
版权归中华医学会所有。
未经授权,不得转载、摘编本刊文章,不得使用本刊的版式设计。
除非特别声明,本刊刊出的所有文章不代表中华医学会和本刊编委会的观点。
患者男性,19岁,因"发现心电图异常2年",于2013年9月10日在郑州人民医院内科住院。患者2年前体检时发现心电图异常,无胸闷、胸痛、心悸、呼吸困难,无发热、咳嗽、咳痰、咯血,无恶心、呕吐、腹痛、腹泻,无头痛、头晕、耳鸣、晕厥。曾在外院多次查心肌酶和心肌炎病毒谱均无异常,诊断为心肌炎或扩张性心肌病,给予曲美他嗪片、辅酶Q10胶囊和美托洛尔缓释片口服,未系统诊治。既往无高血压病、糖尿病和脑血管病史。否认家族性遗传病史。
入院体格检查:体温36.4 ℃,脉搏70次/min,呼吸16次/min,血压117/70 mmHg(1 mmHg=0.133 kPa);眼睑无水肿,口唇无发绀;颈静脉无怒张;双肺野未闻及啰音;心脏浊音界无扩大,心率70次/min,律齐,心音稍低钝,胸骨左缘第2~3肋间可闻及2~3/6级喷射性收缩期杂音,未闻及心包摩擦音;腹软,肝脾肋下未触及;双下肢无浮肿;神经系统检查无异常。
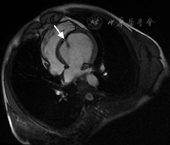
入院后生化检查:总胆固醇3.4 mmol/L,低密度脂蛋白胆固醇1.9 mmol/L;甲状腺功能三项无异常;空腹血糖4.4 mmol/L;急查心肌酶无异常,肌钙蛋白I阴性;血尿常规、肝功能、肾功能和凝血功能正常。器械检查:(1)X线胸片:心影不大,呈球形,心胸比例0.44。(2)12导联心电图(图1):窦性心律,电轴右偏,胸前导联R波递增不良,V1或V2导联正向T波高度大于V5或V6导联。(3)超声心动图(图2、图3):左心室增大,呈球形改变,左心室横径59 mm,纵径84 mm,前后径64 mm;左心室射血分数52%,短轴缩短率26%;左心室心尖部扁平,似被截短;左心室室间隔均凸向右心室,前间隔、后间隔中间段至心尖段心肌变薄(厚度4.8 mm),回声增强,运动消失;前间隔、后间隔基底段心肌厚度正常,运动减弱,呈瘤样凸向右心室,致右心室流出道局部梗阻(内径变窄,8.5 mm;流速偏快,1.95 m/s;右心室流出道压差20 mmHg);左心室乳头肌均附着于扁平的左心室前壁心尖部;舒张早期二尖瓣血流峰值速度(E)1.07 m/s、舒张晚期二尖瓣血流峰值速度(A)0.76 m/s,E/A=1.4;其余房室腔内径正常;右心室射血分数58%。(4)动态心电图:窦性心律,电轴右偏,胸前导联R波递增不良,Tv1(Tv2)>Tv5(Tv6);24 h最低心率54次/min,最高心率121次/min,平均心率72次/min;偶发房性早搏;无室性心律失常;心率变异性正常。(5)冠状动脉造影未见明显异常。(6)左心室造影:心腔扩大,左心室心尖部在舒张期呈球样扩张,且搏动减弱。(7)心脏磁共振(图4):左心室舒张期呈球形扩张,舒张末期前后径64 mm;室间隔向右心室面突出;心尖及心尖段室间隔左心室面可见脂肪替代且运动减低,中间段室间隔变薄(厚度5 mm);右心室心尖向左延伸,包绕发育不良的左心室心尖部;左心室前后两组乳头肌均附着于前壁心尖部。






最后诊断:左心室心尖发育不良(left ventricular apical hypolasia,LVAH)并右心室流出道梗阻,偶发房性早搏。治疗策略:给予血管紧张素转换酶抑制剂和β受体阻滞剂拮抗神经内分泌,阻止和(或)减轻心室重构;避免剧烈运动;低盐饮食。患者出院后病情稳定,嘱其定期门诊随访心电图和超声心动图,密切观察心功能的变化。
