
版权归中华医学会所有。
未经授权,不得转载、摘编本刊文章,不得使用本刊的版式设计。
除非特别声明,本刊刊出的所有文章不代表中华医学会和本刊编委会的观点。
患者男,66岁。2017年11月因"腰椎间盘突出"在当地医院行腹部CT检查提示"盆腔囊肿",无明显不适。患者于18年前行前列腺穿刺术,过程不详。实验室检查:血清前列腺特异性抗原(prostate specific antigen,PSA)0.67 ng/ml(正常参考值0~4.0 ng/ml),游离PSA为0.24 ng/ml(正常参考值0~0.93 ng/ml),CA724为27.09 U/ml(0.00~6.90 U/ml),血、尿、便常规均无异常。
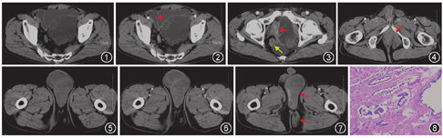
CT表现:CT检查提示盆腔内见巨大不规则形多房囊性肿块,内见大量囊性低密度及少量实性分隔,与前列腺分界欠清,膀胱及直肠受压移位,增强扫描囊壁及分隔可见强化(图1,图2,图3);病变向下突入阴囊及会阴部,局部分叶明显,阴囊内肿块见稍多实性成分,增强后轻度强化(图4,图5,图6,图7)。诊断:盆腔、阴囊及会阴部巨大囊实性占位性病变,侵袭性血管黏液瘤可能。


手术所见:术中见盆腔巨大肿瘤,呈分叶状多房囊性,将尿道、膀胱推挤向右侧,与前列腺关系密切,侵及前列腺或来源前列腺均有可能。肿物经盆底尿生殖膈凸向阴囊,双侧睾丸被推向双侧外环口。阴囊内肿物亦呈分叶状,囊实性,累及尿道球部、尿道括约肌、膀胱颈口、盆底肌,部分肿瘤深至直肠周围,最深处肿瘤至会阴部臀部脂肪下。
病理及免疫组织化学表现:盆腔、阴囊及会阴部肿物,盆腔肿物大小15.0 cm×10.5 cm×6.0 cm,阴囊及会阴部肿物大小13.0 cm×10.0 cm×4.5 cm。显微镜下示肿瘤由腺体及囊肿构成,囊壁被覆单层立方上皮,细胞无明显异型,未见核分裂象,不侵犯邻近结构(图8)。免疫组织化学表现:前列腺酸性磷酸酶(PSAP)、前列腺特异性蛋白(P501S)、CD34均为阳性,细胞增殖指数(Ki-67)阳性率约20%,结蛋白(Des)、肌动蛋白(Actin)为阴性。诊断为前列腺囊腺瘤(prostatic cystadenoma,PC)。
PC是一种罕见的前列腺来源良性肿瘤,自1991年Maluf等[1]首次报道以来,国内外文献仅报道30余例[2,3],且大多为个案报道。本例体积巨大且同时累及盆腔、阴囊及会阴部则更加罕见。PC主要发生于成年男性,发病年龄缺乏特异性,年龄范围为28~80岁[3]。当肿瘤较小时通常无明显症状,只有当肿瘤较大压迫周围组织及器官时才会出现相应的临床症状,其典型症状为泌尿系统梗阻、血尿,伴或不伴有下腹部肿块[4]。因排尿困难及尿潴留就诊的PC患者为61.76%,还有患者伴有无精症[5,6]。PC术前血清学检查主要依赖PSA,大部分患者血清PSA高于正常值,可能是由于肿瘤增大致部分腺体破裂从而影响了微循环系统所造成;但也有部分患者血清PSA值在正常范围。PSA的高低与肿瘤大小并无相关性,血清PSA的升高不能对PC的诊断提供确切的依据[7,8]。
PC的影像诊断主要依靠CT及MRI检查。肿瘤通常位于膀胱与直肠之间,可有蒂与前列腺相连,亦可与前列腺分离,有时甚至表现为与膀胱或直肠相连的肿块,易被诊断为后腹膜来源肿瘤[9]。CT上大部分肿瘤呈巨大多房囊性,直径7.5~20.0 cm[7],囊性为主,囊内分隔较厚,增强扫描囊性部分一般不强化,实性部分可见轻度持续性强化。MRI表现主要包括[10,11]:(1)形态结构:体积一般较大,呈膨胀性生长,大多为多房囊实性结构,以囊性成分为主,囊性部分大小及信号不等,大多呈T1WI低信号及T2WI高信号,部分囊内T1WI呈高信号,考虑为腺体增生致腺管阻塞所产生的潴留分泌液黏稠度不同所致;实性部分T1WI呈稍低信号,T2WI呈高信号,考虑为增生腺体组织;DWI上肿瘤扩散受限较轻。(2)包膜:一般有包膜,在T1WI和T2WI上均呈低信号。(3)毗邻关系:和周围组织分界清晰,肿瘤较大时可致膀胱、直肠及精囊腺受压移位,但无明显肿瘤浸润表现。(4)强化方式:增强扫描囊性部分无强化,囊壁及分隔持续强化。
本例PC影像表现上亦以多房囊实性表现为主,体积巨大,中间部分跨尿生殖膈生长,呈哑铃状,下缘达阴囊内及会阴部皮下,形态特殊,极为罕见。笔者认为本例特殊的生长方式可能与患者曾行前列腺穿刺致局部组织损伤有关。
PC需与以下病变鉴别:(1)苗勒管囊肿:为单房囊性结构,常伴尿路刺激症状,多位于尿道前列腺部后上方的中线部位,增强扫描无强化,免疫组织化学PSA阴性;(2)前列腺潴留性囊肿:与前列腺炎或前列腺增生引起的腺管外口阻塞有关,常位于前列腺的一侧,一般体积较小且为单囊,无明显实性成分;(3)囊性淋巴管瘤:可为单房或多房,囊壁一般无强化,常可见正常前列腺结构,PSA阴性;(4)精囊腺及Cowper腺囊腺瘤:罕见,影像上均与PC表现类似,但有时可以看到相对完整的前列腺组织,且PSA阴性[12]。
本例特殊的生长方式还需与侵袭性血管黏液瘤及血管肌纤维母细胞瘤相鉴别。侵袭性血管黏液瘤多发生于女性,男女比1∶7.45[13],一般无明显症状,主要发病部位为尿生殖膈区,直径多>10 cm[14];CT上表现为境界清楚的不均匀低密度肿块,MRI上为T1WI等或低信号,T2WI高信号,多跨尿生殖膈生长,增强扫描呈明显不均匀渐进性强化,"分层漩涡征"是其特征性表现[15],部分患者还可见瘤内成熟小血管影[16]。血管肌纤维母细胞瘤的性别倾向及好发部位与侵袭性血管黏液瘤类似,但病变部位常较浅,多数位于会阴区皮下,直径多小于5 cm;影像表现上病变相对较均匀,增强后一般呈均匀或不均匀性明显强化,与周围组织分界清楚[17]。侵袭性血管黏液瘤和血管肌纤维母细胞瘤均不表达PSA,通过免疫组织化学检查可与PC明确区分。
综上所述,大部分PC具有较典型的临床及影像表现,但部分患者由于具有特殊的生长模式难于准确诊断,最终需通过免疫组织化学检查予以明确。
本研究过程和结果均未受到相关设备、材料、药品企业的影响





















