
副神经节瘤是起源于神经嵴细胞的神经内分泌肿瘤。发生于肾上腺髓质的副神经节瘤即嗜铬细胞瘤,肾上腺外副神经节瘤可发生于腹膜后任何部位,最常见于肠系膜下动脉起始处与腹主动脉分叉之间(即Zuckerkandl体)。腹膜后肾上腺外副神经节瘤为富血供肿瘤,侵袭性较嗜铬细胞瘤更强,其临床病史、实验室生化检查与影像学表现有一定的特点。本文对腹膜后副神经节瘤的临床及影像学特征进行归纳总结,以期进一步提高广大影像科医师对该病的认识。
版权归中华医学会所有。
未经授权,不得转载、摘编本刊文章,不得使用本刊的版式设计。
除非特别声明,本刊刊出的所有文章不代表中华医学会和本刊编委会的观点。
副神经节瘤在临床实践中较为常见,可发生于肾上腺髓质或肾上腺外。发生于肾上腺髓质的副神经节瘤称为嗜铬细胞瘤,占所有副神经节瘤的85%~90%;肾上腺外副神经节瘤在成人占10%~15%,儿童约为30%。肾上腺外副神经节瘤可分为两种类型:主动脉交感神经副神经节瘤(起源于胸、腹部和盆腔的脊椎旁交感神经链),分泌去甲肾上腺素;副交感神经副神经节瘤(包括化学感受器瘤、迷走神经及内脏自主性副神经节瘤),常见于头颈部,为非功能性,不产生儿茶酚胺。肾上腺外副神经节瘤和嗜铬细胞瘤均起源于神经嵴细胞,WHO肿瘤分类归类于神经内分泌肿瘤,两者的临床、病理及影像学表现类似,但恶性程度与预后不同[1, 2]。本文重点阐述肾上腺外副神经节瘤的临床、影像学特征与鉴别诊断。
副神经节瘤好发于年轻人(20~40岁),可散发。多发性副神经节瘤见于20%的患者,与一些临床综合征相关,包括神经纤维瘤病1型(neurofibromatosis type 1,NF1)、多发性神经内分泌肿瘤2A和2B、von Hippel-Lindau(VHL)综合征和Carney综合征等[3, 4]。约40%的副神经节瘤由基因突变引起,包括RET原癌基因、NF1、VHL和SDH等多种致病基因[4]。副神经节瘤的诊断需依据临床病史、尿或血浆中儿茶酚胺或其代谢物含量、影像学表现及组织病理学检查。
无功能性副神经节瘤临床上可无任何症状,而功能性肿瘤可出现儿茶酚胺过量释放的典型交感神经症状,如阵发性高血压、间歇性头痛、心悸、出汗等。实验室检查可检测出过量释放的儿茶酚胺或其代谢产物,如香草基苦杏仁酸(vanilmandelic acid,VMA)。肾上腺外副神经节瘤可发生于颈部到骶部交感神经链的任何部位,好发部位为:Zuckerkandl体、肾门水平腹主动脉旁交感神经链、胸椎旁、膀胱以及头颈部。
副神经节瘤的影像学检查目的为检出、定位、定性肿瘤,判断能否手术切除,并进行治疗后随访。除肾上腺危象高危因素患者外,非离子型碘对比剂增强CT为副神经节瘤的首选检查方法。由于MRI良好的软组织分辨力和定性能力,MRI检测肾上腺外副神经节瘤的灵敏度优于CT。CT和MRI成像的关键目的是明确肿瘤与邻近腹膜后器官和血管结构的解剖学关系,检出有无多发副神经节瘤或转移灶,并帮助制定临床手术计划。核医学检查有助于检出副神经节瘤,如间碘苄胍(metaiodobenzylguanidine,MIBG)可用于检测、定位原发性和转移性副神经节瘤,特异度较高。
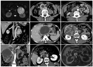
1.嗜铬细胞瘤:为肾上腺髓质最常见的肿瘤,好发年龄20~50岁。功能性嗜铬细胞瘤可分泌儿茶酚胺(去甲肾上腺素和肾上腺素),患者临床常表现为儿茶酚胺一过性升高引起的阵发性高血压、间歇性头痛、出汗、心悸等症状。临床上依据生化检测血浆或尿液中儿茶酚胺或其代谢物VMA和3-甲氧基肾上腺素水平升高来辅助诊断嗜铬细胞瘤。嗜铬细胞瘤的“10%法则”:10%为多发、10%为恶性、10%为双侧、10%发生于肾上腺外、10%为家族性或与神经外胚层综合征相关、10%为无功能性肿瘤[5]。嗜铬细胞瘤CT和MRI表现为富血供肿块,肿块较大时可不均质、伴内部出血。肿块典型MRI表现为T2WI高信号(图1)。


