
版权归中华医学会所有。
未经授权,不得转载、摘编本刊文章,不得使用本刊的版式设计。
除非特别声明,本刊刊出的所有文章不代表中华医学会和本刊编委会的观点。
患者女,57岁。因"反复咳嗽、咳痰4个月,再发1周"于2013年6月11日入院。患者4个月前无明显诱因出现咳嗽、咳白色泡沫样痰,量少,易咳出,伴膝关节肿胀、疼痛,无发热、畏寒、寒战,无乏力、盗汗、午后潮热,无咯血。在陕西省某医院就诊,胸部CT示双肺门纵隔内多发淋巴结肿大,双肺野多发小结节,右肺门增大伴右肺下叶阻塞性改变(图1)。取支气管黏膜病理示支气管黏膜慢性炎症伴肉芽组织形成(图2)。给予抗感染、化痰等治疗后效果不佳,且双膝关节开始出现红斑,在第四军医大学西京医院皮肤科诊断为结节性红斑,给予"头孢克肟、吲哚美辛、泼尼松"及外用药物治疗后双膝关节结节性红斑消失,部分遗留色素沉着。仍有咳嗽、咳痰,在第四军医大学西京医院呼吸内科,行超声支气管镜检查见纵隔多发淋巴结肿大。经超声支气管镜纵隔淋巴结活检病理示慢性肉芽肿性炎,免疫细胞化学染色结果:挤压的细胞LCA阳性,其余(AE1/AE3、CD68、CD163、CD56、CgA、CK7、P63、Syn、TTF1、Vim)阴性,上皮样细胞CD68阳性,切片中Ki-67阴性。行结核感染T细胞斑点试验(T-spot),TB-DNA均阴性。诊断为"肺结节病?",给予化痰、平喘等治疗后症状好转出院。其后患者咳嗽、咳痰反复发作,每次发作相类似,可自行缓解。1周前患者再次出现咳嗽、咳痰,我院门诊以"肺结节病?"收入院。体检:体温36.5 ℃,脉搏为88次/min,呼吸频率为20次/min,血压为120/70 mmHg(1 mmHg=0.133 kPa)。意识清楚、精神欠佳,双肺呼吸音清,双肺未闻及干湿性啰音。


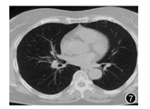
入院诊断:肺结节病。诊治经过:入院后完善支气管镜检查(图3, 图2, 图5, 图6),给予氨溴索化痰治疗并给予泼尼松30 mg 1次/d口服治疗3周,每3周减少10 mg,直至维持量10 mg 1次/d,总疗程6个月。2013年8月30日入院复查,患者咳嗽、咳痰症状完全消失,胸部CT(图7)示双肺透亮度较图1明显增加,右肺门正常;支气管成簇团片样影消失;双侧胸膜下小血管周围微小结节灶消失;复查支气管镜(图8, 图9, 图10, 图11)示双侧支气管黏膜肉芽肿性隆起消失。随访至今未再复发。




1877年英国医生Hutchinson首次报道了结节病的皮肤损害,1899年挪威Boeck医生根据组织病理学将其命名为皮肤多发性良性肉瘤(multiple benign sarkiod of the skin),其组织病理为非干酪性上皮细胞样肉芽肿,其后将组织病理表现为非干酪性肉芽肿的疾病命名为结节病(sarcoidosis)。结节病可涉及机体每个器官,最常见的器官为肺脏(约90%的患者有肺脏累及),其次为皮肤、眼睛、肝脏及外周淋巴结(约10%~30%的患者可累及)[1]。由于结节病为多系统性肉芽肿性病变,其临床表现从无任何临床症状至危及生命的状态[2]。
肺结节病临床表现多种多样,可能无任何临床症状而仅仅是体检发现胸部影像异常,也可能表现为肺纤维化及呼吸衰竭的症状[3]。研究报道,活动性肺结节病患者超过90%有咳嗽和呼吸困难症状,但这些临床症状均没有特异性[4]。肺结节病超过90%的患者有胸部影像学异常。1958年德国影像学医生Wurm将结节病肺部表现分为5期,近年来高分辨率CT(HRCT)因为其能清晰地显示肺门、胸膜下病灶及区别其他肉芽肿性炎,在诊断肺结节病中比胸部正位片更具优势[1]。然而肺结节病在HRCT中的征象亦非特异性表现,且其较低的获益比仍无法完全取代胸部正位片的作用[1]。肺结节病HRCT表现常见的有胸膜下小血管周围的微小结节灶,支气管周围的成簇团片状结节灶、纤维化灶及星云征(galaxy sign),少见的HRCT征象有胸腔积液,其在肺结节病影像表现中少于3%,罕见的HRCT表现有反晕征(reverse halo sign)/仙女环(fairy ring)/环礁征(atoll sign)[5]。肺结节病因其为自限性疾病,其肺功能改变多为可逆性改变,其中胸部正位片1~3期的患者中约20%~40%的患者为正常肺通气功能[6]。肺结节病是否需要治疗一般取决于炎症活动、器官功能损害、肺功能损害和保守缓解的低可能性,而不是所有的肺结节病均需治疗[7]。糖皮质激素是肺结节病治疗的一线用药,起始剂量推荐为20~40 mg/d的泼尼松使用3~4周,然后以每3~4周减少10 mg直至10 mg的维持量。对于需要治疗多长时间目前暂无可靠的数据支持,一般对于急性结节病的患者来说至少需要6个月的治疗[8]。
本例病例以咳嗽、咳痰为主要症状就诊;胸部CT平扫可见胸膜下小血管周围的微小结节灶、支气管周围成簇团片灶及星云征;支气管黏膜病理提示为慢性肉芽肿性病变,除外其他疾病后诊断为肺结节病。虽经治疗后患者症状完全消失、复查胸部CT平扫肺部病灶消散,但回顾患者就诊历程,对于我们临床医师的启示为:(1)不能只专注于本专业的症状,本专业之外的症状往往具有重要参考价值,如本例患者入院前即有关节肿痛及皮疹,如在皮疹发生时行皮肤组织病理检查及胸片检查可缩短患者确诊时间。(2)对于患者是否需要药物干预,应个体化选择,不能以一般情况替代特殊情况。





















