
对多次咽拭子病毒核酸检测阴性的2例新型冠状病毒肺炎疑似患者,用3%的高渗盐水进行压力雾化诱导排痰获取呼吸道深部痰液,检测痰液中新型冠状病毒核酸。结果显示,使用3%的高渗盐水雾化诱导排痰并对痰液中新型冠状病毒进行核酸检测可明显提高检测的阳性率,可提高疑似患者的确诊率,缩短确诊时间。
版权归中华医学会所有。
未经授权,不得转载、摘编本刊文章,不得使用本刊的版式设计。
除非特别声明,本刊刊出的所有文章不代表中华医学会和本刊编委会的观点。
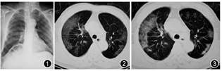
例1 男,68岁,湖北省秭归县人。因"发热、流涕、眩晕不适3 d",发病后自测体温最高达38.2 ℃,曾于2020年1月26日在天水市第四人民医院发热门诊就诊,于1月29日收住定点救治单位天水市第二人民医院感染科。患者于1月3日从湖北宜昌回到天水市,期间无明显不适。曾与2020年1月20日由武汉返回天水市的亲属有密切接触史,该亲属后被确诊为新型冠状病毒肺炎。入院查体:体温37.3 ℃。咽部红肿,双肺呼吸音粗。2020年1月29日血常规示白细胞计数为5.09×109/L,淋巴细胞计数为0.81×109/L。2020年2月5日血常规示白细胞计数为4.91×109/L,淋巴细胞计数为0.64×109/L,C反应蛋白为41.2 mg/L,降钙素原为0.37 μg/L。动脉血气分析(未吸氧)PaO2为63 mmHg(1 mmHg=0.133 kPa),PaCO2为36 mmHg,氧合指数为300 mmHg。2020年2月7日血常规示白细胞计数为8.1×109/L,淋巴细胞计数为1.07×109/L。动脉血气分析(未吸氧)示PaO2为58 mmHg,PaCO2为38 mmHg,氧合指数为276 mmHg。发病早期X线胸片提示双肺纹理增粗(图1),随病程进展胸部CT呈现典型的病毒性肺炎征象(图2,图3)。


先后4次咽拭子核酸检测均为阴性,给予高渗盐雾化诱导排痰后痰标本送新型冠状病毒核酸检测阳性,氧合指数为276 mmHg,确诊为新型冠状病毒肺炎重型。
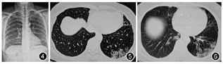
例2 女,55岁,甘肃省天水市麦积区人。因"咽痛2 d",于2020年1月31在天水市第二人民医院发热门诊就诊并收入院。患者在1月20日与武汉回天水市的亲戚一起吃饭,该亲属于2020年1月28日出现高热,明确诊断为新型冠状病毒肺炎。入院前2 d无明显诱因出现咽痛,无发热、咳嗽、咳痰、腹泻。入院查体:咽红,双侧扁桃体无红肿。双肺呼吸音粗。2020年1月31日血常规示白细胞计数为3.43×109/L,淋巴细胞计数为1.11×109/L。2020年2月5日血常规示白细胞计数2.81×109/L,淋巴细胞计数0.65×109/L。动脉血气分析(未吸氧)PaO2为80 mmHg,PaCO2为32 mmHg,氧合指数为381 mmHg。2020年2月7日血常规示白细胞计数为3.19×109/L,淋巴细胞计数为0.88×109/L,C反应蛋白为15.3 mg/L,ESR为26 mm/1 h。发病早期X线胸片提示有感染征象(图4),复查胸部CT符合病毒性肺炎的影像学表现(图5,图6)。


先后5次咽拭子病毒核酸检测均为阴性,给予高渗盐雾化诱导排痰后痰标本送新冠病毒核酸检测阳性,确诊为新型冠状病毒肺炎普通型。
