
版权归中华医学会所有。
未经授权,不得转载、摘编本刊文章,不得使用本刊的版式设计。
除非特别声明,本刊刊出的所有文章不代表中华医学会和本刊编委会的观点。
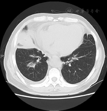
患者男性,58岁,主因"双侧季肋部疼痛伴活动后气短1个月"于2015年12月8日入院。1个月前患者无明显诱因出现双侧季肋部疼痛,深吸气加重,上2层楼后出现呼吸困难,无发热、咳嗽。外院行胸部CT提示"双肺炎性实变,左下叶局限性肺不张,右侧少量胸腔积液,心包少量积液"(图1),予静脉应用莫西沙星8 d,患者自觉症状无改善,并出现双肩和双下肢酸痛,双足背皮肤麻木。7 d前于我院就诊,心电图V4~V6导联ST段压低,Ⅰ、Ⅱ、V4~V6导联T波倒置(图2)。肌酸激酶同工酶MB (CK-MB) 31 U/L,肌钙蛋白T 1.4 μg/L,N末端B型利钠肽原(NT-proBNP) 4 399 ng/L。以"心力衰竭、急性非ST段抬高型心肌梗死(NSTEMI)"收入我科。自发病以来,患者神清,家属觉患者言语减少,反应迟钝,夜间睡眠较差,大小便无明显改变,体重近1个月下降5 kg。既往史:过敏性鼻炎病史13年,3年前开始规律应用丙酸氟替卡松喷雾剂,控制稳定。支气管哮喘13年,3年前开始应用沙美特罗替卡松,控制稳定。高血压病史15年,2型糖尿病史10余年,吸烟30年,25支/d,已戒11年,无饮酒嗜好。否认家族性遗传病史。入院查体:体温36.8 ℃,脉搏90次/min,呼吸16次/min,血压102/70 mmHg(1 mmHg=0.133 kPa)。神清,对答反应迟钝,计算力、近记忆力差。右肩胛下角线第9肋间以下叩诊浊音,听诊呼吸音减低,双下肺闻及吸气相湿啰音,无胸膜摩擦音。心界向左扩大,心率90次/min,律齐,心音有力,A2>P2,未闻及杂音,无心包摩擦音。腹部查体未见异常,双下肢胫前可凹性水肿。四肢肌力Ⅴ级,左小腿针刺感稍差。血常规示白细胞计数11.8×109 /L,血红蛋白130 g/L,血小板计数251×109 /L,嗜酸性粒细胞42.4%明显升高。尿常规示尿蛋白(1+),未见镜下血尿。




患者心力衰竭诊断明确,给予托拉塞米10~20 mg/d口服,呼吸困难症状缓解,下肢水肿消退,NT-proBNP降至2 592 ng/L。入院后CK-MB及肌钙蛋白T轻度升高,但下降缓慢,不符合急性心肌梗死心脏标志物的演变规律,且多次复查心电图无明显动态变化。完善冠状动脉造影可见左冠状动脉前降支近中段内膜不光滑,其余分支正常,因此可排除NSTEMI。考虑患者的胸痛与胸膜炎有关,结合其存在肺部、神经、肾脏等多系统受累,血嗜酸性粒细胞明显升高,考虑患者心脏损害为系统性疾病的心脏表现。
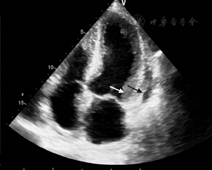
进一步完善检查,血沉81 mm/h,C反应蛋白92.3 mg/L (正常值<8.0 mg/L)。免疫球蛋白七项:IGA 5.5 g/L(正常值0.7~3.8 g/L),IGE 770.6 g/L (正常值<100 g/L),IGG、IGM、总补体、补体C3和补体C4正常。髓过氧化物酶抗中性粒细胞胞质抗体(MPO-ANCA)、丝氨酸蛋白酶3抗中性粒细胞胞质抗体(PR3-ANCA)、抗核抗体、抗ENA抗体谱、抗dsDNA抗体和抗脑组织抗体均为阴性。便常规、肝功能、肾功能、甲状腺功能、凝血功能均未见异常。超声心动图示心内膜略增厚,左心室内血栓前状态[1],左心房增大,室间隔增厚(12.2 mm),左心室舒张功能减退,左心室射血分数(LVEF) 55%,心包积液(少量)伴纤维素渗出(图3)。支气管肺泡灌洗液的细胞中嗜酸粒细胞占97%,提示存在肺部嗜酸性粒细胞浸润。复查胸部CT较1个月前无明显变化。颅脑磁共振成像示双侧半卵圆中心、右侧侧脑室后角见斑点状高信号影。肌电图示右腓总神经复合肌肉动作电位(compound muscle action point,CMAP)未测出,左腓总神经、双胫神经远段CMAP波幅下降,左三角肌、双股四头肌示肌源性损害,提示患者存在神经及肌肉损害。肌肉、神经、皮肤活检病理示左腓肠肌中度肌源性损害,左腓总神经损害以髓鞘改变为主,筋膜及皮肤可见间质小血管壁炎症细胞浸润,以淋巴细胞为主,偶见嗜酸性粒细胞。骨髓穿刺示嗜酸粒细胞增多,较成熟。基因分型未见FIP1L1-PDGFRα融合基因。荧光染色体原位杂交未发现FIP1L1/PDGFRα融合基因、未发现PDGFRB基因重排。


