
卵圆孔未闭(PFO)与隐源性卒中有明显相关性,通过介入封堵可有效预防缺血性卒中的发生,大部分PFO采用常规操作可以完成介入治疗,极少数复杂型PFO需要应用穿刺房间隔的方法。该文报道一例经食道超声心动图(TEE)证实为复杂型PFO的患者,应用心腔内超声(ICE)指导房间隔穿刺,实时监测与指导PFO封堵过程、封堵伞释放后位置及形态,通过彩色多普勒及超声造影判断有无残余分流。ICE实时指导房间隔穿刺成功,清晰监测PFO封堵伞释放过程,封堵伞对周边结构无影响,术后无残余分流。
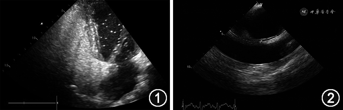
患者男,24岁,因“突发意识障碍伴肢体抽搐1个月”于2020年3月5日入院,患者1个月前在跑步训练后突发意识障碍、呼之不应,伴有肢体强制性抽搐,就诊于联勤保障部队928医院,头颅MRI、脑血管成像及脑电图检查均未见异常。既往无高血压、糖尿病、吸烟、卒中或短暂性脑缺血发作、皮层梗死病史。住院期间仍有上述症状发作,行精神心理评估未见异常,建议转上级医院治疗。入院查体:血压118/76 mmHg(1 mmHg=0.133 kPa),双肺呼吸音清,未闻及干湿性啰音。心率68次/min,律齐,各瓣膜听诊区未闻及病理性杂音,腹部平软,无压痛及反跳痛,双下肢及眼睑无水肿。该患者反常栓塞风险量表(RoPE)评分为10分,高度提示卵圆孔未闭(patent foramen ovale,PFO)。2020年3月7日在我院行经胸超声心动图(TTE)示房间隔中部柔软、菲薄,右心声学造影检查提示心房水平中大量右向左分流(right to left shunt,RLS)(图1),经食道超声心动图(TEE)显示PFO属于长隧道型,测量PFO大小约1.5 mm,长度约16.7 mm(图2)。


2020年3月8日在局麻下行心腔内超声(ICE)指导房间隔穿刺PFO封堵术。采用强生Cartosound心腔内超声导管,直径10 Fr(3.2 mm),工作长度90 cm,操作手柄具有强力微调技术,保持弯度,前(A)、后(P)、左(L)、右(R)四向160°打弯,从任意角度观察心脏内解剖结构及位置,相控阵超声探头频率4.5~11.0 MHz,将Cartosound导管通过Swifilink连接装置与西门子SC2000彩色多普勒超声诊断仪相连。穿刺右侧股静脉,置入11 F鞘管,ICE导管经右侧股静脉穿刺插管送入右心房,分别进行二维、彩色多普勒血流显像和连续多普勒检查,观察PFO的解剖形态、周边结构以及血流力学,并在二维图像上测量基础状态PFO通道的直径和长度。常规消毒、局部麻醉后穿刺右股静脉,送入动脉鞘管,将带有引导钢丝的房间隔穿刺鞘管经右股静脉穿刺送入上腔静脉,沿上腔静脉下滑至卵圆窝处,ICE导管显示“起始扇面”,顺时针旋转至左肺静脉扇面,打“P”弯至主动脉根部出现,打“R”弯显示上腔静脉,同时展示卵圆孔的整体形态,调整房间隔穿刺鞘管,并可看到“帐篷顶”。突破房间隔后,注射生理盐水左心房内可见气泡显影,确认穿刺成功。将端孔导管通过PFO经左心房送至左上肺静脉,导入0.035英寸(1英寸=2.54 cm)260 cm长加硬钢丝,送入输送鞘管(图3A),选择合适的PFO封堵器并安装至输送杆上,在ICE引导下穿过PFO进入左心房,并确保钢丝位于左上肺静脉内,将封堵器沿输送鞘管送至左心房,依次释放左心房盘面、腰部及右心房盘面(图3B),ICE实时观察封堵器形状及位置均良好(图3C),超声造影证实封堵效果满意(无RLS,二、三尖瓣未受累等),心电图监测无传导阻滞,释放封堵器。手术成功,术后给予抗血小板、抗凝治疗。术后3个月随访,复查TTE显示封堵伞位置良好,右心声学造影未见RLS。


PFO是指原发房间隔和继发房间隔之间的异常孔道,PFO在成人中的发生率约为25%[1],大部分PFO为良性,没有任何影响。但近年研究发现当慢性或短暂右心房压力升高时可推开左侧原发隔,引起RLS,而静脉系统的各类栓子或化学物质可通过PFO进入体循环,引起动脉系统的反常栓塞[2]。RoPE研究显示Rope评分>6分提示PFO相关性卒中可能性大[3],大量临床研究证实封堵PFO可降低脑血管事件,预防隐源性卒中的发生[4, 5, 6]。封堵PFO的难点在于导丝如何通过卵圆孔,如果卵圆孔结构复杂和/或开口较小,操作导丝不能穿过PFO孔道到达左心房面时,经房间隔穿刺途径输送封堵器装置成为一种技术补充,但其安全性和效果一直存在争议。目前,国内外绝大部分医院采用X线透视和/或TTE完成先天性心脏病的微创介入治疗,ICE在先心病介入术中的应用在国内少有报道。本文报道了我院诊治的一例PFO患者,TEE证实为长隧道型PFO,常规操作导丝难以通过PFO,采用ICE指导房间隔穿刺,实时监测和指导封堵PFO,为ICE在结构性心脏病患者的应用提供了临床依据。
