
高危急性肺栓塞患者紧急溶栓治疗可迅速溶解肺动脉内血栓,降低肺动脉压力,快速恢复血流动力学,纠正右心功能不全,但血小板减少是溶栓相对禁忌。急性高危肺栓塞合并重度血小板减少能否进行溶栓治疗,在紧急情况下如何决策是临床上面临的挑战,现报道一例通过溶栓治疗成功的急性高危肺栓塞合并重度血小板减少患者资料。
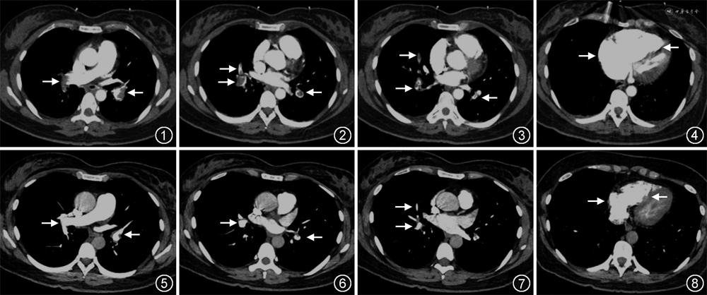
患者女,35岁,因“呼吸困难1个月,下肢肿痛2 d,突发晕厥1 d”于2019年1月12日急诊入院。1个月前患者爬3层楼后出现呼吸困难,症状进行性加重,2 d前突然出现左下肢肿痛,1 d前如厕时突发晕厥,伴抽搐,5 min后自行缓解。发病以来无发热、咳嗽、咳痰、胸痛、咯血、皮疹及光过敏症状。入院时外周指端氧饱和度84%,血压 60/30 mmHg(1 mmHg=0.133 kPa),持续>30 min,呼吸频率26次/min。体检:意识清楚,无颈静脉怒张,双肺未闻及干湿啰音,心率106次/min,律齐,P2>A2,腹软,无压痛及反跳痛,左侧下肢可凹性水肿,双下肢周径:髌骨上缘左侧为57.0 cm,右侧为53.5 cm,髌骨下缘左侧为38.5 cm,右侧为35.5 cm。相关实验室检查:脑钠肽为127 ng/L(0~100 ng/L),肌钙蛋白I为2.33 μg/L(<0.05 μg/L),D-二聚体>35.20 mg/L,血小板为22×109/L,血红蛋白为135.0 g/L,活化部分凝血活酶时间(APTT)为54.1 s,纤维蛋白原(Fbg)为270 mg/L(2 000~4 000 mg/L),生物化学检查:肌酐为85.1 μmol/L,白蛋白为36.4 g/L,谷草转氨酶为123 U/L,谷丙转氨酶为62 U/L,乳酸脱氢酶为544 U/L,α-羟丁酸脱氢酶为348 U/L,碱性磷酸酶为33 U/L,γ-谷氨酰转肽酶为112 U/L,总胆红素为2.9 μmol/L,间接胆红素为1.7 μmol/L。经右股动脉穿刺行血气分析:pH值为7.38,二氧化碳分压为26.3 mmHg,氧分压为53.3 mmHg(吸入氧流量2 L/min)。心脏超声:右心室基底内径40 mm,右心室前壁运动幅度减低,TI法估测肺动脉收缩压(sPAP)54.1 mmHg;下肢静脉超声:左侧股总静脉远端及股浅静脉近端血栓形成。急诊立即给予间羟胺50 mg(5 mg·h-1·kg⁻¹)静脉泵入,维持血压>90/60 mmHg。行肺动脉CT三维成像(CTPA)检查,结果示双肺动脉及分支多发充盈缺损(图1~3),右心明显增大(图4),诊断“高危急性肺栓塞,下肢深静脉血栓形成,血小板减少”。该患者既往无静脉栓塞疾病及出血性疾病病史,无自身免疫疾病,2018年1月患者行子宫肌瘤切除术,术后每月口服屈螺酮炔雌醇片,2个月前停药。


由于患者血压进行性下降,氧合难以维持,权衡利弊,获得家属同意,给予重组人组织型纤溶酶原激活物(rt-PA)50 mg持续静脉滴注2 h进行溶栓治疗。溶栓治疗前采用持续性外周静脉血压监测,一旦血压恢复或发生出血则停用溶栓药物,同时积极与血库联系准备血小板输注。在静脉滴注溶栓药物1 h(rt-PA使用量约25 mg)后,患者咯血约30 ml,呕血50 ml,右侧腹股沟动脉穿刺处出现5 cm×7 cm瘀斑,立即停用rt-PA,急查纤维蛋白原100 mg/L,血红蛋白 95.00 g/L,血小板 57×109/L,立即补充新鲜冰冻血浆200 ml、纤维蛋白原2 g,同时静脉滴注垂体后叶素,奥美拉唑泵入抑酸,腹股沟局部加压止血。