
总结分析2019新型冠状病毒肺炎(NCP)患者早期的临床和影像学特征。
回顾性分析2020年1月18日至2020年2月3日北京清华长庚医院发热门诊确诊的9例新型冠状病毒感染患者的临床和影像学资料。
9例患者中男5例,女4例,年龄15~48岁,中位年龄为36岁。其中8例患者无基础疾病,1例有糖尿病。7例患者均有武汉或湖北旅行史,1例患者为医务人员,出现两起家庭聚集性发病。潜伏期1~6 d,临床表现为发热8例,干咳5例,咽痛4例,乏力4例,全身酸痛4例,鼻塞流涕1例。6例患者外周血常规异常,其中3例单核细胞计数升高,2例淋巴细胞计数降低,1例白细胞计数升高,3例血常规完全正常。5例患者外周血C反应蛋白(CRP)轻度升高,4例患者CRP正常,中位数为16.3 mg/L。5例患者行降钙素原检查均为阴性。3例患者行X线胸片检查,1例无异常,1例表现为右上肺渗出影,1例表现为右下肺渗出影。9例患者均行胸部高分辨率CT(HRCT)检查:其中7例表现为肺部多发的磨玻璃样渗出影,累及双肺5例,累及单侧肺2例,3例伴有斑片状实变影,2例无异常。
在北京发热门诊就诊的2019新型冠状病毒感染患者一般具有明确的流行病学史,临床主要表现为发热和咳嗽,外周血白细胞计数正常,降钙素原阴性,胸部HRCT表现为多发的磨玻璃影、部分病灶伴有实变,部分患者X线胸片正常而胸部HRCT显示为肺炎,部分患者无肺炎表现。
版权归中华医学会所有。
未经授权,不得转载、摘编本刊文章,不得使用本刊的版式设计。
除非特别声明,本刊刊出的所有文章不代表中华医学会和本刊编委会的观点。
2019年12月以来,湖北省武汉市发现多起病毒性肺炎病例,2020年1月7日经相关病毒分型检测,实验室检出一种新型冠状病毒,2020年1月10日,武汉发现的新型冠状病毒的基因组被破译,2020年2月11日,世界卫生组织(WHO)将其命名为2019冠状病毒病(corona virus disease 2019,COVID-19)[1]。由此导致的新型冠状病毒肺炎(novel coronavirus pneumonia,NCP)迅速累及到全国,引发了全球广泛关注。NCP具有传播速度快、临床症状不典型,易漏诊误诊[2]。为了更好的遏制疫情的蔓延,早期识别NCP极为重要,对于湖北武汉以外的地区更是如此。因此本文主要通过回顾性分析在北京清华长庚医院发热门诊经过咽拭子实时荧光逆转录聚合酶链式反应技术(reverse transcription-polymerase Chain reaction,RT-PCR)确诊的9例NCP的临床和影像学资料,从而总结NCP患者早期的临床和影像学特点。
选择2020年1月18至2020年2月3日就诊于北京清华长庚医院发热门诊经过咽拭子实时荧光RT-PCR技术确诊为NCP的患者。
采用回顾性研究方法,收集在北京清华长庚医院发热门诊确诊的2019新型冠状病毒感染患者的人口学资料、流行病学史、临床表现、实验室检查结果和影像学表现等指标进行分析。
根据国家卫健委新型冠状病毒感染的肺炎诊疗方案(试行第五版),包括流行病学史;临床表现为发热和或呼吸道症状;胸部影像学表现为肺炎。疑似患者咽拭子标本实时荧光RT-PCR检测COVID-19核酸检测阳性。
采用SPSS 20.0软件,正态分布计量资料用Mean±SD表示,非正态计量资料用中位数和四分位间距表示,计数资料用频数(百分比)表示。
共纳入9例患者,其中男5例,女4例,年龄15~49岁,中位年龄为36岁。其中8例患者无基础疾病,1例有糖尿病。其余既往体健(表1)。

9例NCP患者基本信息及临床表现
9例NCP患者基本信息及临床表现