PFO形态特征个体差异性较大,根据其结构特征可为简单型和复杂型[7, 8]。简单型PFO的特征为:长度短(<8 mm)、无房间隔瘤、无过长的下腔静脉瓣或希阿里氏网、无肥厚的继发间隔(≤6 mm)及不合并房间隔缺损,不能满足上述条件为复杂型PFO。目前,PFO的诊断主要通过TTE、TEE和对比增强经颅多普勒超声声学造影等来检查。本例PFO经声学造影证实存在中大量RLS,TEE检查进一步明确房间隔及卵圆窝的解剖特征,准确测量PFO长度为16.7 mm,属于复杂型PFO中的长隧道型。采用常规的PFO封堵操作,导丝难以通过长隧道型卵圆孔进行封堵,故用ICE指导房间隔穿刺的方法,实时监测封堵伞释放进行封堵。
目前,采用穿刺房间隔的方法来封堵PFO仍存在很大争议,一些研究认为该操作会导致术后残余分流的发生率增高,穿刺并发症的风险增加,且影响封堵术后的远期效果[9, 10]。但也有研究主张,通过房间隔穿刺方法封堵长隧道型(>8 mm)PFO可作为常规操作失败后的一种替代方法[11]。马长生等[12]报道了右前斜45°透视指引下房间隔穿刺术,使房间隔穿刺成功率提高至99.8%,心脏压塞的发生率为0.32%。虽然房间隔穿刺方法及技术有明显改进,但穿刺相关的严重并发症使临床医生存有畏惧心理,需要一种更安全有效的方法和/或设备指导临床。一项回顾性研究对747例采用ICE指导房间隔穿刺消融手术的心房颤动(简称房颤)患者进行分析,结果表明ICE能够实现零射线下房间隔穿刺手术成功率达100%,30 d内无发生与房间隔穿刺相关的并发症,且30 d内并发症的发生率为0.7%[13]。另一项基于美国医疗保险与医疗补助服务中心(CMS)数据库,关于探索心脏穿孔相关因素的研究[14],共纳入102 398例手术患者,结果发现房颤消融手术中不使用ICE进行射频消融发生心脏穿孔的风险是使用ICE的4.85倍,表明ICE在房颤消融手术中可以降低患者心脏穿孔的风险。ICE在房颤射频消融术中已广泛推广应用,但应用于结构性心脏病中仍较少。既往有研究表明,大部分PFO患者,应用对比剂和X线透视可安全成功封堵PFO,但对于PFO长度>15 mm、导丝难以通过PFO及长隧道型PFO需要房间隔穿刺的患者,应用ICE指导封堵PFO安全可行;同时,ICE可以避免全麻,与传统TEE全麻下指导封堵PFO,插管带来的不适使患者更愿意接受ICE,ICE可以清晰显示房间隔及卵圆孔的解剖结构,在安全性及准确性上优于TTE[15]。本例患者属于复杂型PFO中的长隧道型,常规操作导丝不能通过PFO,可能的原因与PFO隧道长、原发隔与继发隔缝隙细小有关,应用ICE指导穿刺房间隔进行封堵,可以清晰显示房间隔及卵圆孔的解剖结构,选择25/25 mm封堵伞封堵,实时监测封堵伞释放过程及形态,监测术后有无残余分流、心包积液等,可安全有效指导复杂型PFO的介入封堵治疗。
ICE在PFO封堵术中的应用与常规X透视相比,具有一定优势,其优势在于:(1)在零射线下操作,暴露X线的时间明显缩短,降低透视时间及透视剂量,降低患者及医护人员因X射线带来的风险;(2)实时提供更准确的房间隔及心腔内结构影像;(3)降低患者发生心脏穿孔或心脏压塞的风险,手术安全性大大提高。但也有一些缺点:(1)该器械价格昂贵,给患者带来更大的经济负担,难以常规使用;(2)对术者的操作要求较高,学习曲线相对较长。随着医学影像的发展,目前ICE在一些房颤射频消融中心广泛开展,但在结构性心脏病的应用尚需积累更多的经验及探索。本例复杂型PFO在ICE指导下直视房间隔穿刺,实时监测封堵伞释放,完成介入封堵,倡导“绿色”介入封堵理念,为ICE在PFO及其他结构性心脏病中应用提供更多参考及指导。
所有作者均声明不存在利益冲突





