2.腹膜后肾上腺外副神经节瘤:好发于30~50岁患者,无明显性别差异,多为功能性肿瘤;占腹膜后肿瘤的1%~3%,可发生于腹膜后任何部位,好发于肾动脉至腹主动脉分叉水平的主动脉旁区域,最常见于Zuckerkandl体(图2,3),即肠系膜下动脉起始处与腹主动脉分叉之间[3]。不同部位肾上腺外副神经节瘤的影像学特征类似。良性肿瘤体积常较小,密度均匀。较大的肿瘤呈椭圆形或分叶状边界清楚的软组织肿块,常伴坏死和出血(图2~7),有时可见出血所致液液平面(图3)。副神经节瘤为富血供肿瘤,增强后明显强化,动脉期显著,肿块周围或实性成分内可见迂曲增粗的肿瘤血管[6, 7]。少数因肿瘤内大量出血或坏死呈低强化或无强化(图8,9)。钙化较常见,发生率约15%。肿瘤T1WI上呈等或低信号,内部出血区呈高信号(图9);T2WI上信号不均匀,可呈显著高信号;表观扩散系数相对于神经鞘瘤和颈部副神经节瘤更高[8]。此外,应仔细观察有无多发副神经节瘤(图10, 11, 12, 13)。


3.恶变、转移及预后:副神经节瘤具有一定的恶变及转移潜能,恶变率2%~10%,恶性肿瘤常较大,内部见低密度坏死区。恶性副神经节瘤可通过淋巴或血行转移播散至区域淋巴结、骨、肝、肺等部位。腹膜后肾上腺外副神经节瘤侵袭性更强,多达42%的病例发生转移[3],而嗜铬细胞瘤转移发生率仅2%~10%。不存在嗜铬性组织的部位如果出现肿瘤灶,则诊断为转移性病灶。组织病理学难以界定良恶性,是否发生血管与周围结构侵犯或远处转移是诊断恶性副神经节瘤的主要可靠依据。CT、MRI、核医学MIBG成像和PET/CT可用于分期及评价转移性病灶[9](图14)。预后主要取决于肿瘤生长的部位、有无转移及相关遗传性综合征[1, 2, 5]。
结合腹膜后间隙的解剖定位、病灶生长方式、病灶成分与强化模式,以及患者的临床特征,有助于缩小鉴别诊断范围。肾上腺嗜铬细胞瘤需要与其他肾上腺区富血供肿瘤相鉴别。腹膜后肾上腺外副神经节瘤需与以下原发性腹膜后肿瘤或富血供转移瘤相鉴别。
1.神经源性肿瘤:占原发性腹膜后肿瘤的10%~20%,可分为三大类型肿瘤:神经鞘来源肿瘤(神经纤维瘤、神经鞘瘤、恶性神经鞘瘤)、交感神经节来源肿瘤(神经节细胞瘤、神经节神经母细胞瘤、神经母细胞瘤)和副神经节瘤。
神经鞘瘤为起源于施万细胞的良性肿瘤,占腹膜后肿瘤的4%~6%[10],临床上常无症状而影像学检查偶然发现。女性较男性更常见,常见于中青年(20~50岁最多见),好发部位为邻近肾脏的脊椎旁或骶前腹膜后间隙。和副神经节瘤一样,也可沿脊椎旁的交感神经链分布。体积小的神经鞘瘤CT和MRI上表现为边界清楚的圆形或椭圆形密度均匀的肿块;体积较大时不均质、常发生囊变(图15)。钙化常见,可呈点状、斑点状或曲线状。血管侵犯少见。腹膜后肿瘤蔓延至椎间孔及椎管内出现典型哑铃征,提示周围神经鞘瘤。
神经节细胞瘤是起源于交感神经节细胞的良性肿瘤,好发于儿童或20~40岁成人,52%位于腹膜后。神经节细胞瘤CT上表现为脊椎旁腹膜后间隙边界清楚的椭圆形或分叶状低密度肿块,部分或完全包绕血管,但血管腔并不受侵犯,增强后肿块常不均匀强化。钙化常见(约60%),坏死或出血少见。MRI表现为T1WI低信号,T2WI高信号,增强随时间多呈持续强化[11]。从神经节细胞瘤到神经节神经母细胞瘤再到神经母细胞瘤是一组侵袭性或恶性程度递增的肿瘤。
