
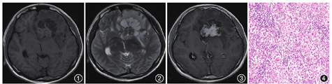
本文报道1例大脑额叶生殖细胞瘤伴多发囊变。患者以间断性头痛伴恶心呕吐1个月就诊,MRI平扫及增强检查显示,左侧额叶病变呈混杂信号,部分边缘模糊不清,大小约5.1 cm×4.4 cm,边缘见多发囊性信号影,呈花瓣样排列,实性部分在T1WI呈等信号,T2WI呈等信号,液体衰减反转恢复(FLAIR)序列呈等及稍高信号,DWI呈等信号影,病变累及胼胝体膝部及左侧基底节,并突向右侧额叶,包绕左侧脑室前角、体部的前部,周围见大片水肿,局部中线右移。增强扫描实性部分明显强化,囊性部分可见边缘强化。病理诊断为左侧额叶生殖细胞瘤(GCT)。
版权归中华医学会所有。
未经授权,不得转载、摘编本刊文章,不得使用本刊的版式设计。
除非特别声明,本刊刊出的所有文章不代表中华医学会和本刊编委会的观点。
男,16岁,间断性头痛伴恶心呕吐1个月于2017年2月14日就诊。体检:神志清楚,语言流利,双侧瞳孔等大等圆,直径约3.0 mm,对光反射灵敏,四肢肌力Ⅴ级,病理反射未引出,余神经系统体检未见明显异常。
影像表现:外院CT检查示左侧额叶高低混杂密度影,界限不清。本院MRI平扫及增强:病变呈混杂信号,部分边缘模糊不清,大小约5.1 cm×4.4 cm,边缘见多发囊性信号影,呈花瓣样排列,实性部分在T1WI呈等信号(图1),T2WI呈等信号(图2),液体衰减反转恢复(FLAIR)序列呈等及稍高信号,DWI呈等信号影,病变累及胼胝体膝部及左侧基底节,并突向右侧额叶,包绕左侧脑室前角、体部的前部,周围见大片水肿,局部中线右移。增强扫描实性部分明显强化,囊性部分可见边缘强化(图3)。


手术及病理:行幕上功能区肿瘤切除术,肿瘤送病理检查:肉眼见淡褐色、实性碎组织一堆。镜下见小淋巴细胞沿纤维血管间隙浸润(图4),肿瘤细胞大小较为一致,核大,空泡状,核仁明显,大部分胞质透亮,局部嗜酸性,可见核分裂象。免疫组织化学染色:细胞增殖标记物Ki-67(阳性+70%),角化蛋白、CD117及干细胞标记物(SALL4、Oct3/4)均为阳性,波形蛋白(Vimentin)、酸性钙结合蛋白(S-100)、胶质纤维酸性蛋白(GFAP)、少突胶质细胞转录因子(Oligo-2)为阴性。病理诊断:左侧额叶生殖细胞瘤(germ cell tumor,GCT)。
颅内GCT好发于松果体区,其次为鞍上区、丘脑和基底节区,极少发生于大脑半球和脑干[1,2]。发生在额叶的生殖细胞瘤常表现为头痛、恶心、呕吐、肢体不灵、记忆力下降。组织学上,瘤细胞大小一致,胞质丰富,核大,呈空泡状,核仁明显,核分裂象常见,间质常有多少不等的淋巴细胞。
发生于大脑半球的GCT以额叶居多,形态常不规则,密度或信号均匀或不均,T1WI常呈等或稍低信号,T2WI呈高信号,周围伴水肿,占位效应明显或不明显,增强扫描常呈明显不均匀强化。本例患者MRI检查左侧额叶见花瓣样肿块中央大部分呈实性,T1WI、T2WI呈等信号,FLAIR呈等及稍高信号,DWI呈等及稍高信号影,肿块边缘区域大部分囊变,中央实性成分内散在分布大小不等囊变,增强扫描实质部分明显强化,肿块周围见大片状水肿信号影,占位效应明显。本例病灶位于血供较丰富的额叶,但在其周围见多发囊变,可能与肿块生长速度过快、周围血供相对不足有关。有文献报道GCT含有囊性成分可能与解剖部位有关,如基底节区、丘脑位于脑内,囊变多见,而松果体和鞍上区位于脑外,囊变较少见[3]。亦有文献报道位于额叶的生殖细胞瘤的囊变与一般肿瘤囊变的机制不同,可能与血管周围大量T淋巴细胞浸润导致血脑屏障受损有关[4]。
所有作者均声明不存在利益冲突





















