
版权归中华医学会所有。
未经授权,不得转载、摘编本刊文章,不得使用本刊的版式设计。
除非特别声明,本刊刊出的所有文章不代表中华医学会和本刊编委会的观点。
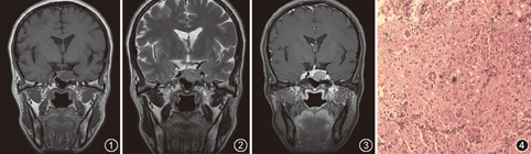
患者女,50岁,2年前无明显诱因出现双眼视力下降,未引起重视;3个月前出现头晕,于2017年11月16日就诊于我院。体检:神清目明,双侧瞳孔等大等圆,直径约3.0 mm,对光反射灵敏,粗测双眼视力下降。余神经系统查体未见明显异常。生长激素(GH)10.595 ng/ml(正常值0.010~3.607 ng/ml)。鞍区MR平扫及增强:蝶鞍扩大,鞍底下陷,鞍内左侧可见结节样团块状异常信号影,与垂体分界欠清,大小约1.8 cm×2.0 cm×1.4 cm,T1WI呈稍低信号(图1),T2WI呈不均质稍高信号(图2),增强扫描强化不均匀,强化程度低于正常垂体(图3),病灶累及左侧海绵窦,紧邻左侧颈内动脉,垂体柄略向左偏,视交叉走行良好,印象诊断为垂体腺瘤。


手术及病理:肿瘤位于鞍内,呈灰褐色,与正常垂体组织粘连,质地软,血运丰富,在显微镜下游离肿瘤边缘,分块切除肿瘤,并采用负压吸引将残余肿瘤完全吸走。肿瘤送病理检查:肉眼见淡褐色碎组织1堆,镜下见星形细胞与神经节胶质细胞混杂排列(图4)。免疫组织化学检查显示:增殖指数(Ki-67)约+3%,抑癌基因P53(-),突触素Syn(+),酸性钙结合蛋白S-100(+),胶质纤维酸性蛋白(GFAP)灶状+,异柠檬酸盐脱氢酶1突变体(IDH1R132H)-,少突胶质细胞转录因子(2Oligo-2)-,06-甲基鸟嘌呤-DNA甲基转移酶(MGMT)<10%,髓鞘碱性蛋白(MBP)-,微管相关蛋白(2Map2)+,嗜铬蛋白(CgA)部分+,抗神经元核抗体(NeuN)散在+。最终病理诊断:节细胞胶质瘤(Ganglioglioma,GG),WHO Ⅰ级。
GG是一种少见的发生于中枢神经系统的神经元和混合神经元-神经胶质肿瘤,多为WHO Ⅰ级或Ⅱ级,占中枢神经系统肿瘤的0.4%~1.0%。GG好发于儿童及30岁以下成年人,性别无明显差异[1],有文献报道约75%的患者有癫痫病史[2],而本例患者中年男性,临床症状无特异性,与文献报道不一致,从而增加了临床的误诊率。肉眼观GG瘤体一般较小,境界清,质韧,常见囊变、钙化和壁结节形成。镜下神经元成分一般分化成熟,而胶质细胞成分可有不同程度分化,因此胶质细胞组织学特征决定肿瘤的生物学表现。国内外文献报道GG幕上多见[3,4],也有文献报道鞍内向鞍上生长的GG[5],未见完全生长在鞍内GG的报道。GG在CT上表现为额颞叶不规则低密度,边界不清,可伴钙化和囊变,周围可见水肿,MRI上T1WI实性部分为等或稍低信号,T2WI为等或稍高信号,囊性部分信号更高,增强扫描实性部分强化明显,囊壁强化[4]。本例GG为完全生长在鞍内的实性结节样占位,与正常垂体分界不清,易被考虑来源于垂体,T1WI呈稍低信号,T2WI呈不均质稍高信号,强化程度低于正常垂体,信号特征类似于"垂体腺瘤",也是笔者误诊的原因。鞍内GG需与以下疾病鉴别:(1)垂体腺瘤:较常见,病灶较小时常位于鞍内偏侧,T1WI呈稍低信号,T2WI呈稍高信号,强化低于正常垂体,两者鉴别困难;(2)颗粒细胞瘤[6]:较罕见,病灶主要见于鞍上,也可累及鞍内,T1WI呈稍低或等信号,T2WI呈等或低信号,增强明显均匀或不均匀强化;(3)垂体细胞瘤[7]:较罕见,病灶可完全位于鞍内,T1WI呈低信号,T2WI呈中度高信号,伴有均匀或混杂的轻、中度增强,影像难以鉴别。
本研究过程和结果均未受到相关设备、材料、药品企业的影响





















