
抗γ干扰素(IFN-γ)自身抗体免疫缺陷综合征是一种罕见疾病,患者后天(通常是成人期)产生抗IFN-γ自身抗体,抑制了体内的IFN-γ,引起严重的Thl细胞免疫反应缺陷,出现严重或播散性的机会性感染。本文报道1例抗IFN-γ自身抗体阳性家系,首诊患者以多发淋巴结肿大、抗IFN-γ自身抗体阳性、STAT1-PI10升高、播散性马尔尼菲篮状菌和诺卡菌感染为主要特征,患者儿子、女儿的抗IFN-γ自身抗体均为阳性,确诊后给予利妥昔单抗治疗,病情明显改善,未再使用抗生素治疗。
版权归中华医学会所有。
未经授权,不得转载、摘编本刊文章,不得使用本刊的版式设计。
除非特别声明,本刊刊出的所有文章不代表中华医学会和本刊编委会的观点。
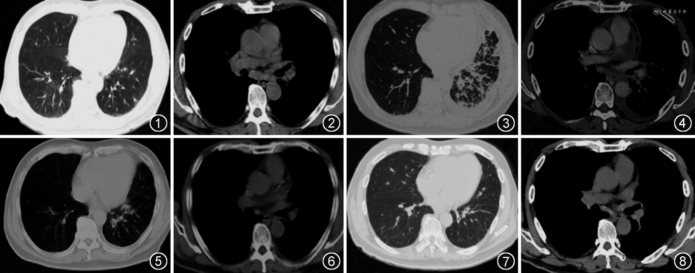
患者男,66岁,主因“反复咳嗽18个月”于2020年11月1日入院。患者2019年5月出现阵发性干咳,PET-CT(图1,2)提示左肺下叶前内基底段病灶,双侧肺门、纵隔、右侧锁骨上窝、肝门区、腹膜后多发淋巴结肿大。2019年9月外院胸膜病理提示多灶性肉芽肿性病变,可见中央坏死,周围可见上皮细胞及多核巨细胞,2次抗酸(+),六胺银(-),倾向结核;纵隔淋巴结病理为肉芽肿性炎,倾向结核。诊断为肺结核合并淋巴结结核,给予利福平(0.45 g,1次/d)、异烟肼(0.3 g,1次/d)、吡嗪酰胺(1.5 g,1次/d)、乙胺丁醇(0.75 g,1次/d)规律治疗9个月后,患者症状无改善,复查胸部增强CT(图3,4)可见左肺多发结节、斑片状密度增高影,左侧少量胸腔积液,双肺门、纵隔淋巴结增大并融合。2020年6月气管镜肺活检组织病原体宏基因组高通量测序(metagenomics next-generation sequencing,mNGS)提示结核分枝杆菌复合群(序列数19),奥布分枝杆菌(序列数302),星形诺卡菌(序列数64),病理未见明确肉芽肿病变及肿瘤。结合肺组织mNGS找到诺卡菌,外院考虑播散性诺卡菌感染可能,给予磺胺甲噁唑/甲氧苄啶(1.2 g,4次/d)、利奈唑胺(0.6 g,2次/d)治疗。2020年7月颈淋巴结培养提示马尔尼菲篮状菌(+),病理示淋巴结肉芽肿性炎。2020年10月复查胸部CT(图5,6)可见左肺及右肺下叶散在结节状高密度灶,左侧胸腔积液较前减少,双侧腋下、左肺门及纵隔淋巴结肿大较前略缩小。考虑患者肺部病变较前吸收,但淋巴结肿大较前改善不明显,于2020年11月1日再次收住我院呼吸与危重症医学科。


入院体检:体温36.3 ℃,脉率80 次/min,呼吸频率22 次/min,血压136/75 mmHg(1 mmHg=0.133 kPa),双侧颈部、右耳前、右耳下、枕后、右滑车、左耳后淋巴结肿大,心肺腹体检未见异常。实验室检查:白细胞计数14.55×109/L,血红蛋白浓度125.00 g/L,血小板计数347.00×109/L,中性粒细胞比值72.50%,淋巴细胞比值15.60%,中性粒细胞绝对值10.54×109/L,淋巴细胞绝对值 2.27×109/L。超敏C反应蛋白(hs-CRP)62.8 mg/L。痰涂片:较多G+球菌,少量G-球杆菌和G-杆菌。肺泡灌洗液X-pert、支气管刷片、气管镜取痰涂片及培养阴性。降钙素原(PCT)、1,3-β-D葡聚糖(G试验)、半乳甘露聚糖(GM)试验正常。纵隔淋巴结病理PCR:未见微生物。