
探讨儿童新型冠状病毒肺炎(COVID-19)患者高分辨率CT(HRCT)表现。
回顾性分析2020年1月25日至2月5日华中科技大学同济医学院附属武汉儿童医院22例经临床及核酸检测确诊为COVID-19患儿的胸部HRCT表现。其中男12例,女10例,年龄2个月~14岁,中位年龄4岁,5岁以下患儿14例。由2名放射科医师共同观察肺部病变分布、形态、密度等特征及有无肺门、纵隔淋巴结肿大及胸膜改变。
22例患儿中,3例(3/22)肺部CT正常,19例(19/22)肺部HRCT见病灶浸润,其中单侧肺病变7例,双侧肺病变12例。HRCT表现为:磨玻璃影6例,其中淡磨玻璃影4例、典型铺路石征磨玻璃影2例;4例呈肺实变改变,表现为局限性条索影、斑片状高密度影;6例表现为实变影与磨玻璃影共存,呈斑片状致密影夹杂周围磨玻璃影改变,其中1例呈右侧白肺表现;3例呈类支气管肺炎改变,表现为肺叶内散在点状或斑片状密度不均高密度影。下叶病灶较上叶为重,肺外后带较肺尖部、中央区多见。全部患儿均未见肺门淋巴结增大和胸腔积液,1例见叶间胸膜增厚。
儿童COVID-19的HRCT表现多样化,需结合流行病学资料、临床表现及实验室检测综合判断,但肺部CT表现可作为临床早期诊断和防控干预的重要依据。
版权归中华医学会所有。
未经授权,不得转载、摘编本刊文章,不得使用本刊的版式设计。
除非特别声明,本刊刊出的所有文章不代表中华医学会和本刊编委会的观点。
2019年12月以来,新型冠状病毒肺炎(COVID-19)最初报道几乎均为成人患者,儿童少见。新型冠状病毒传染性强,往往引起家庭聚集性发病,加上儿童免疫功能不成熟,导致儿童感染病例呈逐渐增多的趋势。为了提高对儿童COVID-19的认识,以及与当下冬季流行性感冒病毒、支原体、腺病毒以及细菌性感染肺炎等的鉴别能力,笔者回顾性分析22例经临床及核酸检测确诊为COVID- 19患儿的胸部高分辨率CT (high resolution CT,HRCT)表现,现报道如下。
搜集2020年1月25日至2月5日华中科技大学同济医学院附属武汉儿童医院经临床及核酸检测确诊为COVID-19患儿22例,诊断标准符合国家卫生健康委员会《新型冠状病毒感染的肺炎诊疗方案(试行第五版)》[1]。本研究核酸检测均采用咽拭子与肛拭子相结合的方法。22例患儿中,男12例,女10例,年龄2个月~14岁,中位年龄4岁,其中婴儿(<1岁)4例,幼儿(1~ 4岁)10例,儿童(5~ 11岁)7例,青少年(12~ 18岁)1例。5岁以下患儿14例。
流行病学资料:22例患儿均在武汉市内生活。17例有家庭COVID-19患者接触史,属于家庭聚集性发病,5例接触史不详。临床表现:无症状2例;发热13例,其中高热2例、中热3例,余均为低热;呼吸急促1例;干咳5例;咳痰2例;咽痛1例;流泪1例;流涕3例;腹泻1例;1例精神状况及食欲欠佳,余一般情况及精神状态尚可。
实验室检查:22例患儿均接受外周血常规检查,其中白细胞及淋巴细胞计数正常13例,白细胞减低、淋巴细胞计数正常4例,白细胞正常、淋巴细胞计数减少2例,白细胞正常、淋巴细胞计数增高2例,白细胞减少、淋巴细胞计数减少1例;C反应蛋白升高9例,正常13例。
采用德国Siemens Somation Definition AS128 CT扫描仪。患儿仰卧位,头先进,扫描范围自肺尖至肺底行连续扫描。扫描参数:管电压120 kV,管电流100 mAs,转速0.5 s/周,螺距1.4,重建方法采用B30medium smooth和B70f very sharp,重建层厚1 mm。
由2名分别有22年和16年工作经验的胸部放射学专业医师以盲法共同读片。在肺窗CT图像上观察病变分布、形态、密度等特征;在纵隔窗图像上观察有无肺门、纵隔淋巴结肿大及胸膜改变。同时,根据国家卫生健康委员会《新型冠状病毒感染的肺炎诊疗方案(试行第五版)》[1],分型为轻型、普通型、重症和危重症。
本组22例患儿中,轻型3例(3/22),1例临床症状轻微,仅表现为间断咳嗽、流清涕,2例无明显症状,肺部CT无异常表现;普通型18例(18/22),肺部CT见不同程度肺炎表现;危重症1例(1 /22 ),出现呼吸衰竭及其他器官功能衰竭。
