
前列腺解剖分区在MRI上具有独特的信号特征,是放射科医师、泌尿科医师和肿瘤科医师评估前列腺疾病的基础。
版权归中华医学会所有。
未经授权,不得转载、摘编本刊文章,不得使用本刊的版式设计。
除非特别声明,本刊刊出的所有文章不代表中华医学会和本刊编委会的观点。
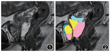
前列腺是腹膜后脏器,位于直肠前方和耻骨联合后方。前列腺自上而下分成3等分,即底部、中部和尖部。前列腺底部连接于膀胱颈部。尿道前列腺部进入前列腺底部的前表面。前列腺尖部位于泌尿生殖隔的上方,与肛提肌内侧面接触(图1,2)。前列腺体积随年龄增大而增大,20岁男性前列腺平均体积为11.5 ml,约为60岁男性前列腺体积的1/3。


在20世纪60年代以前,前列腺解剖学基于前列腺分叶。John McNeal开创了前列腺解剖分带,包括外周带(peripheral zone,PZ)、中央带(central zone,CZ)、移行带(transition zone,TZ)和前纤维肌肉基质带(anterior fibrous muscle matrix,AFMS)[1]。从胚胎起源来讲,前列腺外周带和移行带是泌尿生殖窦的衍生物。前列腺中央带是Wolffian管的衍生物,因此,中央带具有一些类似于精囊和射精管的组织学特征。相比于CT、超声和核医学方法,MRI是目前显示前列腺解剖分带的最佳成像方法。
前列腺外周带是年轻男性前列腺的主要腺体成分,占腺体组织的约70%。在前列腺成像报告和数据系统第2.1版(prostate imaging reporting and data system v2-1,PI-RADS v2.1)中前列腺外周带细分为3个部分(后内区、后外区和前区),位于中线两侧的腺体的底部、中间和尖部(图1, 2, 3, 4, 5, 6, 7, 8, 9, 10)[2]。两侧的外周带前部显示为2个角,因此被称为前角。在尖部,2个前角向前内弯曲,在尿道前方彼此邻接,形成围绕尿道的外周带环。在中部腺体,外周带位于后部、外侧部和大部分前外部[3, 4]。前角向前内侧弯曲,但不相互接触。在底部,外周带环绕中央带和移行带。前角较少向前伸展。中央带占据大部分的前列腺后内侧部。在MRI中,正常前列腺外周带表现为高T2信号,可以容易地与周围其他结构区分开来[3, 4, 5, 6]。


移行带位于前列腺中部和底部的前内侧,包绕近端尿道。在年轻成年人中,TZ构成前列腺腺体组织的5%,表现为均匀的低T2信号。接受前列腺MRI检查的大多数受检者具有一定程度的前列腺增生,因此,移行带的表现与以上典型描述有很大差异。
前列腺中央带是扁锥形腺体组织,围绕射精管,在前列腺底部突出,其尖端位于精阜,占年轻成人的前列腺的25%。35岁后中央带体积逐渐减小。中央带在T2WI上表现为均匀的低信号和低表观扩散系数(apparent diffusion coefficient,ADC)。前列腺区带解剖的知识和中央带的识别非常重要。
在MRI方面,中央带和外周带的区别早已被认识到。随着年龄的增长,中央带体积逐渐减小,原因在于移行带增大压迫中央带所致。MRI中移行带和中央带的区别最近才被广泛接受。早期的前列腺MRI,除了解剖位置外,不能分界中央带和移行带。术语中央腺体指中央带和移行带的组合。PI-RADS v2.1中因此不鼓励使用术语中央腺体,因为它不能反映病理标本上可视化或报告的前列腺区带解剖结构。
沿着远端尿道的冠状位是区分中央带和外周带的最佳方位。中线两侧的对称表现对于区分中央带与T2和ADC信号改变的其他原因特别有用。偶尔,正常的中央带表现为不对称,或者是由于前列腺轴相对于成像平面的轻微角度,或者是由于增大的移行带压迫中央带。动态对比度增强成像中,中央带显示1型或2型,但不是3型增强曲线。
