
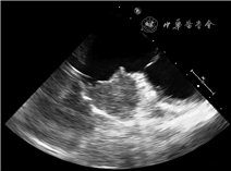
该文报道一例原发性心脏血管肉瘤行手术切除的患者。患者女,26岁,间断胸闷、胸痛,伴乏力、口唇紫绀、恶心呕吐,后出现右上腹疼痛伴右侧肩部疼痛。行超声心动图检查示右心房近上腔静脉侧可及范围约3.9 cm×1.9 cm低回声光团附着,形态不规则,边界较清。心包腔内可探及中量液性暗区。常规病理检查示血管源性肉瘤,符合分化较好血管肉瘤。后手术切除肿瘤,术后随访9个月,复查超声心动图未见肿瘤复发。
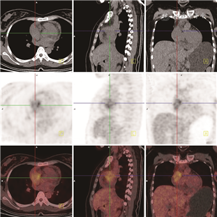
患者女,26岁,主因“间断胸痛、胸闷、呼吸困难40余天”于2019年10月22日入院。患者40余天前出现间断胸痛、胸闷、呼吸困难症状,伴乏力、口唇紫绀、恶心呕吐,呕吐物为胃内容物,后出现右上腹疼痛伴右侧肩部疼痛。否认高血压及其他心脏病史,无家族遗传病史。入院体格检查:血压95/52 mmHg(1 mmHg=0.133 kPa),心率108次/min,律齐,肝颈静脉回流征阴性,双肺呼吸音低,各瓣膜区未闻及杂音。PET-CT(图1):右心房区见放射性浓聚灶,最大标准摄取值(SUVmax)约7.1,大小约4.1 cm×2.2 cm,心包见液性密度影,其余各系统未见浓聚灶。超声心动图:右心房近上腔静脉侧可探及范围约3.9 cm×1.9 cm低回声光团附着,形态规则,边界欠清,心包腔内可探及中量液性暗区。术前经食道超声心动图再次确认为右心房占位性病变(图2)。




2019年11月16日在体外循环下对患者行“右心房占位清除术+右心房重建术”。打开心包可见中量血性心包积液(图3A),直视下右心房前外侧壁可见约4.0 cm×2.5 cm占位性病变,质地较硬,上界临近上腔静脉入口,下界临近三尖瓣瓣环,左界临近房室沟,病变范围较局限,未侵犯周围重要结构(图3B)。术中切开右心房,手术完整切除肿瘤累及的心房壁及右心耳,剪取适当大小牛心包,4-0 prolene线连续缝合修补心房壁(图3C、D)。肿物肉眼观:灰红色椭圆形组织1块,大小约为6.0 cm×3.0 cm×2.5 cm,上附有包膜(图3E)。纵切肿物,可发现肿物中心为灰红色质软组织,有类似血管结构的解剖区域。常规组织病理(图4):血管源性肿瘤,符合高分化血管肉瘤。免疫组织化学:AE1/AE3(-),F-Ⅷ(+),ERG(+),CD34(+),HHV-8(-),Ki-67(40%+)。患者原发性心脏血管肉瘤诊断明确,术后随访9个月,复查超声心动图未见肿瘤复发。


心脏肿瘤较为少见,转移性肿瘤较原发性多见,原发性心脏肿瘤尸检发生率为0.001%~0.030%,且多数为良性,约1/4为恶性,在心脏原发恶性肿瘤中,肉瘤占95%,且显示出不同的组织学亚型[1]。最常见的类型是血管肉瘤、未分化肉瘤和未分化多形性肉瘤频率分别为37%、24%和11%~24%[1]。原发性心脏血管肉瘤好发于30~50岁,男女比例2∶1,多位于右心房[2],47%~89%的患者发生转移,常见转移部位是肺部,其次是脑、骨和结肠[3]。原发性心脏血管肉瘤在组织学上大致分3种区域类型,即血管通道的解剖区域、坚实的高级上皮样区域和 kaposi纺锤状细胞区域[4]。原发性心脏血管肉瘤早期症状不明显,晚期则出现非特异性症状,包括胸痛、呼吸急促、身体不适、发烧等[5]。有文献报道其最常见的症状是呼吸困难[4],此外其常累及心包和邻近结构(腔静脉和三尖瓣),所以心力衰竭、心脏压塞和心包积液是常见并发症[5, 6]。更具体的症状常出现于疾病的晚期,且取决于肿瘤对心肌及邻近组织的浸润程度[7]。原发性心脏血管肉瘤早期诊断困难,超声心动图是鉴别心脏肿瘤最重要的工具,经胸超声心动图可发现肿瘤的位置、形状、大小、附着和活动性,经食道超声心动图可提供有关肿瘤插入点的信息[8],有报道称经食道超声心动图在检测心脏肿块方面敏感度可达97%[9],CT则能更好地了解心脏肿瘤的解剖结构并检查全身转移情况[10]。我们认为,PET-CT有助于观察肿瘤的转移和扩散情况,对治疗方案的选择具有重要的指导意义,同时年龄大于50岁的患者应行冠状动脉造影评估冠状动脉情况。
关于原发性心脏血管肉瘤的文献多是基于临床病例的单一研究,因此治疗尚未标准化[6]。手术切除作为主要的治疗方式已被普遍接受,其可提供明确的组织学诊断,缓解严重的机械性梗阻,在病变局限的情况下,手术为姑息治疗和潜在治愈提供了机会[3,8]。手术治疗的患者术后生存期为2~55个月,中位生存期为14个月[11],而未行手术治疗的患者生存期仅为(3.8±2.5)个月[3,12]。此外积极的放化疗有助于减少肿瘤的大小,抑制肿瘤转移[11]。有文献报道了一例手术、放疗和化疗组合治疗的原发性心脏血管肉瘤患者,其生存了3年[8]。
本例患者为原发性右心房血管肉瘤,行超声心动图、CT、PET-CT等相关检查后首选了手术治疗,术中食道超声再次确定肿瘤大小及部位,完整切除肿瘤组织,经常规病理、免疫组织化学检查后确诊为心脏血管肉瘤。术后请相关科室会诊,认为该患者肿瘤分化较好且病变局限,暂不进行放化疗,需定期复查,制定进一步治疗方案。随访9个月,复查未见肿瘤复发。我们认为原发性心脏血管肉瘤患者的预后与手术、是否转移等有关,虽然该患者肿瘤未侵犯周围重要组织,为手术的切除创造了好的条件,且其余各系统未见转移。但心脏血管肉瘤恶性度高,易复发、预后差,需继续随访,定期复查,密切观察病情变化。
所有作者均声明不存在利益冲突





















