
导管内乳头状黏液性肿瘤多发生于胰管、胆管内。该文报道了1例肝内胆管乳头状黏液性导管腺癌合并胰腺导管内乳头状黏液性肿瘤。CT和MRI示肝内外胆管弥漫扩张,肝左外叶扩张胆管内延迟强化小结节,以及胰腺钩突囊性灶伴主胰管轻度扩张。病理结果为肝左叶胆管乳头状黏液性高-中分化导管腺癌,胰腺导管内乳头状黏液性肿瘤伴上皮轻度异型。
版权归中华医学会所有。
未经授权,不得转载、摘编本刊文章,不得使用本刊的版式设计。
除非特别声明,本刊刊出的所有文章不代表中华医学会和本刊编委会的观点。
患者 男,65岁,因皮肤、巩膜黄染1个月入院。胆囊切除术后4年。实验室检查:糖链抗原19-9轻度升高,为65.9 U/ml;IgG4水平正常,为0.46 g/L。
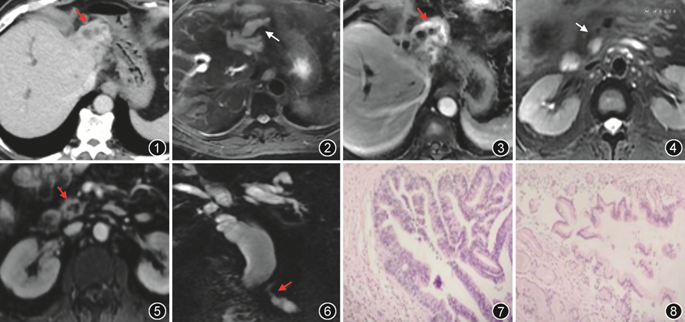
上腹部CT示肝左叶实质萎缩,肝内胆管扩张,左叶为著,最宽处直径约2 cm,肝左叶外侧段胆管壁不规则增厚伴轻中度延迟强化,延迟期见多个强化小结节呈锯齿状突入胆管腔内(图1);肝总管、胆总管明显扩张,最宽处直径约2.3 cm;胰腺钩突部见椭圆形低密度影,大小1.6 cm×1.5 cm,边界清晰,平扫CT值为20 HU,增强后见囊壁及分隔延迟强化。上腹部MRI示肝左叶扩张的胆管壁不规则增厚,增强后见胆管腔内延迟强化小结节影(图2,3);胰腺钩突部见异常信号灶,T1WI呈低信号,T2WI呈高信号(图4),边界清晰,增强后见囊壁和分隔延迟强化(图5)。MR胰胆管成像(MR cholangiopancreatography,MRCP)示肝内胆管、左右肝管及胆总管明显扩张,胰腺钩突部病灶与主胰管相通,主胰管轻度扩张(图6)。


患者行肝左叶切除术和胰十二指肠切除术。肝脏剖面见肝内胆管扩张,胆管内壁粗糙,局部可见小突起。镜下见囊壁样组织,被覆单层柱状上皮,局部乳头状突起,细胞核呈轻-中度异型性,胞质含黏液,局部黏液消失伴腺体融合,局灶可见异型细胞浸润导管周围间质。免疫组化结果:CDX-2(+)、MUC2(+)、CD34(血管+)和D2(血管+)。病理诊断为左半肝-肝内胆管乳头状黏液性肿瘤(intraductal papillary mucinous neoplasm of the biliary tract,IPMN-B)癌变伴局灶浸润,呈高-中分化导管腺癌(图7)。胰腺病变区见管腔扩张,内壁灰白色、光滑,镜下见黏液柱状上皮增生,呈乳头状排列,上皮低级别异型增生,病理诊断为胰腺导管内乳头状黏液性肿瘤(intraductal papillary mucinous neoplasm of the pancreas,IPMN-P)伴上皮轻度异型(图8)。
导管内乳头状黏液性肿瘤(intraductal papillary mucinous neoplasm,IPMN)是罕见的低级别恶性肿瘤,老年人多见,主要起源于胆管、胰腺导管上皮,可分泌过多黏液引起胆管或胰管扩张。IPMN伴癌变罕见,其临床行为、恶变因素及预后仍不清楚。
研究认为IPMN-B是IPMN-P的胆道对应物[1],临床上二者均好发中老年男性,IPMN-B常累及肝内胆管,易多发、恶变,常伴腹痛、梗阻性黄疸,而IPMN-P多发生于主胰管或分支胰管,常伴发胰腺炎[2, 3]。组织病理学上均起源于导管上皮细胞,都存在4种表型肿瘤细胞,分别为肠型、胃型、胰胆管型和嗜酸细胞型,可由低、中、高级别发育不良逐渐进展为浸润性癌[2]。免疫组化中均表达MUC2、MUC5AC和CK20标志物,可见KRAS基因突变,由于肠型IPMN高表达MUC2,考虑本例中的IPMN-B属于该组织学分型[2,4]。
