
发热、干咳及乏力是目前新型冠状病毒肺炎(COVID-19)患者的主要症状,少数患者伴有鼻塞、流涕、咽痛和腹泻等症状。嗅觉障碍包括嗅觉缺失和嗅觉减退,嗅觉障碍目前在COVID-19病例中非常普遍,多达80%的患者报告了主观嗅觉障碍和客观的嗅觉测试提示嗅觉下降。本文报道我院收治的两位患者出现不同程度的嗅觉障碍病例。
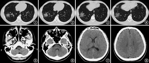
病例1 患者男,18岁,于2020年3月26日从加拿大回国,回国后隔离期间出现发热伴咳嗽、咳痰、咽干,体温最高38.6 ℃,2020年4月3日咽拭子新冠病毒核酸检测阳性,收入我院。患者6年前有EB病毒肺炎病史,入院后体检:体温36.9 ℃,脉率107次/min,呼吸频率21次/min,血压134/94 mmHg(1 mmHg=0.133 kPa),SpO2为95%(未吸氧状态),神志清楚,咽部充血,双肺呼吸音粗,未闻及明显干湿性啰音,心、腹未见异常。外院查血白细胞为5.96×109/L,中性粒细胞百分比为60.6%,淋巴细胞绝对值为1.2×109/L,C反应蛋白为0.89 mg/L。胸部CT示右肺下叶片状磨玻璃样高密度影,初步诊断:新型冠状病毒肺炎。给予阿比多尔片0.2 g,3次/d,口服抗病毒、乙酰半胱氨酸片600 mg,2次/d口服对症治疗。入院后胸部CT如图1~4。


患者入院第6天,自诉嗅觉丧失,伴轻咳,给复方甘草合剂10 ml,3次/d,口服对症治疗,暂观察嗅觉情况。第8天患者仍旧诉嗅觉丧失,请耳鼻喉科会诊,给予甲钴胺0.5 mg,3次/d,口服营养神经,每天自行75%的酒精测试恢复情况,入院第15天患者仍诉嗅觉减退,对症治疗效果欠佳,专家组会诊后考虑不除外病毒侵犯嗅神经,加用维生素B1 10 mg,3次/d,口服对症,行鼻窦CT(图5,6)、头颅CT(图7,8)检查均未见明显异常,再次请耳鼻喉科专家会诊,考虑不除外神经性损害或嗅上皮损害,建议加用牛痘疫苗接种家兔炎症皮肤提取物8 U,2次/d肌肉注射。患者嗅觉有一过性好转,但恢复缓慢,于入院第20、21天行咽拭子新冠病毒核酸检测均为阴性,出院继续观察。出院后5个月电话随访,患者嗅觉于出院后未恢复至发病前状态,仍有轻度嗅觉减退,因未影响日常工作及生活未进行诊治。
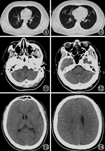
病例2 患者男,20岁,2020年3月24日从英国回国隔离,2020年3月28日出现发热,体温最高37.7 ℃,自诉咽部异物感,3月29日于外院查白细胞4.41×109/L,中性粒细胞百分比为60.7%,淋巴细胞绝对值为1.12×109/L,C反应蛋白为7.11 mg/L,鼻、咽拭子新型冠状病毒核酸均为阳性,遂于3月30日转入我院治疗。患者既往有扁桃体切除病史,入院后体检:体温 37.2 ℃,脉率 82次/min,呼吸频率 20次/min,血压 142/92 mmHg(1 mmHg=0.133 kPa),SpO2为 99%(未吸氧状态),神志清楚,咽部充血,双肺呼吸音粗,未闻及明显干湿性啰音,心、腹未见异常。胸部CT示双肺间质纹理增粗,初步诊断:新型冠状病毒肺炎。给予阿比多尔片0.2 g,3次/d,口服抗病毒、乙酰半胱氨酸片600 mg,2次/d口服对症治疗。入院后胸部CT如图9,10。


