
探讨新型冠状病毒肺炎(COVID-19)患者初诊临床特征及胸部高分辨率CT(HRCT)影像表现。
回顾性搜集2020年1月20日至28日武汉大学人民医院经临床及核酸检测确诊的141例COVID-19患者,男77例,女64例,中位年龄49(9, 87)岁。分析141例COVID-19患者的临床特征、实验室检查指标以及胸部HRCT影像学表现。
141例COVID-19患者实验室检查发现白细胞计数降低38例(26.95%)、淋巴细胞比率降低71例(50.35%)。141例COVID-19患者中发热(>37.5 °C) 139例(98.58%)、咳嗽106例(75.18%)、头痛11例(7.80%)、咳痰41例(29.08%)、胸闷93例(65.96%)、呼吸道以外症状主要有腹泻等4例(2.84%)。141例COVID-19患者HRCT均有异常,52例(36.88%)胸部HRCT图像表现为磨玻璃影(GGO)和斑片影,以胸膜下分布为主;23例(16.31%)GGO合并局灶实变影;27例(19.15%)小片状模糊影;20例(14.18%)大片状实变影;48例(34.04%)支气管血管束增粗和血管穿行征;5例(3.55%)有空气支气管征象;7例(4.96%)小结节影;5例(3.55%)纤维化、网格影或条索影;7例(4.96%)双侧胸腔积液,4例(2.84%)纵隔或双侧肺门淋巴结肿大。
COVID-19的临床特征及HRCT影像表现多样,在COVID-19特定的流行病学背景下,应及时开展胸部HRCT扫描,对疾病做出早期预警。
版权归中华医学会所有。
未经授权,不得转载、摘编本刊文章,不得使用本刊的版式设计。
除非特别声明,本刊刊出的所有文章不代表中华医学会和本刊编委会的观点。
新型冠状病毒肺炎(COVID-19)具有较强的传染性,且病情发展迅速,严重者会出现急性呼吸窘迫综合征、呼吸衰竭等疾病,甚至可能会导致死亡[1,2]。笔者回顾性分析确诊的141例COVID-19患者的初诊临床特征及高分辨率CT (high resolution CT, HRCT)影像资料,以期能够对该疾病诊断做出早期预警。
回顾性分析2020年1月20日至28日因发热就诊于武汉大学人民医院并行胸部HRCT扫描的843例患者。纳入标准:(1)新型冠状病毒核酸检测阳性[2];(2)胸部HRCT图像无伪影;(3)未经治疗的初诊患者。排除标准:(1)复查患者;(2)合并严重肝、肾等其他基础疾病。共纳入141例COVID-19患者,男77例,女64例,中位年龄为49(9, 87)岁,无孕产妇,其中<12岁1例(0.71%)、12~24岁20例(14.18%)、25~44岁34例(24.11%)、45~64岁54例(38.30%)、65~84岁31例(21.98%)、85岁以上2例(1.42%)。141例COVID-19患者中44例(31.21%)患有基础疾病,包括糖尿病25例(17.73)、高血压27例(19.15%)、动脉粥样硬化及冠心病21例(14.89%),部分患者同时患有上述多种慢性基础疾病。入组的141例COVID-19患者自出现症状到就诊的间隔时间均在1周内。所有患者均行实验室检查(白细胞计数、淋巴细胞比率)。本研究经武汉大学人民医院伦理委员会同意,免除患者知情同意。
胸部HRCT检查采用美国GE HealthOptima 680及Brightspeed CT扫描仪。扫描参数:管电压120 kV,管电流200 mA,层间距5 mm,采集层厚0.625 mm,扫描时间<5 s。标准肺窗设置窗位-530~-430 HU,窗宽1 400~1 600 HU;纵隔窗设置窗位35~ 40 HU,窗宽300~ 350 HU。扫描范围自胸廓入口至后肋膈角水平。
HRCT图像采用骨算法重建。HRCT图像由2名具有丰富工作经验的放射诊断医师进行目视评价,记录影像表现、病变分布及范围、肺部损伤分度、影像特征和其他伴随影像征象。目前尚缺乏系统的影像学表现与病例对照资料研究,基于目前的临床实践,参考既往关于病毒性肺炎CT损伤分度,按肺段分布将双肺近似20等份(其中左肺上叶尖后段及下叶前内基底段各视为2等份,左肺上叶上、下舌段各视为1等份),病变每累及一个肺段按5%近似估算,按照病变范围占全肺面积<30%、30%~50%、>50%,将COVID-19肺损伤范围分为轻度、中度及重度[3]。当2名医师诊断结果不一致时,由第3名高年资医师裁定。
所有数据应用SPSS 22.0统计学软件进行分析。年龄为非正态分布计量资料,用中位数(上、下四分位数)表示;临床特征及影像表现等计数资料,采用频数和率表示。
141例COVID~19患者中发热(>37.5°C)139例(98.58%)、咳嗽106例(75.18%)、头痛11例(7.80%)、咳痰41例(29.08%)、胸闷93例(65.96%)、呼吸道以外症状腹泻4例(2.84%)。141例COVID-19患者实验室检查发现白细胞计数降低38例(26.95%)、淋巴细胞比率降低71例(50.35%)。