IPMN-B和IPMN-P影像学表现相似,导管内肿块和导管扩张是最常见的影像学特征[2]。IPMN-B的影像学特征取决于肿瘤位置和黏蛋白产生量,通常分为4种亚型[1],其中肿块合并近端及远端胆管局灶性或弥漫性扩张型最常见,本例IPMN-B在CT和MRI上见肝左叶胆管内延迟强化结节伴肝内外胆管弥漫性扩张,考虑属于此亚型。其余3种亚型肿块伴近端胆管扩张型、胆管不成比例扩张型和囊性病变型相对少见。同时,本例中见肝左叶萎缩,考虑是由于患者4年前行胆囊切除术、T管引流术后引发反复的慢性胆道感染和炎症刺激、胆汁淤积,进而出现肝脏组织萎缩,这也可能是IPMN-B的致病因素之一[4]。IPMN-P发生部位不同,影像表现不同[5],主要分为主胰管型、分支胰管型和混合型,其中分支胰管型多见,常表现为胰头或胰腺钩突部单发或多发的囊性灶,部分内部见分隔,MRCP或内镜逆行胰胆管造影常见病灶通过囊颈或管道与主胰管或分支胰管相通,本例IPMN-P呈胰腺钩突部囊性灶,增强后囊壁及分隔强化,MRCP示病灶与主胰管交通,考虑属于分支胰管型。
由于IPMN-B和IPMN-P常较小、扁平,病灶本身及早期癌变风险通常难以发现和评估[2, 3]。Lee等[6]指出MRI上胆管内见肿块、直径≥2.5 cm、肿瘤多样性、胆管壁增厚和邻近器官浸润提示IPMN-B可能发生癌变,本例肝胆管内延迟强化结节伴胆管壁增厚为恶变征象。2017年福冈指南根据管腔直径、囊腔及管壁结节大小对IPMN-P进行了风险分级[5]。(1)可疑恶变特征:囊性病灶直径≥3 cm、强化壁结节<5 mm、增厚强化的囊壁、主胰管直径5~9 mm、主胰管直径骤变伴远端胰腺萎缩、胰周淋巴结肿大等,需进一步行超声内镜检查;(2)恶变特征:胰头囊性灶伴梗阻性黄疸、主胰管直径≥10 mm、强化壁结节≥5 mm,推荐手术切除。本例IPMN-P病灶未见恶变特征。有文献指出IPMN恶变时在DWI上可见扩散受限、ADC降低[7]。
本例中的IPMN-B也需要与常见的肝内胆管癌相鉴别,后者多见肝内实性肿块及上游胆管扩张,常伴胆管狭窄、胆管截断、周围侵犯等恶性征象,而本例IPMN-B肿块伴弥漫性肝内外胆管扩张,二者较为容易鉴别[1]。此外,也需要与一些共同发生在胆管和胰管的病变相鉴别[2]。IgG4相关硬化性疾病可同时累及胆管和胰管,引发IgG4相关硬化性胆管炎和自身免疫性胰腺炎,患者血清免疫球蛋白和IgG4水平升高,影像上见胆管和胰管管壁增厚、延迟强化和多发性狭窄,且胰腺病变以实质表现为主,而本例IgG4无升高,影像上见胆管和胰管扩张,容易鉴别。
总之,肝内IPMN-B癌变合并IPMN-P的病例临床罕见,应注重识别恶变征象,密切监测胆管和胰管的小囊性病变,提高诊断准确率。
崔淑丽, 陈丹, 孙美玉. 肝内胆管乳头状黏液性导管腺癌合并胰腺导管内乳头状黏液性肿瘤1例[J]. 中华放射学杂志, 2023, 57(6): 697-699. DOI: 10.3760/cma.j.cn112149-20220512-00430.
所有作者声明无利益冲突

























