
原发性心脏淋巴瘤(PCL)极为罕见,仅占心脏肿瘤的1%~2%,最常见的病理类型为弥漫大B细胞淋巴瘤(DLBCL)。DLBCL多发于右心房,其次为右心室。临床表现包括心力衰竭、心包积液、上腔静脉压迫综合征、心律失常,可出现发热等全身症状。该文报道1例经静脉右心房肿瘤活检确诊原发性心脏DLBCL患者,根据病理分型,指导靶向化疗后病情完全缓解,预后良好。
版权归中华医学会所有。
未经授权,不得转载、摘编本刊文章,不得使用本刊的版式设计。
除非特别声明,本刊刊出的所有文章不代表中华医学会和本刊编委会的观点。
患者女,77岁,因“反复胸闷气喘半月余”于2020年10月18日入院。外院超声心动图发现心脏占位、中等量心包积液,转入我院心外科。病程中无发热、盗汗、消瘦,既往病史无特殊。体格检查:体温36.0 ℃,血压118/76 mmHg(1 mmHg=0.133 kPa)。浅表淋巴结未及肿大,颈静脉怒张,双肺可闻及湿啰音,心率105 次/min,律齐,肝脾肋下未触及,双下肢无水肿。
入院检查:白细胞计数8.8×109/L(参考值3.5~9.5×109/L),中性粒细胞百分比81.7%(参考值40.0%~75.0%),血红蛋白138 g/L(参考值115~150 g/L),血小板计数158×109/L(参考值125~350×109/L),肝肾功能正常,乳酸脱氢酶554 U/L(参考值109~245 U/L),糖类抗原(CA)125 156.6 U/ml(参考值0~30.2 U/ml),铁蛋白420 μg/L(参考值10~291 μg/L),β2微球蛋白4 252 μg/L(参考值651~2 295 μg/L)。心电图示窦性心动过速,肢体导联低电压。超声心动图示右心房内不规则大团块,分界欠清,累及左心房室沟(肿瘤可能),大量心包积液。正电子发射计算机断层显像(PET-CT)示左、右心房内巨大软组织肿块(约9.2 cm×5.3 cm),纵隔内、膈肌脚后间隙内及左上臂肌间隙内淋巴结氟-18-脱氧葡萄糖(18F-FDG)摄取异常增高(图1A~D)。心脏磁共振示左心房及右心房下壁、左心室侧壁、下壁基底段及中段占位,侵犯心肌、二尖瓣后叶及心包膜,考虑转移瘤或血管肉瘤可能。行心包穿刺引流、胸腔穿刺引流等缓解胸闷症状。脱落细胞学发现异型细胞,流式细胞分析示异常单克隆B淋巴细胞,考虑淋巴瘤可能。


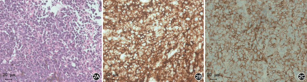
2020年11月11日行右心房占位活检术。经右颈内静脉途径,在X线透视下将7 F的钳体长度为50 cm的Jawz 2.2 mm心内膜心肌活检钳(美国Argon Medical Device公司)送至右心房中部。床边超声心动图确认活检钳头端抵住病变,张开钳瓣取出病变组织2块,置于4%甲醛溶液中固定。病理示弥漫大B细胞性淋巴瘤(DLBCL),生发中心外起源,伴CD5异常表达。免疫组织化学染色检测结果示(图2):CD20(++),CD3(-),细胞增殖核抗原Ki67(约90%+),CD99(-),CD10(-),B细胞淋巴瘤(BCL)6(弱+),多发性骨髓瘤原癌基因1(MUM-1)(+),CD5(+++),CD30(-),BCL-2(90%+++),髓细胞增生原癌基因(C-myc)(90%++)。原位杂交结果示EB病毒编码的小RNA(EBER)阴性。


患者转入血液科,骨髓活检未见异常细胞浸润。诊断为DLBCL(非生发中心型)Ⅱ期伴大包块,淋巴瘤国际预后评分3分,中高危。2020年11月23日起予2次利妥昔单抗单药治疗,2次R2方案(利妥昔单抗+来那度胺)化疗,1次R-miniCHOP方案(利妥昔单抗+环磷酰胺+多柔比星+长春地辛+泼尼松)及5次R2-miniCHOP方案(利妥昔单抗+来那度胺+环磷酰胺+多柔比星+长春地辛+泼尼松)化疗。患者呼吸困难明显好转,化疗5个月后复查PET-CT显示双侧心房内肿块消失,全身未见FDG异常高代谢灶(图1E~H)。随访至今患者状态良好,超声心动图未见心内占位。
原发性心脏淋巴瘤(primary cardiac lymphoma,PCL)罕见,占原发性心脏肿瘤的1%~2%,占结外淋巴瘤的0.5%[1, 2]。PCL最初指仅累及心脏和/或心包的非霍奇金淋巴瘤。因准确评估淋巴瘤受累部位困难,1996年诊断标准扩大至有心脏相关症状、尤其主要累及心脏或心包者,即可诊断为PCL[3]。
PCL好发于右心房,其次为右心室、左心室、左心房[3]。临床表现多样且无特异性,包括心力衰竭、心包积液、心律失常,可伴发热等全身症状。该患者表现为进行性呼吸困难及多浆膜腔积液。术前超声心动图、MRI及PET-CT等影像学均提示为恶性肿瘤,但无法确定病理类型。鉴别诊断包括心脏及心包的转移性肿瘤、原发性心脏淋巴瘤及心脏肉瘤。尽管多浆膜腔积液流式细胞分析示异常单克隆B淋巴细胞,考虑淋巴瘤可能,但其精确分型还需行免疫组织化学染色。
患者浅表淋巴结无肿大,血CA125等多个肿瘤标志物明显升高,最初诊断倾向实体瘤。其左上臂肌间隙内有数个淋巴结18F-FDG异常高摄取,但位置较深、难以定位活检。有病例报道可在体外循环心脏停搏下行右心房肿块切除,术后病理确诊为PCL[4]。手术切除虽可缓解心脏压塞、右心梗阻的症状,但无证据表明手术能延长PCL患者的生存时间。对于心脏占位性质不明,经静脉途径的肿瘤活检有助于明确诊断[5]。多模态影像显示患者右心房内肿块体积较大,故通过右颈内静脉将活检钳送至右心房占位病变,在X线及超声心动图双重引导下钳夹出肿瘤组织,进行病理及免疫学分型。
PCL病理类型多为DLBCL,极少为Burkitt淋巴瘤、T细胞淋巴瘤[3]。该患者病理证实为DLBCL,免疫组织化学染色结果示CD5阳性、c-MYC和BCL-2蛋白共表达,提示预后较差。对DLBCL患者主要采用内科为主的综合治疗,包括化疗、靶向治疗和免疫治疗,结合年龄、临床分期、病理类型、分子遗传学特征及预后评分制订方案[6]。对于Ⅱ期DLBCL伴有大肿块(最大径≥7.5 cm)的DLBCL患者,推荐6个周期R-CHOP为主的化疗方案[6]。患者经过8个周期化疗后获得完全缓解,随访至今生存良好。
PCL整体预后较差,进展迅速,早期诊治能改善其预后。对于解剖合适的患者,经静脉途径心脏肿瘤活检术有助于明确心脏占位的病理类型、指导靶向治疗,对于广泛转移、不能耐受开胸活检的患者尤为必要。
所有作者声明无利益冲突





