LVAH是近年来新确认的一种少见心肌病。自从2004年首次报道LVAH以来,迄今报道已超过22例,患者以成人为主[1]。国内关于LVAH的病例报道较少[2],表明目前对该病的流行病学和临床特征(尤其影像学)尚缺乏足够的认识。
LVAH有特殊的形态学改变,影像学诊断标准包括:(1)最突出特征是左心室心尖部扁平,乳头肌附着点以远似被截平;(2)室间隔凸向右心室侧,致使左心室横径增加,纵径相对缩短,失去其圆锥形外观而呈球形;(3)左心室乳头肌附着于其扁平的前壁心尖部,而非前侧壁和后中壁,此种改变可致不同程度的二尖瓣反流;(4)右心室形态学改变表现为远端延长,并包绕发育不良的左心室心尖部,呈香蕉状,功能多正常;(5)大部分患者左心室心尖部可见脂肪替代[2]。超声心动图是临床筛选LVAH的最常用方法,但易受操作者经验及声窗的影响。心脏磁共振是目前诊断LVAH的最好方法,有良好的软组织分辨率,本例患者最终经心脏磁共振确诊。
本病有两种基本类型:(1)孤立性LVAH;(2)复合型LVAH,合并其他心血管畸形,包括动脉导管未闭、肺动脉漏斗部和主动脉瓣狭窄、完全性房室瓣错位。本例患者符合孤立性LVAH的形态学改变,除此之外,由于室间隔中间段至心尖段心肌变薄,运动消失,而基底段心肌厚度正常但运动减弱,致使收缩期室间隔呈瘤样凸向右心室,致右心室流出道局部梗阻,并导致杂音。值得注意的是,Moon等[3]报道1例33岁男性痔疮患者在术前检查时发现连续性心脏杂音,继而经胸和经食道超声心动图、磁共振确诊为LVAH。影像学检查证实患者合并主动脉瓣重度钙化性中重度狭窄和右心室流出道梗阻(由肺动脉漏斗部肥厚导致);尽管左心室收缩功能良好,但已存在右心房扩大和右心室肥厚,心电图显示电轴右偏和不完全性右束支阻滞。本例患者右心室流出道梗阻的病理生理学意义,即右心室射血阻抗增加是否会导致右心肥大和功能不全,目前正在随访观察。
LVAH患者的临床表现缺乏特异性,多数患者无症状或症状轻微,可出现心前区杂音、心悸、胸痛、胸闷及呼吸困难等症状和体征,偶可出现肺水肿、心室颤动,甚至危及生命。患者心电图可表现为胸前导联R波递增不良、T波异常、非特异性室内传导阻滞、左和右束支传导阻滞,患者可发生各种心律失常。
LVAH应该与其他累及左心室心尖部的心血管疾病相鉴别:(1)左心发育不良综合征。其同时可见发育不良的主动脉瓣、主动脉、二尖瓣以及整个左心室,且95%的患者合并狭窄或闭锁的二尖瓣。而LVAH患者二尖瓣发育良好,发育不良主要集中在心尖部。(2)心尖肥厚型心肌病。心尖部室壁增厚是其特点,而LVAH患者左心室心尖部室壁无增厚,且大部分患者同时存在脂肪替代。(3)心内膜纤维化。此类患者的左心室心尖部闭塞是由于心尖部纤维血栓形成,而非出现脂肪替代。(4)左心室致密化不全。其主要累及心尖部,内层为非致密化心肌,外层为致密化心肌,收缩期二者之比≥2。
LVAH的病理生理机制至今尚未明了,可能系原始心室左右分侧时左心室发育不充分,随着肌性室间隔的持续生长,正常发育的右心室相对延长环绕缩短的左心室心尖,导致本病的形成。Motwani等[4]采用延迟增强磁共振,在1例LVAH患者的前间隔基底段中层发现纤维化的证据,表明宫腔感染可能是LVAH的病因之一。
目前LVAH的预后和病程转归尚缺乏足够的流行病学数据。多数患者无症状或症状轻微且不特异,就诊时已存在左心室扩大或心功能不全,因此早期诊断和治疗尤为重要。





