监测血压为101/59 mmHg,停用血管活性药物,严密监测病情,患者未再发生咯血及呕血,腹股沟处瘀斑未进一步扩大。溶栓结束后2 h测血压 103/67 mmHg,复查血红蛋白 97.00 g/L,血小板 78×109/L,纤维蛋白原770 mg/L。4 h后测APTT 61.3 s,8 h后测APTT 42.7 s,开始普通肝素泵入抗凝治疗,将APTT维持在40~50 s。入院后行常规肿瘤标记物检查未见异常;生物化学检查抗核抗体、抗dsDNA、自身抗体、风湿因子、类风湿因子、抗中性粒细胞胞质抗体(ANCA)、心磷脂抗体、狼疮抗凝物、抗β2-糖蛋白1抗体、抗环胍氨酸肽抗体和抗肾小球基底膜抗体均未见异常;同型半胱氨酸和易栓症排查未发现异常。2周后复查CTPA见双肺动脉充盈缺损较前减少(图5~7),心脏超声回报右心功能正常,右心室基底内径33 mm(图8),于2019年2月1日出院,出院后3个月及1年随访均未见血小板减低。
本例患者经系统性溶栓治疗后,血流动力学迅速恢复,右心功能改善,达到了溶栓治疗的目的,但由于其血小板较低,在溶栓过程中发生了出血。对于此类有出血风险而又不得不进行溶栓治疗的高危急性肺栓塞患者,密切监测病情及出血情况,进行及时的处理是保证治疗成功的关键。
由于患者血流动力学不稳,且右心扩大,右心室壁运动幅度减低,符合急性高危肺栓塞的诊断,故需立即采取再灌注治疗,但患者存在严重的血小板减低,系统性溶栓会导致大出血的风险,为溶栓的相对禁忌证。若采取紧急的肺动脉内血栓摘除术,血小板减少亦为手术绝对禁忌,因手术切口较大,止血困难,不是再灌注治疗的最佳选择。对于该患者来说,介入取栓、碎栓可能会有效缓解血流动力学异常,全身出血可能性减小,但介入治疗仍面临局部穿刺部位出血的问题,加之病情危急,介入治疗在当时不能马上进行。为挽救患者生命,权衡利弊并结合指南,在紧急情况下,血小板减低并非溶栓绝对禁忌,加之患者年轻,既往无相关出血性疾病史,故最终选择系统性溶栓,使用rt-PA 50 mg两小时静滴方案,且在溶栓过程中密切观察出血情况。一旦发生出血,则立即停止溶栓治疗,最终患者血流动力学恢复。
肺栓塞合并血小板减少的病因多种多样,寻找血小板下降的原因对于指导后续的治疗十分关键。恶性肿瘤尤其是血液系统肿瘤通常合并不同程度的血小板减少,肿瘤化疗也是导致血小板减少的重要原因。其他疾病如免疫性血小板减少症、干燥综合征、系统性红斑狼疮等自身免疫疾病也较易导致血小板减少。另外,在我们的临床观察中发现血栓形成过程中可造成血小板降低,但一般不低于70×109/L,此外,在肺栓塞治疗过程中发现血小板减少也需警惕肝素诱导的血小板减少症(heparin induced thrombocytopenia,HIT)的问题。本例患者在住院后积极进行了血小板减少的病因筛查,患者无肿瘤、免疫系统正常,且在后期随访1年期内,未发现上述指标的异常,因此不考虑是合并基础疾病所致血小板减少;患者在肝素使用之前即发生血小板减少,故不考虑为HIT。另外,患者在发病前有口服短效避孕药史,可能是肺栓塞的发病原因,但目前并未发现该药物直接导致血小板减少的报道。由于患者在溶栓后血小板回升,抗凝治疗过程中血小板逐渐恢复正常,故不考虑为骨髓造血异常所致血小板减少,因而未行骨穿检查,且随访1年血小板未再减低。排除了上述导致血小板减低的原因,此例患者考虑由于大量血小板参与血栓形成,消耗增加所致血小板减少,在溶栓治疗后患者无新发血栓形成,血小板未再继续消耗,另外,血小板减少会很大程度上刺激骨髓造血,因而患者外周血小板逐渐恢复正常。
