
鼻咽解剖位置深在,病变种类繁多,CT及MRI是鼻咽病变治疗前主要评估手段。不同鼻咽病变影像表现不同,但也存在较多重叠,临床工作中需从病变位置、形态、边界、信号及密度特征、强化方式、与邻近组织结构关系、有无骨质破坏或淋巴结转移等方面进行综合分析,并结合临床鼻咽镜及实验室检查进一步明确诊断,从而提升诊断准确性。笔者系统总结鼻咽病变影像诊断思路,并归纳分析鼻咽病变的影像诊断要点,在治疗前明确诊断及病变范围,从而为临床治疗决策提供重要支持证据。
版权归中华医学会所有。
未经授权,不得转载、摘编本刊文章,不得使用本刊的版式设计。
除非特别声明,本刊刊出的所有文章不代表中华医学会和本刊编委会的观点。
经全国继续医学教育委员会批准,本刊开设继教专栏,每年从第1期至第10期共刊发10篇继教文章,文后附5道单选题,读者阅读后可扫描标签二维码答题,每篇可免费获得Ⅱ类继教学分0.5分,全年最多可获5分。
鼻咽解剖位置深在,临床主要依赖鼻咽镜及影像学检查。鼻咽镜可观察到病变形态、范围及鼻咽黏膜表面,如鼻咽癌常有黏膜溃疡,淋巴瘤和其他恶性肿瘤位于黏膜下。鼻咽病变最常用的影像学检查方法是CT及MRI,CT可观察鼻咽邻近颅内、颅外及颅底骨质改变,尤其是对颅底孔道、裂隙等结构的观察。MRI可多参数、多平面成像,且软组织分辨率高,能清楚区分肌肉、黏膜、脂肪组织,能明确分辨肿瘤侵犯范围,且能较早期显示黏膜下病变,因此MRI是鼻咽病变定位、定性及分期诊断的最佳检查方法。临床工作中,CT及MRI必须要结合临床视诊及实验室检查。鼻咽病变最终确诊靠活检及病理学检查。
鼻咽病变种类繁多,非肿瘤性病变有腺样体肥大、鼻咽慢性炎症、炎性肉芽肿、结核、Tornwaldt囊肿等。根据2017年WHO头颈部肿瘤分类[1],鼻咽良性肿瘤最常见的是鼻咽纤维血管瘤;恶性肿瘤包括鼻咽癌、淋巴瘤、鼻咽横纹肌肉瘤;其他少见肿瘤包括小涎腺来源良性肿瘤如混合瘤、恶性肿瘤如腺样囊性癌,还可见骨外型脊索瘤、神经鞘瘤等。
1.定位:明确病灶起源于鼻咽黏膜或黏膜下,如病灶起源于黏膜,黏膜线不完整;而黏膜下病变可见连续完整的黏膜线。
2.定性:明确良、恶性,从病灶形态、边界、累及范围及强化方式分析病灶良、恶性,良性病变多边界清晰,范围局限;恶性病变边界不清,累及范围较广泛。
3.与周围组织结构关系:是否累及咽旁间隙、神经孔道、颅底骨质及颅内结构,良性病变与周围结构分界清楚,较少侵犯周围组织结构;恶性病变常侵犯周围组织结构,如颅底孔道及周围骨质。
4.淋巴结:明确有无淋巴结肿大,良性病变多无肿大淋巴结,恶性病变常有肿大淋巴结。
1.慢性炎症:是鼻咽部黏膜、黏膜下淋巴组织的非特异性炎症,多是由于慢性感染、过敏、空气污染及吸烟等引起,病理表现为黏膜充血肥厚,黏膜下结缔组织及淋巴组织增生、炎性细胞浸润。鼻咽镜下黏膜光滑可伴有充血,无溃疡坏死。临床常表现为鼻塞、听力下降、咽部异物感等症状。
