
探讨医务人员新型冠状病毒肺炎(简称新冠肺炎)的临床特征。
对江汉大学附属医院2020年1月10—3l日收治的感染新冠肺炎的30例该院医务人员的临床表现、实验室、影像学资料进行分析。
30例医务人员感染者分别是医生22例, 护士8例;男10例,女20例,年龄21~59岁,平均(35±8)岁;普通型26例,重症4例,均有近距离(1m内)接触新冠肺炎患者的直接接触史,平均接触次数12(7,16)次,平均累计接触时间2(1.5,2.7)h。30例患者临床症状包括发热23例(76.67%),头痛16例(53.33%),乏力或全身酸痛21例(70%),恶心、呕吐或腹泻9例(30%),咳嗽25例(83.33%),呼吸困难14例(46.67%)。血白细胞(WBC)<4.0×109/L者8例(26.67%),(4~10)×109/L者22例(73.33%),病程中出现WBC>4.0×109/L的患者4例(13.33%);淋巴细胞计数<1.0×109/L者12例(40%);肝功能异常者7例(23.33%);心肌受损者5例(16.67%),D-二聚体>0.5 mg/L者5例(16.67%)。与普通型患者相比,重症患者平均接触次数、累计接触时间、BMI值、平均热程、白细胞计数、肝酶、LDH、肌酶及D-二聚体显著升高,外周血淋巴细胞计数及白蛋白水平显著降低。胸部CT主要表现为多发小斑片影及间质改变,累及单肺者11例(36.67%),累及双肺者19例(63.33%),其中4例(13.33%)表现为典型的双肺弥漫性磨玻璃样改变。与防护期感染者相比,未防护期感染者重症比例增加,病灶累及双肺者增多。
医务人员具有感染新冠肺炎的高风险,感染几率与接触患者时间、吸入病毒量相关,重症患者的BMI增高、平均热程长、白细胞计数、淋巴细胞计数、D-二聚体、白蛋白水平明显改变,更易并发肝功能异常、心肌受损,加强防护是预防医务人员感染的重要措施。
版权归中华医学会所有。
未经授权,不得转载、摘编本刊文章,不得使用本刊的版式设计。
除非特别声明,本刊刊出的所有文章不代表中华医学会和本刊编委会的观点。
2019年12月底以来,湖北省武汉市及全国其他地区陆续出现多例新型冠状病毒感染的肺炎(简称新冠肺炎)患者,并波及海外近20多个国家。据流行病学调查,人群普遍易感,可能的传播途径包括飞沫传播、粪口传播以及接触传播,此病的流行特征之一表现为医院聚集性,医生、护士等医院工作人员为高发人群。由于初期病原体未明,对该病的了解不足,易造成院内感染。现对本院30例感染新冠肺炎的医务人员的临床资料作回顾性分析。
回顾性分析2020年1月10—31日所有感染新冠肺炎并在我院住院治疗的医务人员的病历资料。共30例,男10例,女20例,年龄21~59岁,平均(35±8)岁。本研究方案得到江汉大学附属医院医学伦理委员会审核同意(WHSHIRB-K-2020001)。所有患者均签署书面知情同意书。
由患者自填或由知情者填写调查表,调查内容包括30例医务人员的个人防护措施,与新冠肺炎患者近距离(1 m内)直接接触的时间、地点、及次数。2020年1月10日首次发现本院1例呼吸与危重症医学科病区医生感染新冠肺炎,全院医务人员自此开始加强个人防护,以此时间点分为防护期和非防护期。防护期:日常诊疗活动时,穿工作服、一次性隔离衣、戴工作帽、N95防护口罩;查房、采集呼吸道样本、气管插管、气道护理和吸痰及患者接触血液、体液、分泌物或排泄物时,加戴乳胶手套、防护目镜或防护面屏,严格执行手卫生。各科室加强病区管理、环境通风、物体表面的清洁消毒和医疗废弃物管理等医院感染控制工作,患者戴口罩。非防护期:未按甲类传染病防护要求进行规范防护。将2020年1月10—20日住院者作为未防护感染者,2020年1月21—31日住院者作为防护期感染者。
