
版权归中华医学会所有。
未经授权,不得转载、摘编本刊文章,不得使用本刊的版式设计。
除非特别声明,本刊刊出的所有文章不代表中华医学会和本刊编委会的观点。
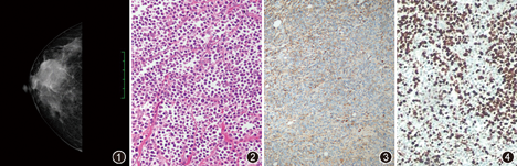
患者女,66岁。发现右侧乳腺肿物1个月余,无疼痛、发热,乳头无分泌物;头颈部和锁骨上淋巴结未扪及肿大,于2014年4月入院。乳腺专科检查:双乳发育正常,外形对称,未见乳头凹陷和乳腺皮肤 "橘皮样"外观。右乳外上象限扪及一大小约3 cm×2 cm的肿块,质中,活动度一般,与周围组织稍粘连,双腋窝及锁骨上淋巴结未扪及肿大。乳腺B超提示:右侧乳腺癌,双侧乳腺囊性增生病,双侧腋窝未见肿大淋巴结。乳腺钼靶X线检查发现右乳有一边界较清楚的高密度阴影(图1)。患者骨髓及血象检查未见明显异常。影像学检查其他器官无明显异常。血、尿生化检查无异常。患者入院行乳腺肿物切除,术中乳腺肿物冷冻病理诊断:乳腺恶性肿瘤,浸润性小叶癌可能性大,逐进行右乳全切及前哨淋巴结活检。


病理检查:大体检查:送检乳腺标本一个,切面见一3 cm×2 cm×2 cm的结节状、灰白色、鱼肉状肿物,质细腻,肿物与周围组织分界较清楚。镜下观察:瘤细胞呈圆形或卵圆形,弥漫大片状或条索状分布,肿瘤细胞约为正常淋巴细胞的2~3倍,小部分肿瘤细胞核偏位,染色质呈 "车幅"状,核仁不明显,胞质嗜碱性。大部分瘤细胞核染色质细,核质比高,可见明显核仁,细胞质少,呈嗜碱性或酸性(图2)。核分裂象易见(19/10 HPF),瘤组织内可见凋亡细胞和少许淋巴细胞,瘤组织内亦见残留的乳腺导管和小叶。免疫组织化学瘤细胞呈BOB–1、OCT–2、MUM–1、CD38(图3)、轻链κ、bcl–2、上皮细胞膜抗原(EMA)阳性,Ki–67阳性指数约80%(图4),p53约60%阳性。细胞角蛋白(CK)、CD3、CD5、CD20、CD79a、bcl–6、CD10、CD23、cyclin D1、轻链λ、ALK、CD30、CD56、CD138、雌激素受体(ER)、孕激素受体(PR)、HER2、上皮细胞钙黏蛋白(E–cadherin)均阴性。原位杂交显示瘤细胞EBER阴性。
病理诊断:乳腺原发性浆母细胞性浆细胞瘤,淋巴结未见肿瘤累及。
讨论:髓外浆细胞瘤又称原发性软组织浆细胞瘤,系指发生于骨髓外软组织而不伴有多发性或孤立性骨髓的浆细胞瘤,属于骨髓外浆细胞克隆性增生性恶性肿瘤。90%的髓外浆细胞瘤发生于头颈部,如上呼吸道、鼻腔、鼻窦、口咽和涎腺组织。大多数乳腺的浆细胞瘤是由于多发性骨髓瘤累及乳腺而致,原发于乳腺的浆细胞瘤罕见。Surov等[1]报道乳腺浆细胞瘤5例并复习文献48例,53例中仅8例(15%)是乳腺原发性浆细胞瘤。
据Liebross等[2]报道,髓外软组织原发性浆细胞瘤仅占浆细胞瘤的3%,多发生于上呼吸道、下颌骨、上颌骨和牙龈的软组织。根据2003年国际骨髓瘤工作组制定的标准[3],软组织原发性浆细胞瘤的诊断标准如下:(1)患者血清和/或尿液中无M蛋白;(2)髓外克隆性浆细胞增生性肿瘤;(3)正常骨髓象;(4)全身骨髓检查正常;(5)无相关器官或组织累及。Bartl等[4]通过回顾性观察674例多发性骨髓瘤,提出了多发性骨髓瘤的组织学分级:Ⅰ级(低度恶性):肿瘤细胞与正常浆细胞十分相似,胞核偏位,染色质呈车幅状,可见核旁空晕,胞质嗜碱性,偶见核分裂象;Ⅱ级(中度恶性):至少50%肿瘤细胞胞核大,核仁明显,胞质丰富,嗜碱性,可见核旁空晕,胞质成熟程度不同;Ⅲ级(高度恶性):肿瘤似浆母细胞,胞核大,有明显的中位核仁,胞质稀少,核旁空晕不明显或缺乏,核分裂象易见。