影像诊断要点:鼻咽顶后壁弥漫性、对称性增厚,表面光滑或凹凸不平;咽隐窝可受挤压狭窄,但轮廓显示清晰,咽鼓管咽口、咽旁间隙及咽后间隙清晰,与邻近头长肌分界清楚,鼻咽黏膜线完整,常伴鼻窦炎、鼻甲肥大等。CT上病灶密度均匀,MRI上T1WI为等信号,T2WI为高信号,增强扫描见条索状强化,其中低信号可能为淋巴组织增生,高信号为黏膜及黏膜下层内的其他成分,如纤维、血管等[2](图1~3)。


2.腺样体增生:腺样体是位于鼻咽顶部的淋巴组织,在儿童期可以呈生理性肥大,5岁左右最厚,厚度达鼻咽腔宽度的1/2,以后逐渐缩小,15岁左右达成人大小,40岁时完全退化。腺样体肥大可因反复上呼吸道感染、营养不良及遗传因素所致,导致鼻咽腔狭窄及气道阻塞。常见临床症状有鼻塞、张口呼吸、睡眠时打鼾等。
影像诊断要点:X线鼻咽侧位片测量腺样体厚度与鼻咽腔宽度的比值(A/N)是临床上最常用的评价腺样体增生的指标。A为腺样体厚度,指腺样体最厚处至枕骨斜坡颅骨外侧面的垂直距离,N为腺样体最凸部鼻咽腔的宽度,即垂线的反向延长线与硬腭后端或软腭前中部上缘的交点到枕骨斜坡颅外面切线的垂直距离。A/N≤0.6为正常,>0.6~0.7为中度肥大,>0.7为病理性肥大,其中>0.8为显著肥大。
CT表现为鼻咽顶壁、后壁对称性增厚,表面可不光整,MRI表现为T1WI等信号,T2WI高信号,增强后均匀强化,病变深面有完整且连续的线样强化影,为黏膜内静脉和颅底筋膜强化所致[3]。
3.Tornwaldt囊肿:是鼻咽部最常见的囊肿,又称为咽囊囊肿或鼻咽缝囊肿。咽囊为鼻咽后壁残余脊索和咽外胚层之间的上皮囊。咽囊囊肿是由于炎症、手术或外伤等原因导致咽囊开口阻塞所致,病灶发生于鼻咽后壁正中部位,多单发。鼻咽镜检查呈灰白色。多数无临床症状,当病变合并感染时可伴有头痛、流脓涕等。
影像诊断要点:病灶位于鼻咽后壁正中,单发,圆形或椭圆形;边界清楚,边缘光滑,直径多为1~2 cm。CT表现为鼻咽后壁正中部位的低密度囊性病变,密度较均匀,与邻近肌肉密度相似。MRI因囊肿内成分不同而表现不同,囊内容物多呈T1WI低信号,T2WI高信号,但可因含蛋白呈T1WI高信号;增强扫描囊内容物无强化,囊壁轻度强化。
4.腺样体潴留囊肿:囊内含有假复层纤毛上皮/鳞状上皮构成的分泌黏液的腺体,可位于中线或偏一侧,发病年龄较小,病变常多发,直径多小于5 mm。多数无明显临床症状。
影像诊断要点:囊肿在CT上为低密度,MRI上T1WI呈低信号,T2WI呈高信号,若囊肿内蛋白含量高,可表现为T1WI、T2WI均为高信号。
5.真菌性肉芽肿:由真菌感染引起的炎性肉芽肿,是一种快速进展性侵袭性病变,病变可通过鼻咽向周围蔓延,侵及邻近组织结构。可有头痛、鼻塞等症状,侵及周围组织结构可有对应临床表现。