依据国家卫生健康委办公厅制定的新型冠状病毒感染的肺炎诊疗方案(试行第五版修正版)[1]。轻型病例的诊断标准:临床症状轻微,影像学未见肺炎表现。普通型病例的诊断标准:具有发热、呼吸道等症状,影像学可见肺炎表现。重型病例的诊断标准:符合以下标准的其中1条者:(1)呼吸窘迫,呼吸频率≥30次/min;(2)低氧血症,静息状态下指氧饱和度≤93%;(3)动脉血氧分压(PaO2)/吸氧浓度(FiO2)≤300 mmHg(1mmHg=0.133kPa)。危重型病例的诊断标准:符合以下情况之一者:(1)出现呼吸衰竭,且需要机械通气;(2)出现休克;(3)合并其他器官功能衰竭需ICU监护治疗。
采取RT-RCR检测法,双靶标检测试剂盒由上海捷诺公司提供。结果判定:cut-ofF值为40,Ct值<37为阳性,Ct值>40为阴性,37~40为灰区(需复测)。
同时具备下列3个条件:(1)体温恢复正常3 d以上,呼吸道症状明显好转;(2)肺部影像学显示炎症明显吸收;(3)连续两次呼吸道病原核酸检测阴性(采样时间间隔至少1 d)。
观察并记录患者的临床表现、实验室检查、影像学资料、治疗方法及转归。实验室及影像学检查入院初期2~3 d复查1次,恢复期4~7 d复查1次。
采用SPSS 19.0统计学软件,计数资料以例数(百分比)表示,计量资料首先进行正态性检验,符合正态分布资料的以Mean±SD表示,组间比较采用独立样本t检验;不符合正态分布的以中位数(四分位间距)表示。以P<0.05为差异具有统计学意义。
30例患者在发病前均参与临床一线工作,其中医生22例, 护士8例(表1),3例连续3 d工作超过14 h,2例失眠>3 d;在诊疗过程中,22例医生常规穿工作服,防护前:8例查房时未戴口罩、6例戴口罩不规范、3例医生在参与气管插管时未戴帽子、2例医生坐诊时未戴口罩;1例骨科医生和1例手术室麻醉科医生仅在手术中穿手术衣、戴手术帽、一次性外科防护口罩及手套;8例护士均穿工作服、戴工作帽及一次性外科防护口罩,吸痰时戴一次性手套。病区感染者25例(因查房或操作感染者23例,急诊手术感染者2例),门诊感染5例。呼吸与危重症医学科12例感染的医务人员中5例医生和1例护士直接参与了隔离病房重症肺炎患者的诊疗和护理工作。骨科1例医生和1例护士均参与了1例手外伤合并新冠肺炎患者的诊疗。30例均有近距离(1 m内)接触(诊疗、护理、抢救)新冠肺炎患者的直接接触史,接触次数1~28次,平均接触次数为12(7,16)次,接触时间为0.5~3.5 h,平均累计接触时间为2(1.5,2.7)h。防护前感染者19例,其中15例于1月10—15日住院。防护后感染者11例(部分患者可能存在防护前已感染尚处于潜伏期),其中1月24日(即防护14 d)后入院者仅1例。防护前就诊和住院时患者和家属均未戴口罩,防护后就诊和住院时患者和家属均戴口罩。

30例患者不同科室分布情况(例,医/护)
30例患者不同科室分布情况(例,医/护)
| 防护前 | 防护后 | |||||||||
|---|---|---|---|---|---|---|---|---|---|---|
| PCCM | 心内科 | 急诊科 | 综合科 | 急诊科 | 骨科 | 放射 | 门诊 | 神经内科 | 检验科 | 手术室 |
| 10/2 | 2/2 | 1/- | 1/1 | 1/2 | 1/1 | 2/- | 1/- | 1/- | 1/- | 1/- |
注:PCCM(呼吸与危重症医学科)、心内科、综合科、神经内科、骨科均为病区,急诊科为门诊
