
该文报道急性ST段抬高型心肌梗死并发急性肺栓塞患者2例,分析其临床特点及诊治经过,并结合国内外文献,探讨两种高危血栓性疾病并存的机制。急性ST段抬高型心肌梗死和急性肺栓塞可能互为因果或合并存在,并非罕见,需要在临床工作中仔细甄别,防止漏诊和误诊。
版权归中华医学会所有。
未经授权,不得转载、摘编本刊文章,不得使用本刊的版式设计。
除非特别声明,本刊刊出的所有文章不代表中华医学会和本刊编委会的观点。
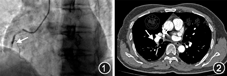
病例1 患者男,63岁,因"胸痛2 h",于2018年1月19日入院。既往无特殊病史。入院体格检查:血压143/70 mmHg(1 mmHg=0.133 kPa),呼吸24次/min,神志清楚;口唇无紫绀,颈静脉无怒张;肺部未闻及啰音;心率60次/min,心律整齐,各瓣膜听诊区未闻及杂音;腹部平软;下肢无水肿。心电图示下壁急性ST段抬高型心肌梗死。心肌肌钙蛋白I 12.000 μg/L,D-二聚体0.32 mg/L,纤维蛋白原3.26 g/L,N末端B型利钠肽原<70 ng/L。冠状动脉造影示:左前降支近段狭窄90%,血流分级为心肌梗死溶栓试验(thrombolysis in myocardial infarction,TIMI)3级;右冠状动脉第一转折处完全闭塞,血流分级为TIMI 0级(图1)。在右冠状动脉闭塞处行血栓抽吸,并置入药物洗脱支架1枚。术前予负荷剂量抗血小板治疗(替格瑞洛180 mg、阿司匹林300 mg),术中静脉推注普通肝素6 000 U,血栓抽吸过程中冠状动脉内先后分次推入替罗非班25 ml,术后常规冠心病二级预防(阿司匹林100 mg,氯吡格雷75 mg,阿托伐他汀20 mg,均每天1次)。患者入院当天大便常规潜血试验(+),考虑合并消化道出血,未使用低分子量肝素。术后患者胸痛症状缓解。次日超声心动图检查示各腔室内径及室壁运动基本正常,左心室射血分数为59%。术后第5天患者突感气短、乏力。心肌肌钙蛋白I为0.310 μg/L,D-二聚体为4.57 mg/L,纤维蛋白原为4.59 g/L。复查心电图未见明显动态变化。下肢血管彩超示双下肢动脉粥样硬化和多发斑块形成,左侧大隐静脉曲张。肺动脉CT血管成像检查示肺动脉主干直径为24 mm,右下肺动脉部分分支充盈缺损(图2),右心径线基本正常,考虑急性肺栓塞。立即皮下注射低分子量肝素4 000 U,每天2次。次日复查凝血功能示D-二聚体为2.86mg/L,纤维蛋白原为3.72 g/L。连续抗凝治疗7 d后,患者症状好转,复查D-二聚体为0.75 mg/L,纤维蛋白原为3.98 g/L,予出院。出院3个月后,复查肺动脉CT血管成像检查示血栓完全消散。


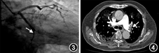
病例2患者男,72岁,因"突发胸痛6 h",于2016年12月29日入院。既往有持续性心房颤动和消化道出血病史。入院体格检查:血压120/80 mmHg,呼吸22次/min,神志清楚;口唇无紫绀,颈静脉无怒张;双侧肺底可闻及少许湿性啰音;心率70次/min,心律绝对不齐,心音强弱不等,各瓣膜听诊区未闻及杂音;腹部平软;下肢无水肿。心电图示下壁和正后壁急性ST段抬高型心肌梗死,心房颤动。心肌肌钙蛋白I为22.000 μg/L,D-二聚体为0.68 mg/L,纤维蛋白原为2.78 g/L,N末端B型利钠肽原为1 880 ng/L。