影像诊断要点:病变CT上多呈混杂密度,肉芽肿壁厚、欠规整。MRI信号多种多样,由于真菌菌丝含有锰等顺磁性物质,T1WI上多为片状高信号,T2WI可见片状低信号,其他区域由于分泌物蛋白含量不同而表现各异,增强扫描肉芽肿明显强化,邻近结构的软组织也明显强化[4](图4~6)。
鼻咽纤维血管瘤是鼻咽部最常见的良性肿瘤,又称为青春期纤维血管瘤。病理上肿瘤通常由错综复杂的血管网和纤维基质以不同比例构成,根据血管成分和纤维成分在肿瘤组织中所占比例,可分别称其为血管纤维瘤或纤维血管瘤。纤维血管瘤起源于蝶、枕骨间纤维软骨膜或骨膜,多发生于15~25岁青年男性,临床常表现为鼻腔和口腔反复出血,出血量多,并伴有渐进性鼻塞。肿瘤具有侵袭性生长、骨质破坏和通过自然孔道穿行的恶性肿瘤生物学特点,可侵及鼻腔、鼻窦、颞下窝及颅内,并引起邻近组织或器官的受压症状。鼻咽镜下肿块呈圆形,淡红色,表面光滑,血管清晰可见。鼻咽纤维血管瘤血供极其丰富,术前盲目穿刺活检等操作会引起大出血,因此术前明确诊断至关重要[5]。
影像诊断要点:鼻咽腔肿块,病变中心多位于后鼻孔区,病变形态呈圆形、类圆形或哑铃状,CT平扫密度均匀,囊变坏死少见,一般无静脉石及钙化,增强后肿块明显强化。MRI上T1WI呈等或低信号,T2WI呈不均匀高信号,血管丰富,增强呈明显强化,瘤内可见条状或点状流空低信号影,呈“椒盐征”表现。肿块较大时,邻近骨质受压、变形,可见压迫性骨质吸收,最常受累骨质为翼突基底部、翼管前部、蝶窦骨壁。
1.鼻咽癌:鼻咽部最常见恶性肿瘤,起源于鼻咽黏膜上皮,与EB病毒感染密切相关,以未分化癌及鳞癌居多,腺癌少见,中年男性多见,好发于我国南方,尤其是广东地区。鼻咽癌好发于鼻咽顶后壁和咽隐窝,可多方向浸润,侵犯周围组织结构并可破坏颅底骨质。临床表现常有鼻出血、鼻塞、耳鸣、头痛、颈部肿块等。
影像诊断要点:CT上鼻咽肿块多呈等密度,与周围肌肉密度相仿,较少有囊变、钙化;肿块与周围组织分界不清,增强扫描呈中度强化。早期鼻咽黏膜增厚,中晚期可形成软组织肿块,T1WI呈等或低信号,T2WI呈高信号但低于黏膜信号,DWI有明显扩散受限,增强扫描呈中度强化。鼻咽形态不对称,表面粗糙不平,咽隐窝变浅、消失;咽旁间隙受累表现为周围脂肪界面消失、肌肉受侵;向上破坏颅底骨质并侵入颅内,颅底骨质破坏表现为高信号黄骨髓被低信号肿瘤组织取代,颅内侵犯常累及海绵窦、颞叶及桥小脑角区。颈部淋巴结转移多表现为由上而下循序性,咽后淋巴结为首站转移淋巴结,远处转移可转移至骨、肺、肝等[6](图7~9)。
鼻咽癌的TNM分期主要依赖影像学检查对周围组织结构侵犯的显示,如神经孔道及颅骨骨质侵犯等。对于鼻咽癌分期,MRI较CT更为准确,是指导临床准确分期、疗效评估、预后预测最好的影像检查方法[7]。
