
既往左心耳内血栓是左心耳封堵的禁忌证。该文报道1例心房颤动患者,有反复脑梗死病史,合并糖尿病、肾功能不全及冠心病,心脏CT血管成像诊断左心耳血栓,因抗凝治疗不耐受,故行左心耳封堵术。术后予抗凝和/或抗血小板治疗仍反复发生器械相关血栓。提示心房颤动合并左心耳血栓患者应慎行左心耳封堵术,术后需个体化调整抗栓方案、密切随诊。
版权归中华医学会所有。
未经授权,不得转载、摘编本刊文章,不得使用本刊的版式设计。
除非特别声明,本刊刊出的所有文章不代表中华医学会和本刊编委会的观点。
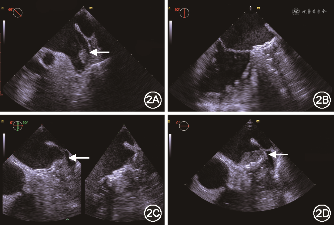
患者男,83岁,主因“反复心悸10余年,再发2 d伴头晕”于2019年8月14日入院。患者有长程持续性心房颤动(房颤)病史10余年,未曾服用抗凝药物。2019年7月7日患者因胸闷心悸伴气短就诊,心电图示房颤伴快速心室率。既往有反复脑梗死、冠心病、高血压、糖尿病、肾功能不全病史。实验室检验结果:空腹血糖9.00 mmol/L(参考值4.10~5.90 mmol/L),尿素氮13.00 mmol/L(参考值2.50~6.10 mmol/L),肌酐159 μmol/L(参考值46~92 μmol/L),N末端B型利钠肽原1 514 ng/L(参考值0~125 ng/L),甲状腺功能正常。经胸超声心动图:左心房前后径48 mm,上下径80 mm,左右径50 mm,轻度二尖瓣反流,主动脉瓣钙化伴轻度反流,左心室射血分数65%。头颅CT平扫:脑内多发腔隙性梗死(部分陈旧)及缺血灶,右侧颞枕顶软化灶;老年脑改变。心脏CT血管成像(CTA):左心耳底部局部充盈缺损,提示左心耳血栓形成(图1)。予华法林2.5 mg(每日1次)口服,调整国际标准化比值(INR)2~3。患者未定期复查INR,后因反复胸闷心悸不适,于8月14日再次入院。经食道超声心动图(TEE):左右心房血液瘀滞,左心耳更明显,并见20.0 mm×7.0 mm低回声团,无明显活动度,蒂位于心耳上壁偏前近心耳尖部(图2A)。诊断:长程持续性房颤,纽约心脏病协会(NYHA)心功能Ⅱ级,左心耳血栓,冠心病,高血压,陈旧性脑梗死,2型糖尿病,肾功能不全。CHA2DS2-VASc评分8分,HAS-BLED评分3分。




经讨论决定行左心耳封堵术。经股动脉路径将EZ血栓保护系统H74920100-1900(波科国际医疗贸易上海有限公司)送至左、右侧颈内动脉,房间隔穿刺成功后予以肝素钠监测激活凝血时间(ACT)250~350 s之间。交换送入LAmbre[先健科技(深圳)有限公司]输送外鞘及猪尾造影导管,调整至心耳开口,造影显示左心耳呈菜花形,测左心耳开口直径为30 mm,内口直径为24 mm。输送内鞘抵左心耳口部,选用LAmbre封堵器型号为LT-LAA-2832,于左心房心耳口外打开封堵器固定盘,推送至心耳内锚定,血栓随固定盘推入左心耳底部,然后回撤外鞘,在左心耳开口外打开密封盘。复查左心房造影和TEE,见封堵器位置合适,伞周上缘偏前见约2 mm残余分流;左心房及封堵伞周围未见异常回声,牵拉稳定,对周围结构无影响,缓慢释放封堵器(图2B)。术后予华法林抗凝,初始剂量为1.875 mg(每日1次),调整INR 2~3。左心耳封堵后8周复查TEE,示封堵器位置良好,伞周上缘、上缘偏前均见约1 mm残余分流,密封盘伞面上侧见18.0 mm×6.0 mm低回声团块。抗凝治疗方案改为利伐沙班联合氯吡格雷。