冠状动脉造影检查示左回旋支远端自第二钝缘支发出后完全闭塞,血流分级为TIMI 0级(图3)。行血栓抽吸后,置入药物洗脱支架1枚。术前予负荷剂量双联抗血小板药物治疗(氯吡格雷600 mg、阿司匹林300 mg),造影前静脉推注普通肝素5 000 U,术中经血栓抽吸导管冠状动脉内推注替罗非班20 ml,术后常规冠心病二级预防(氯吡格雷75 mg、瑞托伐他汀20 mg,均每天1次)。患者入院当日大便常规潜血试验(+),考虑合并消化道出血,未使用阿司匹林和低分子量肝素。嘱患者卧床休息,适当床上活动,术后当天患者胸痛缓解。次日超声心动图示左心室射血分数为42%,左心房扩大(内径46 mm),下壁运动幅度减低,二尖瓣、三尖瓣和主动脉瓣均为中度反流。术后第4天复查心肌肌钙蛋白I为0.63 μg/L,D-二聚体为1.09 mg/L,纤维蛋白原为4.13 g/L,N末端B型利钠肽原为4 810 ng/L。术后第10天,患者病情稳定出院。出院后第2天,患者活动时出现气短,伴咯血,再次住院。复查心肌肌钙蛋白I为0.097 μg/L,D-二聚体最高为11.28 mg/L,纤维蛋白原最高为4.72 g/L,N末端B型利钠肽原最高为9 910 ng/L,炎症标志物(降钙素原和超敏C反应蛋白)轻度升高,大便常规潜血试验(++++)。床旁超声心动图检查示三尖瓣和二尖瓣中度反流,重度肺动脉高压(78 mmHg),左心扩大(左心房内径44 mm,左心室内径55 mm),左心室下壁和侧壁运动幅度减低,左心室射血分数为45%。患者诊断为下壁和后壁急性心肌梗死、慢性心力衰竭、心房颤动、社区获得性肺炎和消化道出血,予抗感染、抗心力衰竭、抑酸和护胃等治疗,并嘱患者卧床休息,暂禁食。治疗20 d后效果不理想,遂行上下肢血管彩超检查,示双侧股静脉血流瘀缓,管腔内可见云雾状自发显影,双侧肱静脉和左侧头静脉血流瘀缓。肺动脉CT血管成像检查示左肺动脉主干、多分支和右肺动脉多分支可见充盈缺损(图4),慢性支气管炎并肺部感染,右肺实变。患者诊断为急性肺栓塞,立即皮下注射低分子量肝素4 000 U,每天2次;华法林3 mg,每天1次。患者抗凝治疗后第3天复查D-二聚体为4.45mg/L,纤维蛋白原为3.13 g/L,国际标准化比值(international normalized ratio,INR)为6.77,遂停用低分子量肝素,调整华法林剂量。患者逐渐好转,并在病情稳定后出院。患者出院后继续口服华法林抗凝。出院后第10天患者D-二聚体为1.42 mg/L,纤维蛋白原为3.72 g/L,INR为1.82。同时,肺动脉CT血管成像示原左肺动脉主干及分支内血栓较前明显缩小,部分消失,右肺动脉及分支内未见明显充盈缺损。


急性心肌梗死和肺栓塞均是常见的致死性疾病,但是急性ST段抬高型心肌梗死合并急性肺栓塞病例鲜有报道。以心肌梗死死亡原因为主要研究目的的尸检报告显示,肺栓塞为死亡原因的比率为9.8%[1],说明临床实践中肺栓塞的漏诊率较高。肺栓塞是深静脉血栓形成的危重类型,好发于高凝状态人群,绝大多数栓子来源于下肢静脉,但也可起源于右心室梗死后形成的附壁血栓。当前壁急性心肌梗死较严重,发生透壁坏死并损伤右心室间隔面时,可形成右心室附壁血栓,并导致肺栓塞。本报道中2例患者虽然均为下壁急性ST段抬高型心肌梗死,但均未合并右心室心肌梗死,因此由于右心室附壁血栓脱落导致肺栓塞的可能性较小。除了发生在右心室的附壁血栓以外,还可能由于心肌梗死患者合并心功能衰竭,需要长时间卧床休息,特别是行股动脉穿刺术的患者下肢压迫时间较长,下肢静脉血流瘀滞和血管内膜损伤引起局部血栓形成,一旦血栓脱落就会导致急性肺栓塞。本报道的第2例患者由于合并心功能衰竭、肺部感染和消化道出血等疾病,需要长时间卧床休息,导致深静脉血流瘀缓。
