
患者男,68岁,主因“胸痛、后背痛1 d”入院,完善检查后考虑特发性嗜酸性粒细胞增多症,Löeffler心内膜炎,并给予相关治疗后好转出院。出院后随访9个月,患者心功能明显改善。该患者静脉给予甲基泼尼龙对症治疗及沙库巴曲缬沙坦抑制心室重构治疗,一方面及时阻止了心肌损伤进展,另一方面实现了左心室的反向重构。此类疾病目前仍缺乏标准治疗,该病例的治疗过程供临床参考。
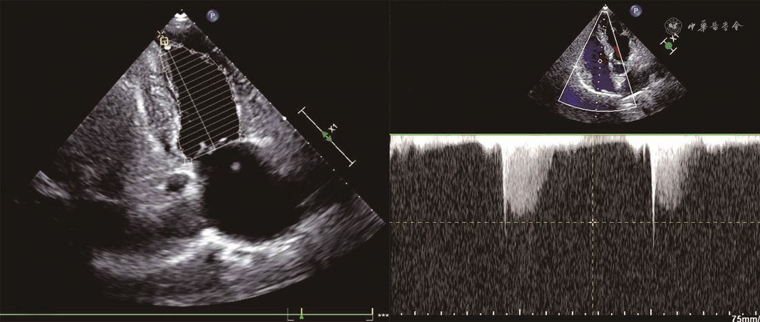
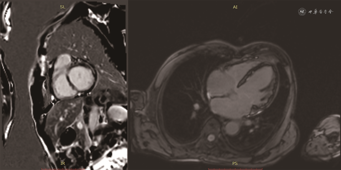
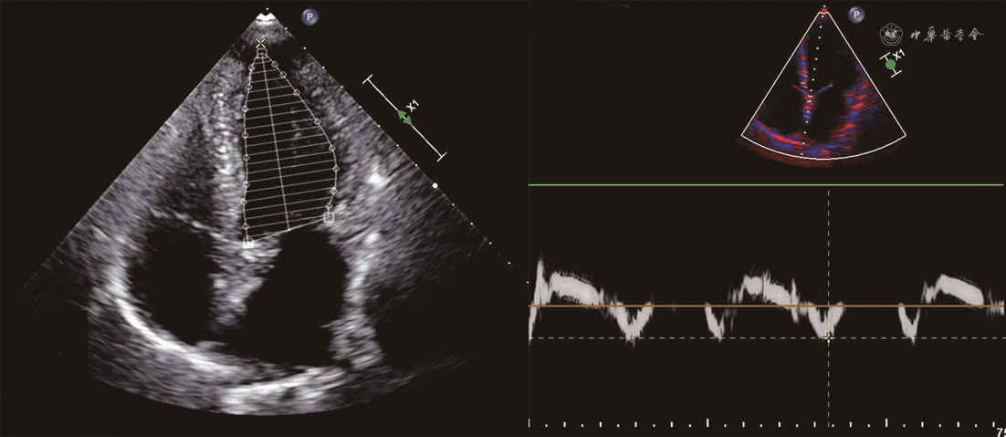
患者男,68岁,主因“胸痛、后背痛1 d”于2019年12月25日入院。患者有支气管哮喘病史,长期口服孟鲁司特。否认系统病史,否认食物、药物过敏史。无疫水、疫区接触史,无寄生虫接触史。入院体格检查:体温36.2 ℃,脉搏71次/min,呼吸25次/min,血压85/45 mmHg(1 mmHg=0.133 kPa)。神清语利,查体合作。浅表淋巴结未触及肿大。双肺呼吸音粗,可闻及肺底湿性啰音。心脏律齐,各瓣膜未闻及明显病理性杂音。腹软,无压痛及反跳痛。双下肢无水肿。血常规:白细胞计数22.39×109/L,嗜酸性粒细胞绝对值16.71×109/L[参考值(0.05~0.50)×109/L]。血浆D-二聚体1 027 μg/L(参考值<500 μg/L),肌钙蛋白T 2.950 μg/L,N末端B型利钠肽原9 949 ng/L(参考值0~1 800 ng/L),C反应蛋白1.32 mg/dl,免疫球蛋白E 421 IU/ml。心电图:窦律,完全性右束支传导阻滞。超声心动图:左心室舒张末期内径(LVEDD)58 mm,左心室收缩末期内径(LVESD)42 mm,左心房前后径43 mm,右心房左右径44 mm,左心室壁节段性运动异常,二尖瓣、三尖瓣中重度反流,下腔静脉内径增宽,左心室射血分数(LVEF)为43%,肺动脉收缩压70 mmHg(图1)。冠状动脉CT血管造影(CTA):冠状动脉呈右优势型,左、右冠状动脉未见有意义狭窄。给予补液、多巴胺、甲基泼尼龙静脉滴注以及口服甲泼尼龙等对症治疗,血压可维持在90/60 mmHg左右。2020年1月5日复查超声心动图:下腔静脉增宽,左心室壁运动普遍减弱,左心室收缩、舒张功能下降,二尖瓣轻度反流,主动脉瓣、三尖瓣轻度反流,心包积液(少量),肺动脉收缩压45 mmHg。骨髓(胸骨、髂骨)细胞学检查:粒细胞系统、红细胞系统、巨细胞系统三系增生,骨髓嗜酸性粒细胞增多。骨髓病理:骨髓增生低下,粒细胞与红细胞比例略增高,偏成熟为主,巨核细胞数量正常,形态未见特殊,可见散在嗜酸性粒细胞,稍多。基因检查报告:未检测到FIP1L1/PDGFRα融合基因,未检测到PDGFRβ、PGFR1、TEL-ABL1基因重排,未检测到JAK2基因分离重排。患者症状好转,生命体征平稳出院。出院诊断:特发性嗜酸性粒细胞增多症,Löeffler心内膜炎,心律失常(完全性右束支传导阻滞),纽约心脏协会(NYHA)心功能Ⅱ级、肺动脉高压、支气管哮喘。出院后口服甲泼尼龙片半年。出院后5个月随访,患者血常规正常,2020年5月28日复查超声心动图示LVEDD 57 mm、LVESD 42 mm、左心房前后径35 mm、右心房左右径41 mm、左心室壁节段性运动异常、二尖瓣和三尖瓣轻中度反流、LVEF为54%、肺动脉收缩压30 mmHg(图2)。