患者入院后第14天出现鼻塞,体温不高,无其他阳性症状。隔日仍有鼻塞,新冠病毒核酸检测回报阳性。入院第19天患者自诉嗅觉减退,追问患者鼻塞症状开始时即出现嗅觉减退,予加用甲钴胺0.5 mg,3次/d,口服营养神经治疗。并请耳鼻喉科会诊,给予维生素B1 10 mg,3次/d,口服、维生素B12 0.1 mg,1次/d,肌肉注射营养神经,每天自行75%的酒精测试恢复情况,副鼻部CT(图11,12)提示左侧上额窦黏膜下囊肿,双侧筛窦黏膜增厚,头颅CT(图13,14)未见明显异常。再次请耳鼻喉专家会诊后,加用牛痘疫苗接种家兔炎症皮肤提取物8 U,2次/d,肌肉注射治疗。入院第24天患者自诉嗅觉较前有所好转,第30天自诉嗅觉恢复。入院第31、32天咽拭子新型冠状病毒核酸阴性,出院观察。出院后电话随访,患者嗅觉于出院后半个月完全恢复正常。后未再出现嗅觉障碍。
嗅觉障碍在临床上以嗅觉减退和嗅觉丧失为常见,嗅觉缺失症是指嗅觉完全丧生,嗅觉减退是指嗅觉的部分丧失。嗅觉减退或丧失易发生在以鼻塞为主诉的疾病,如鼻甲肥大、鼻息肉、鼻内肿瘤等,因这类疾病使含有气味的气流不能到达嗅区黏膜,引起所谓呼吸性嗅觉减退或丧失。但本文的2例患者鼻窦CT和脑CT均未见明显异常。上呼吸道病毒感染、萎缩性鼻炎、嗅神经炎、化学气体损伤、颅底骨折、颅内疾病、阿尔茨海默病(Alzheimer)等疾病可使嗅神经末梢、嗅神经、嗅中枢萎缩、失用而产生所谓感觉性嗅觉减退或丧失[1]。病毒感染、化学气体损伤、颅脑外伤常引起嗅觉突然丧失。
病毒感染后的嗅觉障碍是第二大最常见的原因,大约占所有病例的12%,在嗅觉障碍专科门诊中占25%。众所周知,普通感冒病毒会导致嗅觉障碍[2],而200多种病毒会引起上呼吸道感染。嗅觉障碍在COVID-19病例中非常普遍,部分患者以嗅觉减退或丧失为首发症状[3],多达80%的患者报告了主观嗅觉障碍和客观的嗅觉测试提示嗅觉下降,且多达25%的COVID-19患者可能会出现突然发作的嗅觉障碍作为第一症状。大部分COVID-19嗅觉障碍病例可以在几周内恢复嗅觉[4]。有报道提出,嗅觉障碍的平均持续时间为11 d。但有26%的病例嗅觉障碍持续了1个多月[5]。德国的一项报道有超过2/3的确诊病例有嗅觉障碍[6]。
嗅觉障碍可能是新冠肺炎一个新的临床症状[7]。来自武汉协和医院的Mao等[8]发表的214例新冠肺炎患者,其中11例(5.1%)患者出现嗅觉损伤,且2例患者在入院时就存在该症状,或许是其感染新冠肺炎的首发症状之一。
法国Reinhard等[9]报道的感染SARS-CoV-2导致COVID-19的病例中,与嗅觉障碍相关或无关的嗅觉缺失似乎是一种常见症状。它可能是该疾病的初始症状或单一症状。在大多数病历中嗅觉丧失的自然过程似乎是有利的。
来自意大利[10]的在SARS-2和其他冠状病毒感染过程中,已经报告了嗅觉缺失。在COVID-19患者中,可能不伴有鼻塞或其他鼻炎症状,这可能是由于病毒对嗅觉和味觉受体的直接损害。目前尚无法确定嗅觉和味觉功能是否会完全恢复,或需要多长时间。
伊朗的一篇文章[11]描述了8例嗅觉缺失的患者,他们没有症状或有轻微的呼吸道症状,但嗅觉完全丧失。其中5例是新冠患者,3例因疫情期间检测受限无法追溯结果。作者推测新冠患者嗅觉缺失的损伤机制可能是冠状病毒所致的中枢和周围神经紊乱。
关于治疗,目前似乎无特效恢复的药物[12],我们所使用的营养神经药物作用也不是很明显,可能核酸转阴,病毒减弱,自我免疫逐步恢复,嗅觉功能也会有所恢复。法国的研究结果表明,局部和全身皮质类固醇和洗鼻剂是禁忌证[9]。英国也不建议使用激素,特别是在出现症状后的前两周,鼻用类固醇激素在体内的吸收率很低,其作用可能有限[6]。嗅觉恢复训练可能有效,因为嗅觉神经元是可以再生的,嗅觉训练可以对嗅觉神经反复刺激。
所有作者均声明不存在利益冲突





















