
通过报道2例肝局灶性结节增生(FNH)患者的CT和MRI表现,提高对FNH影像表现的认识。FNH的CT表现大多密度均匀,平扫时呈等密度或略低密度,部分病灶可显示中心瘢痕,呈低密度,典型的中心瘢痕呈星芒状或轮辐状,少数呈条状或不规则形。FNH增强扫描动脉期多呈明显均匀强化,边界清晰,门静脉期和延迟期病灶强化程度下降,可呈高密度、等密度,甚至略低密度,病灶边界不清楚。延迟期强化程度增高。MRI扫描除中心瘢痕外,FNH多信号均匀,T1WI等信号或略低信号、T2WI等信号或略高信号,而中心瘢痕表现为T2WI高信号。掌握FNH的诊断要点有助于诊断和鉴别诊断。
版权归中华医学会所有。
未经授权,不得转载、摘编本刊文章,不得使用本刊的版式设计。
除非特别声明,本刊刊出的所有文章不代表中华医学会和本刊编委会的观点。
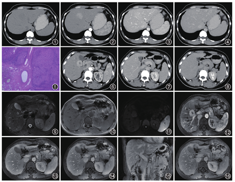
例1女,41岁。病史:体检发现肝脏占位性病变3个月余。实验室检查未见异常改变。影像表现:行CT平扫+增强扫描,平扫肝左内叶见片状略低密度影,密度较均匀,与肝脏分界不清,CT值51.5 HU。增强扫描动脉期,病变明显均匀强化,CT值93.2 HU,边界显示清晰,最大截面35.7 mm×41.1 mm;门静脉期病变较肝实质背景呈略高密度,均匀强化,CT值134.1 HU,边界欠清晰。延迟期病变相对于肝实质背景呈等密度(图1,图2,图3,图4)。病理诊断:肝病变形态符合局灶性结节增生(focal nodular hyperplasia,FNH),切面4.0 cm×2.5 cm,部分肝细胞轻度异型增生,局灶胆管增生,肝组织切缘未见病变(图5)。免疫组织化学:人凝溶胶蛋白(GS)部分阳性,磷脂酰肌醇蛋白多糖-3(GPC-3)阴性,肝细胞石蜡抗原(HepPar-1)阳性,CD34(血管)阳性,Ki-67阳性率2%。特殊染色:网状纤维染色阳性。


例2女,22岁。病史:体检发现肝占位1周。影像表现:腹部CT增强扫描,动脉期病变明显强化,CT值94.1 HU,边界清晰,最大截面28.1 mm×27.6 mm,中心见低密度灶(图6)。门静脉期病变呈略低密度,CT值78.4 HU,边界欠清晰,中心见低密度灶(图7)。延迟期病变呈略低密度,CT值70.24 HU,边界欠清晰,中心低密度灶可见延迟强化(图8)。上腹部MRI平扫+增强扫描,脂肪抑制T2WI,病变呈等信号,中心瘢痕呈高信号(图9);T1WI病变呈等信号,中心瘢痕呈低信号(图10);DWI病变呈略高信号(图11);增强扫描动脉期病变明显强化,中心瘢痕尚未强化(图12);门静脉期病变呈等信号,中心瘢痕尚未强化(图13);增强扫描延迟期病变呈等信号,中心瘢痕出现放射状强化(图14,图15,图16)。
肝FNH是肝海绵状血管瘤之外肝脏第二常见的良性肿瘤,发病率约0.9%,常见于育龄期女性,男女比例约1∶8[1]。多数患者无明显症状,于体检时偶然发现,少数患者出现腹痛和肝脏肿大。
FNH呈结节状,边界清楚,无包膜,大小差别较大,常位于肝包膜下。其病理学特征以中央瘢痕和放射状纤维结缔组织分隔为特点。中央瘢痕内有来源于肝动脉的厚壁血管,可见畸形血管的存在,为病变提供大量的动脉供血,还可见胆道结构,但这些胆道结构无法连接成胆管的树状结构[2,3,4]。放射状的纤维分隔可将FNH分为多个结节,结节内的肝细胞形态正常,但排列异常,从而使肝小叶失去正常形态[2]。另外,结节内缺乏正常的肝静脉系统和门静脉系统。因此,目前一致认为FNH是一种良性增生性结节。
FNH大多密度均匀,出血或钙化少见。由于其内含有正常的肝细胞,因此平扫时呈等密度或略低密度,部分病灶可显示中心瘢痕,呈低密度,典型的中心瘢痕呈星芒状或轮辐状,少数呈条状或不规则形。FNH为富血供肿瘤,典型的FNH增强扫描动脉期多呈明显均匀强化,边界清晰,反映了病灶血管丰富的特点;门静脉期和延迟期病灶强化程度下降,可呈高密度、等密度,甚至略低密度,病灶边界变得不清楚。出现中心纤维瘢痕者,瘢痕早期无强化而呈相对低密度,延迟期强化程度增高,这与瘢痕内的畸形血管导致的对比剂的瘀滞有关。非典型的FNH常无中心瘢痕,增强扫描动脉期病变明显均匀强化,门静脉期及延迟期呈等、略高或低密度。