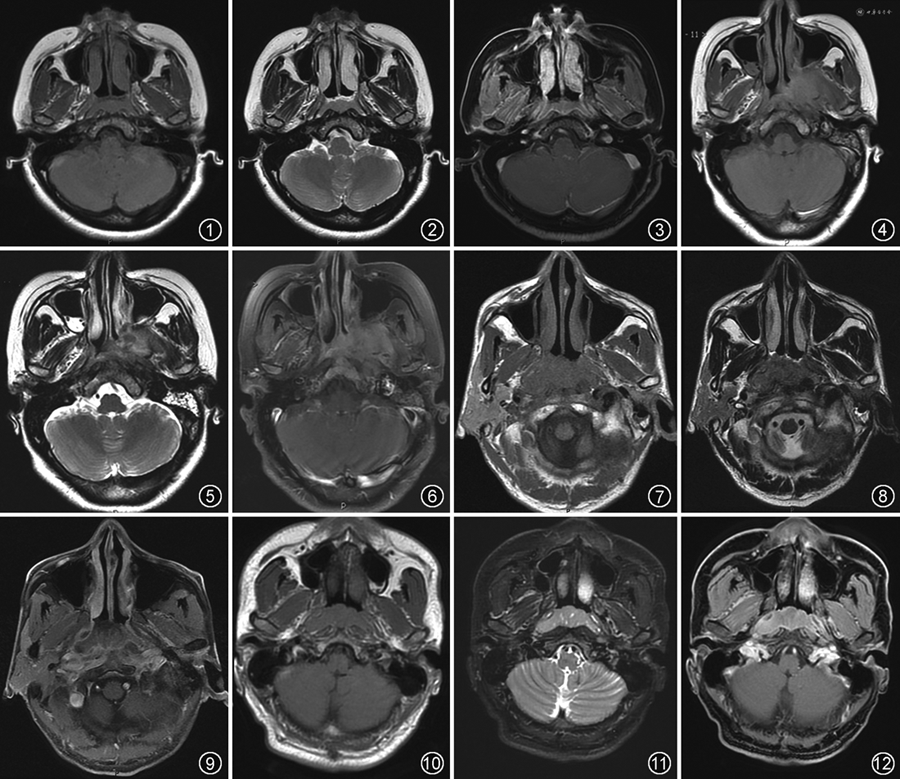
2.鼻咽淋巴瘤:是鼻咽黏膜下最常见病变,多见于淋巴环,咽部淋巴组织丰富,包括鼻咽、软腭、扁桃体、口咽及舌部等组成的环状淋巴组织,淋巴瘤在鼻咽部恶性肿瘤中占第2位,其中以非霍奇金淋巴瘤最常见。发病年龄以40~65岁多见,临床主要表现为咽部不适,吞咽有梗阻感,体检发现咽部肿块或无意中发现颈部淋巴结肿大。鼻咽镜下鼻咽肿块多为黏膜下球形隆起,表面光滑,少有溃疡坏死。
影像诊断要点:鼻咽双侧性受累,受累广泛但较为表浅,可表现为咽淋巴环广泛增厚,鼻咽腔狭窄。CT呈均匀等密度,无钙化、囊变、坏死。MRI T1WI呈等低信号,T2WI呈等高信号,DWI有明显扩散受限,信号均匀,增强呈轻-中度强化。肿块与周围组织结构分界清楚,咽旁间隙清晰,多无颅底骨质破坏[8, 9]。淋巴结多广泛肿大,淋巴结密度、信号与肿块一致,且较少发生坏死(图10~12)。
3.鼻咽横纹肌肉瘤:横纹肌肉瘤是发生于胚胎间叶组织的恶性肿瘤,最常见发病部位是头颈部,其中以鼻腔、鼻窦、鼻咽为著。横纹肌肉瘤好发于儿童,发病年龄呈双峰分布,2~4岁和12~16岁是两个发病高峰,其中约60%发生在6岁以下儿童。鼻咽横纹肌肉瘤早期可无临床症状,肿块较大时常有鼻塞、流涕、阻塞性呼吸暂停、头痛等症状,肿块生长方式具有侵袭性,可向颅内延伸并出现远处转移及淋巴道转移[10]。
影像诊断要点:肿瘤形态不规则,边界不清,呈侵袭性生长,肿块侵犯邻近组织结构。CT上肿块密度与邻近肌肉密度相似,密度不均匀,肿块内可见坏死,CT有利于观察骨质破坏范围。MRI呈T1WI低信号、T2WI高信号,信号不均匀,DWI呈扩散受限,钙化及出血少见,增强扫描呈明显不均匀强化。
其他发生于鼻咽的病变包括小涎腺来源良性肿瘤如混合瘤、恶性肿瘤如腺样囊性癌,还可见骨外型脊索瘤、神经鞘瘤等。
1.小涎腺来源良性肿瘤:混合瘤是头颈部来源于唾液腺组织最常见的良性肿瘤,发生在鼻咽较少见。肿瘤生长缓慢,一般无自觉症状。
影像诊断要点:与发生在其他部位混合瘤影像特征一致,表现为边界清楚的圆形或者椭圆形肿块,CT上病灶密度较均匀。MRI表现为肿瘤T1WI呈等或低信号,T2WI呈高信号,边缘见低信号包膜,肿块较大可发生囊变坏死,较少有钙化,增强扫描呈渐进性延迟强化[11]。
2.小涎腺来源恶性肿瘤:鼻咽腺样囊性癌起源于黏膜间隙黏膜内残留的涎腺组织,呈浸润性生长,具有嗜神经生长特征,发生在鼻咽多有三叉神经的侵犯。临床症状多有频繁鼻出血、鼻塞及咽鼓管功能障碍,可有三叉神经痛表现。
影像诊断要点:肿块呈不规则分叶状,边界不清,常沿着颅底孔道及缝隙呈浸润性生长并沿神经侵犯、蔓延,邻近骨质破坏。CT平扫呈等或低密度,MRI上T1WI呈等、低信号,T2WI呈等、高信号,肿块密度及信号不均匀,内见多发囊变,增强扫描病灶呈中度至明显强化[12]。
