
2019年12月以来我国陆续出现新型冠状病毒(2019-nCoV)感染引起的以肺部病变为主的新型冠状病毒肺炎(简称新冠肺炎),主要临床表现为发热、干咳、气促、外周血白细胞不高或降低以及胸部CT改变等,严重者出现多脏器功能衰竭。随着对本病的认识不断加深,近期内已连续6次修订诊疗方案。新冠肺炎患者通常在发病前14天内有武汉或其他新冠肺炎传播地区的旅行史或居住史,或曾接触过来自疫区的发热或有呼吸道症状的患者,或为集聚发病。但随着疫情逐渐得到控制,临床以呼吸道症状前来就诊的患者的流行病学史已越来越模糊,各级综合医院陆续面对新冠肺炎诊断和鉴别诊断的挑战。现将新冠肺炎患者的临床表现及肺部影像学特征,与北京协和医院历年收治影像学表现为弥漫性肺病的其他肺部感染及非感染性疾病进行比较,尝试找出其相似及不同之处,为新冠肺炎鉴别提供线索,保证精准诊疗。
版权归中华医学会所有。
未经授权,不得转载、摘编本刊文章,不得使用本刊的版式设计。
除非特别声明,本刊刊出的所有文章不代表中华医学会和本刊编委会的观点。
2019年12月以来我国陆续出现新型冠状病毒(2019-nCoV)感染引起的以肺部病变为主的新型冠状病毒肺炎(简称新冠肺炎,COVID-19)。主要表现为发热、干咳、气促、外周血白细胞不高或降低及胸部CT改变等,严重者出现多脏器功能衰竭[1,2,3,4,5]。国家卫生健康委员会在短期内连续6次修订诊疗方案,说明对本病的认识不断加深。新冠肺炎患者通常在发病前14天内有武汉或其他新冠肺炎传播地区的旅行史或居住史;或曾接触过来自疫区的发热或有呼吸道症状的患者;或集聚发病。但疫情逐渐缓解后流行病学史变得越来越模糊,随着复工复学带来的出行人口增加,各级医院陆续接诊存在异地旅行史的患者,新冠肺炎诊断和鉴别诊断面临挑战。本文整理了新冠肺炎患者临床表现及肺部影像学特征,将新冠肺炎与北京协和医院历年收治影像学表现为弥漫性肺病的其他肺部感染及非感染性疾病进行比较,尝试找出其相似及不同之处,为新冠肺炎鉴别提供线索,保证精准诊疗。
新冠肺炎主要表现为发热、干咳、气促、外周血白细胞不高或降低及胸部CT改变等,严重者出现多脏器功能衰竭。


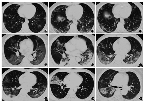
(1)病变性质:以磨玻璃影(GGO)最常见(图1A、图1B、图1D、图1F、图1G),其次为实变影(图1B、图1E、图1H、图1I),也可见结节影(图1A、图1H)、网格索条影(图1C、图1F、图1G)、铺路石征(图1F)、晕征、反晕征(图1I)及马赛克灌注。(2)病变数量:少数轻症患者为单发病灶,多数为双肺多发病灶或者双肺弥漫病变。(3)病变分布:不按叶段分布,沿支气管血管束分布(图1A、图1D)或者沿胸膜下分布(图1B、图1G)。(4)时相特征:病变性质随时间而改变。早期可以为多发片状GGO或者结节(图1A、图1D),病程进展后,GGO病变范围扩大伴有实变影(图1E),可出现索条影和网格影。病程后期可能表现为索条影、胸膜下线(图1C)。部分危重症患者则表现为双肺弥漫实变影和磨玻璃影,即"白肺"。
影像学表现为肺间质改变的肺部感染包括病毒、细菌、支原体、衣原体和真菌等。对于免疫功能正常的患者,流感病毒、腺病毒、支原体和衣原体是社区获得性肺炎常见的病原体。免疫功能受损者则需要重点关注巨细胞病毒(CMV)肺炎、耶氏肺孢子菌肺炎(PJP)、及曲霉引起的肺部真菌感染[9]。
