
版权归中华医学会所有。
未经授权,不得转载、摘编本刊文章,不得使用本刊的版式设计。
除非特别声明,本刊刊出的所有文章不代表中华医学会和本刊编委会的观点。
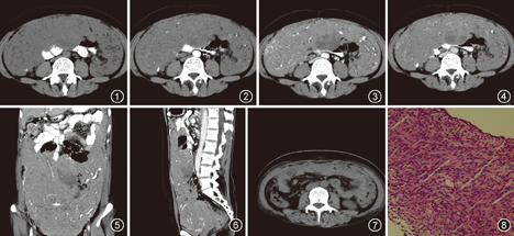
患者 女,46岁。乏力伴全腹胀痛不适3个月,加重1个月。体检:腹部膨隆,自剑突至盆腔触及一巨大肿块,质地中等,位置固定,边界不清,双下肢水肿。血常规及血液生化检查未见明显异常。行全腹CT平扫+增强扫描,平扫示腹腔内弥漫团块状软组织密度影,邻近肠管结构受压改变(图1)。增强扫描肿块轻度延迟强化,肿瘤内可见斑片状无强化坏死区(图2,图3,图4),冠状面、矢状面像示肿块上达肝下缘,下至盆腔(图5, 图6)。行腹腔肿物穿刺活检,术后病理(腹腔穿刺组织)结果提示胃肠间质瘤。给予格列卫药物治疗2个月,腹部胀痛症状好转。复查CT平扫示腹腔内弥漫软组织肿块影较前明显缩小,局部密度欠均匀(图7)。


患者行手术治疗,剖腹探查见肿瘤占据整个腹腔,上方嵌于胃、胰腺及脾之间,上腹部脏器受压移位,肿瘤下方长入盆腔。切除肿瘤,大小为45 cm×39 cm×6 cm,质量为5.2 kg,浸润胃浆膜和大网膜,表面呈结节状,切面呈分叶状、鱼肉样、灰白色、质脆。显微镜下瘤细胞为梭形和上皮样,呈轻度异形性(图8)。免疫组织化学结果:波形蛋白、CD117、间质瘤Dog-1、细胞增殖Ki-67(约40%)、肌动蛋白小灶区阳性,CD34、S-100蛋白、钙结合蛋白CR、细胞角蛋白(CK)、CK5/6、间皮瘤抗原-1均为阴性。病理诊断为胃肠间质瘤。患者术后随访11个月,一般状况良好。
本研究过程和结果均未受到相关设备、材料和药物企业的影响





