部分患者在发生急性心肌梗死时,肺栓塞就已经存在,当患者出现典型心肌梗死症状和心电图改变时,首先考虑急性心肌梗死,治疗无效后才注意到D-二聚体升高,卵圆孔未闭,从而考虑行肺动脉CT血管成像检查,结果发现肺栓塞。导致这类患者发生急性心肌梗死的根本原因是肺栓塞,由于肺动脉压力增高,右心负荷加重,卵圆孔开放,下肢深静脉血栓通过卵圆孔进入冠状动脉,导致矛盾栓塞。另一种肺栓塞引起的心肌梗死多为右心室非ST段抬高型心肌梗死,原因是肺动脉机械阻塞后引起右心室急性扩张,室壁张力增高,通过机械挤压作用影响右冠状动脉,或通过释放血栓素A2等缩血管物质,引起冠状动脉痉挛和心内膜下低灌注,导致心肌梗死。将肺栓塞误诊为心肌梗死的病例不在少数,患者的心电图表现为下壁ST段抬高,心肌坏死标志物增高,因此误诊为下壁急性ST段抬高型心肌梗死。一项对心电图ST段抬高肺栓塞的荟萃分析显示,前间壁导联ST段抬高的所占比例较高(V3导联占74%,V2导联占71%,V1导联占62%,V4导联占47%),下壁导联ST段抬高只占小部分(Ⅱ导联占12%,Ⅲ导联占18%,aVF导联占21%),78.9%的患者合并心肌肌钙蛋白升高,超过80%的患者右心室压力增高,50%的患者右心室扩大,20%的患者右心功能不全,双侧肺栓塞比例明显高于单侧[2]。到目前为止,急性肺栓塞患者发生心电图ST段抬高的确切机制并不明确。
易栓症是年青患者发生无动脉粥样硬化性心肌梗死的主要病因之一,患者可同时发生急性心肌梗死和肺栓塞。通过检测Leiden V因子、蛋白C、蛋白S和抗凝血酶Ⅲ,可明确有无遗传性易栓症,这类患者易反复出现肺栓塞和急性心肌梗死,需终生抗凝治疗。获得性易栓症相关疾病包括抗磷脂综合征、肿瘤、血脂异常、炎症性疾病、口服避孕药、激素替代治疗及滥用药物等,可引起凝血机制异常,并导致血栓风险增高。此外,对合并急性心肌梗死和肺栓塞的严重贫血患者的研究显示,患者维生素B12缺乏,血浆内因子抗体阳性,血清同型半胱氨酸水平明显高于正常值,因此分析高同型半胱氨酸血症是血栓事件的重要危险因素[3]。研究还表明,血清高同型半胱氨酸血症与急性肺栓塞患者早期死亡相关,是急性肺栓塞不良预后的独立危险因素[4]。
D-二聚体作为纤维蛋白(原)的降解产物,是独立于其他危险因素的动静脉血栓危险因素[5]。本报道的2例患者冠状动脉支架术后血浆D-二聚体水平没有进行性下降,反而逐渐上升,远远超过术前的检测水平,给予抗凝治疗后,该结果才逐渐恢复至正常范围。该现象提示血浆凝血状态在发生心肌梗死之后出现了新的变化,此时发生静脉栓塞的可能性较大。我们推测D-二聚体作为特异性生物学指标不仅反映体内凝血状态,而且很可能直接参与体内动静脉血栓形成的过程,从而引起血栓事件。
综上所述,急性ST段抬高型心肌梗死合并肺栓塞的可能机制如下:(1)心肌梗死后附壁血栓脱落引发肺栓塞;(2)肺栓塞时卵圆孔开放,下肢深静脉血栓脱落引起冠状动脉矛盾栓塞;(3)遗传性或获得性易栓症;(4)高同型半胱氨酸血症;(5)冠状动脉病变引起纤维蛋白原活性增强,介导炎症反应,改变血浆凝血状态;(6)D-二聚体不仅是纤溶系统激活的生物标记物,而且是动静脉血栓的独立危险因素,很可能参与了血栓的再形成过程;(7)肺栓塞后体循环低灌注、低氧血症状态、血管活性物质和炎症介质释放,容易使原有冠状动脉病变加重,导致冠状动脉痉挛和血栓形成。