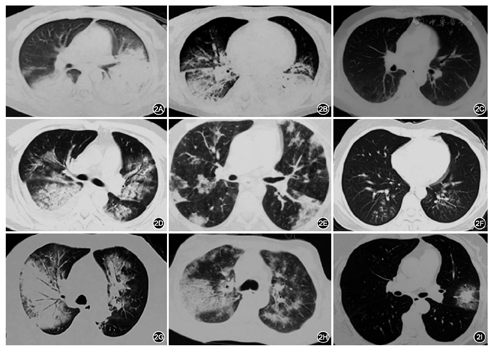
(1)免疫功能正常者病毒性肺炎:流感病毒感染可以群聚发病,表现为发热、干咳、肌痛和头痛,多数局限于上呼吸道感染。少数患者如儿童、老人、孕妇及有心肺等基础疾病的患者可出现病毒性肺炎。胸部影像学可见网状结节影,多发片状实变影,双下肺受累更多见(图2A、图2B)。H5N1高致病性禽流感肺炎,常迅速进展的大片实变。流感肺炎与新冠肺炎临床表现及影像学相似。呼吸道合胞病毒肺炎(RSV)儿童常见。RSV病毒肺炎常出现长程发热,影像学改变常见斑片影,沿支气管周围分布,可见肺不张和小叶实变,部分患者出现纵隔淋巴结肿大(图2C)。腺病毒感染多数表现为上呼吸道症状,有肺基础病患者(如慢性阻塞性肺疾病)可出现腺病毒肺炎。胸部影像学表现为弥漫的GGO或实变(图2D)。与新冠肺炎鉴别:①新冠肺炎早期及轻症与常见病毒患者临床表现及影像学表现相似,仅靠临床表现难以鉴别。临床怀疑病毒性肺炎的患者,在常规病原学筛查同时也需要进行新冠病毒筛查。②对于肺部病变迅速进展,短期出现呼吸衰竭,同时累及心、肾者,需多次、多部位标本送新冠病毒核酸检测,也可送新冠病毒IgM检测。同时考虑到少数情况下新冠肺炎合并呼吸道其他病毒感染可能性,也建议进行常见呼吸道病毒筛查。(2)免疫功能异常者病毒性肺炎:CMV肺炎患者常有人类获得性免疫缺陷综合征(AIDS)史,器官移植史以及使用大剂量糖皮质激素和免疫抑制药物史,病史对诊断有提示。胸部CT表现为双侧弥漫分布的GGO、密度不高的结节影、实变和网格影,其病变的边界常常欠清。影像学难与新冠肺炎鉴别(图2E)。


人类单纯疱疹病毒(HSV)肺炎在免疫缺陷,特别是人类免疫缺陷病毒(HIV)感染者和新生儿患者中相对常见。该病毒可以导致气管支气管上皮弥漫的溃疡,导致坏死性支气管肺炎,在影像学上与新冠肺炎有一定区别,确诊需要通过病毒学检测。与新冠肺炎鉴别:(1)呼吸系统症状严重程度与重症新冠肺炎相似,但较少在短期内出现心肾受累。(2)以往的基础疾病和用药史对诊断有一定的提示意义;(3)影像学检查、血常规及ESR、C反应蛋白等对诊断帮助不大,确定诊断需病原筛查。
(1)支原体肺炎:常见于5~40岁人群,典型症状包括乏力、发热、寒战、头痛、咽痛和干咳等,类似病毒性肺炎。多数患者呈自限性,胸部CT可表现为局灶或弥漫分布的支气管周围增厚,可见GGO及小叶中心性小结节(树枝出芽征,图2F),广泛的间质改变不多见。(2)衣原体肺炎:临床表现多样,可以无症状,也可出现呼吸衰竭和多器官受累,胸部CT表现多样,可以出现局灶实变,也出现间质改变,支气管壁增厚常见。(3)军团菌肺炎:是导致重症社区获得性肺炎(CAP)的常见病原体之一。患者常有污浊冷凝水接触史,也可群体聚集性发病,典型症状包括高热、寒战、乏力,常合并全身表现,如低钠血症、肝功能异常和消化道症状,对诊断有一定提示。其影像特征不同于经典的大叶性肺炎,常表现为多叶段的实变周围可见磨玻璃样渗出(图2G)。外周血白细胞和中性粒细胞计数增高,军团菌尿抗原和血清抗体检测有助于鉴别。
与新冠肺炎鉴别:(1)部分患者与新冠肺炎在临床及影像学上均难以区分;(2)疫情期间,为明确诊断,加强防控,可筛查病原学进行诊断及鉴别诊断。