除中心瘢痕外,FNH多信号均匀。由于FNH由正常的肝细胞构成,因此多表现为T1WI等信号或略低信号、T2WI等信号或略高信号,而中心瘢痕表现为T2WI高信号,该MRI特点具有特征性。中心瘢痕的T2WI高信号主要与瘢痕内的血管、畸形血管导致的血流速度减慢、炎症细胞浸润、纤维化的程度和数量以及水肿有关系。FNH为富血供的病变,动态增强扫描动脉期多表现为均匀明显强化,此时中心瘢痕无强化,呈低信号,门静脉期及延迟期病灶为略高或等信号,边界欠清,而中心瘢痕逐渐强化,这主要与其内丰富的血管成分以及畸形血管导致的对比剂积聚、排泄缓慢有关。但并非每例FNH都能出现中心瘢痕,在实际临床工作中,中心瘢痕出现的概率不高。FNH的诊断与鉴别有时非常困难,特别是对于男性患者、较年长或儿童患者。因此,肝细胞特异性对比剂的应用提供了非常有价值的诊断信息。钆塞酸二钠可以被肝细胞摄取。由于FNH由正常肝细胞构成,因此肝胆期FNH中的肝细胞可摄取钆塞酸二钠而呈等或高信号[5]。该特征对于不典型的FNH的诊断及鉴别诊断具有重要意义。
FNH为肝脏富血供病变,需要与肝细胞肝癌、肝海绵状血管瘤、肝腺瘤、肝脏血管平滑肌脂肪瘤等富血供的病变进行鉴别(表1)。重点强调的是,FNH由正常肝细胞构成,因此肝胆期可摄取钆塞酸二钠;HCC内无正常肝细胞,因为不摄取钆塞酸,肝胆期呈低信号。该对比剂特别对常规增强扫描鉴别困难的FNH和HCC具有重要意义。(1)FNH与肝海绵状血管瘤的鉴别要点:典型的海绵状血管瘤CT平扫呈低密度,MRI扫描T1WI多呈低信号,T2WI呈高信号,可见"灯泡征",增强扫描呈渐进性强化,即动脉期从病变周边开始出现点状、结节状或环形强化,逐渐向中心填充,延迟期多表现为高信号。FNH平扫多与肝实质密度或号相似,动脉期除中心瘢痕外呈明显均匀强化,中心瘢痕延迟强化,典型病例与肝脏海绵状血管瘤鉴别不难。(2)FNH与肝腺瘤的鉴别要点:二者均多见于育龄期女性,均属肝脏富血供肿瘤,常规CT及MRI扫描鉴别较困难。钆塞酸二钠MRI增强扫描在二者鉴别中具有重要意义,FNH因由正常肝细胞构成在肝胆期摄取钆塞酸而呈高信号,腺瘤则几乎不摄取钆塞酸呈低信号。(3)FNH与肝脏血管平滑肌脂肪瘤的鉴别要点:肝脏典型血管平滑肌脂肪瘤含血管、平滑肌及脂肪3种成分,血管成分表现为增强扫描时可见点条状强化血管影,平滑肌成分表现为延迟强化,脂肪成分平扫表现为斑片状或灶性脂肪密度灶,无强化。由于病变3种成分含量不同,强化方式也存在差异。FNH内脂肪成分少见,缺乏点条状的强化血管,可见延迟强化的中心瘢痕,两者容易鉴别。上皮样血管平滑肌脂肪瘤多无脂肪成分存在,与FNH鉴别困难,但是前者点条状的强化血管以及FNH中心瘢痕仍有特征性。另外,FNH对钆塞酸二钠的摄取对二者的鉴别也具有重要意义。

FNH与HCC的鉴别要点
FNH与HCC的鉴别要点
| 疾病名称 | 临床特征 | 影像表现 | ||||||||
|---|---|---|---|---|---|---|---|---|---|---|
| 性别 | 年龄 | CHB、肝硬化病史 | AFP | CT平扫 | MRI平扫 | CT或MRI增强 | 中心瘢痕 | 假包膜 | 钆塞酸二钠增强 | |
| FNH | 女性多见 | 育龄期 | 无 | 正常 | 等或略低密度 | 多数与肝脏背景信号相似 | 动脉期明显强化,门静脉期及延迟期呈高、等或略低密度 | 有,延迟强化 | 无 | 肝胆期有摄取 |
| HCC | 男性多见 | 中老年 | 有 | 多数增高 | 低密度 | T1WT2IWI低高信信号号, | 动脉期强化,门静脉期及延迟期对比剂退出,呈相对低密度或信号 | 无 | 有,延迟强化 | 肝胆期无摄取 |
注:FNH:局灶性结节增生;HCC:肝细胞癌;CHB:慢性乙型肝炎;AFP:甲胎蛋白
育龄期女性,无症状,大多经体检发现。CT或MRI等密度或等信号,部分可见中心瘢痕(CT为低密度,MRI扫描T1WI低信号,T2WI高信号)。增强扫描动脉期明显强化,病变边界清晰;门静脉期及延迟期呈高、等或略低密度(信号),边界往往欠清楚;可见放射状延迟强化的中心瘢痕。钆塞酸二钠MRI增强扫描肝胆期FNH摄取对比剂,病变呈高信号。
作者声明不存在利益冲突
1.肝局灶性结节增生好发于下列哪些人群?
A.儿童B.青少年C.育龄期女性D.老年男性
2.肝局灶性结节增生动脉期的强化方式是下面哪一种?
A.大多呈明显均匀强化B.轻度强化C.不强化D.边缘结节状强化
3.典型肝局灶性结节增生病变中心会出现下列哪一项?
A.坏死B.出血C.钙化D.中心瘢痕
4.典型肝局灶性结节增生的中心瘢痕在磁共振T2WI及增强扫描时的特征是哪一项?
A. T2WI低信号,延迟强化
B. T2WI高信号,延迟强化
C. T2WI高信号,早期强化
D. T2WI低信号,早期强化
5.钆塞酸二钠MRI增强扫描时,典型肝局灶性结节增生肝胆期呈高信号的病理基础是下列哪一项?
A.含有畸形血管B.含有畸形胆管C.含有正常肝细胞D.含有正常胆管细胞





