病变累及单侧肺7例(7/19),左侧2例、右侧5例,仅累及单一肺段者4例、单叶多肺段1例、多叶多肺段2例;累及双肺12例(12/19),其中6例累及双肺下叶,2例病变位于双肺上叶,双肺下叶及左肺上叶受累2例,右肺中叶及左肺上叶受累1例,右肺中叶及左肺下叶受累1例。累及肺上叶11例(11/19),下叶16例(16/19),右肺中叶3例(3/19),上下叶均受累9例(9/19)。下叶病灶较上叶为重,肺外后带较肺尖部、中央区多见。
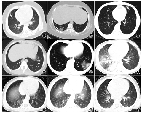
(1)磨玻璃影6例(6/19),均位于胸膜下,其中淡薄磨玻璃影4例,呈云雾状,形态不规则,较局限(图1);典型铺路石征磨玻璃影2例,密度稍高、较均匀、局限,铺路石征内见血管束及血管增粗影(图2)。(2)实变影4例(4/19),病变位于胸膜下,呈条索状、斑片状,范围局限、边界较清晰,与胸膜相连(图3)。(3)实变影与磨玻璃影共存6例(6/19),呈斑片状致密影夹杂周围磨玻璃影改变,其中5例实变影形态多样,呈楔形、不规则扇形、类圆形、片状或结节状等,病灶中间密度高、周围密度相对低,3例见典型晕征,2例见空气支气管征,1例见小叶间隔增厚(图4, 图5)。1例危重症患儿呈右侧白肺表现,表现为右肺弥漫性磨玻璃影与实变影,其中见空气支气管征(图6)。(4)类支气管肺炎改变3例(3/19),表现为单个肺叶内病变,沿支气管血管束走行的模糊影,从外向内带、向中央区延伸,边界模糊(图7)。所有患儿均无胸腔积液,均未见肺门淋巴结增大征象,1例患儿见叶间胸膜增厚。


我院为收治COVID-19患儿定点医院,随着收治患儿增多,经临床诊治实践发现儿童COVID-19与成人患者有相似之处,但也有一定的差异性。
为了保证诊断准确,我院儿童COVID-19新型冠状病毒核酸的检测方法采取咽拭子和肛拭子相结合的方法。本组22例患儿新型冠状病毒核酸检测均为阳性,COVID-19患儿中,19例肺部CT发现异常,肺炎19例,其中普通型18例,危重症1例。文献报道的儿童COVID-19确诊病例中,发病年龄最小1个月,最大17岁[2],且儿童COVID-19患者多数临床表现相对较轻,可无发热或肺炎表现,预后良好,多在1~ 2周内恢复[3]。从本组CT表现分析,除1例白肺患儿及3例类支气管肺炎表现范围较广泛外,其他病变范围均较小、局限,随病程无明显进展倾向,预后较好。分析可能因素:(1)儿童多为家庭聚集性发病,属于第二代或第三代感染,病毒的毒力减弱;(2)儿童免疫功能较低,或者肺内细胞结构还不完善,导致儿童与成人的血管紧张素转化酶2受体分布有差异性。
儿童及成人COVID-19患者病变部位均多位于双肺外带胸膜下,病灶多发[4],但成人病灶分布更广泛、更弥漫[5],呈"反蝶翼征"多见,而儿童病灶都相对较局限,弥漫性分布相对少,"反蝶翼征"少见,磨玻璃影也不如成人典型,儿童病变较小,部分呈淡薄云雾状,典型铺路石征磨玻璃影在本组中仅占2例。类支气管肺炎改变也是儿童COVID-19的特点,本组3例,显示病变沿支气管血管束从外向内带走行,呈多个斑片状边界模糊影,如无家庭聚集性发病史易误诊为普通支气管肺炎。本组患儿均未见胸腔积液及肺门淋巴结肿大等征象。
本组患儿临床预后较好,暂无明显进展病例。5例有肺部病变的患儿治疗后复查HRCT,3例显示病变明显吸收,范围缩小,密度减低,1例无明显变化,仅1例复查发现新增1处局限性磨玻璃灶。
2岁以下婴幼儿多见,主要为肺泡内炎性渗出,CT表现为沿支气管蔓延的小叶、肺段或大叶的斑片状肺实质浸润阴影,以两肺、心膈角区及中内带较多[6]。
多表现为高热、咳嗽、流涕等,多进展较迅速,影像学与COVID-19难以鉴别,本组有1例患儿经核酸检测证实合并两者感染。
系弥漫性渗出性肺泡损伤所致的支气管坏死伴出血性肺炎,右上肺常见。CT特点是以肺气肿和多肺叶受累的肺实变为主要特征,主要在向心性分布的支气管血管周围,累及胸膜下非常少见。
总之,儿童COVID-19有明显流行病学史,多数为家庭聚集性发病。COVID-19患儿胸部病变CT表现形态多样,病灶多位于肺底胸膜下,多数病灶范围小、较局限,与儿童冬季其他肺炎难以鉴别,确诊中需要结合核酸检测和流行病学资料综合判断。在当前严峻的防控形势下,深入了解并认识COVID-19的CT表现一定程度上可以弥补病毒核酸检验不足和假阴性现象,以便早期隔离、早期干预,从而使患者受益。由于时间仓促,病例有限,认识不足,不到之处将进一步深入研究和探讨。
所有作者均声明不存在利益冲突





















