
版权归中华医学会所有。
未经授权,不得转载、摘编本刊文章,不得使用本刊的版式设计。
除非特别声明,本刊刊出的所有文章不代表中华医学会和本刊编委会的观点。
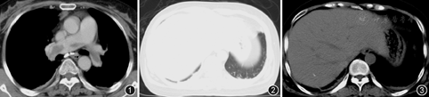
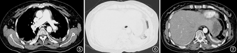
患者女,50岁,因"下肢肿胀疼痛半个月,晕厥、气促4 d,胸痛1 d"于2015年8月30日入院。患者2015年8月11日于外院行"清宫术"后阴道流血,给予"酚磺乙胺"静脉滴注7 d,用药期间右下肢逐渐出现肿胀、疼痛,诊断为"风湿病"并给予消炎镇痛治疗后疼痛减轻,但肿胀无改善。3 d前患者突发晕厥,约10 s后意识恢复,自觉气促、胸闷。下肢彩色多普勒超声检查示:右侧股总、股浅、腘静脉、胫后近段静脉血栓(完全性),诊断"下肢静脉栓塞" 。转至上级医院给予抗凝治疗伊诺肝素钠0.4 ml皮下注射,12 h/次。患者凌晨自觉右侧胸痛,行CT肺动脉造影(CTPA)检查示:双肺动脉主干栓塞,骑跨型肺栓塞,未见明显肺梗死(图1图2图3),为进一步诊治转入我院。既往史:甲状腺功能亢进病史3年,规律服用"甲硫咪唑"治疗,半年前曾经出现右小腿疼痛、稍肿胀自行好转无就医。否认脑血管意外、高血压病史,平素血压约120/70 mmHg(1 mmHg=0.133 kPa),近期无腰椎、眼部手术史,否认服用避孕药、雌孕激素及糖皮质激素史。家族史:母亲及2位妹妹均有下肢深静脉栓塞病史。个人史:无特殊。入院体检:体温36.5 ℃,脉搏80次/min,呼吸24次/min,血压119/71 mmHg,SpO2 93%(吸氧3 L/min),体重61 kg。口唇无发绀,双肺呼吸音清,未闻及干湿性啰音。腹平软,无压痛、反跳痛,肝脾不大,肝肾区无叩击痛。右下肢肿胀,皮温稍高,肌力正常,无感觉功能减退。入院相关检查:血气分析:pH值为7.41,吸氧浓度(FiO2) 30%,PaO2为94.3 mmHg,PaCO2为38.3 mmHg,肺泡动脉氧分压差[P(A-a)O2] 67.9 mmHg;凝血功能:D-二聚体(ELISA法)>10 000 ng/ml,凝血酶原时间 (PT) 14.7 s ,活化部分凝血活酶时间 (APTT) 44.2 s,凝血酶时间(TT) 15.4 s,纤维蛋白原3.30 g/L;心肌损伤相关检查:谷草转氨酶:41.6 U/L,肌酸激酶:15.4 U/L,肌酸激酶MB同工酶:12.0 U/L,乳酸脱氢酶:294.4 U/L,肌钙蛋白(CTnI)0.1 μg/L,肌红蛋白:7.5 μg/L;易栓症相关检查:蛋白S 11%,蛋白C 53%,抗凝血酶Ⅲ 65%。下肢深静脉彩色多普勒超声示:右股总静脉远端至小腿段完全性栓塞,伴丰富的侧支循环,右股总静脉近心端及大隐静脉未见异常团块。心电图未见明显异常(图4)。心脏彩色多普勒超声提示右心增大,三尖瓣反流(轻度),肺动脉高压(轻度),左心室收缩功能未见异常。入院后根据体重给予伊诺肝素钠0.6 ml,1次/12 h皮下注射,第2天患者气促较前加重。体检:呼吸急促,三凹征,呼吸27次/min,脉搏氧饱和度(SpO2)90%(吸氧4 L/min),血压103/62 mmHg。考虑病情较前加重,为避免病情恶化与家属充分沟通并签署同意书后,给予重组人组织纤维蛋白溶酶原激活剂(rt-PA)50 mg,2 h方案溶栓治疗[1]。溶栓过程顺利患者无出血、无不良反应。溶栓后患者气促、胸痛症状明显好转,体检:呼吸22次/min,SpO2 96%(吸氧2 L/min),血压113/71 mmHg。间隔2 h复查APTT减至60 s后给予续贯低分子量肝素(药物、剂量同前)抗凝治疗。溶栓后第2天无明显诱因出现左季肋区疼痛明显,深呼吸加重,腹部无压痛、反跳痛,复查血常规血红蛋白未见明显降低,急查血淀粉酶30 U/L,脂肪酶225 U/L,腹平片排除胃穿孔及肠梗阻。给予对症止痛治疗效果不明显。溶栓后第4天复查胸部CT造影对比溶栓前CT示:(1)双侧肺动脉主干血栓消失、右下肺基底段肺动脉栓塞较前明显改善;(2)左下肺外基底段肺梗死(图5图6图7);腹部增强CT提示:腹部未见异常。考虑溶栓后肺动脉内血栓分解脱落栓塞远端肺动脉,导致肺梗死。继续予以足量低分子量肝素抗凝、吸氧、止痛等对症支持治疗,症状逐渐减轻好转,继续治疗1周后下肢血栓较前减少,9月13日出院,出院给予口服利伐沙班15 mg,2次/d,连续服用3周后改为20 mg,1次/d。