141例COVID-19患者初诊胸部HRCT图像均有异常,35例(24.82%)表现为单侧肺叶病变,以胸膜下分布为主;106例(75.18%)双侧肺叶受累。141例COVID-19患者均存在不同程度的肺内病变,其中36例(25.53%)患者双肺所有肺叶、肺段均受累;在局限性病例中,以右肺下叶受累最多见,有22例(15.60%)。141例患者病变分布中,右肺病变比左肺病变范围广的有98例(69.50%),左肺病变比右肺病变范围广的有43例(30.50%);其中下叶病变比上叶病变范围广的有86例(60.99%),肺叶上部分病变比下部分病变范围广有26例(18.44%),上下部分病变范围大致相当的有29例(20.57%)。
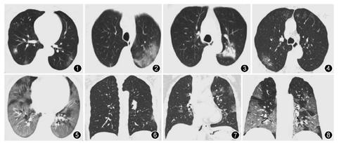
141例COVID-19患者中可见以下一种或多种征象,52例(36.88%)患者胸部HRCT图像表现为磨玻璃影(ground glass opacity,GGO),以胸膜下分布为主;23例(16.31%)表现为GGO合并局灶实变影(图1);27例(19.15%)为小片状边缘模糊密度增高影;20例(14.18%)为大片状实变影;48例(34.04%)为支气管血管束增粗和血管穿行征(图2);5例(3.55%)有空气支气管征象(图3);7例(4.96%)同一肺叶出现直径<0.5 cm实性结节影;5例(3.55%)有网格影或条索影(图4);23例(16.31%)双肺叶弥漫性病变,呈"白肺"表现(图5)。


本组141例COVID-19患者中,36例(25.53%)伴发慢性呼吸系统疾病(慢性支气管炎、支气管扩张、肺气肿、肺大疱),45例(31.91%)提示心血管疾病征象(瓣膜钙化、主动脉壁钙化化、冠状动脉壁钙化),7例(4.96%)患者有双侧胸腔积液,4例(2.84%)患者有纵隔或双侧肺门淋巴结肿大(短径≥1.0 cm),6例(4.26%)伴有上腹部异常征象,包括脂肪肝、肝囊肿、胆囊结石等。
COVID-19常见于成人,儿童少见[4],本研究仅发现1例12岁以下患者。本研究入组患者白细胞及淋巴细胞比率下降,提示患者一旦感染COVID-19,其机体多脏器功能可能会出现损伤[5]。本研究中139例(98.58%)COVID-19患者以发热症状初诊,显示此症状在本病的临床预检分诊中有着重要的意义[6],但需要指出的是本组病例均以发热就诊,可能存在偏移。另有少部分患者可能会出现腹泻等呼吸道以外的表现[7],由于缺乏明显特异性临床表现增加了诊断难度,易造成漏诊或者误诊,增加传染机会。
141例COVID-19患者均存在不同部位及范围的肺内病变,在局限性病变中22例(15.60%)患者表现以右肺下叶受累为主的局限性病变,这可能与COVID-19的目标细胞可能位于下呼吸道有关[8]。
COVID-19的HRCT表现是多种多样的,141例COVID-19患者HRCT均显示不同程度的肺部病变,这与COVID-19感染在一定程度上能够导致患者呼吸道上皮、气道黏膜损伤有关,其为致病微生物的黏附以及增殖创造一定条件,患者可进展为肺炎甚至出现呼吸衰竭[9],本研究中23例(16.31%)患者表现为"白肺",即与此有关,同时也提示患者处于炎性病变快速进展阶段,病程较重[9]。
本研究中52例(36.88%)患者胸部CT图像表现为GGO,这类征象主要见于疾病的早期及症状较轻的COVID-19患者,可能是由于感染导致肺泡肿胀、肺泡腔少量渗出及肺泡间隔炎症导致肺内密度增高所致[9]。本研究中23例(16.31%)表现为磨玻璃影合并局灶实变影或沿支气管血管束的多个不规则实变区域和弥漫性GGO,27例(19.15%)斑片状模糊影、20例(14.18%)大片状实影,这些不同的影像表现主要是由于出现不同程度的肺实质炎性改变,并可根据病程的进展或疾病的治疗情况而发生变化,本研究中此征象主要出现在疾病正处于进展期的COVID-19患者;48例(34.04%)支气管血管束增粗、血管穿行征,这与病毒导致支气管和血管边缘增厚、间质性病变等有关[10];本研究中还有部分COVID-19有空气支气管征象、小结节影、纤维化、网格影、条索影等征象,可能是因为间质增厚、细胞或渗出液聚集所致[11]。总的来看,COVID-19主要以间质性病变为主,可不同程度累及肺实质,没有空洞等表现[12]。
从疾病伴随改变来看,141例患者中有7例(4.96%)合并双侧胸腔积液,肺炎一般不会引起胸腔积液,但当炎症情况波及到胸膜,引起胸膜炎或反应性炎症时,有炎性渗出就会导致胸腔积液的发生[11]。本研究中仅有4例(2.84%)纵隔或双侧肺门淋巴结肿大,与既往冠状病毒性肺炎胸部影像表现相似,可能由于肺部的淋巴引流通过纵隔,当炎症蔓延到淋巴时导致淋巴结的异常增大[12]。
本研究存在的局限性和不足:本研究初步总结了COVID-19患者初诊临床特征和HRCT主要影像学表现,尚未总结治疗后随访影像学转归的表现,亦未对临床轻型、重型和危重型深入开展影像学分型研究;由于病例样本数量有限和研究时间节段较短,存在一定的研究偏倚,没有深入研究医务人员院内感染以及儿童和孕产妇感染患者的HRCT表现。
综上所述,COVID-19患者胸部HRCT主要表现为早期呈现GGO及间质改变,以肺外带明显;双肺广泛的GGO、浸润影为其典型表现,严重者可出现肺实变;胸腔积液、双侧肺门及纵隔淋巴结肿大少见。
所有作者均声明不存在利益冲突





















