
版权归中华医学会所有。
未经授权,不得转载、摘编本刊文章,不得使用本刊的版式设计。
除非特别声明,本刊刊出的所有文章不代表中华医学会和本刊编委会的观点。
肺栓塞是临床常见的急危重症,发病率和病死率较高,估计肺栓塞总体年发病率在100~200/10万人,在因静脉血栓性疾病引起的死亡病例中,只有约7%在死亡前诊断肺栓塞,约34%的患者发生猝死,高达59%患者始终未确诊肺栓塞[1],早期误诊率和漏诊率高达30%[2]。宁波大学医学院附属医院呼吸科收治1例以咳嗽为主要表现的不典型肺栓塞患者,多次D-二聚体检测阴性,最终经CT肺动脉造影确诊,现回顾该例患者诊治过程报道如下。
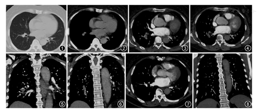
患者女,71岁,因"反复咳嗽2年余"于2016年2月28日收入院。患者于2年前无明显诱因下出现咳嗽,为阵发性连续咳嗽3~4声,间隔时间约30 min至4 h,不剧,昼夜咳嗽无明显差异,入睡后无咳醒,闻及油烟味咳嗽加重,活动后稍感胸闷气促,无鼻后滴漏感,无反酸等消化系统症状,无低热盗汗,无胸痛咯血,于2015年6月15日行冠状动脉造影示冠脉系统光滑通畅,未见明显狭窄,曾在多家医院就诊,分别诊断为"慢性支气管炎"、"咳嗽变异性哮喘"等疾病,先后给予"噻托溴铵粉吸入剂"、"布地奈德福莫特罗粉吸入剂"等药物治疗后症状稍好转,停药后症状再发。2016年2月11日肺功能检查肺活量为1.51 L,FVC为1.5 L,占预计值%为70.5%;FEV1为1.34 L,占预计值%为71.0%,FEV1/FVC为82.6%。DLCO为4.57 mmol·min-1·kPa-1,占预计值%为72.3%。2016年2月23日胸部CT基本正常(图1,图2),既往体质一般,3年前因"股骨头坏死"行"全髋关节置换术",术后下肢活动功能恢复可,无吸烟饮酒史,无高血压病,无家族类似疾病史。


入院体检:脉搏78次/min,呼吸19次/min,血压107/70 mmHg(1 mmHg=0.133 kPa),血氧饱和度(自然状态)97%。双肺呼吸音清,未闻及干湿性啰音。心腹及神经系统阴性。双下肢无水肿。实验室检查:血常规示白细胞为9.9×109/L,中性粒细胞为0.62,血红蛋白为132 g/L,血小板为332×109/L。C反应蛋白为14.0 mg/L。凝血功能示凝血酶原时间(PT)10 s,活化部分凝血活酶时间(APTT)32.6 s,D-二聚体为463 μg/L。血气分析示pH值为7.44,PaO2为80 mmHg,PaCO2为37 mmHg。B型钠尿肽(BNP)6.1 ng/L。诱导痰嗜酸粒细胞<2.5%,支气管激发及舒张试验均阴性。心电图未见异常。患者慢性咳嗽2年,多次胸部CT均未报异常,仔细观察胸部CT发现右肺下叶肺动脉似有增宽,结合患者活动后胸闷气促及髋关节置换手术史,于2016年2月29日行CT肺动脉造影(CT pulmonary angiography,CTPA)示主肺动脉、左右肺动脉干及各大血管大小形态如常,血管走形自然、管腔显影良好,两侧段及亚段肺动脉分支见多发低密度充盈缺损影(图3, 图4, 图5, 图6),考虑肺栓塞。同时完善双下肢深静脉B超示双下肢深静脉通畅。超声心动图示右心房室不大,肺动脉不增宽,连续多普勒根据轻微三尖瓣反流估测肺动脉收缩压约20 mmHg。多次复查D-二聚体均<500 μg/L。
患者无休克或持续性低血压,无右心功能不全,按简化版肺栓塞严重指数(sPESI)临床预后风险评分为0分,属于低危组,根据我国最新急性肺栓塞诊断与治疗中国专家共识[3]按体重给予低分子肝素钙(0.6 ml,1次/12 h)皮下注射联合华法林钠(2.5 mg,1次/d)口服抗凝治疗,多次复查凝血功能至INR达2~3之间停用低分子肝素钙,出院后继续口服华法林钠(2.5 mg,1次/d)治疗,叮嘱患者定期复查凝血功能,动态监测INR使其控制在2~3之间,经抗凝治疗2个月后复查CTPA显示段及亚段肺动脉分支通畅,未见血栓形成(图7,图8),且患者自诉咳嗽症状较前明显改善,继续使用4个月后停用华法林钠。