根据1990年美国风湿病协会Churg-Strauss综合征的诊断标准[2],该例患者最终诊断为嗜酸性肉芽肿性多血管炎。受累系统包括心脏(嗜酸性粒细胞浸润导致的心肌炎、心内膜受累导致左心室血栓前状态、心包炎)、呼吸系统、中枢和外周神经系统、肾脏。予静脉应用甲泼尼松龙200 mg 3 d、80 mg 3 d,后改口服56 mg/d (0.8 kg·mg-1·d-1);环磷酰胺0.1 g口服,隔日1次。由于患者左心室存在血栓前状态,给予低分子肝素过渡到华法林抗凝。治疗6 d后复查血常规,嗜酸粒细胞百分数降至0.01%。随访6个月患者临床症状缓解,复查心电图示V4~V6导联ST压低程度减轻,Ⅰ、Ⅱ、V4~V6导联T波低平。超声心动图示心内膜增厚及左心室血栓前状态消失,三尖瓣反流(轻度),左心室舒张功能减退,左心房压升高,LVEF为71%。
EGPA曾被称为变应性肉芽肿性血管炎、Churg-Strauss综合征[3],是一种坏死性系统性血管炎,以哮喘、高嗜酸粒细胞血症及血管周围嗜酸粒细胞性肉芽肿为特征[4]。该病临床上少见[4,5]。
EGPA临床上分为3个阶段:(1)前驱期:主要表现为过敏性哮喘或过敏性鼻窦炎,可持续数年不等;(2)嗜酸性粒细胞浸润期:器官或系统的组织中嗜酸性粒细胞浸润及肉芽肿形成,可以有肺部、心脏和胃肠道等受累;(3)血管炎期:表现为发热、体重下降等全身症状,神经、肾脏和皮肤受累等。从第1阶段到第3阶段一般需要3~7年,可重叠存在并非均经历上述3个阶段,也不一定按顺序连贯发生[5]。该患者13年前诊断为过敏性鼻炎及支气管哮喘等前驱症状,近期出现全身多系统受累。
有心脏受累临床表现的患者约占到嗜酸性肉芽肿性多血管炎的27%~47%,而存在心电图和超声心动图异常的患者达到62%[6]。心脏受累是EGPA患者死亡及预后较差的主要原因[7]。EGPA心脏受累可表现为心内膜炎、心包积液、心律失常、收缩性心力衰竭[5],也可引起冠状动脉血管炎导致心肌梗死等[8]。本例患者心电图多导联ST段压低、T波倒置,心脏标记物轻度升高,类似NSTEMI,但入院后多次行心电图未见明显动态演变,心脏标记物轻度升高,但下降缓慢,符合急性心肌炎的心脏标记物的变化特点,与急性心肌梗死的表现不同,并经冠状动脉造影除外了冠状动脉严重狭窄所致。虽然没有心肌活检的证据,但推测患者存在嗜酸粒细胞性心肌炎,而并非EGPA引起的冠状动脉血管炎。除心肌受累外,入院后该患者超声心动图发现心内膜增厚,左心室内血栓前状态,心包积液(少量)伴纤维素渗出,提示还存在心内膜和心包受累。
该患者MPO-ANCA、PR3-ANCA均为阴性。EGPA患者中约30%为ANCA阳性,且间接免疫萤光法多为髓过氧化物酶(MPO)阳性[9]。有学者认为可以根据ANCA存在与否,将EGPA分为不同亚型,其临床表现和病理改变有所差异,ANCA阳性的患者肾小球肾炎、神经炎等小血管炎的表现更为多见,而心脏受累相对少见[9]。
EGPA的预后及治疗主要参考法国血管炎研究组织5因素评分(five-factor score,FFS):(1)尿蛋白>1 g/d,(2)肾功能不全,(3)心肌病,(4)消化道受累,(5)中枢神经系统受累。研究显示,FFS=0分的患者1年及5年生存率分别为100%及97%[10],FFS>1分的患者5年及10年的生存率分别为97%和89%[11]。因此,对于FFS≥1分的患者通常建议糖皮质激素联合免疫抑制剂治疗,对于FFS=0分的患者建议单独使用糖皮质激素。本例患者明确有心肌受累的表现,同时中枢神经系统受累,故FFS= 2分,应用激素联合免疫抑制剂治疗。
总之,EGPA是一种少见病,对于心脏损害、嗜酸性粒细胞明显升高合并多系统受累的患者,应考虑EGPA的可能。





