3.脊索瘤:脊索瘤是起源于胚胎残留的脊索组织,好发于骶尾部及颅底蝶枕部。发生于鼻咽部的脊索瘤罕见,临床主要表现为头痛、鼻塞[13]。
影像诊断要点:CT表现为鼻咽中线部位软组织肿块,具有膨胀性,CT上为混杂密度或等密度。MRI上T1WI呈等或低信号,T2WI呈明显高信号,肿瘤多信号不均匀,可发生囊变、出血及钙化,增强扫描呈缓慢渐进性强化,多有邻近斜坡骨质破坏[14]。
4.神经鞘瘤:神经鞘瘤发生在鼻咽极为罕见,主要由Antoni A区和Antoni B区两种组织类型构成,前者富含细胞,后者主要是脂质和黏液基质,较大肿瘤常伴有出血、坏死、囊变。
影像诊断要点:病变位于鼻咽黏膜下,黏膜结构完整连续。肿块边界清楚,有完整包膜,CT表现为密度均匀或者混杂不均匀密度,肿块呈囊实性,囊性部分呈T1WI低信号、T2WI高信号,实性部分呈T1WI、T2WI中等信号,增强扫描病灶实性部分明显强化,囊性部分不强化。
鼻咽病变种类繁多,诊断主要依靠鼻咽镜及影像学检查,MRI对病变本身及邻近组织结构关系显示清晰,是鼻咽病变首选影像检查方法,对鼻咽病变的诊断与鉴别诊断、辅助治疗决策、疗效评估及预后预测等方面有重要价值。随MRI软件及硬件技术的飞速发展,MRI功能成像如体素内不相干运动扩散成像、动态对比增强等多种新技术的应用,对提升诊断效能大有裨益。未来随人工智能特别是深度学习技术的应用,在鼻咽病变尤其是鼻咽癌的诊断、分期、侵袭性评估、预后评价、淋巴结转移情况等临床应用场景中将不断取得新的研究进展。
中华医学会放射学分会头颈学组对本栏目给予大力支持
所有作者声明无利益冲突
1. 关于鼻咽的特点,错误的是()
A. 鼻咽位于软腭平面之上,鼻腔的后方
B. 儿童时期,鼻咽部淋巴组织丰富,青春期以后,腺体逐渐萎缩
C. 腺样体过度肥大,可发生鼻塞及张口呼吸
D. 腺样体增生MRI增强呈明显不均匀强化
2. 关于鼻咽癌表现的描述,错误的是()
A. 常见症状是回缩性涕血、鼻塞、颈部淋巴结肿大
B. 早期可表现为鼻咽壁增厚、咽隐窝消失
C. 常伴囊变或钙化
D. 邻近骨质破坏及自然孔道侵犯
3. 关于鼻咽纤维血管瘤的CT表现,错误的是()
A. 翼腭窝区软组织密度肿块
B. 肿块强化不明显
C. 肿块体积大,呈膨胀性生长
D. 肿块压迫邻近骨质吸收
4.关于鼻咽淋巴瘤的描述,错误的是()
A. 多为单侧非对称性软组织肿块
B. 咽旁间隙显示清晰
C. 双侧颈部淋巴结肿大
D. 增强呈轻中度均匀强化,囊变坏死少见
5. 鼻咽最常见的良性肿瘤性病变是()
A. 颅咽管瘤
B. 纤维血管瘤
C. 多形性腺瘤
D. 神经鞘瘤





