| 序号 | 性别 | 年龄 | 基础疾病 | 流行病学史 | 潜伏期 | 就诊时病程 | CRP(mg/L) | 临床表现 |
|---|---|---|---|---|---|---|---|---|
| 1 | 男 | 34 | 无 | 6 d前从武汉返京 | 3d | 3d | 38.37 | 发热,37.8℃、咳嗽、咳痰 |
| 2 | 男 | 34 | 糖尿病 | 7 d前从武汉返京 | 6d | 1d | 2.04 | 发热,38.8℃、全身酸痛、乏力 |
| 3 | 男 | 43 | 无 | 2 d前从武汉返京 | 1d | 1d | 38.37 | 发热,39.1℃、全身酸痛、腹泻 |
| 4 | 女 | 36 | 无 | 7 d前从孝感回京 | 3d | 4d | 2.20 | 发热,37.3℃,流涕鼻塞,干咳 |
| 5 | 女 | 49 | 无 | 北京某三甲医院医生a | 不确定 | 7d | 16.58 | 发热,39℃、乏力、全身酸痛 |
| 6 | 女 | 20 | 无 | 4 d前母亲确诊 | 4d | 4d | 0.85 | 发热,38.4℃、乏力、咳嗽、咽痛 |
| 7 | 男 | 45 | 无 | 7 d前从武汉返京 | 1d | 7d | 12.7 | 发热,37.7℃、咳嗽 |
| 8 | 女 | 41 | 无 | 7 d前从武汉返京 | 1d | 7d | 0.80 | 无发热,干咳、乏力 |
| 9 | 男 | 15 | 无 | 7 d前从武汉返京 | 1d | 7d | 34.64 | 发热,Tmax 37.9℃、全身酸痛 |
注:CRP:C反应蛋白;a此患者无确诊新冠肺炎患者接触史,也无不明原因发热患者接触史
9例患者潜伏期在1~6 d内,其中6例发病前有湖北武汉旅行时,1例有湖北孝感旅行史,1例为北京某三甲医院临床医生(表1)。2020年1月25日前均为输入性病例,其后出现两起家庭聚集发病:一起为医务人员及其女儿先后发病并被确诊;另一起为湖北孝感旅行史者家庭4名成员分别出现发热、咳嗽、腹泻等症状,仅1例患者被确诊。所有的患者均在就诊的同时进行隔离治疗;疑似或确诊后均及时转北京室定点医院继续诊治。
确诊的9例患者初次发热门诊就诊时病程为1~7 d,中位病程为4 d。发热8例,体温范围在37.3~39.1 ℃,咳嗽5例,咳痰均不明显,咽痛4例,乏力4例、全身酸痛4例,鼻塞流涕1例,腹泻1例(表1)。体检中9例患者均有咽部充血,1例患者扁桃体肿大。胸部体检均未闻及干湿性啰音。
确诊的9例患者均行外周血血常规检查,6例患者外周血常规异常,其中3例单核细胞计数升高,2例淋巴细胞计数降低,1例白细胞计数升高;5例患者外周血CRP轻度升高,4例患者CRP正常,中位数为16.3 mg/L。5例患者行PCT检查均为阴性。9例患者送检北京市疾病和预防控制中心(CDC)咽拭子实时荧光RT-PCR检测COVID-19核酸检测均为阳性。其中1例患者1家4人均发病,仅1人检测核酸阳性(全部进行了隔离诊治)。所有患者甲型和乙型流感病毒抗原检测均为阴性。
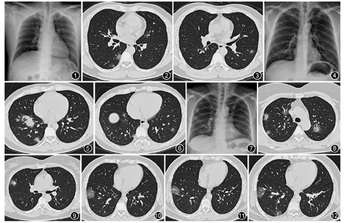
9例患者中3例患者行X线胸片检查,1例无异常,胸部高分辨率CT(HRCT)表现为双下肺多发磨玻璃样渗出影(例1,图1,图2,图3);1例X线胸片表现为右下肺少许渗出影,胸部HRCT表现为双下肺多发磨玻璃样渗出影(例2,图4,图5,图6);1例X线胸片表现为右上肺渗出影,胸部HRCT表现为双上肺多发磨玻璃样渗出影(例3,图7,图8,图9)。所有患者均早期行胸部HRCT检查:其中7例表现为肺部多发磨玻璃影(累及双肺5例,累及单肺2例),累及单肺者在单侧肺内形成多发磨玻璃影(例4,图10,图11,图12),3例在磨玻璃影的基础上伴有状实变(图5,图9);2例胸部HRCT无异常。所有患者均无胸腔积液。


