
版权归中华医学会所有。
未经授权,不得转载、摘编本刊文章,不得使用本刊的版式设计。
除非特别声明,本刊刊出的所有文章不代表中华医学会和本刊编委会的观点。
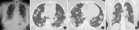
患者女,62岁,主因"间断咳嗽、咳痰2个月余"于2017年9月27日就诊。患者2个月来间断咳嗽,每日咳痰数口,无发热、咯血、胸痛、呼吸困难等症状。1个月前于外院X线胸片显示双肺多发结节影,首先考虑特殊感染,不除外肿瘤(图1)。遂来我院门诊就诊。患者自发病以来饮食可,二便如常,体重无明显下降。既往体健,无吸烟饮酒史。无放射线及毒物接触史。体格检查:体温36.3 ℃,脉率88次/min,呼吸频率24次/min,血压140/60 mmHg(1 mmHg=0.133 kPa)。指尖脉氧饱和度93%,双肺散在少许湿啰音。心律齐,无杂音。腹平软,无压痛。双下肢不肿。


初步诊断为肺部多发结节原因待查。于我院门诊查血常规白细胞为5.15×109/L,中性粒细胞为0.52,嗜酸粒细胞百分比为0.09,C反应蛋白(CRP)为2 mg/L。1-3-β-D葡聚糖(G试验)、血清半乳甘露聚糖试验(GM试验)、隐球菌荚膜抗原阴性;抗核抗体(ANA)阳性(颗粒型1∶320,胞质型1∶320,均质型1∶320),抗ds-DNA(IIF法)阴性,抗dsDNA(ELISA法)为202 IU/ml(正常参考值:<100 IU/ml),抗中性粒细胞胞质抗体(ANCA)阴性。总IgE为73 kU/L(<100 kU/L)。肿瘤标志物细胞角蛋白19片段为5.7 μg/L(正常参考值:<3.3 μg/L),组织多肽抗原为150.1 U/L(正常参考值:<120 U/L),胃泌素释放前体为91.9 ng/L (正常参考值:<69.2 ng/L)。肺功能通气功能正常,支气管舒张试验阳性,FEV1改善率为12.6%(290 ml)。胸部高分辨率CT(HRCT)显示双肺多发大小不等、形态不规则团块实变灶(图2,图3,图4)。全身PET-CT显示双肺多发磨玻璃及软组织密度实变灶,葡萄糖代谢轻度增高(图5)。肛周葡萄糖代谢增高灶,考虑痔疮可能大。脑部、骨骼、肝脏等其余脏器未见葡萄糖代谢异常灶。


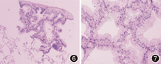
为明确诊断,于门诊行CT引导下肺部结节穿刺活检,穿刺部位位于左肺上叶。肺组织病理回报为黏液腺癌(图6,图7)。免疫组织化学:CK7(+++),CK20(-),TTF(-),CDX2(+),EGFR(++),HER2(-),MET(+++),ROS1(-)。活检组织基因细胞突变实时荧光定量PCR检测:EGFR基因(包含Exon-18、Exon-19、Exon-20、Exon-21基因)、EML4-ALK融合基因、ROS-1融合基因等皆为阴性。最终诊断:肺原发浸润性黏液腺癌。患者转入肿瘤医院进一步治疗。


肺浸润性黏液腺癌(invasive mucinous adenocarcinoma,IMA)是2011年肺腺癌国际多学科分类中的一个新术语,作为浸润性腺癌的一种变异型,在以前被称为黏液性细支气管肺泡癌,占肺腺癌约5%[1]。此类腺癌起源于柱状上皮及杯状细胞,可分泌大量黏液,具有独特的临床病理特征和免疫表型。但因其发病率低,临床上对该类肺癌缺乏深入了解。
本例患者在首诊时主诉为慢性咳嗽、咳痰,结合患者双肺多发团块状实变影,实变周围可见晕征,首先需排除感染、特别是真菌感染的可能性。该患者查G试验、GM试验和隐球菌抗原等皆为阴性,不支持真菌感染诊断;另外,患者支气管舒张试验阳性,我们考虑到是否存在肉芽肿性病变或变应性支气管肺曲霉病及其他自身免疫性疾病,但患者无明显气道高反应或系统受累表现,抗中性粒细胞胞质抗体、IgE、曲霉相关IgE均阴性,不支持上述诊断。而最终的经皮肺穿刺病理揭晓了疾病的真相:肺浸润性黏液腺癌。
IMA分化好、发展慢,故临床症状出现较晚,主要表现为咳嗽、咳痰,部分患者每日咳痰量>100 ml,晚期患者可出现呼吸困难[2]。影像学表现为结节影或肺炎样改变。典型的结节型黏液腺癌CT表现为实性或部分实性结节,少见纯磨玻璃结节[3]。与其他类型肺癌相比,更容出现空泡征或假空洞征,占IMA的40%~78%。其病理学基础是肿瘤细胞沿管壁浸润性生长,使管腔形成活瓣样阻塞,气体容易进入肺泡腔但难以出去,导致肺泡腔过度充气,表现为小空泡征或假空洞。而被肿瘤细胞分泌的黏液填充的肺泡腔,则表现出来低于肌肉组织的实性密度影[4],随时间推移,黏液中水分被重吸收而蛋白成分增加,CT值会逐渐上升。结节周围若存在磨玻璃影往往边界不清,病理上磨玻璃影相当于分泌到肺泡间隙的黏液、聚集的巨噬细胞或被肿瘤细胞部分替代但未被完全填充的肺泡间隙。
对可接受手术治疗的早期IMA患者,其无病生存率较长[5]。与其他非小细胞肺癌不同,IMA对化疗不敏感,有个案报道患者在接受顺铂+培美曲塞+贝伐单抗后在影像学上获得良好反应[6]。因IMA的EGFR突变率低,KRAS突变率高,而针对KRAS突变的靶向药物仍处于Ⅱ期临床研究阶段前阶段,故患者难从现有的络氨酸激酶抑制剂中获益[7]。





