骑跨型肺动脉栓塞(saddle pulmonary embolism, SPE)是指位于主肺动脉分叉处的血栓。SPE是一种临时状态,发生隐匿、变化快,发病率可能被严重低估[2,3]。文献报道,影像学证实的SPE发病率为2.0%~5.4%[2]。SPE血栓体积较大多来源于高位下肢深静脉或下腔静脉。杨鹤等[4]发现80% SPE患者合并下肢静脉血栓,其中66%合并腘静脉以上下肢血栓形成。SPE常见临床表现包括呼吸困难、晕厥、胸痛和恶心呕吐。呼吸困难和晕厥发生率明显增高,分别为72%~92%和11%~43%。原因可能与SPE血栓负荷重、栓塞位置特殊,血栓脱落或断裂后对肺循环血流影响大等有关。SPE肺动脉高压发生率高,67% SPE患者伴肺动脉高压[2]。肺动脉高压发生与肺循环血流受阻,肺血管阻力增高和低氧血症肺动脉痉挛有关。CT肺动脉造影是临床诊断肺栓塞一线工具,但由于SPE临时状态,发生隐匿、变化快,因此影像证实的SPE发病率也较低。CT肺动脉造影不仅能够发现和诊断SPE,而且能够判断是否发生肺动脉高压和了解右心功能。
SPE治疗观点尚不一致。部分学者认为骑跨血栓风险高、血栓负荷重,即使血流动力学稳定也应该给予积极处理。如:外科手术取栓、介入取栓、溶栓治疗,迅速溶解血栓恢复肺循环血流[5]。杨鹤等[4]报道15例SPE,5例血流动力学不稳定行溶栓治疗,9例血流动力学稳定患者单纯抗凝治疗,1例左、右心房和卵圆孔骑跨血栓行介入取栓术。结果5例治愈10例好转,未见死亡病例,治疗过程中轻微出血2例无大出血。Ryu等[6]报道14例SPE,仅1例行溶栓序贯抗凝治疗13例单纯抗凝治疗,其中4例植入下肢静脉滤器,住院期间无死亡。Gandara回顾性分析32例SPE患者,住院率93.4%明显高于非骑跨血栓住院率32.8%;仅1例SPE患者接受溶栓治疗其余均行抗凝治疗。30 d内随访期间,SPE与非SPE患者全因死亡率、大出血及静脉血栓复发率均无明显差异[7]。结合本病例及大部分文献报道显示SPE治疗与其他类型肺动脉栓塞一致。根据风险程度分组[8],血流动力学稳定者采用单纯抗凝治疗能够达到理想效果。血流动力学不稳定者给予及时溶栓治疗。卵圆孔骑跨血栓及具有明显溶栓、抗凝禁忌证者可行手术或介入取栓,合并高位下肢及下腔静脉血栓具有明显溶栓、抗凝禁忌证者给予下腔静脉滤器植入。
本病例患者为中年女性,半年前曾出现右侧下肢疼痛、肿胀无治疗自行减轻。本次因术后使用静脉止血剂出现右下肢肿胀疼痛,彩色超声检查提示下肢深静脉血栓形成并侧支循环建立。考虑患者既往可能存在下肢深静脉血栓病史,本次血栓急性加重并脱落。入院检查患者血浆蛋白C降低较明显,蛋白S轻度减低(检测前未使用华法林抗凝治疗)。结合患者母亲及妹妹均下肢深静脉血栓病史需要考虑易栓症可能,建议患者进一步行相应基因检查及家人行易栓症项目检查,但因经济原因尚未进行。如果易栓症诊断明确,为避免血栓复发该患者需要终生抗凝治疗。
肺栓塞治疗方案需要根据病情及时调整,尤其是骑跨型肺栓塞。本例患者入院时血流动力学尚稳定,根据2014 ESC肺栓塞指南风险评估属于中高危组[8],密切观察下给予低分子量肝素抗凝治疗,治疗后症状加重、血压下降需要及时解除肺动脉梗死、恢复血流动力学立即给予溶栓治疗,治疗后患者症状明显改善。骑跨型肺栓塞血栓负荷重、血栓受血流不断冲击容易碎裂,尤其溶栓后血栓易碎裂为小块血栓随血流堵塞远端血管出现肺梗死。本例患者溶栓后第2天出现胸痛,相关检查排除了急腹症、腹腔内出血,复查血浆D-二聚体浓度逐渐下降可排除血栓复发。对比溶栓前及胸痛后复查胸部CTPA发现原主干内血栓消失,左下肺动脉内发现血栓该血管供应区域肺组织出现梗死灶。由此考虑溶栓后继发肺梗死继续给予足量抗凝及对症治疗,治疗后症状逐渐改善好转。结合本例患者治疗过程及查阅文献,我们认为骑跨型肺栓塞治疗原则与其他类型肺栓塞相同,对血流动力学异常者需要及时溶栓治疗,对血流动力学稳定者可以给予足量抗凝治疗,但是由于血栓负荷重、病情变化快需要密切观察及时调整治疗方案。本例治疗经验显示,骑跨型肺栓塞溶栓或抗凝治疗后可能出现远端肺梗死导致胸痛,溶栓继发肺梗死给予足量抗凝治疗有效死亡率及出血风险并未增加但需要排除脏器出血及急腹症。通过对该病例报道和分析以期提高对骑跨型肺动脉栓塞诊断和治疗认识。





















