
版权归中华医学会所有。
未经授权,不得转载、摘编本刊文章,不得使用本刊的版式设计。
除非特别声明,本刊刊出的所有文章不代表中华医学会和本刊编委会的观点。
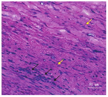
患者男,22岁,主因"突发前胸、后背疼痛2 h"于2019年3月24日入我院血管外科。患者3年前因下腹部剧烈疼痛、突发昏厥于我院就诊,超声提示腹主动脉瘤,腹腔穿刺可穿出不凝血。胸腹主动脉CT血管成像(CT angiography,CTA)提示腹主动脉瘤破裂出血,腹腔积血,腹主动脉直径最大为75 mm(图1A)。患者有吸烟史5年,20支/d,偶有饮酒。家族中其母患马方综合征(Marfan syndrome,MFS),已病故。入院诊断为马方综合征,急诊行"腹主动脉+左侧髂动脉置换术",术后恢复良好出院。今患者于2 h前突发前胸、后背疼痛再次入院。入院体格检查:体型瘦长,四肢、手足细长,蜘蛛指趾,高度近视腹肌紧张,呈板状腹。入院辅助检查:胸腹主动脉CTA(图1B)示:急性主动脉夹层(Stanford A型),破口位于主动脉根部,升主动脉夹层累及整个主动脉弓和降主动脉,主动脉弓部瘤样扩张,且在既往腹主动脉瘤手术部位旁,即肾动脉分支处形成大动脉瘤。超声心动图示:心包腔内可见细线样液性暗区,较厚处约0.4 cm。诊断:急性A型主动脉夹层。急诊行"升主动脉置换+主动脉弓置换+象鼻支架术+腹主动脉置换术"。术后病理(图2):动脉壁标本HE染色显示中膜变性,大量炎细胞浸润,平滑肌细胞增殖,形成较大间隙。术后积极给予输血、补液、抗炎、抑酸、营养心肌等对症支持治疗。但患者终因继发严重感染、多器官功能障碍于2019年3月27日院内死亡。




MFS是一种少见的常染色体显性遗传性疾病,也称为先天性中胚层发育不良、蜘蛛指征、肢体细长症,发病呈家族性,通常累及骨骼、心血管及眼等多个系统,主要表现为瘦长体型,蜘蛛样指(趾),漏斗胸,脊柱侧弯或后突,高度近视,视网膜剥离,晶状体脱位或半脱位等。70%的MFS患者有主动脉根部和升主动脉扩张,部分伴有主动脉瓣关闭不全或二尖瓣关闭不全[1]。但MFS表型复杂,不同表型的差异较大。本例患者为青少年,仅表现为体型瘦长,蜘蛛指趾,高度近视,但并没有胸廓畸形、脊柱侧凸、晶状体脱位等体征。
本例患者以腹主动脉瘤破裂为首发症状,3年后出现升主动脉及降主动脉夹层破裂和腹主动脉瘤。一般认为腹主动脉瘤是MFS的罕见症状[2,3,4,5],多发生于青少年,文献报道多为个案。Niinami等[2]报道了101例接受外科手术干预的MFS患者,其中只有3例以腹主动脉瘤为首发症状。发生腹主动脉瘤破裂者,病情凶险、进展迅速、死亡率高[3]。然而鉴于其发病率低,目前尚未将腹主动脉瘤筛查列入MFS患者的常规检查项目。Hagerty等[4]通过对12例MFS腹主动脉瘤患者研究,建议对既往有主动脉根部置换史的MFS患者进行腹主动脉瘤发病风险的评估,特别是当患者存在降主动脉或分支血管动脉瘤。
本病例术后再发升主动脉及降主动脉夹层的具体原因尚未明确,不排除因腹主动脉置换术后血流动力学发生改变,加剧疾病进程。另外,由于MFS是全身性动脉中层病变,因动脉壁缺乏弹性纤维导致脆性增加,甚至出现囊性中层坏死[3],也可能引起其他部位发生动脉瘤或夹层。此外,研究表明MFS主动脉再次发生病变的影响因素包括初次手术已存在的急性或慢性夹层、第1次手术后有高血压、吸烟史[6]。本例患者有吸烟史,且第1次手术时慢性夹层就已存在,增加了再发主动脉病变的风险。
临床诊治实践表明,心血管病变是MFS的主要死因[7,8],主要因升主动脉瘤破裂、心包填塞、主动脉瓣关闭不全导致的心力衰竭或心肌缺血。因此,对MFS患者进行定期检查与随访对于延长生命、提高生活质量非常重要[1,5,7]。孙磊等[1]通过对1例主动脉扩张术后7年再发主动脉夹层的MFS患者进行长达15年的随访,根据病变情况、术后定期随访情况,分期行全主动脉置换术,获得了良好的效果。
综上,以腹主动脉瘤破裂为首发症状的MFS病情凶险,且术后仍有可能在主动脉其他部分发生动脉瘤或夹层。长期密切的临床和影像学随访,监测主动脉病变的进展十分重要。
所有作者均声明不存在利益冲突





