左心耳封堵后16周再次复查TEE,示左心房内明显血流瘀滞,密封盘伞面见混合回声团块18.0 mm×2.5 mm,左心房部分稍高回声,伞面部分低回声,考虑血栓机化;密封盘上缘,上缘偏前,及后缘偏下见1.5、1、1 mm残余分流(图2C)。抗凝治疗方案改为阿司匹林联合氯比格雷,密切随诊,患者一般状况稳定。左心耳封堵后12个月复查TEE,提示封堵器位置良好,密封盘伞面9-12点范围见33.0 mm×10.0 mm低回声团块,密封盘上缘、上缘偏前见2处1 mm残余分流(图2D)。予阿司匹林(100 mg,每日1次)联合华法林(2.5 mg,每日1次)长期口服,调整INR 2~3。随诊12个月,患者生活质量可,未发生心脑血管事件。
房颤患者心房血栓最常发生于左心耳,缺血性卒中是其最常见的并发症之一[1]。诊断左心耳血栓的房颤患者,需长期使用华法林或非维生素K拮抗剂口服抗凝药(NOAC),但部分患者由于出血或其他禁忌不能长期服用。另外,长期口服抗凝药物不一定能消除左心耳血栓,且消除后可能会再次形成血栓。左心耳血栓一直是左心耳封堵治疗的禁忌证,主要是考虑到术中血栓会导致栓塞发生[2]。随着左心耳封堵器械及技术的发展,临床医生尝试将其用于房颤合并左心耳血栓患者的治疗[3]。有荟萃分析发现左心耳底部血栓行左心耳封堵安全有效,建议术中予以脑栓塞保护装置[4]。封闭左心耳深部血栓避免引起血栓脱落是手术操作的关键。LAmbre封堵器具有以下优点:(1)封堵器固定盘的设计类似冠状动脉介入支架,径向扩张释放,支撑左心耳口部以内锚定封堵;(2)封堵器密封盘可覆盖左心耳口部实现完全封堵,将左心耳内血栓完全封堵在左心耳内部。
本例的左心耳血栓位于左心耳中-尖部,适合采用左心耳封堵治疗。患者因肾功能不全,左心耳封堵术后采用华法林抗凝,术后8周见器械相关血栓形成(device-related thrombus,DRT),故强化抗栓方案(利伐沙班联合氯吡格雷),16周后复查TEE见血栓机化。患者及家属强烈要求停用抗凝药物,故谨慎改为双联抗血小板药物。术后1年复查TEE,再次出现左心耳血栓。考虑患者高龄,合并心肾功能不全,且住在养老院复查TEE存在困难,故续予华法林联合阿司匹林治疗,随诊1年无出血及缺血性卒中等并发症。
左心耳封堵术后各时期DRT形成的病例已有报道[5, 6]。一项荟萃分析发现左心耳封堵术后第1年DRT发生率为3.3%(40例),其中35例患者在抗凝治疗后复查TEE,28例血栓消失[7]。现发布的左心耳封堵共识推荐置入LAmbre后仅使用双联抗血小板药物即可,可不用华法林及NOAC抗凝[8, 9]。长程持续性房颤患者,心房肌呈不规则、无效颤动,增大的左心房内紊乱血流呈易凝状态[10],封堵术后亦然[11],术后强化抗凝可防止在密封盘面内皮化之前发生DRT。一般认为左心耳封堵术后2~3个月强化抗凝是防范DRT发生的基础,但无客观证据证明是否治疗2~3个月能保证内皮化完成[12]。目前,尚不清楚封堵伞表面内皮化后患者中远期发生DRT的情况。DRT发生后优化的抗栓方案仍在探索中。本例患者DRT机化后予双联抗血小板治疗,1年后TEE再次提示DRT发生,说明DRT机化不是停用抗凝药物的指标。我们的前期研究显示左心耳血栓患者(8例)行左心耳封堵术后3个月,DRT发生率为37.5%(3例)[13],提示对此类患者行左心耳封堵宜更加慎重。
本文报道了一例房颤合并左心耳血栓患者,经左心耳封堵术后抗凝及双联抗血小板治疗仍反复发生DRT,提示房颤伴左心耳血栓行左心耳封堵宜慎重,左心耳封堵术在此类患者中的中远期安全性和有效性有待于进一步深入研究。
所有作者声明无利益冲突





