淋巴细胞亚群+绝对计数:CD3+T细胞54.11%(正常参考值:50%~84%),CD3+T细胞绝对计数 1 015.64个/μl(正常参考值:955~2 860个/μl),CD3+CD4+辅助/诱导性T细胞 31.65%(正常参考值:27%~51%),CD3+CD4+绝对计数593.94个/μl(正常参考值:550~1 440个/μl),CD3+CD8+抑制/细胞毒性T细胞 21.68%(正常参考值:15%~44%),CD3+CD8+绝对计数 406.85个/μl(正常参考值:320~1 250个/μl),CD3-CD19+总B细胞 2.61%(正常参考值:5%~18%),CD3-CD19+绝对计数 49.00个/μl(正常参考值:90~560个/μl),CD3-CD16+56+NK细胞42.64%(正常参考值:7%~40%),CD3-CD16+56+绝对计数800.33个/μl(正常参考值:150~1 100个/μl),CD4+/CD8+Th/Ts比值 1.46 %(正常参考值:0.68%~2.40%)。抗IFN-γ自身抗体滴度148 000 μg/L(吸光度值4,强阳性),STAT1-PI10为30.79。补体C4、免疫球蛋白A、免疫球蛋白G升高,补体C3、免疫球蛋白M正常。CA19-9、CA125、NSE、AFP、CEA正常,细胞角蛋白3.46 μg/L。彩超显示双侧颈部Ⅱ、Ⅲ、Ⅴ区及颈后、耳后下方可见肿大淋巴结,右侧最大约11 mm×6 mm,左侧最大约7 mm×6 mm。右颈淋巴结送至广州呼吸健康研究院会诊:淋巴结肉芽肿性炎症,符合马尔尼菲篮状菌感染。最终诊断:抗IFN-γ自身抗体免疫缺陷综合征、播散性马尔尼菲篮状菌病、诺卡菌感染、非结核分枝杆菌定植可能。给予伏立康唑(0.2 g,2次/d)治疗2个月后患者咳嗽消失,双侧颈部、右耳前、右耳下、枕后、右滑车、左耳后淋巴结及肘部肿大淋巴结消失。2021年1月患者复查胸部CT(图7,8)可见双肺散在斑点状、斑片状、条片状高密度影,肺门、纵隔多发淋巴结,双侧腋窝淋巴结,右侧为著,最大约33 mm×22 mm。患者右侧腋窝淋巴结明显疼痛,白细胞计数21.39×109/L,hs-CRP为147.83 mg/L,抗IFN-γ自身抗体强阳性(滴度117 594.1 μg/L,吸光度值3.8),考虑仍存在诺卡菌感染可能。给予伏立康唑(200 mg,2次/d)联合利奈唑胺(600 mg,2次/d)治疗2个月余,患者右侧腋窝淋巴结较前明显缩小。期间数次尝试停用利奈唑胺,但停药时间不超过3 d,淋巴结即明显肿痛,再次服用利奈唑胺后疼痛即明显缓解。复查抗IFN-γ自身抗体仍为强阳性(滴度121 921 μg/L,吸光度值4.1),STAT1-PI10为5.99。2021年6月和2021年11月分别给予利妥昔单抗600 mg治疗,复查抗IFN-γ自身抗体滴度较前下降(滴度88 305 μg/L,吸光度值2.8),STAT1-PI10为6.11,停用利奈唑胺及伏立康唑至今,患者无明显不适。
家系调查发现,患者儿子、女儿抗IFN-γ自身抗体均为阳性,滴度分别为13 191 μg/L(吸光度值0.6)和25 700 μg/L(吸光度值1.3),STAT1-PI10分别为0.51和10.29,目前均体健。同时,我们检测了3例正常志愿者的抗IFN-γ自身抗体(2男1女),分别为3 351 μg/L(吸光度值0.2)、3 862 μg/L(吸光度值0.3)和4 394 μg/L(吸光度值0.3),明显低于本家系的抗IFN-γ自身抗体水平。全外显子测序结果显示,患者及其子女均存在与感染相关的C7、CREBBP的杂合突变,符合显性遗传模式。HLA基因多态性分析结果显示,患者存在HLA-DRBl*16:02,DRBl*15:01和DQBl*05:02等位基因;儿子存在DRBl*15:02、DRBl*15:01和DQBl*05:01等位基因;女儿存在HLA-DRBl*16:02和 DQBl*05:02等位基因。
