
心脏原发性淋巴瘤是一种十分罕见的心脏肿瘤,Burkitt淋巴瘤则更为罕见。本文报道1例肿瘤弥漫累及心包和右心房并梗阻右心室流入道继发右心房、肺动脉血栓形成及三尖瓣狭窄的心脏Burkitt瘤,并结合文献对心脏淋巴瘤的临床特征与诊断等进行了分析。增强CT联合超声心动图对心脏淋巴瘤的诊断具有一定意义,可提供心脏淋巴瘤与其继发病变的有力诊断信息。
版权归中华医学会所有。
未经授权,不得转载、摘编本刊文章,不得使用本刊的版式设计。
除非特别声明,本刊刊出的所有文章不代表中华医学会和本刊编委会的观点。
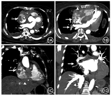
患者女性,64岁,因"反复胸闷,心悸10余天"于2018年8月28日入院。3月前因"三度房室传导阻滞"行永久性起搏器植入术,手术顺利。无吸毒史。体格检查:神志清楚,精神萎靡。颈静脉充盈,听诊两肺呼吸音减弱,未闻及干、湿性啰音。心前区无隆起,未触及震颤,心尖搏动在第五肋间左锁骨中线偏内0.5 cm处,心界略大,心率86次/min,律齐,胸骨左下缘闻及低调隆隆样舒张中晚期杂音,收缩期前增强。血压99/74 mmHg(1 mmHg=0.133 kPa)。实验室检查:D-二聚体4.43 mg/L,国际标准比值2.14,凝血酶原时间24.1 s,凝血酶原活性度60%,纤维蛋白(原)降解产物38.58 mg/L。心电图示:起搏器心律,VAT模式(超上限频率起搏器文氏方式传导);短阵房性心动过速。胸腹盆腔增强CT检查(图1)示:心影扩大,心包腔内、右心房内见多发不规则低密度肿块影,增强扫描肿块呈轻度强化。增强扫描动脉期图像显示心包内肿块包裹右冠状动脉及左冠状动脉回旋支部分节段;右心房近上腔静脉及下腔静脉入口区另见不规则无强化影;下腔静脉、肝右静脉分支内见逆流碘对比剂;右肺下叶肺动脉分支内见充盈缺损,未见明显强化。超声心动图(图2A、B)示:起搏器植入术后,右心房、左心室后壁房室沟、右心室侧壁及房室沟实性占位,伴三尖瓣机械性狭窄。临床术前诊断:右心房及心包腔多发肿瘤伴右心房血栓。于全身麻醉下建立体外循环支持,因下腔静脉解剖暴露困难,转自升主动脉、上腔静脉和右侧股静脉插管。术中探查所见:心包粘连严重,右心收缩较差,右心房为著。切开右心房可见近上腔静脉及下腔静脉入口区附着大量血栓,冠状静脉窦及三尖瓣附近见分叶状肿物突入右心房内,表面覆有炎性肉芽样组织,右房室口被肿瘤部分阻塞,三尖瓣活动受限未见受累。遂行右房肿瘤切除术+右房血栓清除术。切除右房内肿瘤及炎性肉芽样组织,清除右房内血栓。手术顺利。术后病理提示右心房肿瘤活检提示高侵袭性大B细胞淋巴瘤,符合Burkitt淋巴瘤(图2C)。免疫组织化学结果:肿瘤细胞CK(-),LCA(+),CD20(+),CD19(95%+),CD79a(+/-),CD3(T细胞+),CD10(小于5%),BCl-6(50%),MUM-1(70%),Ki-67(90%),C-MYC(60%),P53(++),BCL-2(60%),CD5(T细胞+)。肿瘤表面炎性肉芽肿样组织见大量多核巨细胞与密集的淋巴细胞浸润。术后患者接受抗凝治疗与CHOP方案(环磷酰胺+表柔比星+长春地辛+地塞米松)化疗。术后7周胸部CT显示心包内肿块较前显著缩小(图2D),症状已获得部分缓解。目前患者行周期性化疗中,一般状况良好。




心脏原发性淋巴瘤是一种十分罕见的心脏肿瘤,仅占所有心脏原发性肿瘤的1.3%,结外淋巴瘤的0.5%。其类型病理类型多属B细胞淋巴瘤亚群,最为常见的是弥漫性大B细胞淋巴瘤[1],而本例患者经免疫组化证实其为Burkitt淋巴瘤,是较为罕见的心脏原发肿瘤。肿瘤浸润所致的心包增厚或积液是心脏原发性淋巴瘤最常见的早期表现。沿心外膜表面浸润心房或心室壁也是其显著特征之一,但需与自纵隔浸润至心包、心壁的肿瘤相鉴别。进展期的心脏淋巴瘤常呈浸润性生长,边界不清。心房内占位,以右心房最常受累[2]是其典型是其较突出的表现。患者的临床表现常较不典型,肿瘤侵及心肌及传导系统,常出现房室传导阻滞,而随心腔内肿瘤体积的增大,常导致机械性梗阻、心腔内血液湍流,易造成心腔乃至肺动脉血栓形成[3]。
本例患者术前增强CT图像具有一定特征性。CT图像显示心脏病变累及范围虽较为广泛,但心包内、右心房肿块强化呈轻度均匀强化,同时可见心包内轻度强化肿块包裹右冠状动脉及左冠状动脉回旋支的部分节段,呈血管淹没征象。血管淹没征象是淋巴瘤典型的影像表现之一。超声心动图及CT图像显示右心房三尖瓣口处的肿瘤术中证实单纯机械梗阻右房室口,未累及三尖瓣。而CT图像上近腔静脉开口区的不规则无强化影,手术证实为肿瘤导致的心房机械性梗阻而形成的附着于心房壁的血栓。本例肺动脉栓塞的栓子在增强CT上无明显强化,而瘤栓常出现不同程度强化,由此推测患者肺动脉内栓子更可能是脱落自右心房的单纯血栓。增强扫描动脉期碘对比剂逆流至下腔静脉、肝右静脉分支,Roth等[4]称此为"分支静脉对比剂淤积征",是心脏骤然停搏的CT增强表现[5],为右心房占位引起的右心房高压、右心房泵血功能不足所致。本病需与心脏血管肉瘤进行鉴别。心脏血管肉瘤通常比淋巴瘤更具侵袭性,累及心脏更大的范围,甚至穿透瓣膜、侵犯血管,同时在增强CT上趋向于显著强化,并常伴有坏死。
心脏原发性淋巴瘤通常预后不良,中位生存时间约12个月[6],诊断延误是一主要影响预后的因素。鉴于肿瘤的迅速进展和严重的器官浸润,心脏淋巴瘤甚至被认为是一种急性肿瘤。本例患者通过临床症状及影像表现明确心包腔、右心房肿瘤伴右心房、右肺动脉血栓形成的诊断后,积极进行了右心房血栓清除与减瘤手术,解除了右心房梗阻。术后患者接受抗凝治疗及化疗,患者临床症状缓解,凝血功能恢复正常,心包内肿块亦见显著缩小,目前仍在随访中。
所有作者均声明不存在利益冲突





