30例患者中23例(76.67%)出现发热,首诊体温平均(37.4±1.8)℃,发热天数1~15 d,平均(6.6±3.8)d。发病初期21例(70%)表现为乏力或全身酸痛,16例(53.33%)患者出现头痛,9例(30%)出现恶心、呕吐或腹泻等消化道症状。25例(83.33%)以咳嗽主要表现,干咳为主,多在入院约1周左右出现,14例(46.67%)后期伴有呼吸困难。
(1)入院时血常规:白细胞(WBC)<4.0×109/L者8例(26.67%),(4~10)×109/L者22例(73.33%),无WBC>4.0×109/L的患者,病程中出现WBC>10.0×109/L的患者4例(13.33%);淋巴细胞数<1.0×109/L者12例(40%);(2)生化:肝功能异常(丙氨酸氨基转移酶>50 U/L,天冬氨酸氨基转移酶>40 U/L)者7例(23.33%);心功能受损:心肌酶学异常者5例(16.66%),主要表现为肌酸激酶、乳酸脱氢酶、α-羟丁酸脱氢酶水平的升高;D-二聚体>0.5 mg/L者5例(16.67%)。
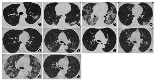
30例患者入院时均进行了胸部CT检查,所有患者发病初期均出现了肺部影像学改变,主要表现为多发小斑片影及间质改变,短期内病灶迅速增多,进展为双肺多发磨玻璃影及浸润影,恢复期部分患者可出现实变及纤维条索影。肺炎累及单侧者11例(36.67%),累及双肺者19例(63.33%),其中4例(13.33%)表现为典型的双肺弥漫性磨玻璃样改变,具体见图1,图2,图3。肺部病灶完全或基本吸收者19例(63.33%),部分吸收者9例(30%),无吸收甚至肺部阴影增多者2例(6.67%)。具体见图4,图5,图6,图7,图8,图9,图10。CT影像学随着疾病的进展呈现出发病期、进展期及恢复期的动态演变过程,发病至进展期平均(7.62±2.28)d,进展期至恢复期平均(16±7)d。


30例患者均予以咽拭子采集呼吸道标本,所有患者均进行了至少2次(采样时间至少间隔1 d)的病原核酸检测,结果显示阳性者7例(23.33%),其中2例为第2次检测结果提示阳性。
30例患者均予以抗病毒治疗,主要包括静脉滴注利巴韦林注射液(0.5 g,1次/d,5~7 d)或帕拉米韦注射液(0.3 g,1次/d,5 d),口服奥司他韦胶囊(75 mg,2次/d,5 d)或阿比多尔片(0.2 g,3次/d,5~14 d);所有患者均接受抗菌药物治疗,主要包括氟喹诺酬类、β内酰胺类等;10例(33.33%)患者予以5%人免疫球蛋白注射液100 ml静脉滴注,疗程5~7 d;5例(16.67%)患者予以5%人血白蛋白注射液50 ml静脉滴注,疗程3~7 d;11例(36.67%)患者使用了α-干扰素雾化吸入;4例(13.33%)患者双肺广泛磨玻璃样改变伴发热患者接受了甲泼尼龙治疗(20或40 mg静脉滴注,2次/d,疗程3~10 d);4例(13.33%)患者因气促加重,血氧饱和度降低行无创通气或经鼻高流量湿化治疗,7例(23.33%)患者出现肝功能受损,予以护肝治疗,主要包括葡醛内酯片、还原型谷胱甘肽注射液、多烯磷脂酰胆碱胶囊。病情好转者27例(90%),稳定者3例(10%),24例(80%)已出院,6例(20%)仍在治疗中,无1例死亡。
未防护期感染者19例,防护期感染者11例。与防护期感染者相比,未防护期感染者重症比例增加,病灶累及双肺者增多(表2)。

不同阶段医务人员感染临床特征的比较[例(%)]
不同阶段医务人员感染临床特征的比较[例(%)]
| 组别 | 例数 | 临床分型 | 胸部影像学 | ||
|---|---|---|---|---|---|
| 普通型 | 重型 | 单肺病变 | 双肺病变 | ||