抗IFN-γ自身抗体免疫缺陷综合征后天(通常是成人期)产生抗IFN-γ自身抗体,抑制了体内的IFN-γ,影响STAT 1(signal transducer and activator of transcription 1)的磷酸化和IL-12的分泌,引起严重的Thl细胞免疫反应缺陷,损害巨噬细胞对胞内菌的杀伤能力,临床出现播散性感染[1, 2]。
研究表明抗IFN-γ自身抗体在机会性感染发生前一段时间逐渐形成,引发抗体产生的机制尚不清楚[3],甚至健康人群也可以存在天然的抗体[3],该家系先证者的直系亲属(儿子和女儿)自身抗体均为阳性,但目前均无不适,说明仅仅抗体阳性并非发病的首要因素。抗IFN-γ自身抗体免疫缺陷综合征患者的STAT1-PI10明显高于健康者,说明患者体内STAT1磷酸化受抑制,推测STAT1-PI10升高可能与发病有关[3]。
抗IFN-γ自身抗体免疫缺陷综合征在亚洲人和有HLA-DRB*16:02或DRB*05:02等位基因的患者中更常见[4]。本例患者存在HLA-DRBl*16:02、DRBl*15:01和DQBl*05:02等位基因;儿子存在DRBl*15:02、DRBl*15:01和DQBl*05:01等位基因;女儿存在HLA-DRBl*16:02和DQBl*05:02等位基因。同时患者及其子女均存在与感染性疾病相关的C7、CREBBP的杂合突变,推测抗IFN-γ自身抗体阳性可能具有某些遗传特性,但抗IFN-γ自身抗体滴度升高是否为基因突变的直接结果仍有待进一步研究。
研究认为同时感染至少2种机会性感染病原体是患者存在免疫低下的指标[3,5]。该病最常累及淋巴结、皮肤、骨骼和软组织、骨髓或血液、肺、肝胆等[3,6]。本例患者淋巴结病理及培养发现马尔尼菲篮状菌;mNGS检测到星形诺卡菌,抗诺卡菌治疗后影像学吸收,临床诊断诺卡菌感染成立。胸膜和淋巴结呈肉芽肿性改变,抗酸染色2+,但抗结核治疗无效,mNGS提示奥布分枝杆菌,但未经规范抗NTM治疗患者淋巴结缩小,考虑NTM肺病不成立,定植可能性大。
诊断抗IFN-γ自身抗体免疫缺陷综合征需满足以下2个条件[7]:(1)外周血抗IFN-γ自身抗体阳性;(2)外周血STAT1-PI10 明显升高。但目前国际上尚无统一的抗IFN-γ临界值。关于该病活动期的最佳实验室指标为[8]:C反应蛋白(CRP)≥30 mg/L,ESR≥42 mm/1 h,白细胞≥11 000/mm3,抗IFN-γ自身抗体吸光度值≥3.5。本文中患者既往“健康”,存在马尔尼菲篮状菌和诺卡菌的混合感染并满足以上诊断标准。尽管给予了针对性治疗,但2021年5月复查白细胞计数 13.06×109/L,hs-CRP为38.52 mg/L,抗IFN-γ自身抗体吸光度值为3.5,说明单纯抗感染治疗后患者仍处于疾病活动期。
抗IFN-γ自身抗体免疫缺陷综合征目前尚无根治方案。根据发病机制治疗目标应该着眼于降低或抑制抗IFN-γ自身抗体、恢复STAT1的磷酸化水平。文献报道有单独使用利妥昔单抗或联合甲泼尼龙治疗成功的个案,其机制是减少循环中的B淋巴细胞,从而减少浆细胞,降低抗IFN-γ自身抗体滴度及其中和作用,恢复STAT1的磷酸化水平,减轻机体炎症反应[3,9, 10, 11]。经知情同意后我们给予患者利妥昔单抗600 mg治疗2次后,复查抗IFN-γ自身抗体滴度较前下降(滴度88 305 μg/L,吸光度值2.8),STAT1-PI10为6.11,停用所有抗生素后无不适,截至2022年1月随访患者一般情况良好。
由于对该病缺乏认识,临床医生可能仅诊断为感染性疾病而忽视了背后真正的病因,推测临床上存在一定漏诊和误诊,实际患病率可能高于文献报道。对于临床上难以解释的播散性感染、先后或同时分离到多种胞内菌、尤其是NTM和马尔尼菲篮状菌的混合感染,需要高度警惕患者是否存在抗IFN-γ自身抗体免疫缺陷综合征。
所有作者声明无利益冲突





