(1)PJP:常见免疫功能缺陷患者,表现为高热,呼吸困难。影像学表现为弥漫的肺门为中心的纤细网格和边界欠清的GGO(图2H),小叶间隔增厚,如果不治疗,会迅速进展为弥漫均质的实变影,PJP更多以肺门为中心,而新冠肺炎更多从外周起病。PJP可出现多发或单发囊性病变,目前看到的新冠肺炎没有发现这个特点。与新冠肺炎鉴别:(1)呼吸系统症状严重程度与重症新冠肺炎相似,但较少在短期内出现心肾受累;(2)以往的基础疾病和用药史对诊断有一定的提示意义;(3)影像学检查与新冠肺炎有一定差异,但血常规、ESR及C反应蛋白等对诊断帮助不大,除进行已知咽拭子病毒核酸检测,还需要积极进行其他病原学检测,包括痰及下呼吸道标本肺孢子菌检测。
曲霉肺炎:免疫功能受损患者的曲霉感染在病变早期可以出现数个磨玻璃密度的结节影,曲霉肺炎病灶中心高密度,外周GGO的晕征多见(图2I),而新冠肺炎更多表现为密度均匀的GGO。与新冠肺炎鉴别:(1)与轻症新冠肺炎在临床及影像学上有时难以区分,既往病史、G试验和GM试验检测,在一定程度上有助于鉴别。(2)疫情期间,为明确诊断,加强防控,可筛查病原学进行诊断及鉴别诊断。
在非疫区综合医院,胸部CT显示间质性肺炎时,还需与非感染性疾病进行鉴别。
特发性间质性肺炎包括特发性肺纤维化(IPF)、非特异性间质性肺炎(NSIP)、隐源性机化性肺炎(COP)、呼吸性细支气管炎伴间质性肺炎(RB-ILD)、脱屑性间质性肺炎(DIP)和急性间质性肺炎(AIP)[10]。其中,NSIP、COP和AIP和此次新冠肺炎影像特征多有相似之处,并可表现为急性过程(图3A,图3B,图3C,图3D,图3E,图3F)。(1)NSIP的常见影像表现为双肺弥漫的GGO、网格影,伴或不伴牵张性支气管扩张。病变沿支气管血管束分布或者胸膜下分布(图3A、图3B、图3C)。(2)机化性肺炎典型影像表现为沿支气管血管束或胸膜下分布的实变影,可伴有GGO(图3D、图3F)。(3)AIP容易快速进展为呼吸衰竭和急性呼吸窘迫综合征、其病理基础是弥漫性肺损伤(DAD)。影像表现为双肺弥漫的实变和磨玻璃影(图3E)。


NSIP、机化性肺炎或者AIP可以是特发性,也可以继发于结缔组织病(CTD)、过敏性肺炎或者药物性肺损伤[11,12,13]。CTD相关肺损伤从临床、影像、病理都可以与新冠肺炎有相似表现。比如皮肌炎相关间质性肺疾病(ILD),患者临床可表现为中低度发热、咳嗽、呼吸困难和乏力,实验室检查可以有CK、LDH增高,胸部CT可以表现为多种类型的间质性肺炎。
与新冠肺炎鉴别:(1)病程:新冠肺炎多数在起病1~2周出现呼吸困难,比多数的CTD-ILD要快。因此如果患者在2~4周后加重,新冠肺炎的概率比较低。(2)全身情况:皮疹、关节痛等肺外表现有助于诊断CTD-ILD。(3)影像学表现:新冠肺炎仍然是以GGO或实变为主要表现,网格、索条影相对较轻。如果以网格索条为主、而GGO或实变较少或者缺如,甚至出现蜂窝肺,则提示其他原因所致的间质性肺炎。(4)病原学检测:咽拭子核酸检测及外周血新冠病毒IgM抗体检测有助于诊断。自身抗体检测阳性有助于诊断CTD-ILD。
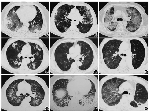
药物性肺间质疾病占ILD病因的2.5%~3%[13,14],免疫检查点抑制剂相关肺损伤发生率达5%~10%[15],靶向治疗相关肺损伤发生率在0.6%~3%[16,17]。尽管药物相关肺损伤属于罕见原因,但其影像学缺乏特异性(图4),随着疫情逐渐消退,肿瘤患者井喷式涌向医院,须与新冠肺炎相鉴别。