肺栓塞是由来自静脉系统或右心的血栓阻塞肺动脉或其分支所致,以肺循环和呼吸功能障碍为主要病理生理特征和临床表现[3],其临床发病率和病死率高,早期诊断并及时治疗能明显降低肺栓塞患者的病死率。主要高危因素包括创伤、下肢骨折、关节置换术、肿瘤、高龄等,但25%~50%的患者可无任何危险因素[4]。临床表现无明显特异性,以不明原因的呼吸困难最常见,呼吸困难一般常见于急性和严重的大块肺栓塞,对于小的外周肺栓塞,呼吸困难往往不明显或呈一过性。本例患者以咳嗽为主要表现,呼吸困难症状不明显,导致诊断延迟。研究发现肺动脉栓塞不能及时快速确诊与其缺乏特异性临床症状相关,绝大部分早期确诊的患者往往有呼吸困难、胸痛、晕厥和(或)痰中带血等症状[5],延迟诊断最主要的原因是症状不典型,研究发现存在咳嗽症状是导致肺栓塞延迟诊断的重要原因之一[2,6],但肺栓塞引起慢性咳嗽的机制未有国内外相关文献报道,可能与栓塞部位的肺血流量减少,肺泡死腔样通气增大,导致局部肺组织低氧及神经体液因素的参与,引起局部肺毛细血管通透性增加,间质和肺泡内液体渗出增多,刺激肺毛细血管旁感受器(J感受器)引起咳嗽有关。
本例肺栓塞另一个不典型之处是反复多次检测D-二聚体均阴性,D-二聚体是血栓中交联纤维蛋白在纤维溶解系统作用下产生的一个特异性可溶性降解产物,其在肺栓塞中诊断敏感性高达95%左右,是排除肺栓塞最重要的实验室检查。因D-二聚体在没有纤维溶解系统激活的情况下可在24 h内迅速降解,本例患者D-二聚体阴性,可能与患者发病至就诊时间间隔长有关[7]。心电图主要反映右心压力的改变,可出现V1~V4导联T波倒置,V1导联呈QR型,SⅠQⅢTⅢ,或出现右束支传导阻滞等异常,往往发生于较严重肺栓塞患者,对于轻症患者以窦性心动过速最常见[8]。CTPA是目前确诊肺栓塞最主要的检查方法,对于高危组及中危组患者CTPA具有很高的特异性,而对于低危组特别是血栓只限于亚段及以下动脉,其阳性预测值低[9],可能需要做进一步检查,如放射性核素肺通气/血流灌注显影。
本例肺栓塞以咳嗽为主要症状就诊,咳嗽时间长达2年,多次在我院及外院门诊就诊,曾诊断为慢性支气管、咳嗽变异性哮喘等疾病,但支气管激发及舒张试验阴性,诱导痰嗜酸粒细胞%<2.5%,且临床治疗效果不佳,可以除外咳嗽变异性哮喘和嗜酸粒细胞性支气管炎,后因患者出现活动后胸闷,且冠状动脉造影已除外冠状动脉粥样硬化性心脏病,结合患者3年前有全髋关节置换手术病史,咳嗽出现于手术后1年,临床怀疑肺栓塞可能,行CTPA后才最终得以明确诊断。根据我国及国外肺栓塞指南[10]对于不伴休克或无持续性低血压的可疑肺栓塞患者如果D-二聚体<500 μg/L,不需进一步行CTPA等检查,但当栓子较小、纤溶酶原减少、外周性血栓,发病至就诊间隔时间长均容易产生D-二聚体阴性[7,11],且这些患者往往属于低危组或中危组,所以在具体临床实践中仍需根据患者实际情况灵活掌握。笔者认为对于胸部CT阴性的慢性咳嗽患者,如伴有不能解释的胸闷症状,尤以活动后明显,该胸闷症状可能可被吸入支气管扩张剂所缓解,但出现停药后复发,这时不能只满足于咳嗽变异性哮喘的诊断,一定要完善支气管激发试验和舒张试验,如该检查均阴性,且除外可引起胸闷的常见疾病如冠状动脉粥样硬化性心脏病、慢性阻塞性肺疾病等常见疾病,需要警惕肺栓塞可能,特别是同时存在肺栓塞高危因素的患者,如老年(>65岁)、有恶性肿瘤病史及骨科手术病史等。总之,肺栓塞是临床上常见的急危重症,部分患者症状不典型,这需要临床医生综合考虑患者的危险因素、临床症状体征、实验室检查等多方面因素,避免对肺栓塞的漏诊。





