急性ST段抬高型心肌梗死和肺栓塞可能互为因果或合并存在,在临床工作中应仔细甄别,避免漏诊和误诊。
所有作者均声明不存在利益冲突
伍琼等报道成功救治急性心肌梗死合并急性肺栓塞的危重患者2例,作者准确地识别掩盖在急性心肌梗死表面下的急性肺栓塞,使患者最终获得良好结局。该文提示我们,应进一步重视肺栓塞与冠心病的"近亲关系",警惕急性肺栓塞对冠心病患者的二次打击。
急性心肌梗死和急性肺栓塞所导致的心肌损伤往往有类似的临床表现,如都有胸闷和胸痛等典型症状,心电图也都有动态ST-T改变,都会伴随心肌坏死标志物升高等。临床上把急性肺栓塞误诊为非ST段抬高型急性心肌梗死,甚至紧急实施冠状动脉造影的例子并不少见。急性心肌梗死患者在住院期间,由于存在卧床、股动脉穿刺后制动和肺部感染等混杂因素,往往给鉴别诊断造成困难。
本文报道的第1例患者在冠心病介入治疗后出现突发气短,由于作者敏锐的临床思维以及对肺栓塞的警惕性,立即行肺动脉CT血管成像检查确诊为新发急性肺栓塞,并早期评估及干预,使患者获得较理想的结局。第2例患者经冠状动脉介入治疗后冠心病症状缓解,但患者术后复查D-二聚体明显较前升高,经胸超声心动图提示三尖瓣中度反流,但未引起医师足够重视,又因合并大便潜血阳性,未能在冠状动脉介入治疗后加用抗凝药物,后续反复发作急性肺栓塞而再次住院,导致救治难度升级,所幸作者团队最终仍成功捕获肺栓塞这个元凶。
针对冠状动脉严重狭窄患者,临床医师容易在介入治疗成功后放松警惕。但是,冠状动脉介入治疗仅为急性心肌梗死治疗的重要一环,而并非全部。急性心肌梗死介入治疗后应高度重视凝血状态和右心结构功能的变化,高度警惕是否合并发生急性肺栓塞,尤其需要关注存在活动性出血等抗凝禁忌的患者,或者有长期卧床、易栓症、肺部感染等导致深静脉血栓形成危险因素的患者。
冠心病与肺栓塞存在诸多共同危险因素,如易栓症、感染和炎症、高龄、肥胖、吸烟及高脂血症等。静脉血栓形成患者较正常人群更容易出现心血管事件,包括心肌梗死、缺血性卒中或心室颤动。而出血或者有出血的倾向给心肌梗死和肺栓塞治疗带来共同挑战。这些危险因素、病理生理机制及危及预后因素的重叠,提示我们要比以前更加重视肺栓塞与冠心病之间的"近亲关系",在临床以及二级预防的工作中,将二者并存的风险提升到糖尿病与冠心病并存的风险等级,积极探索冠心病和肺栓塞这两种疾病同时存在的诊断和治疗策略。目前为止,尚缺乏大规模的冠心病和肺栓塞共存的注册登记流行病学研究,更缺乏二者并存的诊断研究以及治疗策略研究。
临床医师在处理急性肺栓塞患者,特别是合并心肌坏死标志物升高的患者,需要密切检查该患者的冠状动脉和颅内动脉状态,并评估该患者心肌梗死和卒中的风险等级,从而制定兼顾动脉粥样硬化、静脉血栓以及出血风险的综合治疗方案。当然,面对急性心肌梗死或者不稳定性心绞痛患者,我们应早期识别静脉血栓形成危险因素,根据Padua评分等进行风险评估,根据不同的风险等级选择适宜的预防静脉血栓形成措施,包括药物和非药物措施;我们应密切关注患者呼吸和循环系统症状改变以及下肢周径变化,动态监测Wells评分或Geneva评分,加强检测D-二聚体和纤维蛋白原水平,关注心电图变化,采用超声心动图观察三尖瓣流速及右心室内径的动态改变。上述措施可帮助我们预防和早期发现急性肺栓塞,避免对冠心病患者造成双重打击。





















