗房颤的重要方法,导管消融后肺静脉狭窄发生的两个关键因素为高温度(>50 ℃)消融和消融部位过深[7]。也有文献报道狭窄出现与消融的次数有一定关系,Packer等[8]报道了23例严重的肺静脉狭窄病例,其中52%的患者因房颤复发进行了2次消融,22%的患者进行了3次消融,而本例患者恰恰也因房颤行2次射频消融。早期消融的病例,肺静脉狭窄的发生率可高达28%,随着肺静脉电隔离技术方法学的成熟和经验的增加,近年来肺静脉狭窄的发生率已明显下降,一般为5%~8%[5],但随之而来也导致了临床医生对其重视度下降及认识不足。诊断肺静脉狭窄的方法有螺旋增强CT、MRI造影及肺部同位素扫描等无创性检查,金标准是肺静脉造影,但属于创伤性检查,若患者准备行介入治疗则可选用。CT肺血管造影不但可用于诊断肺动脉疾病,延迟扫描后还可以清楚显示各肺静脉,是评价和诊断肺静脉狭窄及其严重程度的重要无创性检查方法[9]
肺静脉狭窄因药物治疗无效,通常采用介入治疗,包括球囊扩张、支架置入等,术后均有肺静脉血流改善。尽管血管介入治疗在短期内有显著疗效,但手术时可能出现出血、肺静脉撕裂、脑栓塞等严重并发症。同时近期研究结果显示患者再狭窄率较高,需要反复多次介入治疗。鉴于肺静脉狭窄可能对患者造成严重后果,且目前治疗效果不理想,因此肺静脉狭窄预防就显得尤其重要。在房颤导管消融过程中降低消融温度和能量,应用冷冻治疗,减少消融次数,缩短脉冲持续时间,可减少肺静脉狭窄的发生。
肺静脉狭窄患者通常首先就诊于呼吸内科,容易误诊为肺部疾病,盲目进行支气管镜检查可引起致命性大咯血,对此应引起高度注意。提高对射频消融术后肺静脉狭窄的认识是正确诊断的前提,如患者既往有房颤射频消融病史,术后出现胸痛、咯血、肺部影像学表现多发的渗出性病灶而正规抗感染治疗无效,应高度警惕本病的可能,及时行CT肺血管造影或肺静脉造影检查以明确诊断。





















