
版权归中华医学会所有。
未经授权,不得转载、摘编本刊文章,不得使用本刊的版式设计。
除非特别声明,本刊刊出的所有文章不代表中华医学会和本刊编委会的观点。
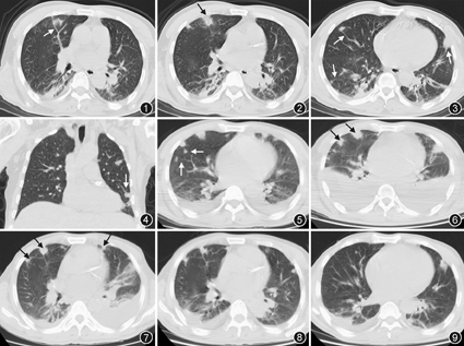
患者男,55岁,因"发热伴咳嗽、咳痰2周"于2014年11月17日入院。患者于2014年11月4日无明显诱因出现发热,体温最高40 ℃,伴畏寒,咳嗽,咳少量黄白色痰。当地医院血培养示金黄色葡萄球菌,对苯唑西林、利奈唑胺、万古霉素均敏感,给予抗感染治疗(具体用药不详),仍持续发热,出现全身多发皮疹及水疱。2014年11月8日就诊于我院,胸部CT(图1,图2,图3,图4)示双肺周边大小不一的多发斑片、结节及条索影,部分结节可见空洞、滋养血管征,行血培养示金黄色葡萄球菌,诊断为"肺炎,金黄色葡萄球菌败血症",给予利奈唑胺静脉滴注6 d,皮肤水疱消退,仍发热。2014年11月15日胸部CT(图5)示双肺斑片、结节影,较前部分增大,部分缩小,双肺下叶部分实变,双侧胸腔积液;腹部CT示脾大,左侧肾盂、肾盏及输尿管积水,给予静脉滴注万古霉素3 d,效果不佳。既往史:2型糖尿病病史10余年,空腹血糖约9 mmol/L,餐后2 h血糖约13 mmol/L;高血压病病史10年;冠心病病史5年;外伤后脑出血病史1年,保守治疗。个人史:吸烟指数60包年;饮酒30余年,白酒200 g/d。体检:体温38.3 ℃,脉率102次/min,呼吸频率26次/min,血压140/79 mmHg(1 mmHg=0.133 kPa),体质虚弱,全身皮肤凹陷性水肿,右前臂皮肤可见直径约2 cm红肿破溃,左前臂可见直径约6 cm皮肤淤斑,臀部散在皮肤破溃结痂。全身浅表淋巴结无肿大。双肺呼吸音粗,可闻及湿啰音。双下肢肌肉萎缩,肌力4级。院外血常规示白细胞为11.53×109/L,血小板为67×109/L;D–二聚体为2 940 mg/L;血生化检测示总蛋白为46 g/L,白蛋白为20 g/L,肝肾功正常;血气分析(吸空气)示pH值为7.56,PaO2为67 mmHg,PaCO2为30 mmHg,SaO2为95%。入院初步诊断:脓毒症,金黄色葡萄球菌肺炎,肾盂积水(左),输尿管积水(左)。


入院后给予万古霉素、头孢哌酮舒巴坦,输注白蛋白、血小板、控制血糖等治疗。血气分析(吸氧2 L/min)pH值为7.52,PaO2为161 mmHg,PaCO2为29 mmHg,SaO2为98%;2次血培养(发热时抽取)为金黄色葡萄球菌,耐药谱同当地医院;1次尿培养示近假丝酵母菌。2次痰培养示鲍氏不动杆菌(++,B级);降钙素原为0.748 μg/L。9项呼吸道病原体抗体、风湿相关检验、尿便常规、心电图等未见异常。心脏超声:肺动脉高压(轻–中度),各瓣膜未见赘生物。复查血常规示白细胞为7.25×109/L,血小板为121×109/L,D–二聚体>1 050 μg/L。血糖控制可,仍间断发热,最高体温在38 ℃左右。2014年11月24日胸部CT(图6)示双肺阴影未见吸收,胸腔积液较前增多。B超见左臂多处软组织脓肿,右上肢、双下肢及臀部炎性包块超声表现。换用替考拉宁、哌拉西林舒巴坦抗感染,并双侧胸腔微创置管,引流液呈淡黄色,胸腔积液培养阴性,胸腔积液常规示漏出液。2014年12月5日胸部CT(图7)可见双肺多发性斑片、结节影部分吸收,胸腔积液减少。并行左臂多处脓肿切开引流,脓液呈暗红色脓血样,培养示金黄色葡萄球菌,每日清洁换药。右股后脓肿行穿刺置管引流。复查消化及泌尿系B超:脾轻大,余未见异常。2014年12月23日胸部CT(图8,图9)双肺多发斑片、结节影大部分吸收,胸腔积液减少。患者体温恢复正常,予拔除胸腔微创置管。予抗生素降阶梯治疗:静脉滴注头孢曲松、盐酸莫西沙星。复查血、尿、痰培养均阴性,其余指标逐渐恢复正常。患者轻微咳嗽,无其他不适,好转出院。最后诊断:脓毒症,脓毒性肺栓塞,多发软组织脓肿。
脓毒症是感染(可疑及确诊)及其引起的全身反应。本例患者符合脓毒症的诊断标准[1]:(1)存在肯定的感染(4次血培养及1次脓液培养为金黄色葡萄球菌,且耐药谱一致),经皮肤破损处入血,引起血行感染,并导致脓毒性肺栓塞(septic pulmonary embolism,SPE)、全身多发软组织脓肿;(2)本患者发热>38.3 ℃,炎性指标白细胞增多及C反应蛋白、降钙素原增高,器官功能障碍表现为血小板减少等。
本患者院外据药敏应用利奈唑胺6 d,效果不佳且血小板明显减少,考虑利奈唑胺可能引起骨髓抑制,入我科后根据药敏更换万古霉素。此外痰培养示鲍曼不动杆菌,考虑为长期住院的定植菌,但患者脓毒症,抵抗力差,不排除其为致病菌,应用头孢哌酮舒巴坦覆盖治疗。经上述治疗7 d后,患者仍发热,出现迁延性软组织脓肿,予脓肿切开引流,更换抗生素为替考拉宁及哌拉西林舒巴坦。调整方案后,肺内病变逐渐吸收,体温恢复正常,抗生素降阶梯治疗。
SPE是肺栓塞的一种少见类型,但病情严重,其特征为含有病原体的栓子脱落后随血流进入肺血管系统导致肺栓塞(或梗死)和局灶性肺脓肿。国内报道的SPE较少,且为个案报道或小样本数的报道[2,3,4]。SPE诊断依靠临床、微生物学及影像学的证据。典型肺CT表现为多发胸膜下外周结节(大小不等,其内空洞多变)、<3 cm的楔形影和滋养血管征[5,6]。其他CT表现有肺实变或浸润影、心包积液、胸腔积液(或脓胸)、纵隔淋巴结肿大等。本例患者胸部CT表现为肺周边多发大小不等结节影、楔形影,其内部分可见滋养血管征及空洞,以及胸腔积液,少量心包积液。此外SPE应与血栓性肺栓塞、血源性肺部感染、转移性肿瘤、韦格纳肉芽肿等病鉴别。
综上所述,脓毒症患者,若出现发热、呼吸道症状和相应的胸部影像学改变时,应考虑SPE的可能。超声心动图、血培养有助于发现肺外感染灶。早期诊断,有效的抗生素治疗,积极控制肺外感染,多数患者预后良好。





