2.平滑肌肉瘤:起源于腹膜后平滑肌组织或腹膜后大静脉管壁,为腹膜后第二常见肉瘤(约占28%),其发病年龄较神经源性肿瘤患者更大,且预后更差。平滑肌肉瘤最常见生长方式为完全血管外生长的肿瘤,少数肿瘤呈血管外和血管内同时受累,完全血管内生长(常发生于下腔静脉)罕见[12]。组织病理学可见典型交错排列、边缘锐利的梭形细胞束。临床常无症状,常为影像学偶然发现。肿瘤较大时可引起临床压迫性症状。影像上通常表现为较大的边界不清的软组织肿块,内部可见坏死、出血或囊变区(图16)。钙化少见,可见于罕见的骨肉瘤分化病例。


3.Castleman病:即巨淋巴结增生症,病因不明,以淋巴细胞增殖为特征,约12%病例累及腹膜后。临床上可分为局灶型和弥漫型,病理上分为透明血管型、浆细胞型、人类疱疹病毒相关和多中心型[13]。局灶型Castleman病主要为透明血管型,手术切除预后良好。弥漫型多见于浆细胞型,预后差,需要系统性治疗。局灶型好发于30~50岁患者,表现为较大的孤立性软组织肿块,可伴周围卫星灶,边界清晰,内部可见斑点状钙化(图17)、囊变或坏死区。肿块T1WI呈等信号、T2WI呈高信号,增强后动脉期明显强化,通常均匀强化,并持续至延迟期(图18)。可伴肝脾肿大、腹腔积液、腹膜后筋膜增厚。
综上所述,腹膜后副神经节瘤的诊断需要综合考虑临床病史、实验室检查和影像学检查。腹膜后功能性副神经节瘤临床出现儿茶酚胺过量释放引起的典型交感神经症状,实验室检查可检出过量释放的儿茶酚胺或代谢物。不同部位肾上腺外副神经节瘤的影像学特点类似,典型表现为中线或中线旁富血供肿块,T2WI呈显著高信号。值得注意的是,副神经节瘤具有一定的恶变与转移潜能,CT、MRI及核医学检查对于副神经节瘤的定位、分期、术后随访及监测复发具有重要作用。
中华医学会放射学分会腹部学组对本栏目给予大力支持
所有作者均声明不存在利益冲突
单项选择题
1.以下哪项是腹膜后肾上腺外副神经节瘤最好发的部位()
A.肝门部
B. Zuckerkandl体
C.膀胱
D.肾动脉旁
E.主动脉体
2.下列哪个部位的肾上腺外副神经节瘤通常考虑为无功能性肿瘤,不分泌儿茶酚胺()
A.后纵隔
B. Zuckerkandl体
C.膀胱
D.肾动脉旁交感神经链
E.颈动脉鞘
3.下列关于嗜铬细胞瘤的描述,错误的是()
A.发生于肾上腺髓质,为富血供肿瘤
B.嗜铬细胞瘤恶性转移的发生率较腹膜后肾上腺外副神经节瘤更高
C.约10%的嗜铬细胞瘤与神经外胚层综合征相关
D.发生于肾上腺外称为副神经节瘤,WHO归类于神经内分泌肿瘤
E.约10%的嗜铬细胞瘤不分泌儿茶酚胺,T2WI图像上呈高信号
4.临床怀疑存在功能性肾上腺外副神经节瘤,以下临床症状或体征不正确的是()
A.阵发性高血压
B.间歇性头痛
C.排尿后晕厥
D.剧烈背痛
E.大汗
5.下列关于腹膜后肿瘤的鉴别诊断,描述错误的是()
A.平滑肌肉瘤影像学可表现为腹膜后侵袭性软组织肿块,内部可见坏死、出血,亦可完全生长于下腔静脉管腔内,钙化罕见
B.腹膜后肾上腺外副神经节瘤为富血供肿瘤,恶性转移发生率较嗜铬细胞瘤更高,腹膜后不同部位的多发肾上腺外副神经节瘤的影像学表现常不一致
C.神经节细胞瘤是起源于交感神经节细胞的良性肿瘤,钙化常见,较副神经节瘤强化程度低
D.神经鞘瘤好发于脊柱旁,肿块较大时内部可见囊变,钙化常见,无血管侵犯
E.透明血管型Castleman病CT典型表现为边界清楚的均匀强化软组织肿块,动脉期强化显著,内部有时可见钙化或囊变区





