2019年12月以来在湖北省武汉市暴发的肺炎是由COVID-19引起的一种新型冠状病毒肺炎(NCP),人群对COVID-19缺乏免疫力,普遍易感。NCP迅速累及到全国,已经超过了2003年严重急性呼吸综合征(severe acute respiratory syndrome syndrome,SARS)的总患者数,而且确诊和疑似的病例还在不断增加中。早期诊断、早期隔离、早期治疗NCP患者尤其重要[2]。
本组患者均具有明显的流行病学特征,9例患者中有7例有湖北旅行史。在2020年1月25日前均为输入性病例,其后出现家庭聚集性病例,说明北京市目前正处于输入期向扩散期输入的阶段,主要以输入性和家庭聚集性病例为主的阶段,防控工作进入到关键阶段,要坚决阻断社区传播链。同时,医务人员感染病例的出现,说明医院内发生聚集性风险也在增加,一定要做好医院的院感防控工作。
本组患者中男性与女性比例为5∶4,男性患者相对偏多,与文献报道一致[3]。在所有患者中,大部分为中青年,仅1例为青少年;所有患者中仅1例有基础疾病为糖尿病。本组9例患者从接触高危因素到出现症状的平均时间为2.1 d,因此提示该病潜伏期相对偏短,致病力强,发病迅速。而从出现症状到就诊平均时间为4.6 d,说明本组患者能够及时就医,对疫情的控制极为有利。因此本组患者都处在疾病的早期阶段,病情相对较轻。
本组患者早期临床表现主要为发热,常伴有咳嗽等呼吸道症状,大数患者多为干咳,一半左右的患者存在肌痛、乏力等全身症状。由于本组患者处在疾病的早期阶段未发现明显的呼吸困难等表现。文献报道大部分患者在疾病进展期会出现呼吸困难,而少部分患者有咯血、腹泻等表现[3,4]。
本组NCP患者实验室检查,大多数外周血白细胞计数正常,部分患者单核细胞计数升高,部分患者淋巴细胞计数降低。CRP正常或轻度升高,PCT均为阴性,和其他文献报道一致[5]。因此需要注意初期患者的炎症反应相对较轻,血常规正常不能除外该病。
NCP患者早期最重要的影像学特征是胸部HRCT显示为多发的斑片状的磨玻璃影,部分伴有实变。病变常累及双肺,或者累及一侧肺的多个部位。病变常常位于双下肺,也可在双上肺,病变常常位于胸膜下,和中东呼吸综合征(MERS)极为相似,提示COVID-19容易诱发机化性肺炎的可能,为部分患者的治疗提供了一定的理论依据[6]。NCP需要和其他呼吸道病毒引起的肺炎相鉴别。值得注意的是NCP的X线胸片早期可以表现为正常或轻度异常,而胸部HRCT已经有明显的肺炎改变,是"胸片阴性的肺炎"之一[7]。因此应首选胸部HRCT而不是X线胸片作为本病的早期筛查手段。部分患者早期仅表现为发热或呼吸道症状而没有肺炎的影像学表现,尤其注意不要漏诊。
综上所述,NCP在早期流行阶段患者具有明显的流行病学接触史,应注意防范家庭聚集性病例的发生及医务人员的感染,要坚决阻断社区传播链。NCP早期临床主要表现为发热和咳嗽等呼吸道症状,部分患者伴有肌肉酸痛和乏力等全身症状。NCP患者早期血常规及CRP可以正常或轻度升高而PCT阴性,胸部HRCT表现为多发的斑片状的磨玻璃影,具有一定的特征性[8]。早期识别NCP患者具有重要意义,在现阶段对于具有上述表现的患者应该尽早隔离诊治,同时加大全社会的防疫力度,以避免疫情进一步的蔓延和播散。
所有作者均声明不存在利益冲突





















