
血管免疫母细胞T细胞淋巴瘤为淋巴瘤中少见亚型,淋巴结是其最常见受累部位,临床症状表现为发热、盗汗、皮肤瘙痒、皮疹、浅表淋巴结肿大、肝脾大、骨髓侵犯、浆膜腔积液等,32%~50%可出现外周血嗜酸粒细胞升高。通过报道1例发热伴肺部阴影及胸腔积液最终诊断为血管免疫母细胞T细胞淋巴瘤的病例,以提高对该病的认识。
版权归中华医学会所有。
未经授权,不得转载、摘编本刊文章,不得使用本刊的版式设计。
除非特别声明,本刊刊出的所有文章不代表中华医学会和本刊编委会的观点。
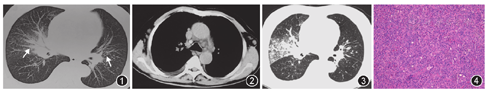
患者男,70岁,因"间断咳嗽、发热3个月"于2018年6月13日入院。患者2018年3月27日因高热1 d伴咳嗽、咳痰于当地医院给予头孢他啶2.0g,2次/d,抗感染3 d无效。于2018年3月30日转至当地三甲医院呼吸科住院,胸部CT示肺部阴影,降钙素原为3.01 μg/L,诊断为"社区获得性肺炎",先后给予左氧氟沙星0.5 g 1次/d、哌拉西林钠他唑巴坦钠4.5 g,2次/d抗感染治疗,症状缓解出院。出院2周后再次出现高热、咳嗽、咳痰,于2018年5月20至2018年6月11日再次入住当地三甲医院呼吸科,先后给予左氧氟沙星0.5 g 1次/d、头孢米诺2.0 g 2次/d、莫西沙星0.4 g 1次/d、比阿培南0.3 g 2次/d、头孢噻肟舒巴坦3.0 g 2次/d抗感染治疗,患者发热及咳嗽症状无好转。2018年6月8日胸部CT示双肺间质改变伴右侧胸腔少量积液(图1,图2)。支气管镜检查提示气管支气管急性炎症改变,BALF普通细菌培养、真菌培养、抗酸染色均阴性。患者抗感染治疗无好转,外院诊断"肺结核并右侧结核性胸膜炎"转诊至我院。


患者为农民,既往健康。体检:体温37.0 ℃,脉搏99次/min,呼吸20次/min,血压133/75 mmHg(1 mmHg=0.133 kPa)。左侧颈部、腋窝可触及数枚花生米大小肿大淋巴结,活动度好,边界清楚,无压痛。皮肤巩膜未见黄染。右下肺呼吸音低,右下肺叩诊呈浊音,双肺未闻及干湿性啰音,心脏及腹部未见异常。入院后血常规示白细胞为6.31×109/L,中性粒细胞为0.57,嗜酸粒细胞为0.17,血红蛋白为118 g/L,血小板为148×1012/L,肝功能、肾功能、电解质均正常,乳酸脱氢酶(lactic dehydrogenase,LDH)为299 U/L,D二聚体正常,ESR为17 mm/1 h,C反应蛋白为30.77 mg/L,降钙素原为0.10 μg/L。PPD阴性,1,3-β-D-葡聚糖(G试验)阴性,半乳甘露聚糖试验(GM试验)阴性,痰涂片抗酸染色阴性3次,痰结核分枝杆菌DNA检测阴性,痰Xpert MTB/RIF未检出结核分枝杆菌核酸,痰真菌涂片阴性,痰真菌培养阴性,痰普通细菌培养阴性,血培养阴性。肿瘤标志物:糖类抗原125为131.20 U/ml,癌胚抗原(CEA)、甲胎蛋白、细胞角蛋白19片段、神经元特异性烯醇化酶、糖类抗原19-9均正常。乙肝表面抗原阴性,丙肝抗体阴性,梅毒抗体阴性,HIV抗体阴性。右侧胸腔积液:李凡他试验阳性,细胞数为1 400×106/L,淋巴细胞为79%,中性粒细胞为21%,总蛋白为34.1 g/L,葡萄糖为6.8 mmol/L,腺苷脱氢酶为19.9 U/L,LDH为179 U/L,细胞学检测可见大量淋巴细胞,未见肿瘤细胞。2018年6月16日复查胸部CT示双肺病变较前有进展(图3)。
入院后于2018年6月15日在局部麻醉下行左侧颈部淋巴结活检术。2018年6月18日病理报告:(左侧颈部)淋巴结(1/1枚)淋巴组织增生性疾病,非霍奇金淋巴结可能(图4)。免疫组织化学检测示CD20(-),PAX-5(-),CD2(+),CD3(+),CD7(+),CD4(+),CD8(+),CD43(+),CD5(+),CD10(LN)(+),BCL-2(+),CD21(+),CD23(+),BCL-6(-),CyclinD1(-),c-myc(-),Mum-1(-),CD30(-),EBER CISH(-),PD1(-),Ki-67(LI约60%)。结合免疫组织化学符合淋巴结血管免疫母细胞T细胞淋巴瘤(angioimmunoblastic T-cell lymphoma,AITL)。骨髓活检可见造血良好,未见淋巴细胞增多及形态异常。最后诊断AITL Ⅳ期肺浸润。
AITL为淋巴瘤中少见亚型,属外周T细胞淋巴瘤,占非霍奇金淋巴瘤的1%~2%。AITL多见于老年男性,淋巴结是其最常见受累部位,临床症状表现为发热、盗汗、皮肤瘙痒、皮疹、浅表淋巴结肿大、肝脾大、骨髓侵犯、浆膜腔积液等。常伴自身免疫紊乱如溶血性贫血、免疫复合体、抗平滑肌抗体和类风湿因子阳性等。AITL属于全身系统性疾病,呈高度侵袭性、进展快、预后差,5年生存率仅33%~48%[1]。
本例患者胸部影像学表现为支气管血管束增粗伴弥漫性结节及磨玻璃影,纵隔淋巴结及左侧腋窝淋巴结增大,右侧胸腔积液。影像学表现支气管血管束增粗伴弥漫性结节常需鉴别的疾病包括癌性淋巴管炎、淋巴瘤、白血病、淋巴增生性疾病、结节病及间质肺水肿等[2]。但是患者外院多次住院均由于发热症状、肺部阴影及降钙素原升高而考虑肺部感染,未注意到影像学提示肺间质受累,且未仔细体检及时发现体表淋巴结从而及时活检明确诊断。回顾本例病例,老年男性、反复发热症状、影像学提示支气管血管束增粗伴淋巴结肿大、血LDH升高应该首先考虑淋巴瘤。而血嗜酸粒细胞升高也为淋巴瘤提示依据,文献报道嗜酸粒细胞升高是淋巴增殖性疾病的一个并发症,有时候甚至为其首发表现。AITL是最常见的嗜酸粒细胞增高相关性疾病,约32%~50% AITL可出现外周血嗜酸粒细胞升高[3]。当临床中遇到反复发热、血LDH升高、胸部影像学提示支气管血管束增粗时需考虑到淋巴瘤可能,如外周血嗜酸粒细胞升高,则需首先考虑AITL。
所有作者均声明不存在利益冲突





