乳腺原发性浆细胞瘤极为罕见,至今文献报道不足10例,且多为个案报道[1,5,6,7]。临床上多表现为乳腺肿块,少数患者无明显临床症状而通过体检发现。绝大多数呈乳腺单个孤立性肿块,个别为多发性或弥漫性浸润乳腺组织。最大直径8~9 cm,中位直径2.1 cm。超声示肿瘤多为均质性低回声,少数为低回声–高回声混合性。软组织原发性浆细胞瘤是源于浆细胞的单克隆性增生性恶性肿瘤,免疫组织化学染色呈轻链限制性表达。本例根据临床检查、组织学特征、免疫组织化学和原位杂交结果诊断为乳腺原发性浆母细胞性浆细胞瘤,组织学上属于高度恶性。该肿瘤极为罕见。
乳腺原发性浆母细胞性浆细胞瘤的病理诊断主要与下列肿瘤鉴别:(1)乳腺浸润性小叶癌:肿瘤细胞呈单排 "列兵式"散在分布于纤维结缔组织中,瘤细胞缺乏黏附性。本瘤在组织形态上也主要呈弥漫或条索状分布,甚至出现围绕乳腺导管呈同心圆样排列,瘤细胞缺乏黏附性与乳腺浸润性小叶癌非常相似,尤其是在术中冷冻诊断时很难与乳腺浸润性癌特别是浸润性小叶癌区分。二者的临床治疗完全不同:乳腺浸润性小叶癌主要采用手术和化疗,而乳腺浆母细胞性浆细胞瘤主要采用放疗或手术加放疗,部分复发病例采用化疗。但二者的化疗方案有很大差别,因此鉴别诊断非常重要。本例乳腺原发性浆母细胞性浆细胞瘤在冷冻检查时曾被误诊为 "乳腺浸润性小叶癌"。因此,术中冷冻诊断时应仔细寻找小叶原位癌结构,它是诊断乳腺浸润性小叶癌的一个非常重要的线索。另外,部分浸润性小叶癌病例可见特征性瘤细胞围绕正常乳腺导管呈同心圆样分布。瘤细胞核圆形或卵圆形,部分胞质内可见空腔形成等特征。而大多数浆细胞瘤的瘤细胞呈不同程度的浆细胞分化,即出现核周空晕、细胞核染色质呈车幅状,部分瘤细胞胞质内可见 "Russel"小体等有助于鉴别。免疫组织化学二者瘤细胞均表达EMA而不表达E–cadherin。但乳腺浸润性小叶癌的瘤细胞呈CK阳性,而不表达白细胞共同抗原(LCA)和浆细胞分化标志物等可与本瘤鉴别,但需注意的是一些浆细胞瘤标志物如CD38也可表达于上皮来源恶性肿瘤如肺癌、结直肠癌等,因此,在选择免疫组织化学标志物时尽量避免采用单一指标而是选择一组特异性指标如广谱上皮性标志物CK、EMA、淋巴细胞标志物LCA、B淋巴细胞标志物CD20、CD79a、BOB–1、OCT–2和轻链κ、λ等;(2)浆母细胞性弥漫大B细胞淋巴瘤:该肿瘤是弥漫大B细胞淋巴瘤中罕见的亚型,具有高度侵袭性,肿瘤细胞呈B免疫母细胞样细胞弥漫性增生和表达浆细胞相关抗原。肿瘤多发生于HIV感染的患者,好发于口腔,免疫组织化学瘤细胞表达CD20、CD79a,而不表达CD138,60%病例有EB病毒感染等,与本瘤不同;(3)淋巴浆细胞性淋巴瘤:该肿瘤由小淋巴细胞、淋巴浆样细胞和单克隆性浆细胞混合构成。免疫组织化学淋巴细胞成分表达CD20而不表达CD138。常伴EB病毒感染等可与本瘤鉴别。
根据2014版美国综合癌症网络(NCCN)指南[8],髓外浆细胞瘤的治疗主要采用局部放疗和/或手术治疗。髓外浆细胞瘤对放疗极为敏感,79%~90%可以局部控制[9,10]。髓外浆细胞瘤的预后一般较好,10年无病生存率达50%~80%。局部复发率不足5%。Majadob等[6]报道1例乳腺浆细胞瘤经放疗后多次复发并累及其他部位而死亡的病例。体积过大的髓外浆细胞瘤(>5 cm)预后不良。浆母细胞性浆细胞瘤为髓外浆细胞瘤的Ⅲ级,属于高度恶性,预后差。本例仍需密切观察随访。





















