
胸腔内异物的取出可以通过外科开胸手术、外科胸腔镜及内科胸腔镜等的方法进行。本例报道采用内科胸腔镜成功取出胸腔内遗留断裂胸腔引流管。内科胸腔镜相比外科手术及外科胸腔镜对于患者来说具有安全性高、创伤小、恢复快、花费少能迅速解决患者病情等优势,具有广阔的发展前景。
版权归中华医学会所有。
未经授权,不得转载、摘编本刊文章,不得使用本刊的版式设计。
除非特别声明,本刊刊出的所有文章不代表中华医学会和本刊编委会的观点。
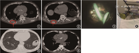
患者男,69岁,因“发作性胸痛20余年,加重7 h”于2018年11月26日入院。初步诊断:(1)冠状动脉粥样硬化性心脏病,急性冠脉综合征,急性左心力衰竭;(2)心脏瓣膜病,主动脉瓣关闭不全;(3)高血压2级;(4)2型糖尿病。2018年11月28日行床旁胸腔彩超:双侧胸腔积液(右侧范围约4.1 cm×8.2 cm,左侧范围约4.5 cm×9.0 cm),于2018年11月30日在超声引导下行右侧胸腔置管引流术。2018年12月2日护理人员发现胸腔引流管离断,引流管头端部分留置体内,急诊行胸部CT证实引流管残端位于右侧胸腔内(图1,2)。2018年12月3日请呼吸内科、心内科、胸外科、超声科、麻醉科等相关科室会诊,建议行内科胸腔镜异物取出术。停用抗血小板药物5 d后,患者于2018年12月12日在局部麻醉下行内科胸腔镜检查。操作过程:使用日本OLYMPUS公司LTF-240型半硬质电子内科胸腔镜,患者左侧卧位,消毒、铺巾后,选右侧腋中线第6肋间,2%利多卡因局部麻醉后,顺肋间隙切开皮肤约1.5 cm,钝性分离皮下及肌肉组织,至胸膜突破后置入戳卡,送入胸腔镜,可见引流管(图3),应用异物钳取出(图4),镜下诊断:胸腔内异物。操作过程顺利,术中及术后无特殊不适。术后当日及次日复查胸片未见胸腔内异物,余无明显异常。2018年12月19日复查胸部CT:双肺散在慢性炎症/纤维灶,双侧胸腔积液较前(2018年12月2日)均有减少,未见胸腔内异物及胸腔积液(图5,6)。


内科胸腔镜(medical thoracoscopy),也被称为“局部麻醉胸腔镜”,可分为半硬质和硬质内科胸腔镜,它直接将工具经肋间插入胸膜腔,对胸腔内病变在显示屏中直视下进行活检或治疗,是呼吸内科越来越重要的检查[1]。内科胸腔镜的操作由呼吸内科医师在呼吸内镜室进行,多在局部麻醉下或在加用镇静麻醉下完成操作,只有1个小切口,主要用于诊断、粘连带松解和胸膜固定。而外科胸腔镜手术操作复杂,切口有3~4 cm,操作时间长,创伤较大,可完成肺叶切除、气胸肺修补术和粘连严重的胸膜松解等操作[2]。内科胸腔镜相比外科胸腔镜,安全、风险低、并发症少、创伤小、花费低、相对简单、操做的条件要求不高。内科胸腔镜问世以来,其应用对于肺脏及胸膜疾病的诊治发挥着重要的作用[3, 4, 5, 6, 7],然而对应用内科胸腔镜取出胸膜腔内异物的文献报道不多。
本例患者胸腔引流管发生断裂,致使断端遗留胸腔内,考虑患者存在心血管基础疾病,最终采用内科胸腔镜对患者进行胸腔异物取出治疗,操作过程顺利,术中及术后未出现严重并发症。
通过搜索相关国外参考文献,最终发现5例[8, 9, 10, 11]使用内科腔镜(包括气管镜代胸腔镜、半硬质和硬质胸腔镜)取出胸膜内异物的病例报道。第一例内科腔镜用于胸腔内异物取出的病例报告是应用可曲式支气管镜代胸腔镜,通过气管切开套管取出手术刀片[8]。随后,Tie 等[9]使用半硬质胸腔镜取出胸膜内缝合针。Gupta等[10]使用半硬质胸腔镜在脓胸中取出8 cm长的胸腔穿刺针。Narasimhan等[11]使用硬质胸腔镜取出嵌入胸壁中的胸腔穿刺针两例,避免了使用半硬质胸腔镜有可能产生并发症如肺实质和纵隔血管的损伤。虽然内科胸腔镜可以作为胸膜腔内异物移除的基本措施,但当异物较大或有明显的血肿或胸腔粘连时,应行外科胸腔镜或开胸手术对其进行治疗[12]。
综上所述,采用内科胸腔镜进行胸腔内异物取出的治疗是一种安全、有效、花费少、操作简单的方法。内科胸腔镜在胸腔内异物取出方面应用尚不广泛,通过查阅国内外文献报道,提示内科胸腔镜对部分胸腔内异物的取出具有良好的治疗效果,具有广泛的发展前景。
所有作者均声明不存在利益冲突





