免疫检查点抑制剂引起肺损伤表现多样,中位发生时间在开始用药后2~3个月,但具体发生的时间范围可从用药后即刻至停药后。病程可为急性、亚急性,或隐匿起病。多数患者出现咳嗽、呼吸困难,1/3患者可合并发热,血象可正常或升高,血液中淋巴细胞计数可正常或降低,伴随炎性指标如C反应蛋白、ESR、IL-6等升高,临床表现与新冠肺炎难以鉴别。胸部影像学表现也缺乏特异性,可出现COP样,HP样、单纯的GGO、局部实变、网格状病变、小叶间隔增厚、牵张性支气管扩张等多种改变,少数快速进展的患者也可表现为ARDS样改变[18,19,20]。
与新冠肺炎鉴别:(1)用药史:免疫检查点抑制剂肺炎有明确的用药史,详细的病史采集是鉴别诊断的关键。(2)病程:病情快速进展,高热,全身其他脏器受累,特别是心肾同时受累更倾向新冠肺炎,免疫检查点抑制剂心肾受累发病率不到1%,与肺炎同时发生更为罕见。(3)病原学检测:咽拭子核酸检测及外周血新冠病毒IgM抗体检测有助于诊断。(4)治疗:CIP对于激素治疗敏感。而新冠肺炎的激素治疗仅用于重症患者,对激素的反应也差异较大。
肿瘤靶向药物有潜在的引起肺间质疾病的风险,表皮生长因子受体酪氨酸激酶抑制剂(EGFR-TKI)、间变淋巴瘤激酶(ALK)抑制剂,以及抗血管靶向药物索拉非尼、伊马替尼,抗CD-20单抗利妥昔单抗等均可引起肺损伤。靶向药物相关肺损伤多发生在用药后1个月内,为急性起病,临床上表现为咳嗽、呼吸困难,偶可合并发热、皮疹等全身症状,影像学可表现为双肺GGO、间质索条网格影、实变影或小叶间隔增厚等。在临床上经常需要与PJP、病毒性肺炎等感染性疾病相鉴别[21,22]。
与新冠肺炎鉴别:(1)用药史:有明确的靶向药物用药史;(2)病程:急性起病,临床上表现为咳嗽、呼吸困难,偶可合并发热、皮疹等全身症状。多发生在用药后1个月内;(3)病原学检测:咽拭子核酸检测及外周血新冠病毒IgM抗体检测有助于诊断;(4)治疗:大部分靶向药物相关损伤在停药并使用糖皮质激素治疗后2周左右可见影像学明显吸收甚至消失。
疫情流行期,大疫情下传染病防控的需要,对肺部阴影进行冠状病毒核酸筛查要放宽是切合实际的,但不能认为出现肺部阴影就是新型冠状病毒肺炎,就必须筛查冠状病毒,就必须隔离观察。像2003年初期,有许多人认为只要得肺炎就是SARS,是非常不可取的。流行病是动态变化的,疫情流行过后,在流行病史不明的情况下,新冠状肺炎与其他呼吸道疾病的鉴别诊断显得越来越重要。清晰的诊疗思路是诊断及鉴别诊断基石,只有临床-影像-病理结合,进行个体化评估,才能保证诊断的准确性。
抗击新冠肺炎的战役终将胜利。然而人类与病毒对抗的脚步一刻也没有停息。对于临床医生而言,病毒性肺炎的挑战将持续存在。冠状病毒肺炎已经数次来袭(SARS、MERS、COVID-19),未来是否会卷土重来,仍需要保持警惕。更严峻的挑战在于,多种呼吸系统疾病,包括免疫抑制人群感染的复杂临床表现、多种原因导致的间质性肺炎、新型抗肿瘤药物相关肺损伤等,与病毒性肺炎参杂在一起,临床表现和影像表现有相似之处,鉴别诊断显得尤为重要。呼吸科医生需要通过高效精准的病毒检测手段,借助于多学科平台密切配合,才能达到及时诊断、精准治疗的目的。
本文撰写过程中得到各部室同道的倾力支持:医务处(潘慧、柴文昭)、病理科(刘鸿瑞、冯瑞娥)、检验科(杨启文)、感染内科(韩阳)、急诊科(王江山、桂耀松)
所有作者均声明不存在利益冲突





