静脉血栓栓塞症(VTE)合并重度血小板减少患者在临床工作中并不少见,对于这类患者,能否进行溶栓治疗,目前国内外均缺乏相关诊疗规范,大多数是以经验治疗为主。2018年,Alirezaei等[1]报道了1例65岁女性VTE患者,乳腺癌化疗导致血小板减少,血小板计数为50×109/L,紧急情况下使用rt-PA 100 mg,2 h溶栓方案,溶栓1 h后,患者血压及外周氧饱和恢复,无出血发生,后序贯半量普通肝素抗凝。另外1例胰腺癌所致VTE患者[2],住院期间发生HIT(血小板77×109/L),同时出现急性肺栓塞复发,循环不稳,紧急使用50 mg rt-PA进行导管溶栓后氧合快速改善,循环趋于稳定,溶栓成功后序贯低剂量比伐卢定继续抗凝治疗,期间均未发生出血事件。但上述患者血小板均在50×109/L以上。
本例患者如果在溶栓前首先输注血小板,使之达到安全水平后再行溶栓治疗是否能够提高溶栓的安全性,是值得思考的问题。回顾VTE合并血小板减少患者溶栓治疗的文献报道(表1)发现[1, 2, 3],临床医生们在紧急情况下并未等待血小板上升至正常即开始溶栓治疗,甚至有些学者认为紧急溶栓前等待血小板结果会延误开始溶栓的时间,可能造成治疗失败。也有学者认为[4]血小板减少症发生率较低,目前没有证据证明必须等即时血小板结果后才开始溶栓治疗。

急性肺栓塞合并血小板减少患者溶栓治疗病例报告
急性肺栓塞合并血小板减少患者溶栓治疗病例报告
| 年份 | 作者 | 年龄(岁)/ 性别 | 血小板减少 原因 | 血小板计数 | 溶栓药物 | 序贯抗凝 药物 | 出血 | 临床转归 |
|---|---|---|---|---|---|---|---|---|
| 2018 | Alirezaei等[1] | 65/女 | 乳腺癌后化疗 | 50×109/L | rt-PA100 mg,2 h | 肝素半量 | 无 | 1 h后,血压、经皮血氧饱和度恢复 |
| 2018 | Badreldin 等[2] | 60/男 | 胰腺癌-HIT | 77×109/L | 低剂量rt-PA导管溶栓 | 低量比伐卢定 | 无 | 氧合、血流动力学稳定,未出血, |
| 2017 | Bethea等[3] | 75/女 | APE-HIT | 21×109/L | 低剂量rt-PA超声辅助导管溶栓 | 华法林 | 无 | 肺动脉压力降低,血流动力学改善 |
注:HIT为肝素诱导的血小板减少症;APE为急性肺栓塞
指南推荐,对于溶栓治疗的患者,后续采用普通肝素抗凝治疗。本例患者在溶栓后发生了出血,为抗凝禁忌,但患者为高危肺栓塞,右心损害明显,如果不抗凝治疗,有可能会再次血栓形成,发生不可逆性右心损害,因而,对于该类患者仍需要根据患者的病情决定是否采取抗凝治疗。我们结合既往的临床经验,给予了普通肝素的抗凝治疗,将APTT控制在高于基础值10 s左右。普通肝素的抗凝强度与APTT呈明显的相关性,将APTT调到相对低的水平,不仅可以避免出血的发生,又可防止血栓的再形成。由于普通肝素的半衰期短,一旦发生出血情况,立即停用后其作用可快速消失,且临床上可使用鱼精蛋白进行拮抗,因而,对于合并出血的不得不进行抗凝治疗的急性肺栓塞患者,普通肝素为首选的抗凝治疗药物。
通过本例患者的救治,我们认为,对于合并血小板重度减低的高危急性肺栓塞患者,如果没有条件采取经导管取栓、碎栓治疗时,使用全身系统性溶栓治疗也是临床上有效的再灌注治疗方法。在治疗过程中,需要注意密切监测,一旦患者血流动力学恢复或发生了出血,则立即停止溶栓治疗。
所有作者均声明不存在利益冲突





