| 防护前 | 19 | 15(78.95) | 4(21.05) | 5(26.32) | 14(73.68) |
| 防护后 | 11 | 11(100) | 0(0) | 5(45.45) | 6(54.55) |
| 合计 | 30 | 26(86.67) | 4(13.33) | 10(33.33) | 20(66.67) |
30例患者中26例为普通型肺炎,4例为重症,与普通型患者相比,重症患者的平均接触次数及累计接触时间增多;BMI显著升高,平均热程和住院时间延长,白细胞计数、D-二聚体、肝酶、LDH和肌酶增高,外周血淋巴细胞计数和白蛋白水平显著降低(表3)。

普通型与重症患者接触史及临床特征的比较(
±s)
普通型与重症患者接触史及临床特征的比较(
±s)
| 临床资料 | 普通型(26例) | 重型(4例) | t值 | P值 |
|---|---|---|---|---|
| 体重指数(kg/m2) | 22.0±1.3 | 27.0±2.5 | -8.382 | <0.001 |
| 接触次数(次) | 7.9±2.6 | 24.1±.6.8 | -6.207 | <0.001 |
| 累计接触时间(h) | 1.9±1.0 | 3.0±0.7 | -7.162 | <0.001 |
| 平均热程(d) | 3.4±2.4 | 8.6±5.8 | -3.373 | <0.001 |
| 白细胞计数(×109/L) | 4.0±1.5 | 11.3±4.9 | 6.291 | <0.001 |
| 淋巴细胞计数(×109/L) | 1.13±0.43 | 0.60±0.17 | 2.702 | 0.012 |
| 白蛋白(g/l) | 42.0±3.4 | 35.0±1.1 | 4.573 | <0.001 |
| 丙氨酸氨基转移酶(U/L) | 18±8 | 74±33 | -7.683 | <0.001 |
| 天冬氨酸氨基转移酶(U/L) | 20±6 | 64±20 | -9.415 | <0.001 |
| α-羟丁酸脱氢酶(U/L) | 124±25 | 396±124 | -10.514 | 0.008 |
| 乳酸脱氢酶(U/L) | 160±30 | 528±261 | -7.177 | <0.001 |
| D-二聚体(mg/l) | 0.26±0.08 | 1.54±1.22 | -5.463 | <0.001 |
2019新型冠状病毒即"2019-nCoV" ,因2019年武汉病毒性肺炎病例而被发现,2020年1月12日被世界卫生组织命名。2019-nCoV与SARS-CoV、MERS-CoV为同一种属,其传染力极强,所有人群都易感,呈家庭聚集性及医院内爆发流行,严重者可导致急性呼吸窘迫综合征(ARDS)及多器官功能衰竭(MODS)甚至死亡[2,3]。
医院感染是病毒传播的重要途径之一,医务人员作为特殊人群在发病时间较社会人群呈前移状态,是暴发流行期间重要的传播链。我院医务人员在新冠肺炎的救护过程中先后有30例患者感染,本组资料显示,所有患者均有与患者密切、近距离接触史,重症患者的平均接触次数及累计接触时间较普通型患者显著增加。医务人员感染中医生高于护士,其原因可能为:(1)护士护理的患者相对不固定,在疫情初期散在发病阶段接触患者的时间较管床医生更少;(2)在日常护理中,护士均规范穿工作服、戴口罩、护士帽,吸痰时戴一次性手套;(3)防护前部分医生在坐诊和查房时未戴口罩等。防护前感染者主要以呼吸与危重症医学科为主,部分患者由于合并心血管疾病或出现难以鉴别的呼吸困难收住心内科和综合科而累及相关科室。造成防护前医护人员院内感染的主要原因有:(1)收治新冠肺炎患者早,对该病的传染性了解不足,医院尤其是收治科室医务人员均处于不设防的状态,未能及时采取有效的消毒、隔离、防护等措施。