前纤维肌肉基质是前列腺的主要非腺体组织,由平滑肌与纤维混合形成纤维肌肉基质带。AFMS上方与膀胱、膀胱颈和前列腺括约肌的平滑肌和骨骼肌相融。纤维肌肉基质带形成前列腺的前表面,向下在前列腺尖部接触尿道。纤维肌肉基质带外侧缘与前列腺被膜融合,与前列腺腺体密不可分。在MRI方面,前纤维肌肉基质表现为显著短的T2信号、低ADC、低DWI信号和1型增强曲线。
前列腺被膜由纤维肌组织组成,是前列腺基质不可分割的部分,厚度约为0.5 mm。因此,它不是解剖学或组织学意义上的真正被膜。前列腺被膜围绕几乎整个前列腺,在前方与纤维肌肉基质带融合。前列腺尖端前部和外侧部没有前列腺被膜,其中前列腺基质与尿道括约肌的肌纤维混合。在前列腺底部,膀胱颈以及射精管进入前列腺的部位没有前列腺被膜。前列腺被膜表现为围绕前列腺的短T2信号、延迟但持久的强化。
前列腺尿道是前列腺的重要解剖参考点。前列腺尿道在中点,精阜分为近端尿道和远端尿道,平均成角35°。尿道周围腺体区由微小管和腺泡道组成。膜性尿道的长度为6~24 mm。前列腺尿道在T2WI中表现为高信号,被较低信号强度的尿道肌和尿道周围组织所包围(图1,2)。
射精管是前列腺区域解剖的重要识别标志。输精管进入前列腺后底部,与精囊管合并形成射精管。射精管通常向后偏移几毫米,从前列腺底部下行到精阜开口。前列腺的动脉供应是高度可变的,前列腺周围血管为阴茎供血和引流血液。内阴部动脉供应海绵体勃起组织,其通常源自髂内动脉的前部,通过坐骨大孔和坐骨小孔,然后在进入阴茎海绵体之前在前列腺下方行走。内阴部动脉不与前列腺紧密接触。解剖变异的阴部动脉可能会更接近前列腺尖部。背侧静脉丛位于前列腺的前方,为阴茎提供静脉引流。
前列腺淋巴伴有静脉,主要引流到闭孔、髂内、髂外、髂总和骶前淋巴结,引流到前列腺周围淋巴结占比较少。
支配海绵体的神经纤维起源于盆丛,位于精囊水平的直肠外侧。这些神经纤维伴随着血管结构向下形成神经血管束。神经血管束向下内方接近中线并且朝向前列腺尖部。在前列腺尖部,神经血管束接近道括约肌和前列腺尖部。神经血管束沿着它们的路径产生小分支,并在前列腺表面上分支,这些小分支穿透前列腺被膜。一些小分支提供尿道括约肌。神经血管束在轴向T2WI图像点状低信号。
前列腺周围筋膜被分为盆腔内筋膜和前列腺(内脏)筋膜。盆腔内筋膜主要由肛提肌筋膜组成。前列腺(内脏)筋膜覆盖前列腺被膜,神经血管结构与肛提肌筋膜合并,或夹在肛提肌筋膜和前列腺(内脏)筋膜之间。前列腺周围筋膜被进一步分为3个部分,即前部、外侧部和后部。前列腺(内脏)后筋膜和精囊筋膜覆盖前列腺后表面和精囊,将这两个器官(前列腺和精囊)与直肠分开。前列腺(内脏)后筋膜和精囊筋膜一起被称为Dennonvillier筋膜。Dennonvillier筋膜表现为直肠壁或外周带更低的T2信号。Dennonvillier筋膜通常在中线后部与前列腺被膜融合,朝向前列腺的后外侧。Dennonvillier筋膜通过含有神经血管束的结缔组织与前列腺分开。
对于前列腺解剖分区,PI-RADS v2.1新规范建议使用标准化的前列腺解剖分区图。前列腺在6分部(右基部、右中部、右尖部、左基部、左中部和左尖部)基础上进一步细分为6个带,即前纤维肌肉基质带、前移行带、后移行带、前外周带、后内外周带和后外外周带。前带和后带的界线为水平方向线。内侧和外侧带的界线为沿着外周带和移行带的连接处前后方向的线。PI-RADS v2.1版前列腺分区图中,前列腺采用41个区,38个区用于前列腺、2个区用于精囊、1个区用于膜性尿道,新增前列腺底部外周带右后内侧区和左后内侧区。
综上所述,前列腺解剖分区在MRI上具有独特的信号特征,是放射科医师、泌尿科医师和肿瘤科医师评估前列腺疾病的基础。
所有作者均声明不存在利益冲突





