2020年6月12日完善心脏磁共振检查,可见心脏饱满,左心室游离壁心肌变薄,以乳头肌至心尖水平外侧壁为著,右心室心肌形态未见明确异常,左、右心室收缩及舒张功能未见明确异常。钆对比剂延迟强化(LGE)见左心室心内膜区多发斑点状,二尖瓣、三尖瓣未见明显反流信号,提示左心室心肌弥漫性损伤,符合Löeffler心内膜炎表现(图3)。考虑心脏重构有加重趋势,除继续给予口服甲泼尼龙片外,加用沙库巴曲缬沙坦(ARNI)抑制心脏重构。出院后9个月(2020年9月21日)再次复查超声心动图(图4):LVEDD 50 mm,LVESD 35 mm,左心房前后径34 mm,右心房左右径37 mm,左心室壁节段性运动异常,二尖瓣、三尖瓣轻度反流,LVEF 56%,肺动脉收缩压30 mmHg。








嗜酸性粒细胞增多症可分为特发性、原发性和继发性三类。血液中嗜酸性粒细胞异常升高,在各种器官中浸润,通过脱颗粒作用产生对心脏组织有毒性的蛋白质颗粒,直接损伤心肌细胞、造成心肌细胞不可逆的损害[1]和心功能障碍[2]。其损伤形式包括急性嗜酸性粒细胞心肌炎和慢性限制性心肌病(Löeffler心内膜炎)[3]。因缺乏特征性临床表现易被误诊为急性心肌梗死、急性心肌炎等心脏急病症。Löeffler心内膜炎诊断需满足以下几点:(1)外周血嗜酸性粒细胞计数≥1.5×109/L,且持续6个月以上;(2)排除其他嗜酸性粒细胞增多的原因;(3)有心脏损害的证据,如胸痛、胸闷、呼吸困难等临床表现以及心肌损伤标志物升高等。该病在一定程度上是排他性诊断,心内膜心肌活检查是Löeffler心内膜炎诊断的金标准[4]。
Löeffler心内膜炎一般分为3个阶段[5]:(1)嗜酸性粒细胞心肌浸润导致心肌急性坏死及心内膜受损;(2)沿受损的心内膜形成血栓;(3)血栓被纤维化取代。纤维化可涉及心内膜、瓣膜和腱索,瓣膜和腱索会纤维化和增厚,影响瓣膜关闭而发生反流。因其临床表现多样,上述阶段可能重叠、跳跃,且难以明确区分。尽管心内膜活检是金标准,但由于其敏感性较低及操作风险大,对于很多患者并不适用[6]。生物标志物(肌钙蛋白、嗜酸性粒细胞)、超声心动图及心脏磁共振可提供诊断依据[7]。心脏磁共振可通过识别纤维化和血栓特征检测Löeffler的阶段。早期干预对于预防Löeffler心内膜炎的严重纤维化、永久纤维化、改善预后至关重要。治疗包括早期开始的标准心力衰竭管理[8],类固醇皮质激素有可能引起疾病实质性的逆转。此外,免疫抑制、硫唑嘌呤也有一定疗效。该疾病治疗时机非常重要,一旦延迟,5年病死率可达50%[9]。
本例患者静脉给予甲基泼尼龙对症治疗后,心肌损伤呈现可逆性的改变,超声可见LVEF改善,肺淤血减轻,二尖瓣及三尖瓣反流改善,肺动脉收缩压正常,心脏舒张功能恢复。临床指标及症状明显好转。糖皮质激素治疗对本例患者有效,及时遏制了嗜酸性粒细胞持续升高对心脏的损伤。患者心脏扩大重构时,加用ARNI实现了对心室重构的逆转。本例患者经治疗后二尖瓣、三尖瓣功能恢复,避免了行瓣膜置换术。值得思考的是,此类患者瓣膜功能恢复的可能性和置换的最佳时机,以及糖皮质激素协同ARNI在治疗心脏损伤中发挥的反向重构作用能否带给患者更多的获益。
所有作者均声明不存在利益冲突





