(2)收治患者中重症患者较多,医务人员抢救时必须近距离接触患者致感染机会增加。(3)综合医院一般病区布局、设施及防护系统不具备传染病诊治条件,早期消毒措施落实不彻底,未对患者的分泌物、排泄物进行规范消毒处理,室内空气中病毒浓度高等。(4)疫情初期,患者因不同症状可能就诊于不同科室,易造成误诊、漏诊,这也是感染前期多个科室病区医务人员同时感染的原因。(5)医务人员工作强度高、压力大,易过度疲劳,产生紧张、焦虑,导致抵抗力下降。本研究中3例患者连续3 d工作超过14 h,2例存在失眠。与防护前相比,采取防护措施后,相同时间内感染例数、重症例数及肺部病变累及范围均降低。防护后内科医务人员感染者明显减少,主要表现为多科室的散在感染,尤以人流量较大的急诊科、放射科、门诊、检验科为分布特点。防护后仍有医务人员感染的原因主要考虑以下因素:(1)可能存在部分患者防护前感染了尚处于潜伏期,于防护后发病的情况。(2)新冠肺炎患者在门诊就诊及住院期间未采取有效的防护措施,未自觉戴口罩。(3)隔离病房的分区设置和消毒隔离尚不规范。(4)防护过程中可能存在脱防护服动作不规范造成二次污染。(5)部分科室医务人员仍未提高警惕,个人防护措施落实欠佳。骨科防护后出现的2例感染患者主要由于收住的患者呼吸道症状不明显,未及时予以诊断及防护隔离所致。(6)由于感染人数的增加,造成专科门诊、急诊就诊及留观人数骤增,医护工作量增大,接触时间及接触频率均显著增加,以致防护期以急诊科医护人员呈感染高发状态。
从我院医务人员新冠肺炎的临床资料分析,与普通人群新冠肺炎患者类似,发病初期以发热,乏力、全身酸痛、头痛等全身表现为主,少数患者可出现腹泻等消化道症状,咳嗽、呼吸困难等呼吸道症状多在住院1周或疾病中后期出现。实验室检查提示随着病情的进展部分重症患者出现白细胞计数升高,一方面可能与激素的使用有关,另一方面需警惕院内继发感染的可能性。血生化检查结果提示部分患者出现肝功能异常及心功能受损,重症患者酶学升高更为显著,可能由于:(1)病毒感染直接引起心肌细胞和肝细胞损伤。(2)病毒诱导的全身炎症反应与免疫系统的紊乱[6]。(3)药物相关性心肌和肝功能损害。重症患者BMI高,可能与肥胖患者由于胸腹部大量脂肪组织的堆积和异常分布,出现咽腔狭窄、上呼吸道塌陷,肺底小气道闭合、远端肺组织陷闭以及胸壁顺应性和肺顺应性的降低,使气道阻力增加,呼吸肌做功和耗氧量增加,肌力和耐受力降低,通气/血流比值(V/Q)失调,进一步导致肺功能包括肺活量(VC)和FEV1尤其是补呼气(ERV)和功能残气量(FRC)的降低有关[4]。30例患者中仅6例患者病原核酸检测阳性,可能与咽拭子检测采集的标本均为上呼吸道标本,并未进一步行下呼吸道标本及血液标本的联合送检相关。在治疗上双肺弥漫性磨玻璃影及持续高热的患者加用了小剂量激素治疗并使部分患者获益,目前研究证据表明,糖皮质激素并尚不能降低患者的死亡率,且会延迟机体对病毒的清除[7,8,9],因此,对于激素使用的时机、剂量及利弊仍需更多的临床实践进一步证实。
综上所述,新冠肺炎传染性强、医务人员感染风险更大,应严格按照甲类传染病管理。医务人员在不可避免的需要接触新冠肺炎患者的情况下,应严格按照医务人员暴露的程度和方式, 采用分级防护措施。穿隔离衣、鞋套,戴工作帽、医用防护口罩和手套,严格执行手卫生等基本的防护措施可预防和降低感染风险。医院应加强院内感染的控制和管理工作、开设符合标准的隔离病房,加强对医务人员防护知识的培训,严格执行消毒隔离措施。在就诊和住院时,患者和家属应佩戴口罩。总之,做好防护是预防医务人员感染的重要的措施。
所有作者均声明不存在利益冲突





