雾化吸入诱导排痰方法:(1)操作者做好三级防护,雾化前嘱患者用清水连续漱口3次,并向患者做好解释说明,尽可能取得患者的配合;(2)采用3%的氯化钠溶液15~20 ml进行雾化吸入诱导排痰,雾化方法最好采用压力雾化,因为压力雾化诱导排痰效果较氧气雾化和超声雾化效果要好[1],如条件所限也可采用氧气雾化,但尽可能使吸入氧流量在8 L/min以上;(3)雾化结束后协助患者拍背,嘱其深咳排痰,痰液置入无菌集痰瓶中送检;(4)诱导排痰效果评价:排出痰量<2 ml为失败,>3.5 ml为成功[2];(5)操作完成后立即对病房进行紫外线照射空气消毒35 min,并协助患者做好皮肤遮盖保护,退出隔离病房,按照规范的流程更换防护装备;35 min后由隔离病房的工作人员在三级防护下对病房物品用1 000 mg/L的含氯消毒剂进行擦拭消毒,尽可能消除气溶胶污染。
在当前全国抗击新型冠状病毒肺炎的形势下,对于非湖北地区的医生来说,面对的确诊病例少,重症病例更少,如何对新型冠状病毒肺炎患者进行早期筛查,其意义大于考虑如何治疗。目前天水地区有确诊病例12例,包括本文中的2例。
为什么多次咽拭子病毒核酸检测阴性?原因不清楚,因本文2例采集标本的工作人员均经过了严格的操作培训,而且随着前2次回报的阴性结果,在随后的标本采集中对标本的采集格外重视,咽拭子标本是合格的。
咽拭子新型冠状病毒核酸检测的阳性率目前尚不清楚。甲型流行性感冒的咽拭子病毒核酸检测的研究结果显示,鼻咽拭子甲流病毒核酸检测的阳性率大于口咽拭子,而口咽拭子的阳性率为81.7%,即口咽拭子接近20%为假阴性[3]。对于新型冠状病毒口咽和鼻咽拭子检测的阳性率还有耐于进一步研究。尽管咽拭子的采集部位有鼻咽和口咽,但目前我市的新型冠状病毒肺炎疑似患者均采集口咽拭子标本,未采集鼻咽拭子标本的主要原因是从鼻咽采集标本患者的耐受性差,且容易造成气溶胶的污染,不利于操作者及周边人员的防护。
根据"新型冠状病毒感染的肺炎诊疗方案(试行第五版)"中的确诊病例标准,病毒核酸或基因测序结果阴性病例不能确诊,不能确诊就不能将患者转移到集中救治单位,只能在定点医院进行救治,但天水地区现有的定点医院甲类传染病救治过程中的隔离防护硬件离标准要求还有差距。本研究选择3%的氯化钠溶液对高度疑似而多次咽拭子核酸检测阴性的患者进行雾化诱导排痰送检,明显提高了检出的阳性率。
体外研究发现3%的氯化钠溶液雾化诱导排痰的机制可能为高渗盐水增加了气道表面液体的厚度,减轻黏膜下水肿,改善黏液性状,促进纤毛摆动[4]。在体内,高渗盐水能够改变气道腔内局部的渗透压,在气管、支气管内形成高渗环境,使黏膜下的水分向管腔内流动,可快速湿化及稀释气管、支气管腔内的痰液及炎性分泌物,并使其易于排出,增加气道内黏液的清除能力[5,6]。
诱导痰标本相较于咽拭子标本阳性率高的原因目前无直接的循证医学证据,廖华等[7]发现,鼻病毒在下气道的载量高于上气道慢阻肺患者鼻部及下气道的鼻病毒检出率诱导痰标本比鼻拭子更适合鼻病毒检测。鼻病毒和新型冠状病毒同属于呼吸道感染病毒,随着病程的进展新型冠状病毒肺炎患者呼吸道新型冠状病毒的载量可能高于上呼吸道。研究发现,咽拭子采集简便、安全,在急性呼吸道感染病原学检测方面有较高的优势和难以取代的地位,但对下呼吸道和肺泡的病原体敏感性较差;痰标本可比较客观、全面地反映呼吸道感染性疾病的病原体,但对急性呼吸道感染早期病原学诊断的敏感性较差[8,9,10,11]。所以我们认为,早期新型冠状病毒肺炎患者尤其是无症状患者咽拭子检出率高,但随着病程的进展,深部痰的检出阳性率将明显增加。
本研究结果显示,对临床高度疑似新型冠状病毒肺炎患者,在早期采集咽拭子病毒核酸检测的同时,尽早利用3%的氯化钠溶液雾化诱导排痰进行病毒核酸检测可明显提高阳性率,缩短确诊时间,减少高度疑似患者在非传染病专科医院滞留的时间,从而减少传染病扩散的机会。
所有作者均声明不存在利益冲突





















